Human E-Selectin/CD62E Antibody
Human E-Selectin/CD62E Antibody Summary
Applications
Human E-Selectin/CD62E Sandwich Immunoassay
Please Note: Optimal dilutions should be determined by each laboratory for each application. General Protocols are available in the Technical Information section on our website.
Scientific Data
View Larger
Detection of E-Selectin/CD62E in HUVECs by Flow Cytometry. Human umbilical cord endothelial cells (HUVECs) were cultured for 6 hours in the presence of 25 ng/mL of rhTNF-alpha (210-TA, filled histogram) or rested (open histogram) and stained with Mouse anti-human E-selectin/CD62E (BBA16) followed by Goat anti-Mouse APC-conjugated secondary antibody (F0101B). Gates were set based on isotype control (MAB002, data not shown). Staining was performed using our Staining Membrane-associated Proteins protocol.
View Larger
E-Selectin/CD62E in HUVEC Human Cells. E-Selectin/CD62E was detected in immersion fixed HUVEC human umbilical vein endothelial cells activated with TNF-a (Catalog # 210-TA-010) using Mouse Anti-Human E-Selectin/ CD62E Monoclonal Antibody (Catalog # BBA16) at 10 µg/mL for 3 hours at room temperature. Cells were stained using the NorthernLights™ 557-conjugated Anti-Mouse IgG Secondary Antibody (red; Catalog # NL007) and counterstained with DAPI (blue). View our protocol for Fluorescent ICC Staining of Cells on Coverslips.
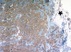
View Larger
E‑Selectin/CD62E in Human Brain. E-Selectin/CD62E was detected in immersion fixed paraffin-embedded sections of human brain (occipital cortex) using 10 µg/mL Mouse Anti-Human E-Selectin/CD62E Monoclonal Antibody (Catalog # BBA16) overnight at 4 °C. Before incubation with the primary antibody tissue was subjected to heat-induced epitope retrieval using Antigen Retrieval Reagent-Basic (Catalog # CTS013). Tissue was stained with the Anti-Mouse HRP-DAB Cell & Tissue Staining Kit (brown; Catalog # CTS002) and counterstained with hematoxylin (blue). View our protocol for Chromogenic IHC Staining of Paraffin-embedded Tissue Sections.
View Larger
Detection of E-Selectin/CD62E by Western Blot Induction of MIR181B expression by methotrexate (MTX) or adenosine is adenosine receptor A3 (ADORA3) dependent.(A) Knockdown for adenosine receptors A1, A2A, A2B, and A3 in HUVECs was performed to analyze MIR181B expression. three biological replicates. One-way ANOVA. (B) MIR181B expression in HUVECs transfected with Ctl-siRNA or ADORA3 siRNA after treatment with MTX (10 µM) or Ad (50 µM) or (C) treatment with TNF-alpha (10 ng/ml) alone or in combination MTX (10 µM) or Ad (50 µM). Three biological replicates. One-way ANOVA and Unpaired two-tailed Student t test. (D) Western blot analyses of VCAM-1, ICAM-1, and E-Selectin expression in HUVECs transfected with Ctl-siRNA or ADORA3 siRNA in the presence of TNF-alpha (10 ng/ml) in combination with either MTX (10 µM) or Ad (50 µM). Three biological replicates. Unpaired two-tailed Student t test. (E) in the presence of miRNA negative control (NS-m) or MIR181B mimics (181b-m) stimulated with TNF-alpha (10 ng/ml) or in combination with MTX (10 µM) or Ad (50 µM). Please see Figure 2—source data 1. Three biological replicates. Unpaired two-tailed Student t test. *p<0.05; **p<0.01; ***p<0.001; ****p<0.0001. n.s. indicated non significance. All values represent mean ± SEM.Figure 2—source data 1.Knockdown efficiency for adenosine receptor siRNAs.mRNA, and protein expression analysis for (A, B) ADORA3 siRNA, (C, D) ADORA1 siRNA, (E, F) ADORA2A siRNA and (G, H) ADORA2B siRNA compared to control siRNA in HUVECs transfected for 36 hr. (A–H), n = 3. ***p<0.001. All values represent mean ± SEM. Image collected and cropped by CiteAb from the following open publication (https://pubmed.ncbi.nlm.nih.gov/33416495), licensed under a CC-BY license. Not internally tested by R&D Systems.
View Larger
Detection of E-Selectin/CD62E by Western Blot Methotrexate (MTX) and Ad repress TNF-alpha -induced pro-inflammatory genes without affecting primary MIR181A-1 and MIR181B-1 expression.(A) Western blot analysis of VCAM-1, ICAM-1, and E-Selectin in HUVECs treated with or without MTX (10 µM) or Ad (50 µM), after stimulation of TNF-alpha (10 ng/ml) for 8 hr. Quantification of n = 3 independent experiments. (B) Real-time qPCR analysis of VCAM-1, ICAM-1, and E-Selectin in HUVECs treated with or without MTX (10 µM) or Ad (50 µM), after treatment with TNF-alpha (10 ng/ml) for 4 hr. Real-time qPCR analysis of (C) primary transcript of MIR181A1 or (D) primary transcript of MIR181B-1 in HUVECs treated with or without MTX (10 µM) or Ad (50 µM), after treatment with TNF-alpha (10 ng/ml) for 4 hr. (A–D), n = 3–6. *p<0.05; **p<0.01; ***p<0.001; ***p<0.0001. All values represent mean ± SEM. Image collected and cropped by CiteAb from the following open publication (https://pubmed.ncbi.nlm.nih.gov/33416495), licensed under a CC-BY license. Not internally tested by R&D Systems.
Reconstitution Calculator
Preparation and Storage
- 12 months from date of receipt, -20 to -70 °C as supplied.
- 1 month, 2 to 8 °C under sterile conditions after reconstitution.
- 6 months, -20 to -70 °C under sterile conditions after reconstitution.
Background: E-Selectin/CD62E
E-Selectin, also known as Endothelial Leukocyte Adhesion Molecule 1 (ELAM-1), and Leukocyte-Endothelial Cell Adhesion Molecule 2 (LECAM-2), has been designated CD62E. It is a cell-surface glycoprotein expressed by activated endothelium and it mediates the adhesion of blood neutrophils.
Product Datasheets
Citations for Human E-Selectin/CD62E Antibody
R&D Systems personnel manually curate a database that contains references using R&D Systems products. The data collected includes not only links to publications in PubMed, but also provides information about sample types, species, and experimental conditions.
60
Citations: Showing 1 - 10
Filter your results:
Filter by:
-
Glycolipid-enriched fraction of Osmanthus fragrans inhibits LPS-induced expression of inflammatory genes, COX-2, E-selectin, and Interleukin-8
Authors: T Pirker, EM Pferschy-W, E Bampali, V Bochkov, R Bauer
Journal of ethnopharmacology, 2023-03-02;0(0):116328.
Species: Human
Sample Types: Cell culture supernate
Applications: BBA16 -
The cancer glycocalyx mediates intravascular adhesion and extravasation during metastatic dissemination
Authors: Giovanni S. Offeddu, Cynthia Hajal, Colleen R. Foley, Zhengpeng Wan, Lina Ibrahim, Mark F. Coughlin et al.
Communications Biology
-
Methotrexate attenuates vascular inflammation through an adenosine-microRNA-dependent pathway
Authors: Dafeng Yang, Stefan Haemmig, Haoyang Zhou, Daniel Pérez-Cremades, Xinghui Sun, Lei Chen et al.
eLife
Species: Mouse
Sample Types: Tissue Homogenates
Applications: Western Blot -
Stabilization of Endothelial Receptor Arrays by a Polarized Spectrin Cytoskeleton Facilitates Rolling and Adhesion of Leukocytes
Authors: S Mylvaganam, M Riedl, A Vega, RF Collins, K Jaqaman, S Grinstein, SA Freeman
Cell Rep, 2020-06-23;31(12):107798.
Species: Human
Sample Types: Whole Cells
Applications: ICC -
Maternal, Fetal, and Placental Selectins in Women With Pre-eclampsia; Association With the Renin-Angiotensin-System
Authors: Hiten D. Mistry, Melissa V. Hott Ogalde, Fiona Broughton Pipkin, Geneviève Escher, Lesia O. Kurlak
Frontiers in Medicine
-
Impact of single nucleotide polymorphisms in the VEGFR2 gene on endothelial cell activation under non‑uniform shear stress
Authors: Nora M. Schacher, Dorette Raaz‑Schrauder, Francesca Pasutto, Florian M. Stumpfe, Miyuki Tauchi, Barbara Dietel et al.
International Journal of Molecular Medicine
-
A Symphytum officinale Root Extract Exerts Anti-inflammatory Properties by Affecting Two Distinct Steps of NF-?B Signaling
Authors: J Seigner, M Junker-Sam, A Plaza, G D'Urso, M Masullo, S Piacente, YM Holper-Sch, R de Martin
Front Pharmacol, 2019-04-26;10(0):289.
Species: Human
Sample Types: Whole Cells
Applications: ELISA - Cell Based -
Pinocembrin protects endothelial cells from oxidized LDL-induced injury
Authors: Q Su, Y Sun, Z Ye, H Yang, B Kong, L Li
Cytokine, 2018-06-18;0(0):.
Species: Human
Sample Types: Cell Lysates
Applications: Western Blot -
Bordetella pertussis adenylate cyclase toxin disrupts functional integrity of bronchial epithelial layers
Authors: S Hasan, NN Kulkarni, A Asbjarnars, I Linhartova, R Osicka, P Sebo, GH Gudmundsso
Infect. Immun., 2018-02-20;0(0):.
-
A modular platform for targeted RNAi therapeutics
Authors: R Kedmi, N Veiga, S Ramishetti, M Goldsmith, D Rosenblum, N Dammes, I Hazan-Hale, L Nahary, S Leviatan-B, M Harlev, M Behlke, I Benhar, J Lieberman, D Peer
Nat Nanotechnol, 2018-01-29;0(0):.
-
Optimizing human Treg immunotherapy by Treg subset selection and E-selectin ligand expression
Authors: C Donnelly, B Dykstra, N Mondal, J Huang, BJ Kaskow, R Griffin, R Sackstein, C Baecher-Al
Sci Rep, 2018-01-11;8(1):420.
Species: Human
Sample Types: Cell Lysates
Applications: Western Blot -
A CREB3-regulated ER-Golgi trafficking signature promotes metastatic progression in breast cancer
Authors: BV Howley, LA Link, S Grelet, M El-Sabban, PH Howe
Oncogene, 2017-12-18;0(0):.
-
Analysis of neuronal phosphoproteome reveals PINK1 regulation of BAD function and cell death
Authors: H Wan, B Tang, X Liao, Q Zeng, Z Zhang, L Liao
Cell Death Differ., 2017-12-12;0(0):.
-
Erythropoietin signaling increases neurogenesis and oligodendrogenesis of endogenous neural stem cells following spinal cord injury both in�vivo and in�vitro
Authors: H Zhang, X Fang, D Huang, Q Luo, M Zheng, K Wang, L Cao, Z Yin
Mol Med Rep, 2017-10-25;0(0):.
-
RNA Aptamers Recognizing Murine CCL17 Inhibit T Cell Chemotaxis and Reduce Contact Hypersensitivity In�Vivo
Authors: L Fülle, N Steiner, M Funke, F Gondorf, F Pfeiffer, J Siegl, FV Opitz, SK Ha beta el, AB Erazo, O Schanz, HJ Stunden, M Blank, C Gröber, K Händler, M Beyer, H Weighardt, E Latz, JL Schultze, G Mayer, I Förster
Mol. Ther., 2017-10-13;0(0):.
-
Presence of vascular endothelial growth factor during the first half of IVM improves the meiotic and developmental competence of porcine oocytes from small follicles
Authors: Tra M T Bui
Reprod. Fertil. Dev, 2017-09-01;0(0):.
-
The Abl-1 kinase is dispensable for NK cell inhibitory signaling and is not involved in murine NK cell education
Authors: S Ganesan, TL Thanh, N Kadri, BJ Chambers, S Meinke, P Brodin, E Vivier, DM Wetzel, AJ Koleske, P Höglund
Scand. J. Immunol., 2017-09-01;0(0):.
-
Anti-CD20 monoclonal antibody combined with adenovirus vector-mediated IL-10 regulates spleen CD4+/CD8+ T�cells and T-bet/GATA-3 expression in NOD mice
Authors: A Tang, C Li, Z Chen, T Li
Mol Med Rep, 2017-07-28;0(0):.
