Human/Mouse/Rat p27/Kip1 Antibody Summary
Met1-Thr198
Accession # P46527
Applications
Please Note: Optimal dilutions should be determined by each laboratory for each application. General Protocols are available in the Technical Information section on our website.
Scientific Data
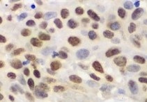
View Larger
p27/Kip1 in Human Prostate Cancer Tissue. p27/Kip1 was detected in immersion fixed paraffin-embedded sections of human prostate cancer tissue using 25 µg/mL Rat Anti-Human/Mouse/Rat p27/Kip1 Monoclonal Antibody (Catalog # MAB22561) overnight at 4 °C. Tissue was stained with the Human p27 Immunohistochemistry Detection Kit (brown; Catalog # CTS2256) and counterstained with hematoxylin (blue). View our protocol for Chromogenic IHC Staining of Paraffin-embedded Tissue Sections.
Reconstitution Calculator
Preparation and Storage
- 12 months from date of receipt, -20 to -70 °C as supplied.
- 1 month, 2 to 8 °C under sterile conditions after reconstitution.
- 6 months, -20 to -70 °C under sterile conditions after reconstitution.
Background: p27/Kip1
The cyclin-dependent kinase (cdk) inhibitor p27/Kip1 is a tumor suppressor protein that acts in the nucleus to enforce cell cycle checkpoints. p27/Kip1 binds to and inhibits many cyclin/cdk complexes, including cyclin D/cdk4, cyclin E/cdk2, and cyclin A/cdk2. This inhibition can subsequently block progression through different phases of the cell cycle. Human p27/Kip1 shares 88% and 87% amino acid sequence identity with mouse and rat p27/Kip1, respectively, while mouse and rat p27/Kip1 share 96% amino acid sequence identity.
Product Datasheets
FAQs
No product specific FAQs exist for this product, however you may
View all Antibody FAQsReviews for Human/Mouse/Rat p27/Kip1 Antibody
Average Rating: 5 (Based on 1 Review)
Have you used Human/Mouse/Rat p27/Kip1 Antibody?
Submit a review and receive an Amazon gift card.
$25/€18/£15/$25CAN/¥75 Yuan/¥2500 Yen for a review with an image
$10/€7/£6/$10 CAD/¥70 Yuan/¥1110 Yen for a review without an image
Filter by:
