Human CXCL13/BLC/BCA-1 Antibody Summary
Val23-Arg94
Accession # Q53X90
*Small pack size (-SP) is supplied either lyophilized or as a 0.2 µm filtered solution in PBS.
Applications
Please Note: Optimal dilutions should be determined by each laboratory for each application. General Protocols are available in the Technical Information section on our website.
Scientific Data
View Larger
Chemotaxis Induced by CXCL13/BLC/BCA‑1 and Neutralization by Human CXCL13/BLC/BCA‑1 Antibody. Recombinant Human CXCL13/BLC/BCA-1 (Catalog # 801-CX) chemoattracts the BaF3 mouse pro-B cell line transfected with human CXCR5 in a dose-dependent manner (orange line). The amount of cells that migrated through to the lower chemotaxis chamber was measured by Resazurin. Chemotaxis elicited by Recombinant Human CXCL13/BLC/BCA-1 (50 ng/mL) is neutralized (green line) by increasing concentrations of Goat Anti-Human CXCL13/BLC/BCA-1 Antigen Affinity-purified Polyclonal Antibody (Catalog # AF801). The ND50 is typically 1-4 µg/mL.
View Larger
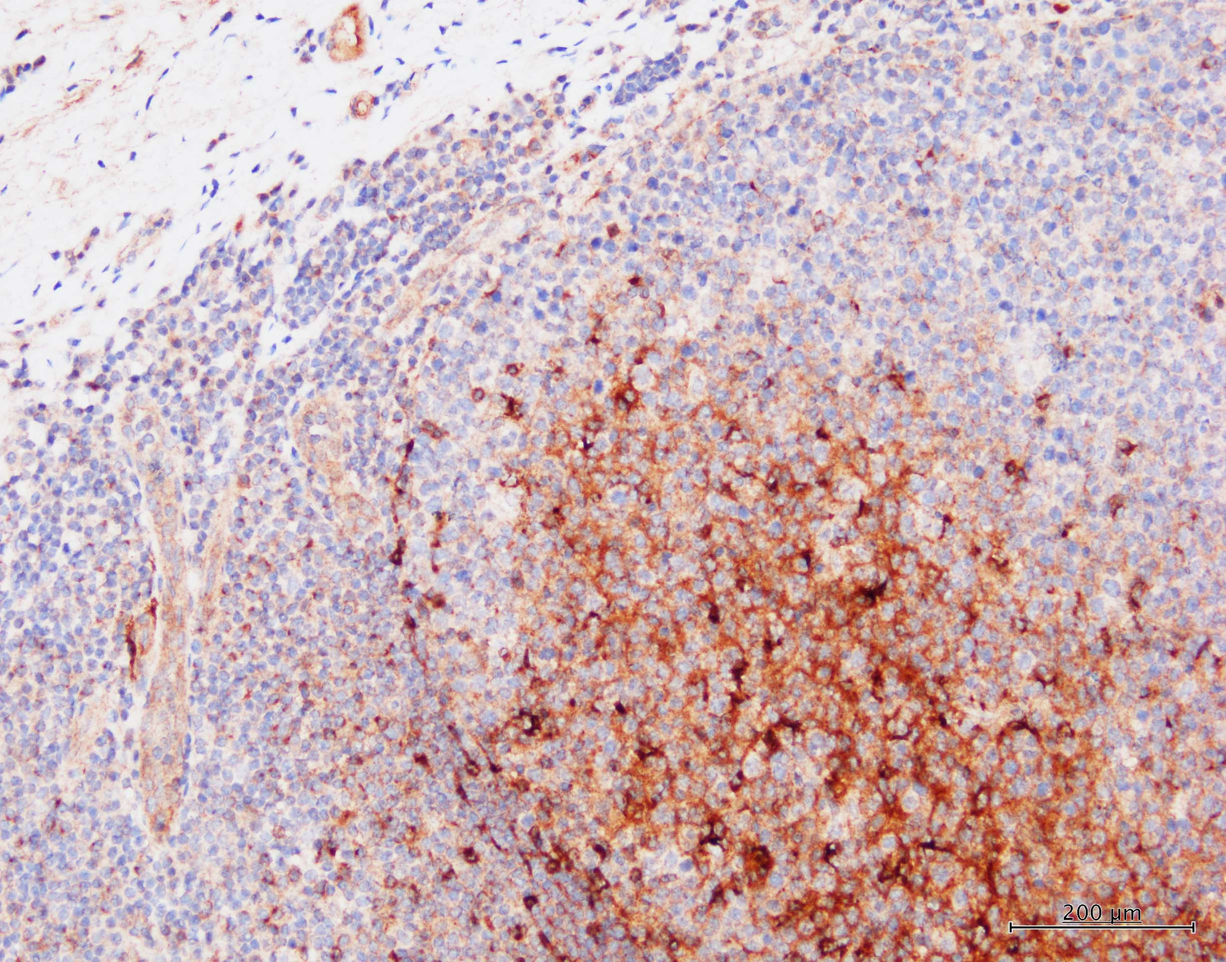
CXCL13/BLC/BCA‑1 in Human Lymphoma. CXCL13/BLC/BCA-1 was detected in immersion fixed paraffin-embedded sections of human lymphoma using Goat Anti-Human CXCL13/BLC/BCA-1 Antigen Affinity-purified Polyclonal Antibody (Catalog # AF801) at 10 µg/mL overnight at 4 °C. Before incubation with the primary antibody, tissue was subjected to heat-induced epitope retrieval using Antigen Retrieval Reagent-Basic (Catalog # CTS013). Tissue was stained using the Anti-Goat HRP-DAB Cell & Tissue Staining Kit (brown; Catalog # CTS008) and counterstained with hematoxylin (blue). Specific staining was localized to cytoplasm. View our protocol for Chromogenic IHC Staining of Paraffin-embedded Tissue Sections.
View Larger
