FGF basic/FGF2/bFGF is a growth factor that functions in angiogenesis, wound healing, tissue repair, learning and memory, and the morphogenesis of heart, bone, and brain. It is upregulated in response to inflammatory stimuli and in many tumors. FGF basic/FGF2/bFGF binds to FGFR1c and 2c. Its bioactivity is modulated by a number of other binding partners including heparin, Integrin alpha V beta 3, soluble FGFR1, FGF-BP, free gangliosides, Thrombospondin, Pentraxin 3/TSG-14, Fibrinogen, alpha 2-Macroglobulin, PDGF, and CXCL4/PF4. These molecules act as cellular coreceptors or adhesion partners, extracellular matrix decoys or reservoirs, and soluble scavengers or chaperones. In particular, the interaction of FGF basic/FGF2/bFGF with cell surface heparan sulfate proteoglycans (HSPG) is required for the binding and activation of FGF receptors.
FGF basic/FGF2/bFGF Antibody (8W6M5)
Novus Biologicals | Catalog # NBP3-15367
Key Product Details
Species Reactivity
Applications
Label
Antibody Source
Product Specifications
Immunogen
Clonality
Host
Isotype
Theoretical MW
Disclaimer note: The observed molecular weight of the protein may vary from the listed predicted molecular weight due to post translational modifications, post translation cleavages, relative charges, and other experimental factors.
Scientific Data Images for FGF basic/FGF2/bFGF Antibody (8W6M5)
Western Blot: FGF basic/FGF2/bFGF Antibody (8W6M5) [NBP3-15367]
Western Blot: FGF basic/FGF2/bFGF Antibody (8W6M5) [NBP3-15367] - Analysis of extracts of SKOV3 cells, using FGF basic/FGF2/bFGF Rabbit mAb (NBP3-15367) at 1:1000 dilution. Secondary antibody: HRP Goat Anti-Rabbit IgG (H+L) at 1:10000 dilution. Lysates/proteins: 25ug per lane. Blocking buffer: 3% nonfat dry milk in TBST. Detection: ECL Basic Kit. Exposure time: 60s.Immunocytochemistry/ Immunofluorescence: FGF basic/FGF2/bFGF Antibody (8W6M5) [NBP3-15367]
Immunocytochemistry/Immunofluorescence: FGF basic/FGF2/bFGF Antibody (8W6M5) [NBP3-15367] - Immunofluorescence analysis of HeLa cells using FGF basic/FGF2/bFGF Rabbit mAb (NBP3-15367) at dilution of 1:100 (40x lens). Blue: DAPI for nuclear staining.Immunohistochemistry-Paraffin: FGF basic/FGF2/bFGF Antibody (8W6M5) [NBP3-15367] -
Immunohistochemistry-Paraffin: FGF basic/FGF2/bFGF Antibody (8W6M5) [NBP3-15367] -Analysis of FGF2 in paraffin-embedded human lung squamous carcinoma tissue using FGF2 Rabbit mAb at dilution of 1:400 (40x lens).Perform high pressure antigen retrieval with 10 mM Tris/EDTA buffer pH 9.0 before commencing with IHC staining protocol.Immunohistochemistry-Paraffin: FGF basic/FGF2/bFGF Antibody (8W6M5) [NBP3-15367] -
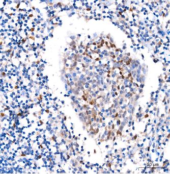
Immunohistochemistry-Paraffin: FGF basic/FGF2/bFGF Antibody (8W6M5) [NBP3-15367] -Human tonsil tissue using FGF2 Rabbit mAb at a dilution of 1:200 (40x lens). High pressure antigen retrieval was performed with 0.01 M citrate buffer (pH 6.0) prior to IHC staining.Immunohistochemistry-Paraffin: FGF basic/FGF2/bFGF Antibody (8W6M5) [NBP3-15367] -
Immunohistochemistry-Paraffin: FGF basic/FGF2/bFGF Antibody (8W6M5) [NBP3-15367] - Human skin tissue using FGF2 Rabbit mAb at a dilution of 1:200 (40x lens). High pressure antigen retrieval was performed with 0.01 M citrate buffer (pH 6.0) prior to IHC staining.Immunohistochemistry-Paraffin: FGF basic/FGF2/bFGF Antibody (8W6M5) [NBP3-15367] -
Immunohistochemistry-Paraffin: FGF basic/FGF2/bFGF Antibody (8W6M5) [NBP3-15367] - Human placenta tissue using FGF2 Rabbit mAb at a dilution of 1:200 (40x lens). High pressure antigen retrieval was performed with 0.01 M citrate buffer (pH 6.0) prior to IHC staining.Applications for FGF basic/FGF2/bFGF Antibody (8W6M5)
Immunocytochemistry/ Immunofluorescence
Immunohistochemistry
Immunohistochemistry-Paraffin
Western Blot
Formulation, Preparation, and Storage
Purification
Formulation
Preservative
Concentration
Shipping
Stability & Storage
Background: FGF basic/FGF2/bFGF
Long Name
Alternate Names
Gene Symbol
Additional FGF basic/FGF2/bFGF Products
Product Documents for FGF basic/FGF2/bFGF Antibody (8W6M5)
Certificate of Analysis
To download a Certificate of Analysis, please enter a lot or batch number in the search box below.
Product Specific Notices for FGF basic/FGF2/bFGF Antibody (8W6M5)
This product is for research use only and is not approved for use in humans or in clinical diagnosis. Primary Antibodies are guaranteed for 1 year from date of receipt.
Related Research Areas
Customer Reviews for FGF basic/FGF2/bFGF Antibody (8W6M5)
There are currently no reviews for this product. Be the first to review FGF basic/FGF2/bFGF Antibody (8W6M5) and earn rewards!
Have you used FGF basic/FGF2/bFGF Antibody (8W6M5)?
Submit a review and receive an Amazon gift card!
$25/€18/£15/$25CAN/¥2500 Yen for a review with an image
$10/€7/£6/$10CAN/¥1110 Yen for a review without an image
Submit a review
Protocols
Find general support by application which include: protocols, troubleshooting, illustrated assays, videos and webinars.
- Antigen Retrieval Protocol (PIER)
- Antigen Retrieval for Frozen Sections Protocol
- Appropriate Fixation of IHC/ICC Samples
- Cellular Response to Hypoxia Protocols
- Chromogenic IHC Staining of Formalin-Fixed Paraffin-Embedded (FFPE) Tissue Protocol
- Chromogenic Immunohistochemistry Staining of Frozen Tissue
- ClariTSA™ Fluorophore Kits
- Detection & Visualization of Antibody Binding
- ELISA Sample Preparation & Collection Guide
- ELISA Troubleshooting Guide
- Fluorescent IHC Staining of Frozen Tissue Protocol
- Graphic Protocol for Heat-induced Epitope Retrieval
- Graphic Protocol for the Preparation and Fluorescent IHC Staining of Frozen Tissue Sections
- Graphic Protocol for the Preparation and Fluorescent IHC Staining of Paraffin-embedded Tissue Sections
- Graphic Protocol for the Preparation of Gelatin-coated Slides for Histological Tissue Sections
- How to Run an R&D Systems DuoSet ELISA
- How to Run an R&D Systems Quantikine ELISA
- How to Run an R&D Systems Quantikine™ QuicKit™ ELISA
- ICC Cell Smear Protocol for Suspension Cells
- ICC Immunocytochemistry Protocol Videos
- ICC for Adherent Cells
- IHC Sample Preparation (Frozen sections vs Paraffin)
- Immunocytochemistry (ICC) Protocol
- Immunocytochemistry Troubleshooting
- Immunofluorescence of Organoids Embedded in Cultrex Basement Membrane Extract
- Immunofluorescent IHC Staining of Formalin-Fixed Paraffin-Embedded (FFPE) Tissue Protocol
- Immunohistochemistry (IHC) and Immunocytochemistry (ICC) Protocols
- Immunohistochemistry Frozen Troubleshooting
- Immunohistochemistry Paraffin Troubleshooting
- Preparing Samples for IHC/ICC Experiments
- Preventing Non-Specific Staining (Non-Specific Binding)
- Primary Antibody Selection & Optimization
- Protocol for Heat-Induced Epitope Retrieval (HIER)
- Protocol for Making a 4% Formaldehyde Solution in PBS
- Protocol for VisUCyte™ HRP Polymer Detection Reagent
- Protocol for the Fluorescent ICC Staining of Cell Smears - Graphic
- Protocol for the Fluorescent ICC Staining of Cultured Cells on Coverslips - Graphic
- Protocol for the Preparation & Fixation of Cells on Coverslips
- Protocol for the Preparation and Chromogenic IHC Staining of Frozen Tissue Sections
- Protocol for the Preparation and Chromogenic IHC Staining of Frozen Tissue Sections - Graphic
- Protocol for the Preparation and Chromogenic IHC Staining of Paraffin-embedded Tissue Sections
- Protocol for the Preparation and Chromogenic IHC Staining of Paraffin-embedded Tissue Sections - Graphic
- Protocol for the Preparation and Fluorescent ICC Staining of Cells on Coverslips
- Protocol for the Preparation and Fluorescent ICC Staining of Non-adherent Cells
- Protocol for the Preparation and Fluorescent ICC Staining of Stem Cells on Coverslips
- Protocol for the Preparation and Fluorescent IHC Staining of Frozen Tissue Sections
- Protocol for the Preparation and Fluorescent IHC Staining of Paraffin-embedded Tissue Sections
- Protocol for the Preparation of Gelatin-coated Slides for Histological Tissue Sections
- Protocol for the Preparation of a Cell Smear for Non-adherent Cell ICC - Graphic
- Quantikine HS ELISA Kit Assay Principle, Alkaline Phosphatase
- Quantikine HS ELISA Kit Principle, Streptavidin-HRP Polymer
- R&D Systems Quality Control Western Blot Protocol
- Sandwich ELISA (Colorimetric) – Biotin/Streptavidin Detection Protocol
- Sandwich ELISA (Colorimetric) – Direct Detection Protocol
- TUNEL and Active Caspase-3 Detection by IHC/ICC Protocol
- The Importance of IHC/ICC Controls
- Troubleshooting Guide: ELISA
- Troubleshooting Guide: Immunohistochemistry
- Troubleshooting Guide: Western Blot Figures
- Western Blot Conditions
- Western Blot Protocol
- Western Blot Protocol for Cell Lysates
- Western Blot Troubleshooting
- Western Blot Troubleshooting Guide
- View all Protocols, Troubleshooting, Illustrated assays and Webinars
FAQs for FGF basic/FGF2/bFGF Antibody (8W6M5)
-
Q: Does human FGF basic show activity on mouse cells?
A: Yes, it does. The bioassay uses NR-6 mouse fibroblast cells. There is 95% homology between the human and mouse protein and 98% homology between the human and mouse receptor.
-
Q: Does the human beta -NGF polyclonal antibody (Catalog # AB-256-NA) cross-react with human BDNF, human NT-3, or mouse beta -NGF?
A: In Western blot, less than 5% cross-reactivity was observed with recombinant mouse β-NGF and recombinant rat β-NGF, and no cross-reactivity was observed with recombinant human (rh) NT-3 and rhNT-4.
-
Q: I am looking for an ovine antibody for bFGF and PDGF-AB and ELISA Kits for both. It is for a research work on meniscus healing in sheep. Do you have anything suitable? How is the homology with sheep? Is it ever tested and/or published in papers?
A: Unfortunately, most of the products you are interested in have not yet been tested in sheep, but this should not be a problem, due to sequence homology, and our Innovators Reward Program. In terms of an antibody for bFGF, also called FGF-2, we have several antibodies that are validated to detect the bovine protein, which is almost identical to that from sheep (99% homology). We only have FGF2 ELISA kits that have been tested with human or mouse. Mouse FGF-2 has 94% homology with sheep; human has 98% homology for most of its sequence, but also has an additional stretch of amino acids that is not present in the sheep protein. I therefore think that the mouse kit would be most suitable, just in case the human kit targets the region of the human protein not present in mouse. We sell antibodies to PDGF-A or PDGF-B rather than PDGF-AB. We don't have any PDGF-A antibodies that have been tested in sheep but there are several options you may find of interest. There isn't a sheep PDGFA sequence in UniProt, so I can't comment on how similar it is to the PDGFA from other species. Nevertheless, our NBP1-52533 PDGFB antibody has been shown to work in sheep. We sell two PDGF-AB ELISA kits, but these are for human and rat. I'm not sure how well these would work with sheep. Note that if you test a product with a species (or application) that it has not yet been validated in, you are eligible for our Innovator's Reward: Novus would provide you a 50% refund on the purchased product as well as a 50% discount on a future product of equal or lesser value. You would email innovators@novusbio.com to apply for your award, and we
-
Q: What is the heparin binding activity of FGF and VEGF?
A: These proteins are not assayed for their ability to bind Heparin. More information about the FGF family of growth factors is available in this review article: Basilico, C. (1992) Adv. Can. Res. 59:115.
-
Q: What is the specificity and cross-reactivity of Catalog # AB-233-NA?
A: For Western blot, less than 5% cross-reactivity was observed with recombinant human (rh) β-ECGF, and no cross-reactivity was observed with rhFGF acidic, FGF-4, FGF-5, FGF-6, FGF-7, and FGF-9.
-
Q: What receptors does FGF basic bind?
A: FGF receptor specificity has been reviewed in multiple citations. Please find more information at: //www.rndsystems.com/resources/articles/fibroblast-growth-factors-and-their-receptors
-
Q: Does human FGF basic show activity on mouse cells?
A: Yes, it does. The bioassay uses NR-6 mouse fibroblast cells. There is 95% homology between the human and mouse protein and 98% homology between the human and mouse receptor.
-
Q: Does the human beta -NGF polyclonal antibody (Catalog # AB-256-NA) cross-react with human BDNF, human NT-3, or mouse beta -NGF?
A: In Western blot, less than 5% cross-reactivity was observed with recombinant mouse β-NGF and recombinant rat β-NGF, and no cross-reactivity was observed with recombinant human (rh) NT-3 and rhNT-4.
-
Q: I am looking for an ovine antibody for bFGF and PDGF-AB and ELISA Kits for both. It is for a research work on meniscus healing in sheep. Do you have anything suitable? How is the homology with sheep? Is it ever tested and/or published in papers?
A: Unfortunately, most of the products you are interested in have not yet been tested in sheep, but this should not be a problem, due to sequence homology, and our Innovators Reward Program. In terms of an antibody for bFGF, also called FGF-2, we have several antibodies that are validated to detect the bovine protein, which is almost identical to that from sheep (99% homology). We only have FGF2 ELISA kits that have been tested with human or mouse. Mouse FGF-2 has 94% homology with sheep; human has 98% homology for most of its sequence, but also has an additional stretch of amino acids that is not present in the sheep protein. I therefore think that the mouse kit would be most suitable, just in case the human kit targets the region of the human protein not present in mouse. We sell antibodies to PDGF-A or PDGF-B rather than PDGF-AB. We don't have any PDGF-A antibodies that have been tested in sheep but there are several options you may find of interest. There isn't a sheep PDGFA sequence in UniProt, so I can't comment on how similar it is to the PDGFA from other species. Nevertheless, our NBP1-52533 PDGFB antibody has been shown to work in sheep. We sell two PDGF-AB ELISA kits, but these are for human and rat. I'm not sure how well these would work with sheep. Note that if you test a product with a species (or application) that it has not yet been validated in, you are eligible for our Innovator's Reward: Novus would provide you a 50% refund on the purchased product as well as a 50% discount on a future product of equal or lesser value. You would email innovators@novusbio.com to apply for your award, and we
-
Q: What is the heparin binding activity of FGF and VEGF?
A: These proteins are not assayed for their ability to bind Heparin. More information about the FGF family of growth factors is available in this review article: Basilico, C. (1992) Adv. Can. Res. 59:115.
-
Q: What is the specificity and cross-reactivity of Catalog # AB-233-NA?
