Human/Mouse/Rat Contactin-2/TAG1 Antibody Summary
Gln31-Ser1014
Accession # Q61330
Applications
Please Note: Optimal dilutions should be determined by each laboratory for each application. General Protocols are available in the Technical Information section on our website.
Scientific Data
View Larger
Detection of Human, Mouse, and Rat Contactin‑2/TAG1 by Western Blot. Western blot shows lysates of human cerebellum tissue, mouse brain tissue, and rat brain tissue. PVDF membrane was probed with 1 µg/mL of Goat Anti-Human/Mouse/Rat Contactin-2/TAG1 Antigen Affinity-purified Polyclonal Antibody (Catalog # AF4439) followed by HRP-conjugated Anti-Goat IgG Secondary Antibody (Catalog # HAF017). A specific band was detected for Contactin-2/TAG1 at approximately 135 kDa (as indicated). This experiment was conducted under reducing conditions and using Immunoblot Buffer Group 1.
View Larger
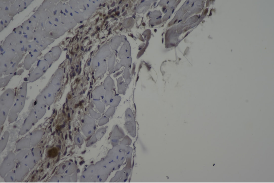
Contactin‑2/TAG1 in Mouse Embryo. Contactin-2/TAG1 was detected in immersion fixed frozen sections of mouse embryo (E13) using Goat Anti-Human/Mouse/Rat Contactin-2/TAG1 Antigen Affinity-purified Polyclonal Antibody (Catalog # AF4439) at 15 µg/mL overnight at 4 °C. Tissue was stained using the Anti-Goat HRP-DAB Cell & Tissue Staining Kit (brown; Catalog # CTS008) and counterstained with hematoxylin (blue). Specific staining was localized to muscle cells in proximity to ribs. View our protocol for Chromogenic IHC Staining of Frozen Tissue Sections.
View Larger
Detection of Mouse Contactin‑2/TAG1 by Simple WesternTM. Simple Western lane view shows lysates of mouse spinal cord tissue, loaded at 0.2 mg/mL. A specific band was detected for Contactin-2/TAG1 at approximately 162 kDa (as indicated) using 10 µg/mL of Goat Anti-Human/Mouse/Rat Contactin-2/TAG1 Antigen Affinity-purified Polyclonal Antibody (Catalog # AF4439) followed by 1:50 dilution of HRP-conjugated Anti-Goat IgG Secondary Antibody (Catalog # HAF109). This experiment was conducted under reducing conditions and using the 12-230 kDa separation system.
View Larger
Detection of Mouse Human/Mouse/Rat Contactin-2/TAG1 Antibody by Western Blot Quantitative proteomics in Rab35 cKO P0 hippocampus.a Volcano plot of the TMT-based quantitative proteomes identifying the dysregulated proteins in Rab35 cKO hippocampus in comparison with the control hippocampus (n = 5 mice per genotype). b Number of proteins identified as significantly dysregulated and as either membrane traffic-related or neuronal migration-related. c, d Western blot analysis of control and Rab35 cKO P0 hippocampi using anti-contactin-2, anti-CHL1, and anti-actin antibodies. e, f Quantification of contactin-2 (c) and CHL1 (d) protein levels in control and Rab35 cKO P0 hippocampi. Band intensities of the indicated proteins were normalized to those of actin (n = 9 mice per genotype). Unpaired Student’s t-test; e, p = 0.0153; f, p = 0.0095. g, h Levels of contactin-2 (g) and CHL1 (h) were quantified by targeted MS using the PRM method (n = 5 mice per genotype). Unpaired Student’s t-test; gp = 0.0053; hp = 0.0229. i Western blot analysis of control and Rab35 cKO P0 hippocampus using anti-N-cadherin and anti-actin antibodies. j Quantification of N-cadherin protein levels in the control and Rab35 cKO P0 hippocampus (n = 9 mice per genotypes). Unpaired Student’s t-test, p = 0.9020. k Representative images of DIV 2 hippocampal primary neurons stained for contactin-2 (green), rhodamine-phalloidin (magenta) and DAPI (blue). Scale bar, 20 μm. l Quantification of contactin-2 intensity at the somatic plasma membrane in control (n = 4) and Rab35-deficient (n = 4) cells. Thirty neurons from four different cultures per genotype were analyzed. Mann–Whitney U-test, p = 0.0286. Data represent the mean ± SEM; n.s. not significant (p > 0.05); *p < 0.05; **p < 0.01. Image collected and cropped by CiteAb from the following publication (https://pubmed.ncbi.nlm.nih.gov/37085665), licensed under a CC-BY license. Not internally tested by R&D Systems.
Reconstitution Calculator
Preparation and Storage
- 12 months from date of receipt, -20 to -70 °C as supplied.
- 1 month, 2 to 8 °C under sterile conditions after reconstitution.
- 6 months, -20 to -70 °C under sterile conditions after reconstitution.
Background: Contactin-2/TAG1
Contactin-2 (CNTN2), also called TAG1 (transient axonal glycoprotein), TAX1 (transiently-expressed axonal glycoprotein), or axonin-1, is a 135 kDa glycosyl-phosphatidylinositol (GPI)- anchored cell adhesion molecule that belongs to the contactin subfamily within the immunoglobulin (Ig) protein superfamily (1-3). Mouse Contactin-2 cDNA encodes a 30 amino acid (aa) signal peptide, a 984 aa mature secreted protein with 6 Ig-like domains followed by 4 fibronectin type III-like repeats, and a 26 aa C-terminal GPI anchor pro-sequence. GPI-specific phospholipase activity can release soluble, active Contactin-2 from the membrane (2). Mature mouse Contactin-2 shares approximately 93%, 97%, and 77% aa sequence identity with human, rat, and chicken Contactin-2, respectively. During development, Contactin-2 is expressed by a subset of neuronal populations in the central nervous system (CNS) and peripheral nervous system (PNS), particularly during initial phases of axon outgrowth (3-5). Both the 135 kDa form and a 90 kDa form are also upregulated in response to CNS injury in the adult (6). Data support a role for Contactin-2 in axon pathfinding, neurite outgrowth and adhesion, especially in the CNS (3-6). In mature myelinated fibers, Contactin-2 is expressed by oligodendrocytes and Schwann cells, which are myelinating glial cells of the CNS and PNS, respectively (7, 8). It is enriched in the juxtaparanodal regions, where it recruits contactin-associated protein 2 (caspr2), a transmembrane neurexin involved in cell adhesion and intercellular communication (7-10). The axonal Contactin-2 interacts in cis with caspr2 and in trans with another Contactin-2 on the glial membrane (8). This ternary complex is required for the accumulation and organization of K+ channels in the juxtaparanodes (9).
- Wolfer, D. and R.J. Giger (1994) Swissprot Accession # Q61330.
- Hasler, T.H. et al. (1993) Eur. J. Biochem. 211:329.
- Karagogeos, D. (2003) Front. Biosci. 8:s1304.
- Liu, Y. and M.C. Halloran (2005) J. Neurosci. 25:10556.
- Denaxa, M. et al. (2005) Dev. Biol. 288:87.
- Soares, S. et al. (2005) Eur. J. Neurosci. 21:1169.
-
Traka, M. et al. (2002) J. Neurosci. 22:3016.
-
Poliak, S. and E. Peles (2003) Nat. Rev. Neurosci. 4:968.
-
Traka, M. et al. (2003) J. Cell Biol. 162:1161.
-
Poliak, S. et al. (2003) J. Cell Biol. 162:1149.
Product Datasheets
Citations for Human/Mouse/Rat Contactin-2/TAG1 Antibody
R&D Systems personnel manually curate a database that contains references using R&D Systems products. The data collected includes not only links to publications in PubMed, but also provides information about sample types, species, and experimental conditions.
