Human Desmocollin-1 Antibody Summary
Arg135-Asn686
Accession # Q08554
Applications
Please Note: Optimal dilutions should be determined by each laboratory for each application. General Protocols are available in the Technical Information section on our website.
Scientific Data
View Larger
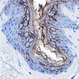
Detection of Desmocollin-1 in Human Skin. Desmocollin‑1 was detected in immersion fixed paraffin-embedded sections of Human Skin using Rabbit Anti-Human Desmocollin‑1 Monoclonal Antibody (Catalog # MAB4955) at 3 µg/mL for 1 hour at room temperature followed by incubation with the Anti-Rabbit IgG VisUCyte™ HRP Polymer Antibody (Catalog # VC003). Before incubation with the primary antibody, tissue was subjected to heat-induced epitope retrieval using VisUCyte Antigen Retrieval Reagent-Basic (Catalog # VCTS021). Tissue was stained using DAB (brown) and counterstained with hematoxylin (blue). Specific staining was localized to cell membrane in keratinocytes. View our protocol for IHC Staining with VisUCyte HRP Polymer Detection Reagents.
Reconstitution Calculator
Preparation and Storage
- 12 months from date of receipt, -20 to -70 °C as supplied.
- 1 month, 2 to 8 °C under sterile conditions after reconstitution.
- 6 months, -20 to -70 °C under sterile conditions after reconstitution.
Background: Desmocollin-1
Desmocollin-1 (DSC1) is a 100 kDa-110 kDa transmembrane glycoprotein in the cadherin family of calcium dependent adhesion molecules (1-3). Human DSC1 is synthesized with a 105 amino acid (aa) propeptide. The mature protein consists of a 557 aa extracellular domain (ECD) that contains five cadherin-like domains, a 23 aa transmembrane segment, and a 180 aa cytoplasmic domain (4, 5). Within the ECD, human DSC1 shares 79% and 82% aa sequence identity with bovine and mouse DSC1, respectively, and 53% with human DSC2 and DSC3. An alternately spliced isoform has a substituted and truncated cytoplasmic domain (5). DSC1 is one of the principal components of desmosomes which form adhesive contacts between epithelial cells (1, 2). It is predominantly expressed in the outer layers of stratified epithelia of the skin, tongue, and hair follicle root sheath (6, 7). It is required for both promoting epidermal differentiation and maintaining epidermal strength (8). DSC2 and DSC3, by contrast, are preferentially localized in the basal and suprabasal layers of the epidermis (1). DSC1 is not expressed in normal colon epithelium, but it is induced during colon carcinogenesis (9). Loss of DSC1 function in the skin disorders IgA pemphigus and Netherton Syndrome results from autoimmune targeting or enhanced KLK-7 mediated proteolysis, respectively (10-12).
- Kottke, M.D. et al. (2006) J. Cell Sci. 119:797.
- Garrod, D.R. et al. (2002) Mol. Membrane Biol. 19:81.
- Leckband, D. and A. Prakasam (2006) Annu. Rev. Biomed. Eng. 8:259.
- King, I.A. et al. (1993) Genomics 18:185.
- Theis, D.G. et al. (1993) Int. J. Dev. Biol. 37:101.
- King, I.A. et al. (1996) J. Invest. Dermatol. 107:531.
- Nuber, U.A. et al. (1996) Eur. J. Cell Biol. 71:1.
- Chidgey, M. et al. (2001) J. Cell Biol. 155:821.
- Khan, K. et al. (2006) Br. J. Cancer 95:1367.
- Hashimoto, T. et al. (1997) J. Invest. Dermatol. 109:127.
- Caubet, C. et al. (2004) J. Invest. Dermatol. 122:1235.
- Descargues, P. et al. (2006) J. Invest. Dermatol. 126:1622.
Product Datasheets
FAQs
No product specific FAQs exist for this product, however you may
View all Antibody FAQsReviews for Human Desmocollin-1 Antibody
There are currently no reviews for this product. Be the first to review Human Desmocollin-1 Antibody and earn rewards!
Have you used Human Desmocollin-1 Antibody?
Submit a review and receive an Amazon gift card.
$25/€18/£15/$25CAN/¥75 Yuan/¥2500 Yen for a review with an image
$10/€7/£6/$10 CAD/¥70 Yuan/¥1110 Yen for a review without an image