-
Aliskiren has chondroprotective efficacy in a rat model of osteoarthritis through suppression of the local renin-angiotensin system
Authors: K Yan, Y Shen
Mol Med Rep, 2017-07-28;0(0):.
-
Heme oxygenase-1 directly binds STAT3 to control the generation of pathogenic Th17 cells during neutrophilic airway inflammation
Authors: X Lin, J Lv, J Lv, C Di, Y Zhang, T Zhou, J Liu, Z Xia
Allergy, 2017-07-03;0(0):.
-
Blockade of interleukin-6 receptor in the periphery promotes rapid and sustained antidepressant actions: a possible role of gut-microbiota-brain axis
Authors: JC Zhang, W Yao, C Dong, C Yang, Q Ren, M Ma, K Hashimoto
Transl Psychiatry, 2017-05-30;7(5):e1138.
-
Protection of Dexmedetomidine Against Ischemia/Reperfusion-Induced Apoptotic Insults to Neuronal Cells Occurs via an Intrinsic Mitochondria-Dependent Pathway
Authors: Gong-Jhe Wu
J. Cell. Biochem, 2017-05-16;0(0):.
-
Rat astrocytes are more supportive for mouse OPC self-renewal than mouse astrocytes in culture
Authors: Xuejun Cheng
Dev Neurobiol, 2017-03-23;0(0):.
-
Purinergic receptor transactivation by the ?2-adrenergic receptor increases intracellular Ca(2+) in non-excitable cells
Authors: W Stallaert, ET van der We, AM Schonegge, B Plouffe, M Hogue, V Lukashova, A Inoue, S Ishida, J Aoki, C Le Gouill, M Bouvier
Mol. Pharmacol, 2017-03-09;0(0):.
-
Localized delivery of curcumin from injectable gelatin/Thai silk fibroin microspheres for anti-inflammatory treatment of osteoarthritis in a rat model
Authors: J Ratanavara, K Soontornvi, S Shuangshot, S Shuangshot, S Damrongsak
Inflammopharmacology, 2017-03-01;0(0):.
-
Amine oxidase activity regulates the development of pulmonary fibrosis
Authors: F Marttila-I, K Elima, K Auvinen, TZ Veres, P Rantakari, C Weston, M Miyasaka, D Adams, S Jalkanen, M Salmi
FASEB J, 2017-03-01;0(0):.
-
Hepatic inflammation-fibrosis-cancer axis in the rat hepatocellular carcinoma induced by diethylnitrosamine
Authors: YF Ding, ZH Wu, YJ Wei, L Shu, YR Peng
J. Cancer Res. Clin. Oncol, 2017-02-25;0(0):.
-
AGER gene polymorphisms and soluble receptor for advanced glycation end product in patients with idiopathic pulmonary fibrosis
Authors: K Yamaguchi, H Iwamoto, Y Horimasu, S Ohshimo, K Fujitaka, H Hamada, W Mazur, N Kohno, N Hattori
Respirology, 2017-02-14;0(0):.
-
Phenotypic and Functional Alterations of Hematopoietic Stem and Progenitor Cells in an In Vitro Leukemia-Induced Microenvironment
Authors: JP Vernot, X Bonilla, V Rodriguez-, NP Vanegas
Int J Mol Sci, 2017-02-14;18(2):.
-
Soluble ST2 Predicts 1-Year Outcome in Patients Undergoing Transcatheter Aortic Valve Implantation (TAVI)
Authors: Bernhard Wernly
Eur. J. Clin. Invest, 2017-02-01;0(0):.
-
3D co-culture model to analyze the crosstalk between endothelial and smooth muscle cells
Authors: Minu Karthika Ganesan
Tissue Eng Part C Methods, 2017-01-01;0(0):.
Species: Human
Sample Types: Complex Sample Type
Applications: ICC -
IL-17RB(+) granulocytes are associated with airflow obstruction in asthma
Authors: Lin Li
Ann. Allergy Asthma Immunol, 2016-12-01;117(6):674-679.
-
INF-? encoding plasmid administration triggers bone loss and disrupts bone marrow microenvironment
Authors: Dimitrios Agas
J. Endocrinol, 2016-12-01;0(0):.
-
Characterization of guinea pig T cell responses elicited after EP-assisted delivery of DNA vaccines to the skin
Authors: Trevor R F Smith
Vaccine, 2016-11-25;35(1):61-70.