46
Citations: Showing 1 - 10
Filter your results:
Filter by:
-
Long-COVID cognitive impairments and reproductive hormone deficits in men may stem from GnRH neuronal death
Authors: Sauve F, Nampoothiri S, Clarke SA et al.
EBioMedicine
-
Serum exosomal coronin 1A and dynamin 2 as neural tube defect biomarkers
Authors: Yanfu Wang, Ling Ma, Shanshan Jia, Dan Liu, Hui Gu, Xiaowei Wei et al.
Journal of Molecular Medicine
-
Neural Stem Cells Direct Axon Guidance via Their Radial Fiber Scaffold
Authors: Navjot Kaur, Wenqi Han, Zhuo Li, M. Pilar Madrigal, Sungbo Shim, Sirisha Pochareddy et al.
Neuron
-
Variation in a Left Ventricle–Specific Hand1 Enhancer Impairs GATA Transcription Factor Binding and Disrupts Conduction System Development and Function
Authors: Joshua W. Vincentz, Beth A. Firulli, Kevin P. Toolan, Dan E. Arking, Nona Sotoodehnia, Juyi Wan et al.
Circulation Research
-
Myocardial Notch Signaling Reprograms Cardiomyocytes to a Conduction-Like Phenotype
Authors: Stacey Rentschler, Alberta H. Yen, Jia Lu, Nataliya B. Petrenko, Min Min Lu, Lauren J. Manderfield et al.
Circulation
-
Transient Notch Activation Induces Long-Term Gene Expression Changes Leading to Sick Sinus Syndrome in Mice
Authors: Yun Qiao, Catherine Lipovsky, Stephanie Hicks, Somya Bhatnagar, Gang Li, Aditi Khandekar et al.
Circulation Research
-
Overlapping transcriptional programs promote survival and axonal regeneration of injured retinal ganglion cells
Authors: Anne Jacobi, Nicholas M. Tran, Wenjun Yan, Inbal Benhar, Feng Tian, Rebecca Schaffer et al.
Neuron
-
Partial and complete loss of myosin binding protein H-like cause cardiac conduction defects
Authors: David Y. Barefield, Sean Yamakawa, Ibrahim Tahtah, Jordan J. Sell, Michael Broman, Brigitte Laforest et al.
Journal of Molecular and Cellular Cardiology
-
DDX3X Suppresses the Susceptibility of Hindbrain Lineages to Medulloblastoma
Authors: Deanna M. Patmore, Amir Jassim, Erica Nathan, Reuben J. Gilbertson, Daniel Tahan, Nadin Hoffmann et al.
Developmental Cell
-
Defects in the Alternative Splicing-Dependent Regulation of REST Cause Deafness
Authors: Nakano Y, Kelly MC, Rehman AU et al.
Cell
-
ETV1 activates a rapid conduction transcriptional program in rodent and human cardiomyocytes
Authors: Akshay Shekhar, Xianming Lin, Bin Lin, Fang-Yu Liu, Jie Zhang, Alireza Khodadadi-Jamayran et al.
Scientific Reports
-
Plexin-B2 controls the timing of differentiation and the motility of cerebellar granule neurons
Authors: Van Battum E, Heitz-Marchaland C, Zagar Y Et al.
eLife
-
Ascending midbrain dopaminergic axons require descending GAD65 axon fascicles for normal pathfinding
Authors: Claudia M. GarcÃa-Peña, Minkyung Kim, Daniela Frade-Pérez, Daniela Ãvila-González, Elisa Téllez, Grant S. Mastick et al.
Frontiers in Neuroanatomy
-
Neural cell adhesion molecule is required for ventricular conduction system development
Authors: Camila Delgado, Lei Bu, Jie Zhang, Fang-Yu Liu, Joseph Sall, Feng-Xia Liang et al.