Detection of CXCL13/BLC/BCA‑1 in Human Lymphoma. Formalin-fixed paraffin-embedded tissue sections of Hodgkin’s Lymphoma were probed for CXCL13 mRNA (ACD RNAScope Probe, catalog # 311321; Fast Red chromogen, ACD catalog # 322360). Adjacent tissue section was processed for immunohistochemistry using goat anti-human CXCL13 polyclonal antibody (R&D Systems catalog # AF801) at 5ug/mL with 1-hour incubation at room temperature followed by incubation with anti-goat IgG VisUCyte HRP Polymer Antibody (Catalog # VC004) and DAB chromogen (yellow-brown). Tissue was counterstained with hematoxylin (blue). Specific staining was localized to cytoplasm.
View Larger
Detection of CXCL13/BLC/BCA-1 by Flow Cytometry The anti-tumor function of Tfh cells was impaired in PDAC. (A) Representative flow cytometry data and the proportion of functional cTfh cells (CXCL13+ IL-21+) from the peripheral blood of healthy donors (n = 4) and patients with PDAC of different stages (nI = 5, nII = 4, nIII = 4). (B) Representative flow cytometry data and (C) the proportion of CD8+ T cells and B cells recruited to the bottom of the Transwell chamber by cTfh cells treated with or without rhCXCL13 or anti-CXCL13 neutralizing antibodies. (D) Representative flow cytometry data and the proportion of plasma cells (CD27+ CD38+) in B cells (CD19+ CD20+) from the peripheral blood of healthy donors (n = 4) and patients with PDAC at different stages (nI = 5, nII = 4, nIII = 4). (E) Representative flow cytometry data and the proportion of IgG-secreting plasma cells from cells in (D). (F) Representative flow cytometry data and the proportion of IgM-secreting plasma cells from cells in (D). (G) Representative flow cytometry data and the proportion of plasma cells (CD27+ CD38+) in B cells (CD19+ CD20+) co-cultured with cTfh cells sorted from the peripheral blood of healthy donors (n = 3) and patients with PDAC (n = 3). (H) Representative flow cytometry data and the proportion of IgG-secreting plasma cells from cells in (G). (I) Representative flow cytometry data and the proportion of IgM-secreting plasma cells from cells in (G). Asterisks indicated the significance level of the p-value (* p < 0.05 and ** p < 0.01). Image collected and cropped by CiteAb from the following open publication (https://pubmed.ncbi.nlm.nih.gov/34359579), licensed under a CC-BY license. Not internally tested by R&D Systems.