A: For Western blot, less than 5% cross-reactivity was observed with recombinant human (rh) β-ECGF, and no cross-reactivity was observed with rhFGF acidic, FGF-4, FGF-5, FGF-6, FGF-7, and FGF-9.
-
Q: What receptors does FGF basic bind?
A: FGF receptor specificity has been reviewed in multiple citations. Please find more information at: //www.rndsystems.com/resources/articles/fibroblast-growth-factors-and-their-receptors
-
Q: Does human FGF basic show activity on mouse cells?
A: Yes, it does. The bioassay uses NR-6 mouse fibroblast cells. There is 95% homology between the human and mouse protein and 98% homology between the human and mouse receptor.
-
Q: Does the human beta -NGF polyclonal antibody (Catalog # AB-256-NA) cross-react with human BDNF, human NT-3, or mouse beta -NGF?
A: In Western blot, less than 5% cross-reactivity was observed with recombinant mouse β-NGF and recombinant rat β-NGF, and no cross-reactivity was observed with recombinant human (rh) NT-3 and rhNT-4.
-
Q: I am looking for an ovine antibody for bFGF and PDGF-AB and ELISA Kits for both. It is for a research work on meniscus healing in sheep. Do you have anything suitable? How is the homology with sheep? Is it ever tested and/or published in papers?
A: Unfortunately, most of the products you are interested in have not yet been tested in sheep, but this should not be a problem, due to sequence homology, and our Innovators Reward Program. In terms of an antibody for bFGF, also called FGF-2, we have several antibodies that are validated to detect the bovine protein, which is almost identical to that from sheep (99% homology). We only have FGF2 ELISA kits that have been tested with human or mouse. Mouse FGF-2 has 94% homology with sheep; human has 98% homology for most of its sequence, but also has an additional stretch of amino acids that is not present in the sheep protein. I therefore think that the mouse kit would be most suitable, just in case the human kit targets the region of the human protein not present in mouse. We sell antibodies to PDGF-A or PDGF-B rather than PDGF-AB. We don't have any PDGF-A antibodies that have been tested in sheep but there are several options you may find of interest. There isn't a sheep PDGFA sequence in UniProt, so I can't comment on how similar it is to the PDGFA from other species. Nevertheless, our NBP1-52533 PDGFB antibody has been shown to work in sheep. We sell two PDGF-AB ELISA kits, but these are for human and rat. I'm not sure how well these would work with sheep. Note that if you test a product with a species (or application) that it has not yet been validated in, you are eligible for our Innovator's Reward: Novus would provide you a 50% refund on the purchased product as well as a 50% discount on a future product of equal or lesser value. You would email innovators@novusbio.com to apply for your award, and we
-
Q: What is the heparin binding activity of FGF and VEGF?
A: These proteins are not assayed for their ability to bind Heparin. More information about the FGF family of growth factors is available in this review article: Basilico, C. (1992) Adv. Can. Res. 59:115.
-
Q: What is the specificity and cross-reactivity of Catalog # AB-233-NA?
A: For Western blot, less than 5% cross-reactivity was observed with recombinant human (rh) β-ECGF, and no cross-reactivity was observed with rhFGF acidic, FGF-4, FGF-5, FGF-6, FGF-7, and FGF-9.
-
Q: What receptors does FGF basic bind?
A: FGF receptor specificity has been reviewed in multiple citations. Please find more information at: //www.rndsystems.com/resources/articles/fibroblast-growth-factors-and-their-receptors
-
Q: Does human FGF basic show activity on mouse cells?
A: Yes, it does. The bioassay uses NR-6 mouse fibroblast cells. There is 95% homology between the human and mouse protein and 98% homology between the human and mouse receptor.
-
Q: Does the human beta -NGF polyclonal antibody (Catalog # AB-256-NA) cross-react with human BDNF, human NT-3, or mouse beta -NGF?
A: In Western blot, less than 5% cross-reactivity was observed with recombinant mouse β-NGF and recombinant rat β-NGF, and no cross-reactivity was observed with recombinant human (rh) NT-3 and rhNT-4.
-
Q: I am looking for an ovine antibody for bFGF and PDGF-AB and ELISA Kits for both. It is for a research work on meniscus healing in sheep. Do you have anything suitable? How is the homology with sheep? Is it ever tested and/or published in papers?