-
Inhibition of Adenylyl Cyclase in the Spinal Cord Alleviates Painful Diabetic Neuropathy in Zucker Diabetic Fatty Rats
Authors: Zhonghao Liu
Can J Diabetes, 2016-11-23;0(0):.
-
BMP4/Id2 signaling pathway is a novel therapeutic target for late outgrowth endothelial progenitor cell-mediated endothelial injury repair
Authors: Jun Tao
Int. J. Cardiol., 2016-11-09;228(0):796-804.
-
Proliferation, differentiation and migration of SCA1(-)/CD31(-) cardiac side population cells in vitro and in vivo
Authors: Simon X Liang
Int. J. Cardiol., 2016-11-09;0(0):.
-
Role of Epigenetic Modification and Immunomodulation in a Murine Prostate Cancer Model
Authors: Georgi Guruli
Prostate, 2016-11-08;0(0):.
-
Neutrophil gelatinase-associated lipocalin predicts myocardial dysfunction and mortality in severe sepsis and septic shock
Authors: Xiaoye Yan
Int. J. Cardiol., 2016-11-03;0(0):.
-
Endothelin-1 Overexpression Exaggerates Diabetes-Induced Endothelial Dysfunction by Altering Oxidative Stress
Am J Hypertens, 2016-11-01;0(0):.
-
Impact of exercise training associated to pyridostigmine treatment on autonomic function and inflammatory profile after myocardial infarction in rats
Authors: Bruno Rodrigues
Int. J. Cardiol., 2016-10-26;0(0):.
-
Sulforaphane induces neurovascular protection against a systemic inflammatory challenge via both Nrf2-dependent and independent pathways
Authors: Paul M. Holloway, Scarlett Gillespie, Felix Becker, Shantel A. Vital, Victoria Nguyen, J. Steven Alexander et al.
Vascular Pharmacology
-
Cell surface-anchored syndecan-1 ameliorates intestinal inflammation and neutrophil transmigration in ulcerative colitis
J Cell Mol Med, 2016-08-25;0(0):.
-
Plasma membrane TLR activation increases bacterial uptake but abrogates endosomal Lactobacillus acidophilus induction of Interferon-B
Immunology, 2016-08-24;0(0):.
-
C13orf31 (FAMIN) is a central regulator of immunometabolic function
Nat Immunol, 2016-08-01;0(0):.
-
Critical role of fatty acid metabolism in ILC2-mediated barrier protection during malnutrition and helminth infection.
Authors: Christoph Wilhelm, Oliver J Harrison, Vanessa Schmitt, Martin Pelletier, Sean P Spencer, Joseph F Urban, Michelle Ploch, Thirumalai R Ramalinga, Richard M Siegel, Yasmine Belkaid
The Journal of Experimental Medicine, 2016-07-18;0(0):1540-9538.
-
Activation of IFN/STAT1 signalling predicts response to chemotherapy in oestrogen receptor-negative breast cancer
Authors: ME Legrier, I BiŠche, J Gaston, A Beurdeley, V Yvonnet, O D‚as, A Thuleau, S Chƒteau-Jo, JL Servely, S Vacher, M Lassalle, S Depil, GC Tucker, JJ Fontaine, MF Poupon, S Roman-Roma, JG Judde, D Decaudin, S Cairo, E Marangoni
Br. J. Cancer, 2015-12-22;114(2):177-87.
-
TIGIT expression levels on human NK cells correlate with functional heterogeneity among healthy individuals.
Authors: Wang F, Hou H, Wu S, Tang Q, Liu W, Huang M, Yin B, Huang J, Mao L, Lu Y, Sun Z
Eur J Immunol, 2015-09-07;45(10):2886-97.
-
Blocking the adhesion cascade at the premetastatic niche for prevention of breast cancer metastasis.
Authors: Kang S, Hasan N, Mann A, Zheng W, Zhao L, Morris L, Zhu W, Zhao Y, Suh K, Dooley W, Volk D, Gorenstein D, Cristofanilli M, Rui H, Tanaka T
Mol Ther, 2015-03-27;23(6):1044-54.