Reconstitution Calculator
Preparation and Storage
- 12 months from date of receipt, -20 to -70 °C as supplied.
- 1 month, 2 to 8 °C under sterile conditions after reconstitution.
- 6 months, -20 to -70 °C under sterile conditions after reconstitution.
Background: CXCL13/BLC/BCA-1
CXCL13, also known as B-lymphocyte chemoattractant (BLC), is a CXC chemokine that is constitutively expressed in secondary lymphoid organs. BCA-1 cDNA encodes a protein of 109 amino acid residues with a leader sequence of 22 residues. Mature human BCA-1 shares 64% amino acid sequence similarity with the mouse protein and 23‑34% amino acid sequence identity with other known CXC chemokines. Recombinant or chemically synthesized BCA-1 is a potent chemoattractant for B lymphocytes but not T lymphocytes, monocytes or neutrophils. BLR1, a G protein-coupled receptor originally isolated from Burkitt’s lymphoma cells, has now been shown to be the specific receptor for BCA1. Among cells of the hematopoietic lineages, the expression of BLR1, now designated CXCR5, is restricted to B lymphocytes and a subpopulation of T helper memory cells. Mice lacking BLR1 have been shown to lack inguinal lymph nodes. These mice were also found to have impaired development of Peyer’s patches and defective formation of primary follicles and germinal centers in the spleen as a result of the inability of B lymphocytes to migrate into B cell areas.
- Gunn, M.D. et al. (1998) Nature, 391:799.
- Legler, D.F. et al. (1998) J. Exp. Med. 187:655.
- Forster, R. et al. (1996) Cell 87:1037.
Product Datasheets
Citations for Human CXCL13/BLC/BCA-1 Antibody
R&D Systems personnel manually curate a database that contains references using R&D Systems products. The data collected includes not only links to publications in PubMed, but also provides information about sample types, species, and experimental conditions.
42
Citations: Showing 1 - 10
Filter your results:
Filter by:
-
CXCR5 guides migration and tumor eradication of anti-EGFR chimeric antigen receptor T cells
Authors: Guangchao Li, Jintao Guo, Yanfang Zheng, Wen Ding, Zheping Han, Lingyu Qin et al.
Molecular Therapy - Oncolytics
-
CXCL13 expression in mouse 4T1 breast cancer microenvironment elicits antitumor immune response by regulating immune cell infiltration
Authors: Qizhi Ma, Yue Chen, Qing Qin, Fuchun Guo, Yong-sheng Wang, Dan Li
Precision Clinical Medicine
-
Macaque Paneth Cells Express Lymphoid Chemokine CXCL13 and Other Antimicrobial Peptides Not Previously Described as Expressed in Intestinal Crypts.
Authors: Lucero CM, Fallert Junecko B, Klamar CR et al.
Clin Vaccine Immunol
-
Circulating (CD3(-)CD19(+)CD20(-)IgD(-)CD27(high)CD38(high)) Plasmablasts: A Promising Cellular Biomarker for Immune Activity for Anti-PLA2R1 Related Membranous Nephropathy?
Authors: Agnieszka Pozdzik, Ingrid Beukinga, Chunyan Gu-Trantien, Karen Willard-Gallo, Joëlle Nortier, Olivier Pradier
Mediators of Inflammation
-
CD4+ follicular helper T cell infiltration predicts breast cancer survival
Authors: Chunyan Gu-Trantien, Sherene Loi, Soizic Garaud, Carole Equeter, Myriam Libin, Alexandre de Wind et al.
Journal of Clinical Investigation
-
Tertiary Lymphoid Organs in Lymphatic Malformations
Authors: Andrew L. Kirsh, Sharon L. Cushing, Eunice Y. Chen, Stephen M. Schwartz, Jonathan A. Perkins
Lymphatic Research and Biology
-
Lymphoid Aggregates That Resemble Tertiary Lymphoid Organs Define a Specific Pathological Subset in Metal-on-Metal Hip Replacements
Authors: Saloni Mittal, Matthew Revell, Francesca Barone, Debbie L. Hardie, Gulraj S. Matharu, Alison J. Davenport et al.
PLoS ONE
-
A new 12-gene diagnostic biomarker signature of melanoma revealed by integrated microarray analysis
Authors: Wanting Liu, Yonghong Peng, Desmond J. Tobin
PeerJ
-
TNF-&alpha and IL-10 Control CXCL13 Expression in Human Macrophages
Authors: N Bellamri, R Viel, C Morzadec, V Lecureur, A Joannes, B de Latour, F Llamas-Gut, L Wollin, S Jouneau, L Vernhet
J. Immunol., 2020-03-25;0(0):.
-
IL-35 producing B cells promote the development of pancreatic neoplasia
Authors: Yuliya Pylayeva-Gupta, Shipra Das, Jesse S. Handler, Cristina H. Hajdu, Maryaline Coffre, Sergei B. Koralov et al.
Cancer Discovery
-
Aligning cellular and molecular components in age-dependent tertiary lymphoid tissues of kidney and liver
Authors: Toriu, N;Sato, Y;Kamimura, H;Yoshikawa, T;Tanaka, M;Yamamoto, S;Fukuma, S;Hattori, M;Terai, S;Yanagita, M;
PloS one
Species: Human
Sample Types: Whole Tissue
Applications: Immunohistochemistry -
Molecular and spatial analysis of tertiary lymphoid structures in Sjogrens syndrome
Authors: Nayar, S;Turner, J;Asam, S;Fennell, É;Pugh, M;Colafrancesco, S;Berardicurti, O;Smith, C;Flint, J;Teodósio, A;Iannizzotto, V;Gardner, D;Roon, J;Korsunsky, I;Howdle, D;Brenner, M;Coles, M;Powrie, F;Raychaudhuri, S;Frei, A;Lassen, K;Bowman, S;Ng, W;Croft, A;Filer, A;Fisher, B;Buckley, C;Barone, F;
Nature communications
Species: Human
Sample Types: Whole Tissue
Applications: Immunohistochemistry -
Tumoral and stromal hMENA isoforms impact tertiary lymphoid structure localization in lung cancer and predict immune checkpoint blockade response in patients with cancer
Authors: Di Modugno, F;Di Carlo, A;Spada, S;Palermo, B;D'Ambrosio, L;D'Andrea, D;Morello, G;Belmonte, B;Sperduti, I;Balzano, V;Gallo, E;Melchionna, R;Panetta, M;Campo, G;De Nicola, F;Goeman, F;Antoniani, B;Carpano, S;Frigè, G;Warren, S;Gallina, F;Lambrechts, D;Xiong, J;Vincent, BG;Wheeler, N;Bortone, DS;Cappuzzo, F;Facciolo, F;Tripodo, C;Visca, P;Nisticò, P;
EBioMedicine
Species: Human
Sample Types: Whole Tissue
Applications: IHC -
Comparison of Follicular Helper T-Cell Markers with the Expression of the Follicular Homing Marker CXCR5 in Peripheral T-Cell Lymphomas-A Reappraisal of Follicular Helper T-Cell Lymphomas
Authors: Krenács, L;Krenács, D;Borbényi, Z;Tóth, E;Nagy, A;Piukovics, K;Bagdi, E;
International journal of molecular sciences
Species: Human
Sample Types: Whole Tissue
Applications: Immunohistochemistry -
CXCL13 is a predictive biomarker in idiopathic multicentric Castleman disease
Authors: SK Pierson, L Katz, R Williams, M Mumau, M Gonzalez, S Guzman, A Rubenstein, AB Oromendia, P Beineke, A Fosså, F van Rhee, DC Fajgenbaum
Nature Communications, 2022-11-24;13(1):7236.