Development
-
GDE2-Dependent Activation of Canonical Wnt Signaling in Neurons Regulates Oligodendrocyte Maturation
Authors: Bo-Ran Choi, Clinton Cave, Chan Hyun Na, Shanthini Sockanathan
Cell Reports
-
A tug of war between DCC and ROBO1 signaling during commissural axon guidance
Authors: Brianna Dailey-Krempel, Andrew L. Martin, Ha-Neul Jo, Harald J. Junge, Zhe Chen
Cell Reports
-
beta -Secretase BACE1 Promotes Surface Expression and Function of Kv3.4 at Hippocampal Mossy Fiber Synapses
Authors: Stephanie Hartmann, Fang Zheng, Michele C. Kyncl, Sandra Karch, Kerstin Voelkl, Benedikt Zott et al.
The Journal of Neuroscience
-
RAB35 is required for murine hippocampal development and functions by regulating neuronal cell distribution
Authors: Ikuko Maejima, Taichi Hara, Satoshi Tsukamoto, Hiroyuki Koizumi, Takeshi Kawauchi, Tomoko Akuzawa et al.
Communications Biology
-
Axo-axonic Innervation of Neocortical Pyramidal Neurons by GABAergic Chandelier Cells Requires AnkyrinG-Associated L1CAM
Authors: Yilin Tai, Nicholas B. Gallo, Minghui Wang, Jia-Ray Yu, Linda Van Aelst
Neuron
-
A hierarchy of PDZ domain scaffolding proteins clusters the Kv1 K+ channel protein complex at the axon initial segment
Authors: Zhang, W;Palfini, VL;Wu, Y;Ding, X;Melton, AJ;Gao, Y;Ogawa, Y;Rasband, MN;
Science advances
Species: Rat
Sample Types: Whole Cells
Applications: Immunocytochemistry -
Transcriptional regulation of the postnatal cardiac conduction system heterogeneity
Authors: Oh, Y;Abid, R;Dababneh, S;Bakr, M;Aslani, T;Cook, DP;Vanderhyden, BC;Park, JG;Munshi, NV;Hui, CC;Kim, KH;
Nature communications
Species: Transgenic Mouse
Sample Types: Whole Tissue
Applications: Immunohistochemistry -
Long-COVID cognitive impairments and reproductive hormone deficits in men may stem from GnRH neuronal death
Authors: Sauve F, Nampoothiri S, Clarke SA et al.
EBioMedicine
-
Histological Analysis of a Mouse Model of the 22q11.2 Microdeletion Syndrome
Authors: Tabata, H;Mori, D;Matsuki, T;Yoshizaki, K;Asai, M;Nakayama, A;Ozaki, N;Nagata, KI;
Biomolecules
Species: Transgenic Mouse
Sample Types: Whole Tissue
Applications: Immunohistochemistry -
Defective Jagged1 signaling impacts GnRH development and contributes to congenital hypogonadotropic hypogonadism
Authors: L Cotellessa, F Marelli, P Duminuco, M Adamo, GE Papadakis, L Bartoloni, N Sato, M Lang-Murit, A Troendle, WS Dhillo, A Morelli, G Guarnieri, N Pitteloud, L Persani, M Bonomi, P Giacobini, V Vezzoli
JCI Insight, 2023-03-08;0(0):.
Species: Human
Sample Types: Whole Tissue
Applications: IHC -
Differential impacts of Cntnap2 heterozygosity and Cntnap2 null homozygosity on axon and myelinated fiber development in mouse
Authors: Cifuentes-Diaz C, Canali G, Garcia M et al.
Frontiers in Neuroscience
-
Serum exosomal coronin 1A and dynamin 2 as neural tube defect biomarkers
Authors: Yanfu Wang, Ling Ma, Shanshan Jia, Dan Liu, Hui Gu, Xiaowei Wei et al.
