292 results for "Collagen I alpha 1" in Products

Collagen I alpha 1 Products

Type I collagen is the most abundant structural protein of connective tissues such as skin, bone and tendon. It is synthesized as a procollagen molecule which is characterized by a 300 nm triple helical domain flanked by globular N- and C-terminal propeptides. The triple helical domain contains Gly-Xaa-Yaa triplets where Xaa and Yaa are frequently proline and hydroxyproline, respectively. The non-helical propeptides are removed by procollagen N- and C-proteinase activities so that the mature ...

Show More
Reactivity: Human, Mouse, Rat, Amphibian, Avian, +2 More
Details: Rabbit IgG Polyclonal
Applications: IHC, WB, ICC/IF, Simple Western
Western Blot: Collagen I alpha 1 AntibodyAzide and BSA Free [NBP1-30054]
(7)
Loading...
Reactivity: Human, Mouse, Rat, Porcine, Bovine, +4 More
Details: Mouse IgG1 Monoclonal Clone #COL-1
Applications: IHC, WB, ELISA, ICC/IF, DB
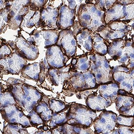
Immunohistochemistry-Frozen: Collagen I alpha 1 Antibody (COL-1) [NB600-450]
(12)
Loading...
Reactivity: Human
Assay Range: 31.2-2000 pg/mL
Applications: ELISA
Human Collagen I alpha 1 ELISA Standard Curve
Loading...
Reactivity: Human
Details: Sheep IgG Polyclonal
Applications: WB, ICC/IF, Simple Western, IP
Detection of Human N-Pro Collagen I by Western Blot.
(5)
Loading...
Reactivity: Human
Source: CHO
Accession #: P02452
Applications: Enzyme Activity
R&D Systems Recombinant Proteins and Enzymes
Loading...
Reactivity: Mouse
Details: Rat IgG2B Monoclonal Clone #1102924
Applications: mIF, IHC, WB, ICC/IF, Simple Western, + 1 More
(6)
Loading...
Reactivity: Human, Mouse
Details: Rabbit IgG Polyclonal
Applications: IHC, ICC/IF, WB (-)
Immunohistochemistry: Collagen I alpha 1 Antibody - BSA Free [NBP1-77457]
(2)
Loading...

Recombinant Monoclonal Antibody.

Reactivity: Human
Details: Rabbit IgG Monoclonal Clone #3158C
Applications: mIF, IHC, WB, COMET
(6)
Loading...
Reactivity: Human
Details: Mouse IgG2B Monoclonal Clone #816161
Applications: WB, ICC/IF, IP
(3)
Loading...
Reactivity: Human
Sensitivity: 8.75 pg/mL
Assay Range: 78.1-5000 pg/mL (Cell Culture Supernates, Cell Lysates, Tissue Lysates, Serum, EDTA Plasma, Heparin Plasma, Saliva, Urine)
Applications: ELISA
(3)
Loading...
Reactivity: Human, Mouse
Details: Rabbit IgG Polyclonal
Applications: IHC, ICC/IF, WB (-)
Immunohistochemistry: Collagen I alpha 1 Antibody - BSA Free [NBP1-77458]
(2)
Loading...
Reactivity: Human, Mouse, Rat
Details: Rabbit IgG Polyclonal
Applications: IHC, WB, ELISA, ICC/IF
Collagen I alpha 1 Antibody - Azide and BSA Free
(5)
Loading...
Reactivity: Human
Details: Rabbit IgG Polyclonal
Applications: WB, ELISA
Western Blot: Collagen I alpha 1 Antibody [NBP1-68942]
(2)
Loading...
Reactivity: Human, Mouse, Rat
Details: Rabbit IgG Polyclonal
Applications: IHC, WB, ELISA, ICC/IF
Western Blot: Collagen I alpha 1 AntibodyAzide and BSA Free [NBP2-92877]
(4)
Loading...
Reactivity: Human
Details: Rabbit IgG Polyclonal
Applications: IHC, ICC/IF
Immunocytochemistry/ Immunofluorescence: Collagen I alpha 1 Antibody [NBP1-82488]
(4)
Loading...
Reactivity: Human, Mouse, Rat
Details: Rabbit IgG Polyclonal
Applications: IHC, WB
Western Blot: Collagen I alpha 1 AntibodyAzide and BSA Free [NBP2-29651]
(2)
Loading...
Reactivity: Human
Details: Mouse IgG1 Monoclonal Clone #816103
Applications: ELISA
Loading...
Reactivity: Human
Details: Mouse IgG2B Monoclonal Clone #816154
Applications: ELISA
Loading...
Reactivity: Human
Details: Rabbit IgG Polyclonal
Applications: IHC
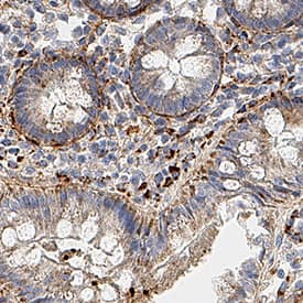
Immunohistochemistry-Paraffin: Collagen I alpha 1 Antibody [NBP1-82489]
(3)
Loading...
Reactivity: Rat
Sensitivity: 0.19 ng/mL
Assay Range: 0.31 - 20 ng/mL
Applications: ELISA
ELISA: Rat Collagen I alpha 1 ELISA Kit (Colorimetric) [NBP2-75840]
(4)
Loading...

For use with catalog number DPCA00

Reactivity: Human
R&D Systems ELISA Controls
Loading...
Reactivity: Human
Details: Sheep IgG Polyclonal
Applications: WB, ICC/IF, IP
Human Pro Collagen I  alpha 1 Alexa Fluor® 488‑conjugated Antibody
Loading...
Results Per Page
5 10 25 50