Species: Human
Sample Types: Whole Tissue
Applications: IHC -
Ulcerative colitis is characterized by a plasmablast-skewed humoral response associated with disease activity
Authors: M Uzzan, JC Martin, L Mesin, AE Livanos, T Castro-Dop, R Huang, F Petralia, G Magri, S Kumar, Q Zhao, AK Rosenstein, M Tokuyama, K Sharma, R Ungaro, R Kosoy, D Jha, J Fischer, H Singh, ME Keir, N Ramamoorth, WEO Gorman, BL Cohen, A Rahman, F Cossarini, A Seki, L Leyre, ST Vaquero, S Gurunathan, EK Grasset, B Losic, M Dubinsky, AJ Greenstein, Z Gottlieb, P Legnani, J George, H Irizar, A Stojmirovi, C Brodmerkel, A Kasarkis, BE Sands, G Furtado, SA Lira, ZK Tuong, HM Ko, A Cerutti, CO Elson, MR Clatworthy, M Merad, M Suárez-Far, C Argmann, JA Hackney, GD Victora, GJ Randolph, E Kenigsberg, JF Colombel, S Mehandru
Nature Medicine, 2022-02-21;0(0):.
Species: Human
Sample Types: Whole Tissue
Applications: IHC -
Defined tumor antigen-specific T cells potentiate personalized TCR-T cell therapy and prediction of immunotherapy response
Authors: J He, X Xiong, H Yang, D Li, X Liu, S Li, S Liao, S Chen, X Wen, K Yu, L Fu, X Dong, K Zhu, X Xia, T Kang, C Bian, X Li, H Liu, P Ding, X Zhang, Z Liu, W Li, Z Zuo, P Zhou
Cell Research, 2022-02-14;0(0):.
Species: Xenograft
Sample Types: Whole Tissue
Applications: IHC -
Immune cell topography predicts response to PD-1 blockade in cutaneous T cell lymphoma
Authors: D Phillips, M Matusiak, BR Gutierrez, SS Bhate, GL Barlow, S Jiang, J Demeter, KS Smythe, RH Pierce, SP Fling, N Ramchurren, MA Cheever, Y Goltsev, RB West, MS Khodadoust, YH Kim, CM Schürch, GP Nolan
Nature Communications, 2021-11-18;12(1):6726.
Species: Human
Sample Types: Whole Tissue
Applications: IHC -
Preoperative ipilimumab plus nivolumab in locoregionally advanced urothelial cancer: the NABUCCO trial
Authors: N van Dijk, A Gil-Jimene, K Silina, K Hendrickse, LA Smit, JM de Feijter, ML van Montfo, C van Rooije, D Peters, A Broeks, HG van der Po, A Bruining, Y Lubeck, K Sikorska, TN Boellaard, P Kvistborg, DJ Vis, E Hooijberg, TN Schumacher, M van den Br, LFA Wessels, CU Blank, BW van Rhijn, MS van der He
Nat Med, 2020-10-12;0(0):.
Species: Human
Sample Types: Whole Tissue
Applications: IHC -
Histopathology and expression of the chemokines CXCL10, CXCL13, and CXCR3 and the endogenous TLR-4 ligand S100A8/A9 in lymph nodes of patients with adult-onset Still's disease
Authors: HA Kim, YH Kim, YK Jeon, WI Yang, JE Kwon, JH Han
Sci Rep, 2019-05-17;9(1):7517.
Species: Human
Sample Types: Whole Tissue
Applications: IHC-P -
Elevated Expression of Chemokine CXCL13 in Chronic Hepatitis B Patients Links to Immune Control during Antiviral Therapy
Authors: C Liu, X Huang, M Werner, R Broering, J Ge, Y Li, B Liao, J Sun, J Peng, M Lu, J Hou, X Zhang
Front Immunol, 2017-03-23;8(0):323.
Species: Human
Sample Types: Whole Tissue
Applications: IHC -
Hif1a Deletion Reveals Pro-Neoplastic Function of B Cells in Pancreatic Neoplasia
Cancer Discov, 2015-12-29;6(3):256-69.
Species: Human
Sample Types: Whole Tissue
Applications: IHC-P -
CXCL13 antibody for the treatment of autoimmune disorders.
Authors: Klimatcheva E, Pandina T, Reilly C, Torno S, Bussler H, Scrivens M, Jonason A, Mallow C, Doherty M, Paris M, Smith E, Zauderer M
BMC Immunol, 2015-02-12;16(0):6.