Journal of Molecular Medicine
Species: Rat
Sample Types: Exosomes
Applications: Mass Spectrometry -
Deletion of Sphingosine 1-Phosphate receptor 1 in cardiomyocytes during development leads to abnormal ventricular conduction and fibrosis
Authors: R Jorgensen, M Katta, J Wolfe, DF Leach, B Lavelle, J Chun, LD Wilsbacher
Physiological Reports, 2021-10-01;9(19):e15060.
Species: Mouse
Sample Types: Tissue Homogenates
Applications: Western Blot -
NOTCH1 is critical for fibroblast-mediated induction of cardiomyocyte specialization into ventricular conduction system-like cells in vitro
Authors: A Ribeiro da, EA Neri, LT Turaça, R Dariolli, MH Fonseca-Al, A Santos-Mir, D Roman-Camp, G Venturini, JE Krieger
Sci Rep, 2020-09-30;10(1):16163.
Species: Rat
Sample Types: Whole Cells
Applications: ICC -
Afadin Signaling at the Spinal Neuroepithelium Regulates Central Canal Formation and Gait Selection
Authors: S Skarlatou, C Hérent, E Toscano, CS Mendes, J Bouvier, N Zampieri
Cell Rep, 2020-06-09;31(10):107741.
Species: Mouse
Sample Types: Whole Tissue
Applications: IHC -
Conditional ablation and conditional rescue models for Casq2 elucidate the role of development and of cell type specific expression of Casq2 in the CPVT2 phenotype
Authors: DJ Flores, T Duong, LO Brandenber, A Mitra, A Shirali, JC Johnson, D Springer, A Noguchi, ZX Yu, SN Ebert, A Ludwig, BC Knollmann, MD Levin, K Pfeifer
Hum. Mol. Genet., 2018-05-01;0(0):.
Species: Mouse
Sample Types: Whole Tissue
Applications: IHC-Fr -
MUNC18-1 gene abnormalities are involved in neurodevelopmental disorders through defective cortical architecture during brain development
Authors: N Hamada, I Iwamoto, H Tabata, KI Nagata
Acta Neuropathol Commun, 2017-11-30;5(1):92.
Species: Primate
Sample Types: Whole Cells
Applications: ICC -
Genome Stability by DNA polymerase ? in Neural Progenitors Contributes to Neuronal Differentiation in Cortical Development
Authors: K Onishi, A Uyeda, M Shida, T Hirayama, T Yagi, N Yamamoto, N Sugo
J. Neurosci., 2017-08-01;0(0):.
Species: Mouse
Sample Types: Whole Tissue
Applications: IHC -
Phenotypically silent Cre recombination within the postnatal ventricular conduction system
Authors: S Bhattachar, M Bhakta, NV Munshi
PLoS ONE, 2017-03-30;12(3):e0174517.
Species: Mouse
Sample Types: Tissue Homogenates, Whole Tissue
Applications: IHC-Fr, Western Blot -
Non-cell autonomous control of precerebellar neuron migration by Slit and Robo proteins
Authors: Chloé Dominici, Quentin Rappeneau, Pavol Zelina, Stéphane Fouquet, Alain Chédotal
Development
Species: Mouse, Transgenic Mouse
Sample Types: Whole Tissue
Applications: Immunohistochemistry -
NOVA2-mediated RNA regulation is required for axonal pathfinding during development
Elife, 2016-05-25;5(0):.
Species: Mouse
Sample Types: Whole Tissue
Applications: IHC -
An aberrant sugar modification of BACE1 blocks its lysosomal targeting in Alzheimer's disease.
Authors: Kizuka Y, Kitazume S, Fujinawa R, Saito T, Iwata N, Saido T, Nakano M, Yamaguchi Y, Hashimoto Y, Staufenbiel M, Hatsuta H, Murayama S, Manya H, Endo T, Taniguchi N
EMBO Mol Med, 2015-02-01;7(2):175-89.
Species: Mouse
Sample Types: Tissue Homogenates
Applications: Western Blot -
BACE1 activity regulates cell surface contactin-2 levels.
Authors: Gautam, Vivek, D'Avanzo, Carla, Hebisch, Matthias, Kovacs, Dora M, Kim, Doo Yeon
Mol Neurodegener, 2014-01-09;9(0):4.
Species: Mouse
Sample Types: Cell Lysates
Applications: Western Blot -
Secretome protein enrichment identifies physiological BACE1 protease substrates in neurons.
Authors: Kuhn PH, Koroniak K, Hogl S, Colombo A, Zeitschel U, Willem M, Volbracht C, Schepers U, Imhof A, Hoffmeister A, Haass C, Rossner S, Brase S, Lichtenthaler SF
EMBO J., 2012-06-22;31(14):3157-68.
Species: Mouse
Sample Types: Cell Lysates
Applications: Western Blot -
Non-cell autonomous control of precerebellar neuron migration by Slit and Robo proteins
Authors: Chloé Dominici, Quentin Rappeneau, Pavol Zelina, Stéphane Fouquet, Alain Chédotal
Development
-
Low-cost multimodal light sheet microscopy for optically cleared tissues and living specimens
Authors: Vincent Rouger
J Biomed Opt, 2016-12-01;21(12):126008.
-
beta -Secretase BACE1 Is Required for Normal Cochlear Function
Authors: Marlen Dierich, Stephanie Hartmann, Nadine Dietrich, Philip Moeser, Franziska Brede, Lejo Johnson Chacko et al.
The Journal of Neuroscience
-
PCP4 regulates Purkinje cell excitability and cardiac rhythmicity
Authors: Eugene E. Kim, Akshay Shekhar, Jia Lu, Xianming Lin, Fang-Yu Liu, Jie Zhang et al.
Journal of Clinical Investigation
-
Transcription factor ETV1 is essential for rapid conduction in the heart
Authors: Akshay Shekhar, Xianming Lin, Fang-Yu Liu, Jie Zhang, Huan Mo, Lisa Bastarache et al.
Journal of Clinical Investigation
-
In vivo visualization and molecular targeting of the cardiac conduction system
Authors: William R. Goodyer, Benjamin M. Beyersdorf, Lauren Duan, Nynke S. van den Berg, Sruthi Mantri, Francisco X. Galdos et al.
Journal of Clinical Investigation
-
Differential impacts of Cntnap2 heterozygosity and Cntnap2 null homozygosity on axon and myelinated fiber development in mouse
Authors: Cifuentes-Diaz C, Canali G, Garcia M et al.
Frontiers in Neuroscience
-
Systematic substrate identification indicates a central role for the metalloprotease ADAM10 in axon targeting and synapse function
Authors: Peer-Hendrik Kuhn, Alessio Vittorio Colombo, Benjamin Schusser, Daniela Dreymueller, Sebastian Wetzel, Ute Schepers et al.
eLife
FAQs
No product specific FAQs exist for this product, however you may
View all Antibody FAQsReviews for Human/Mouse/Rat Contactin-2/TAG1 Antibody
Average Rating: 4.5 (Based on 2 Reviews)
Have you used Human/Mouse/Rat Contactin-2/TAG1 Antibody?
Submit a review and receive an Amazon gift card.
$25/€18/£15/$25CAN/¥75 Yuan/¥2500 Yen for a review with an image
$10/€7/£6/$10 CAD/¥70 Yuan/¥1110 Yen for a review without an image
Filter by:
80, 40 and 20ug of total mouse brain homogenate was separated by SDS-PAGE and transfered to PVDF membrane
Block: 1% BSA, 1% FSG PBS-T 1h RT
Primary: 1:1000, 1% BSA, 1% FSG PBS-T O/N 4oC
Secondary: 1:5000,1% BSA, 1% FSG PBS-T 2h RT
(Secondary - DaG 800, Licor)
