Human Reg1A/B Antibody Summary
Gln23-Asn166
Accession # P05451
Applications
Please Note: Optimal dilutions should be determined by each laboratory for each application. General Protocols are available in the Technical Information section on our website.
Scientific Data
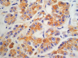
View Larger
Reg1A in Human Pancreas. Reg1A was detected in immersion fixed paraffin-embedded sections of human pancreas using Rat Anti-Human Reg1A Monoclonal Antibody (Catalog # MAB49371) at 15 µg/mL overnight at 4 °C. Before incubation with the primary antibody, tissue was subjected to heat-induced epitope retrieval using Antigen Retrieval Reagent-Basic (Catalog # CTS013). Tissue was stained using the Anti-Rat HRP-DAB Cell & Tissue Staining Kit (brown; Catalog # CTS017) and counterstained with hematoxylin (blue). Specific staining was localized to exocrine cells. View our protocol for Chromogenic IHC Staining of Paraffin-embedded Tissue Sections.
Reconstitution Calculator
Preparation and Storage
- 12 months from date of receipt, -20 to -70 °C as supplied.
- 1 month, 2 to 8 °C under sterile conditions after reconstitution.
- 6 months, -20 to -70 °C under sterile conditions after reconstitution.
Background: Reg1A/B
Reg1A, also known as PTP, PSP, and lithostathine, is a member of the Reg family of secreted proteins with a C-type lectin domain. Due to variable glycosylation, pancreatic Reg1A exists as multiple species of 16‑18 kDa. Reg1A promotes the maintenance and growth of pancreatic islet beta -cells and intestinal villi. It is up‑regulated in pancreatitis and some carcinomas. Reg1A is an antigenic target in autoimmune diabetes. Human Reg1A shares 65%‑68% aa sequence identity with mouse and rat Reg1A.
Reg1B, also known as secretory pancreatic stone protein 2 and lithostathine 1 beta, is a type I subclass member of the Reg family, which comprises secreted proteins with a C-type lectin domain. Reg1B is highly related to Reg1A, a protein that is implicated in islet cell regeneration and diabetogenesis.Product Datasheets
FAQs
No product specific FAQs exist for this product, however you may
View all Antibody FAQsReviews for Human Reg1A/B Antibody
Average Rating: 4.5 (Based on 2 Reviews)
Have you used Human Reg1A/B Antibody?
Submit a review and receive an Amazon gift card.
$25/€18/£15/$25CAN/¥75 Yuan/¥2500 Yen for a review with an image
$10/€7/£6/$10 CAD/¥70 Yuan/¥1110 Yen for a review without an image
Filter by:
We used this antibody in an in-house ELISA along with pAb (AF4937) and protein standard to quantify Reg1 alpha in human serum and plasma. This combination detected Reg1alpha in human serum and plasma.