Species: Human
Sample Types: Whole Cells
Applications: Bioassay -
Control of the T follicular helper-germinal center B-cell axis by CD8(+) regulatory T cells limits atherosclerosis and tertiary lymphoid organ development.
Authors: Clement M, Guedj K, Andreata F, Morvan M, Bey L, Khallou-Laschet J, Gaston A, Delbosc S, Alsac J, Bruneval P, Deschildre C, Le Borgne M, Castier Y, Kim H, Cantor H, Michel J, Caligiuri G, Nicoletti A
Circulation, 2014-12-31;131(6):560-70.
Species: Human
Sample Types: Whole Tissue
Applications: IHC-P -
Occurrence of tertiary lymphoid tissue is associated with T-cell infiltration and predicts better prognosis in early-stage colorectal cancers.
Authors: Di Caro G, Bergomas F, Grizzi F, Doni A, Bianchi P, Malesci A, Laghi L, Allavena P, Mantovani A, Marchesi F
Clin Cancer Res, 2014-02-12;20(8):2147-58.
Species: Human
Sample Types: Whole Tissue
Applications: IHC-P -
CXCR5(+) T helper cells mediate protective immunity against tuberculosis.
Authors: Slight S, Rangel-Moreno J, Gopal R, Lin Y, Fallert Junecko B, Mehra S, Selman M, Becerril-Villanueva E, Baquera-Heredia J, Pavon L, Kaushal D, Reinhart T, Randall T, Khader S
J Clin Invest, 2013-01-02;123(2):712-26.
Species: Human, Primate - Macaca mulatta (Rhesus Macaque)
Sample Types: Whole Tissue
Applications: IHC-P -
Tertiary Lymphoid Organs in Lymphatic Malformations
Authors: Andrew L. Kirsh, Sharon L. Cushing, Eunice Y. Chen, Stephen M. Schwartz, Jonathan A. Perkins
Lymphatic Research and Biology
Species: Human
Sample Types: Whole Tissue
Applications: Immunohistochemistry -
Thymic alterations in GM2 gangliosidoses model mice.
Authors: Kanzaki S, Yamaguchi A, Yamaguchi K, Kojima Y, Suzuki K, Koumitsu N, Nagashima Y, Nagahama K, Ehara M, Hirayasu Y, Ryo A, Aoki I, Yamanaka S
PLoS ONE, 2010-08-10;5(8):.
Species: Mouse
Sample Types: Whole Tissue
Applications: IHC-Fr -
Mature antigen-experienced T helper cells synthesize and secrete the B cell chemoattractant CXCL13 in the inflammatory environment of the rheumatoid joint.
Arthritis Rheum., 2008-11-01;58(0):3377-87.
Species: Human
Sample Types: Whole Cells, Whole Tissue
Applications: ICC, IHC-P -
Interaction of the Lyme disease spirochete Borrelia burgdorferi with brain parenchyma elicits inflammatory mediators from glial cells as well as glial and neuronal apoptosis.
Authors: Ramesh G, Borda JT, Dufour J, Kaushal D, Ramamoorthy R, Lackner AA, Philipp MT
Am. J. Pathol., 2008-10-02;173(5):1415-27.
Species: Primate - Macaca mulatta (Rhesus Macaque)
Sample Types: Whole Tissue
Applications: IHC-Fr -
Increased serum levels of the chemokine CXCL13 and up-regulation of its gene expression are distinctive features of HCV-related cryoglobulinemia and correlate with active cutaneous vasculitis.
Authors: Sansonno D, Tucci FA, Troiani L, Lauletta G, Montrone M, Conteduca V, Sansonno L, Dammacco F
Blood, 2008-06-12;112(5):1620-7.
Species: Human
Sample Types: Whole Tissue
Applications: IHC-P -
Distinct cytokine-driven responses of activated blood gammadelta T cells: insights into unconventional T cell pleiotropy.
Authors: Vermijlen D, Ellis P, Langford C, Klein A, Engel R, Willimann K, Jomaa H, Hayday AC, Eberl M
J. Immunol., 2007-04-01;178(7):4304-14.
Species: Human
Sample Types: Whole Tissue
Applications: IHC-P -
Classification of distinct subtypes of peripheral T-cell lymphoma unspecified, identified by chemokine and chemokine receptor expression: Analysis of prognosis.
Authors: Ohshima K, Karube K, Kawano R, Tsuchiya T, Suefuji H, Yamaguchi T, Suzumiya J, Kikuchii M
Int. J. Oncol., 2004-09-01;25(3):605-13.
Species: Human
Sample Types: Whole Tissue
Applications: IHC-P -
Recapitulation of B cell differentiation in the central nervous system of patients with multiple sclerosis.
Authors: Casazza S, Zappia E, Pistorio A, Gambini C
Proc. Natl. Acad. Sci. U.S.A., 2004-07-19;101(30):11064-9.
Species: Human
Sample Types: Whole Tissue
Applications: IHC-P -
Developing neonatal rabbit appendix, a primary lymphoid organ, is seeded by immature blood-borne B cells: evidence for roles for CD62L/PNAd, CCR7/CCL21, alpha4beta1 and LFA-1.
Authors: Sinha RK, Mage RG
Dev. Comp. Immunol., 2004-06-01;28(7):829-41.
Species: Rabbit
Sample Types: Whole Tissue
Applications: IHC -
Assessment of anti-CD20 antibody pre-treatment for augmentation of CAR-T cell therapy in SIV-infected rhesus macaques
Authors: Mary S. Pampusch, Emily N. Sevcik, Zoe E. Quinn, Brianna C. Davey, James M. Berg, Ian Gorrell-Brown et al.
Frontiers in Immunology
-
Differential Expression of Programmed Death-1 (PD-1) in Sézary Syndrome and Mycosis Fungoides
Authors: Fatma Çetinözman, Patty M. Jansen, Maarten H. Vermeer, Rein Willemze
Archives of Dermatology
-
The pathological features of ectopic lymphoid neogenesis in idiopathic dacryoadenitis
Authors: Jie Guo, Jiang Qian, Rui Zhang
BMC Ophthalmology
-
Follicular dendritic cell differentiation is associated with distinct synovial pathotype signatures in rheumatoid arthritis
Authors: Mohey Eldin M. El Shikh, Riham El Sayed, Nesreen Amer Ramadan Aly, Edoardo Prediletto, Rebecca Hands, Liliane Fossati-Jimack et al.
Frontiers in Medicine
-
Heterogeneous fibroblasts underlie age-dependent tertiary lymphoid tissues in the kidney
Authors: Yuki Sato, Akiko Mii, Yoko Hamazaki, Harumi Fujita, Hirosuke Nakata, Kyoko Masuda et al.
JCI Insight
-
Antibodies to Endothelial Cell Growth Factor and Obliterative Microvascular Lesions in the Synovium of Patients With Antibiotic-Refractory Lyme Arthritis
Authors: Diana Londoño, Diego Cadavid, Elise E. Drouin, Klemen Strle, Gail McHugh, John M. Aversa et al.
Arthritis & Rheumatology
-
The Vaccine-site Microenvironment Induced by Injection of Incomplete Freund's Adjuvant, With or Without Melanoma Peptides
Authors: Rebecca C. Harris, Kimberly A. Chianese-Bullock, Gina R. Petroni, Jochen T. Schaefer, Louis B. Brill, Kerrington R. Molhoek et al.
Journal of Immunotherapy
FAQs
No product specific FAQs exist for this product, however you may
View all Antibody FAQsReviews for Human CXCL13/BLC/BCA-1 Antibody
Average Rating: 4.8 (Based on 5 Reviews)
Have you used Human CXCL13/BLC/BCA-1 Antibody?
Submit a review and receive an Amazon gift card.
$25/€18/£15/$25CAN/¥75 Yuan/¥2500 Yen for a review with an image
$10/€7/£6/$10 CAD/¥70 Yuan/¥1110 Yen for a review without an image
Filter by:
CXCL13 and negative control.
Human spleens fixed in 4% PFA
Tonsil FFPE section.
Primary Ab: 2ug/mL
Detected using BOND Refine kit
Rabbit anti-goat was used as Post Primary
ER2 retrieval
The CXCL13 can be observed in blue while CXCR5+ cells are observed in red