A: Unfortunately, most of the products you are interested in have not yet been tested in sheep, but this should not be a problem, due to sequence homology, and our Innovators Reward Program. In terms of an antibody for bFGF, also called FGF-2, we have several antibodies that are validated to detect the bovine protein, which is almost identical to that from sheep (99% homology). We only have FGF2 ELISA kits that have been tested with human or mouse. Mouse FGF-2 has 94% homology with sheep; human has 98% homology for most of its sequence, but also has an additional stretch of amino acids that is not present in the sheep protein. I therefore think that the mouse kit would be most suitable, just in case the human kit targets the region of the human protein not present in mouse. We sell antibodies to PDGF-A or PDGF-B rather than PDGF-AB. We don't have any PDGF-A antibodies that have been tested in sheep but there are several options you may find of interest. There isn't a sheep PDGFA sequence in UniProt, so I can't comment on how similar it is to the PDGFA from other species. Nevertheless, our NBP1-52533 PDGFB antibody has been shown to work in sheep. We sell two PDGF-AB ELISA kits, but these are for human and rat. I'm not sure how well these would work with sheep. Note that if you test a product with a species (or application) that it has not yet been validated in, you are eligible for our Innovator's Reward: Novus would provide you a 50% refund on the purchased product as well as a 50% discount on a future product of equal or lesser value. You would email innovators@novusbio.com to apply for your award, and we
-
Q: What is the heparin binding activity of FGF and VEGF?
A: These proteins are not assayed for their ability to bind Heparin. More information about the FGF family of growth factors is available in this review article: Basilico, C. (1992) Adv. Can. Res. 59:115.
-
Q: What is the specificity and cross-reactivity of Catalog # AB-233-NA?
A: For Western blot, less than 5% cross-reactivity was observed with recombinant human (rh) β-ECGF, and no cross-reactivity was observed with rhFGF acidic, FGF-4, FGF-5, FGF-6, FGF-7, and FGF-9.
-
Q: What receptors does FGF basic bind?
A: FGF receptor specificity has been reviewed in multiple citations. Please find more information at: //www.rndsystems.com/resources/articles/fibroblast-growth-factors-and-their-receptors
-
Q: Does human FGF basic show activity on mouse cells?
A: Yes, it does. The bioassay uses NR-6 mouse fibroblast cells. There is 95% homology between the human and mouse protein and 98% homology between the human and mouse receptor.
-
Q: Does the human beta -NGF polyclonal antibody (Catalog # AB-256-NA) cross-react with human BDNF, human NT-3, or mouse beta -NGF?
A: In Western blot, less than 5% cross-reactivity was observed with recombinant mouse β-NGF and recombinant rat β-NGF, and no cross-reactivity was observed with recombinant human (rh) NT-3 and rhNT-4.
-
Q: I am looking for an ovine antibody for bFGF and PDGF-AB and ELISA Kits for both. It is for a research work on meniscus healing in sheep. Do you have anything suitable? How is the homology with sheep? Is it ever tested and/or published in papers?
A: Unfortunately, most of the products you are interested in have not yet been tested in sheep, but this should not be a problem, due to sequence homology, and our Innovators Reward Program. In terms of an antibody for bFGF, also called FGF-2, we have several antibodies that are validated to detect the bovine protein, which is almost identical to that from sheep (99% homology). We only have FGF2 ELISA kits that have been tested with human or mouse. Mouse FGF-2 has 94% homology with sheep; human has 98% homology for most of its sequence, but also has an additional stretch of amino acids that is not present in the sheep protein. I therefore think that the mouse kit would be most suitable, just in case the human kit targets the region of the human protein not present in mouse. We sell antibodies to PDGF-A or PDGF-B rather than PDGF-AB. We don't have any PDGF-A antibodies that have been tested in sheep but there are several options you may find of interest. There isn't a sheep PDGFA sequence in UniProt, so I can't comment on how similar it is to the PDGFA from other species. Nevertheless, our NBP1-52533 PDGFB antibody has been shown to work in sheep. We sell two PDGF-AB ELISA kits, but these are for human and rat. I'm not sure how well these would work with sheep. Note that if you test a product with a species (or application) that it has not yet been validated in, you are eligible for our Innovator's Reward: Novus would provide you a 50% refund on the purchased product as well as a 50% discount on a future product of equal or lesser value. You would email innovators@novusbio.com to apply for your award, and we
-
Q: What is the heparin binding activity of FGF and VEGF?
A: These proteins are not assayed for their ability to bind Heparin. More information about the FGF family of growth factors is available in this review article: Basilico, C. (1992) Adv. Can. Res. 59:115.
-
Q: What is the specificity and cross-reactivity of Catalog # AB-233-NA?
A: For Western blot, less than 5% cross-reactivity was observed with recombinant human (rh) β-ECGF, and no cross-reactivity was observed with rhFGF acidic, FGF-4, FGF-5, FGF-6, FGF-7, and FGF-9.
-
Q: What receptors does FGF basic bind?
A: FGF receptor specificity has been reviewed in multiple citations. Please find more information at: //www.rndsystems.com/resources/articles/fibroblast-growth-factors-and-their-receptors
-
Q: Does human FGF basic show activity on mouse cells?
A: Yes, it does. The bioassay uses NR-6 mouse fibroblast cells. There is 95% homology between the human and mouse protein and 98% homology between the human and mouse receptor.
-
Q: Does the human beta -NGF polyclonal antibody (Catalog # AB-256-NA) cross-react with human BDNF, human NT-3, or mouse beta -NGF?
A: In Western blot, less than 5% cross-reactivity was observed with recombinant mouse β-NGF and recombinant rat β-NGF, and no cross-reactivity was observed with recombinant human (rh) NT-3 and rhNT-4.
-
Q: I am looking for an ovine antibody for bFGF and PDGF-AB and ELISA Kits for both. It is for a research work on meniscus healing in sheep. Do you have anything suitable? How is the homology with sheep? Is it ever tested and/or published in papers?
A: Unfortunately, most of the products you are interested in have not yet been tested in sheep, but this should not be a problem, due to sequence homology, and our Innovators Reward Program. In terms of an antibody for bFGF, also called FGF-2, we have several antibodies that are validated to detect the bovine protein, which is almost identical to that from sheep (99% homology). We only have FGF2 ELISA kits that have been tested with human or mouse. Mouse FGF-2 has 94% homology with sheep; human has 98% homology for most of its sequence, but also has an additional stretch of amino acids that is not present in the sheep protein. I therefore think that the mouse kit would be most suitable, just in case the human kit targets the region of the human protein not present in mouse. We sell antibodies to PDGF-A or PDGF-B rather than PDGF-AB. We don't have any PDGF-A antibodies that have been tested in sheep but there are several options you may find of interest. There isn't a sheep PDGFA sequence in UniProt, so I can't comment on how similar it is to the PDGFA from other species. Nevertheless, our NBP1-52533 PDGFB antibody has been shown to work in sheep. We sell two PDGF-AB ELISA kits, but these are for human and rat. I'm not sure how well these would work with sheep. Note that if you test a product with a species (or application) that it has not yet been validated in, you are eligible for our Innovator's Reward: Novus would provide you a 50% refund on the purchased product as well as a 50% discount on a future product of equal or lesser value. You would email innovators@novusbio.com to apply for your award, and we
-
Q: What is the heparin binding activity of FGF and VEGF?
A: These proteins are not assayed for their ability to bind Heparin. More information about the FGF family of growth factors is available in this review article: Basilico, C. (1992) Adv. Can. Res. 59:115.
-
Q: What is the specificity and cross-reactivity of Catalog # AB-233-NA?
A: For Western blot, less than 5% cross-reactivity was observed with recombinant human (rh) β-ECGF, and no cross-reactivity was observed with rhFGF acidic, FGF-4, FGF-5, FGF-6, FGF-7, and FGF-9.
-
Q: What receptors does FGF basic bind?
A: FGF receptor specificity has been reviewed in multiple citations. Please find more information at: //www.rndsystems.com/resources/articles/fibroblast-growth-factors-and-their-receptors