-
DC8 and DC13 var Genes Associated with Severe Malaria Bind Avidly to Diverse Endothelial Cells
Authors: Marion Avril, Andrew J. Brazier, Martin Melcher, Sowmya Sampath, Joseph D. Smith
PLoS Pathogens
-
Leukemia Mediated Endothelial Cell Activation Modulates Leukemia Cell Susceptibility to Chemotherapy through a Positive Feedback Loop Mechanism.
Authors: Pezeshkian, Bahareh, Donnelly, Christop, Tamburo, Kelley, Geddes, Timothy, Madlambayan, Gerard J
PLoS ONE, 2013-04-01;8(4):e60823.
Species: Human
Sample Types: Whole Cells
Applications: Functional Assay -
Endothelial cells of human colorectal cancer and healthy colon reveal phenotypic differences in culture.
Authors: Schellerer VS, Croner RS, Weinlander K, Hohenberger W, Sturzl M, Naschberger E
Lab. Invest., 2007-09-17;87(11):1159-70.
Species: Human
Sample Types: Whole Cells
Applications: ICC -
An inflammation-induced mechanism for leukocyte transmigration across lymphatic vessel endothelium.
Authors: Johnson LA, Clasper S, Holt AP, Lalor PF, Baban D, Jackson DG
J. Exp. Med., 2006-11-20;203(12):2763-77.
Species: Human
Sample Types: Whole Cells
Applications: ICC -
Platelet-derived LIGHT induces inflammatory responses in endothelial cells and monocytes.
Authors: Otterdal K, Smith C, Oie E, Pedersen TM, Yndestad A, Stang E, Endresen K, Solum NO, Aukrust P, Damas JK
Blood, 2006-08-01;108(3):928-35.
Species: Human
Sample Types: Whole Cells
Applications: ELISA Development -
A role for the L-selectin adhesion system in mediating cytotrophoblast emigration from the placenta.
Authors: Prakobphol A, Genbacev O, Gormley M, Kapidzic M, Fisher SJ
Dev. Biol., 2006-06-15;298(1):107-17.
Species: Human
Sample Types: Whole Tissue
Applications: IHC-Fr -
Migration inhibitory factor up-regulates vascular cell adhesion molecule-1 and intercellular adhesion molecule-1 via Src, PI3 kinase, and NFkappaB.
Authors: Amin MA, Haas CS, Zhu K, Mansfield PJ, Kim MJ, Lackowski NP, Koch AE
Blood, 2005-11-29;107(6):2252-61.
Species: Human
Sample Types: Whole Cells
Applications: Neutralization -
The role of endothelial cell reactive antibodies in peripheral arterial disease.
Authors: Armitage JD, Lindsey NJ, Homer-Vanniasinkam S
Eur J Vasc Endovasc Surg, 2005-10-14;31(2):170-5.
Species: Human
Sample Types: Serum
Applications: ELISA Development -
Differential effects of orbital and laminar shear stress on endothelial cells.
Authors: Frattini J, Kudo FA
J. Vasc. Surg., 2005-05-01;41(5):869-80.
Species: Human
Sample Types: Whole Cells
Applications: ICC -
Persistent cytomegalovirus infection is associated with increased expression of TGF-beta1, PDGF-AA and ICAM-1 and arterial intimal thickening in kidney allografts.
Authors: Helantera I, Loginov R, Koskinen P, Tornroth T, Gronhagen-Riska C, Lautenschlager I
Nephrol. Dial. Transplant., 2005-02-16;20(4):790-6.
Species: Human
Sample Types: Whole Tissue
Applications: IHC -
Endothelium properties of a tissue-engineered blood vessel for small-diameter vascular reconstruction.
Authors: Remy-Zolghadri M, Laganiere J, Oligny JF, Germain L, Auger FA
J. Vasc. Surg., 2004-03-01;39(3):613-20.
Species: Human
Sample Types: Whole Cells
Applications: Flow Cytometry
FAQs
No product specific FAQs exist for this product, however you may
View all Antibody FAQsReviews for Human E-Selectin/CD62E Antibody
Average Rating: 4.3 (Based on 3 Reviews)
Have you used Human E-Selectin/CD62E Antibody?
Submit a review and receive an Amazon gift card.
$25/€18/£15/$25CAN/¥75 Yuan/¥2500 Yen for a review with an image
$10/€7/£6/$10 CAD/¥70 Yuan/¥1110 Yen for a review without an image
Filter by:
HUVECs were stimulated with LPS for activation
