Mouse Coagulation Factor VII Antibody Summary
Ala42-Leu446
Accession # P70375
Applications
Please Note: Optimal dilutions should be determined by each laboratory for each application. General Protocols are available in the Technical Information section on our website.
Scientific Data
View Larger
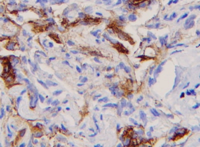
Coagulation Factor VII in Mouse Liver. Coagulation Factor VII was detected in perfusion fixed frozen sections of mouse liver using Rat Anti-Mouse Coagulation Factor VII Monoclonal Antibody (Catalog # MAB33051) at 15 µg/mL overnight at 4 °C. Tissue was stained using the Anti-Rat HRP-DAB Cell & Tissue Staining Kit (brown; Catalog # CTS017) and counterstained with hematoxylin (blue). Lower panel shows a lack of labeling if primary antibodies are omitted and tissue is stained only with secondary antibody followed by incubation with detection reagents. View our protocol for Chromogenic IHC Staining of Frozen Tissue Sections.
Reconstitution Calculator
Preparation and Storage
- 12 months from date of receipt, -20 to -70 °C as supplied.
- 1 month, 2 to 8 °C under sterile conditions after reconstitution.
- 6 months, -20 to -70 °C under sterile conditions after reconstitution.
Background: Coagulation Factor VII
Coagulation Factors VII and VIIa refer to the pro and active forms of the same protease, respectively (1). Factor VII is synthesized in the liver and circulates in the plasma where it binds to tissue factor (TF), an integral membrane protein found in a variety of cell types. Upon binding of TF, factor VII is rapidly converted into VIIa. The resulting 1:1 complex of VIIa and TF initiates the coagulation pathway and has also important coagulation-independent functions such as angiogenesis (2). The cleavage and activation of Coagulation Factors VII, IX and X by VIIa:TF is phospholipid-dependent whereas the cleavage of small peptide substrates is not (1). The deduced amino acid sequence of mouse factor VII predicts a signal peptide (residues 1 to 24), propeptide (residues 25 to 41), and the mature chain that can be further processed into the light chain (residues 42 to 193) and the heavy chain (residues 194 to 446). The amino acid sequence of mouse Factor VII is 89%, 71%, 65% and 55% identical to that of rat, human/dog, chimpanzee and chicken.
- Morrissey, J.H. (2004) in Handbook of Proteolytic Enzymes, Barrett, A.J. et al. (eds. ), Academic Press, San Diego, p. 1659.
- Versteeg, H.H. et al. (2003) Carcinogenesis 24:1009.
Product Datasheets
FAQs
No product specific FAQs exist for this product, however you may
View all Antibody FAQsReviews for Mouse Coagulation Factor VII Antibody
Average Rating: 5 (Based on 2 Reviews)
Have you used Mouse Coagulation Factor VII Antibody?
Submit a review and receive an Amazon gift card.
$25/€18/£15/$25CAN/¥75 Yuan/¥2500 Yen for a review with an image
$10/€7/£6/$10 CAD/¥70 Yuan/¥1110 Yen for a review without an image
Filter by:
