Rat Lipocalin-2/NGAL Antibody Summary
Gln21-Asn198
Accession # P30152
Applications
Rat Lipocalin-2 Sandwich Immunoassay
Please Note: Optimal dilutions should be determined by each laboratory for each application. General Protocols are available in the Technical Information section on our website.
Scientific Data
View Larger
Detection of Mouse and Rat Lipocalin‑2/NGAL by Western Blot. Western blot shows lysates of rat ovary tissue and mouse lung tissue. PVDF membrane was probed with 1 µg/mL of Mouse/Rat Lipocalin-2/NGAL Antigen Affinity-purified Polyclonal Antibody (Catalog # AF3508) followed by HRP-conjugated Anti-Goat IgG Secondary Antibody (Catalog # HAF019). A specific band was detected for Lipocalin-2/NGAL at approximately 25 kDa (as indicated). This experiment was conducted under reducing conditions and using Immunoblot Buffer Group 8.
View Larger
Detection of Mouse Lipocalin-2/NGAL by Western Blot Visualization of expression of selected proteins by Western blot analysis. Protein extracts were prepared from livers of WT and Lcn2-/- mice that were subjected to indicated diets for 4 or 6 weeks (n=3 animals/group). Antibodies used are mentioned in the Section 2. GAPDH was used as the loading control. Image collected and cropped by CiteAb from the following publication (https://pubmed.ncbi.nlm.nih.gov/28725667), licensed under a CC-BY license. Not internally tested by R&D Systems.
View Larger
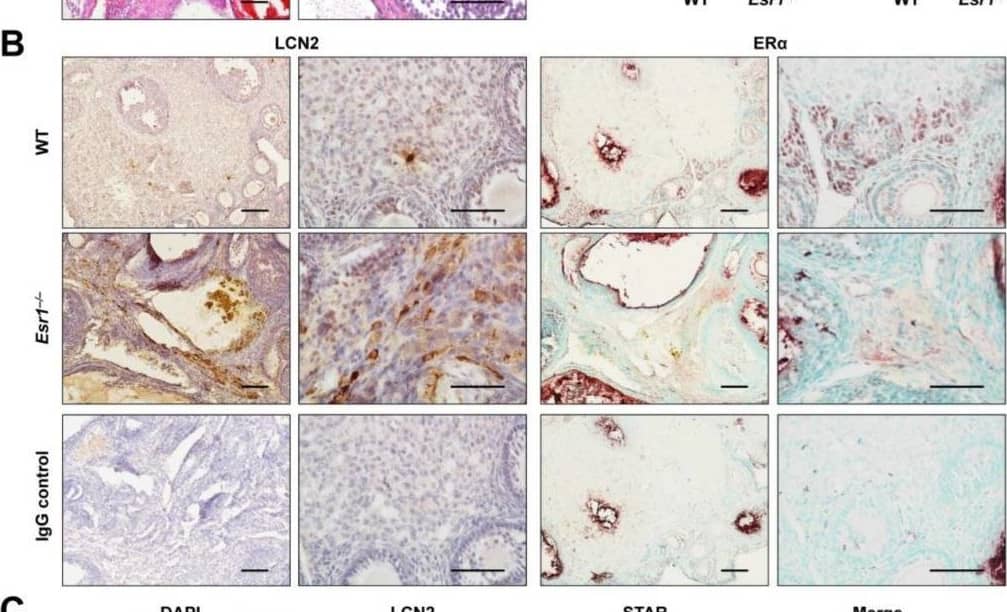
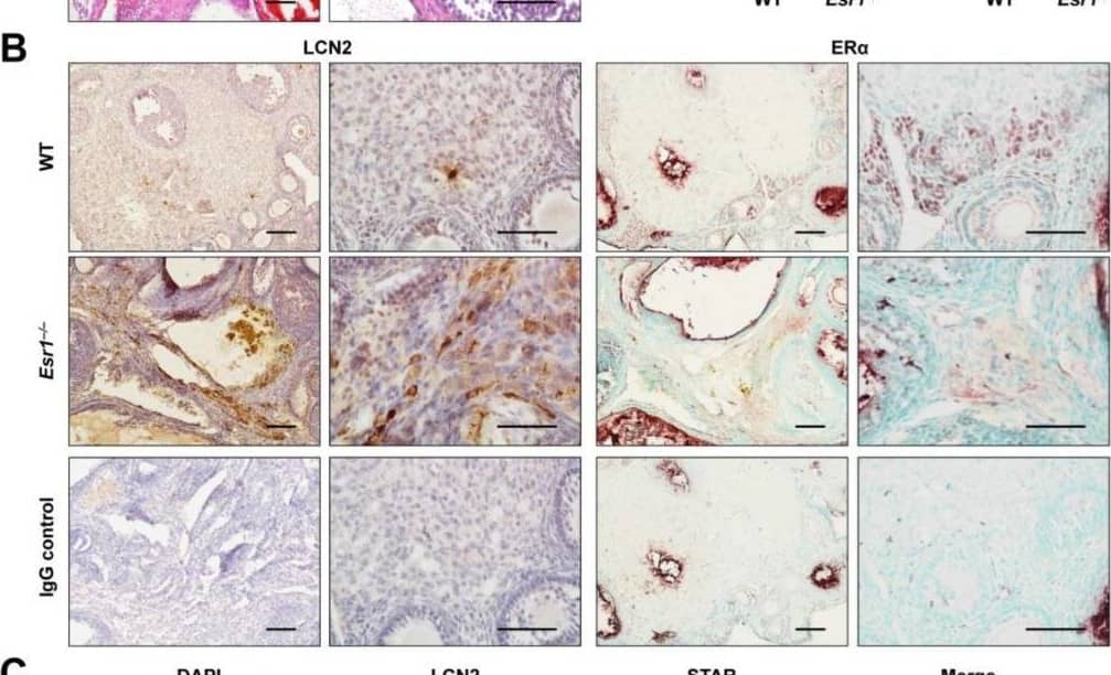
Detection of Mouse Lipocalin-2/NGAL by Immunohistochemistry-Paraffin Increased LCN2 expression in Esr1-deficient ovaries. Ovaries from wild-type (WT, n = 8) and Esr1 null mice (n = 6) were dissected and either embedded in paraffin or prepared for RNA analysis. (A) Hematoxylin and eosin (H & E) staining showed characteristic histological changes in Esr1-deficient compared to WT ovaries. (B) Immunohistochemical staining for LCN2 and ER alpha was performed. Sections were counterstained with hematoxylin (LCN2) or methyl green (ER alpha ). Magnifications: 100×, 400×; scale bars: 100 µm, 50 µm. (C) Tissue samples were subjected to immunofluorescence double staining for LCN2 and STAR. Magnifications: 100×; scale bars: 100 µm. (D) Lcn2 and Star expression was analyzed in ovarian tissues using RT-qPCR. Data are displayed as means ± SD. In case of normal distribution, Student’s t-tests were chosen for statistical analysis, otherwise a Mann–Whitney test was performed. Significant differences between groups are marked with asterisks: *** p < 0.001. Image collected and cropped by CiteAb from the following open publication (https://pubmed.ncbi.nlm.nih.gov/37298232), licensed under a CC-BY license. Not internally tested by R&D Systems.
View Larger
Detection of Mouse Lipocalin-2/NGAL by Immunohistochemistry Increased LCN2 expression in Esr1-deficient ovaries. Ovaries from wild-type (WT, n = 8) and Esr1 null mice (n = 6) were dissected and either embedded in paraffin or prepared for RNA analysis. (A) Hematoxylin and eosin (H & E) staining showed characteristic histological changes in Esr1-deficient compared to WT ovaries. (B) Immunohistochemical staining for LCN2 and ER alpha was performed. Sections were counterstained with hematoxylin (LCN2) or methyl green (ER alpha ). Magnifications: 100×, 400×; scale bars: 100 µm, 50 µm. (C) Tissue samples were subjected to immunofluorescence double staining for LCN2 and STAR. Magnifications: 100×; scale bars: 100 µm. (D) Lcn2 and Star expression was analyzed in ovarian tissues using RT-qPCR. Data are displayed as means ± SD. In case of normal distribution, Student’s t-tests were chosen for statistical analysis, otherwise a Mann–Whitney test was performed. Significant differences between groups are marked with asterisks: *** p < 0.001. Image collected and cropped by CiteAb from the following open publication (https://pubmed.ncbi.nlm.nih.gov/37298232), licensed under a CC-BY license. Not internally tested by R&D Systems.
View Larger
Detection of Mouse Lipocalin-2/NGAL by Western Blot LCN2 and ER alpha expression in the lung and kidney. Tissues from wild-type (WT, female: n = 9, male: n = 8) and Esr1 knockout (female: n = 6, male: n = 8) mice were either embedded in paraffin for immunostaining or processed for protein analysis. Immunohistochemistry staining was performed to localize LCN2 expression in (A) lung and (C) kidney tissue. Isotope-specific negative control IgG staining was performed to document antibody specificity. Magnifications: 100×; scale bar: 100 µm. LCN2 and ER alpha protein expression was analyzed in (B) lung and (D) kidney tissues by Western blot analysis in WT and Esr1 null mice. The expression of GAPDH (lungs) and vinculin (kidneys) was used to demonstrate equal protein loading. Unspecific bands are marked with asterisks (*) and are separated from specific bands by dashed lines. Protein expression of LCN2 was quantified densitometrically and plotted relative to the expression of the loading control. Mann–Whitney test (lungs) or Student’s t-tests (kidney) was used for statistical analysis. Significant differences between groups are indicated with asterisks: * p < 0.05. Data are displayed as means ± SD and non-significant results are marked with ns. Image collected and cropped by CiteAb from the following open publication (https://pubmed.ncbi.nlm.nih.gov/37298232), licensed under a CC-BY license. Not internally tested by R&D Systems.
View Larger
Detection of Mouse Lipocalin-2/NGAL by Western Blot LCN2 and ER alpha expression in the lung and kidney. Tissues from wild-type (WT, female: n = 9, male: n = 8) and Esr1 knockout (female: n = 6, male: n = 8) mice were either embedded in paraffin for immunostaining or processed for protein analysis. Immunohistochemistry staining was performed to localize LCN2 expression in (A) lung and (C) kidney tissue. Isotope-specific negative control IgG staining was performed to document antibody specificity. Magnifications: 100×; scale bar: 100 µm. LCN2 and ER alpha protein expression was analyzed in (B) lung and (D) kidney tissues by Western blot analysis in WT and Esr1 null mice. The expression of GAPDH (lungs) and vinculin (kidneys) was used to demonstrate equal protein loading. Unspecific bands are marked with asterisks (*) and are separated from specific bands by dashed lines. Protein expression of LCN2 was quantified densitometrically and plotted relative to the expression of the loading control. Mann–Whitney test (lungs) or Student’s t-tests (kidney) was used for statistical analysis. Significant differences between groups are indicated with asterisks: * p < 0.05. Data are displayed as means ± SD and non-significant results are marked with ns. Image collected and cropped by CiteAb from the following open publication (https://pubmed.ncbi.nlm.nih.gov/37298232), licensed under a CC-BY license. Not internally tested by R&D Systems.
View Larger
Detection of Mouse Lipocalin-2/NGAL by Immunohistochemistry Increased LCN2 expression in Esr1-deficient ovaries. Ovaries from wild-type (WT, n = 8) and Esr1 null mice (n = 6) were dissected and either embedded in paraffin or prepared for RNA analysis. (A) Hematoxylin and eosin (H & E) staining showed characteristic histological changes in Esr1-deficient compared to WT ovaries. (B) Immunohistochemical staining for LCN2 and ER alpha was performed. Sections were counterstained with hematoxylin (LCN2) or methyl green (ER alpha ). Magnifications: 100×, 400×; scale bars: 100 µm, 50 µm. (C) Tissue samples were subjected to immunofluorescence double staining for LCN2 and STAR. Magnifications: 100×; scale bars: 100 µm. (D) Lcn2 and Star expression was analyzed in ovarian tissues using RT-qPCR. Data are displayed as means ± SD. In case of normal distribution, Student’s t-tests were chosen for statistical analysis, otherwise a Mann–Whitney test was performed. Significant differences between groups are marked with asterisks: *** p < 0.001. Image collected and cropped by CiteAb from the following open publication (https://pubmed.ncbi.nlm.nih.gov/37298232), licensed under a CC-BY license. Not internally tested by R&D Systems.
View Larger
Detection of Mouse Lipocalin-2/NGAL by Immunohistochemistry-Paraffin Increased LCN2 expression in Esr1-deficient ovaries. Ovaries from wild-type (WT, n = 8) and Esr1 null mice (n = 6) were dissected and either embedded in paraffin or prepared for RNA analysis. (A) Hematoxylin and eosin (H & E) staining showed characteristic histological changes in Esr1-deficient compared to WT ovaries. (B) Immunohistochemical staining for LCN2 and ER alpha was performed. Sections were counterstained with hematoxylin (LCN2) or methyl green (ER alpha ). Magnifications: 100×, 400×; scale bars: 100 µm, 50 µm. (C) Tissue samples were subjected to immunofluorescence double staining for LCN2 and STAR. Magnifications: 100×; scale bars: 100 µm. (D) Lcn2 and Star expression was analyzed in ovarian tissues using RT-qPCR. Data are displayed as means ± SD. In case of normal distribution, Student’s t-tests were chosen for statistical analysis, otherwise a Mann–Whitney test was performed. Significant differences between groups are marked with asterisks: *** p < 0.001. Image collected and cropped by CiteAb from the following open publication (https://pubmed.ncbi.nlm.nih.gov/37298232), licensed under a CC-BY license. Not internally tested by R&D Systems.
Reconstitution Calculator
Preparation and Storage
- 12 months from date of receipt, -20 to -70 °C as supplied.
- 1 month, 2 to 8 °C under sterile conditions after reconstitution.
- 6 months, -20 to -70 °C under sterile conditions after reconstitution.
Background: Lipocalin-2/NGAL
Lipocalin-2, also known as neutrophil gelatinase-associated Lipocalin and uterocalin (NGAL), has been implicated in a variety of processes including cell differentiation, tumorigenesis, and apoptosis (1‑3). It binds a bacterial catecholate sidropore bound to ferric ion such as enterobactin with a subnanomolar dissociation constant (KD = 0.41 nM) (4). The bound ferric enterobactin complex breaks down slowly in a month into dihydroxybenzoyl serine and dihydroxybenzoic acid (DHBA). It also binds to a ferric DHBA complex with much less KD values (7.9 nM) (4). Secretion of Lipocalin-2 in immune cells increases by stimulation of Toll-like receptor as a acute phase response to infection. As a result, it acts as a potent bacteriostatic reagents by sequestering iron (5). Moreover, Lipocalin-2 can alter the invasive and metastatic behavior of Ras-transformed breast cancer cells in vitro and in vivo by reversing epithelial to mesenchymal transition inducing activity of Ras, through restoration of E-cadherin expression, via effects on the Ras-MAPK signaling pathway (6). In the kidney, Lipocalin-2-mediated iron trafficking may be involved in protection from renal injury, and it has been implicated as a marker for early kidney failure (7, 8).
- Kjeldsen L, et al. (2000) Biochim Biophys Acta. 1482:272.
- Devireddy, L.R. et al. (2001) Science 293:829.
- Yang, M.B. et al. (2002) Mol. Cell. 10:1045.
- Goetz, D.H. et al. (2002) Mol. Cell 10:1033.
- Flo, T.H. et al. (2004) Nature 432:917.
- Hanai, J. et al. (2005) J. Biol. Chem. 280:13641.
- Mori, K. et al. (2005) J. Clin. Invest. 115:610.
- Mishra, J. et al. (2005) Lancet 365:1231.
Product Datasheets
Citations for Rat Lipocalin-2/NGAL Antibody
R&D Systems personnel manually curate a database that contains references using R&D Systems products. The data collected includes not only links to publications in PubMed, but also provides information about sample types, species, and experimental conditions.
14
Citations: Showing 1 - 10
Filter your results:
Filter by:
-
Perilipin 5 and Lipocalin 2 Expression in Hepatocellular Carcinoma
Authors: Asimakopoulou A, Vucur M, Luedde T et al.
Cancers (Basel)
-
Expression Analysis of Lipocalin 2 (LCN2) in Reproductive and Non-Reproductive Tissues of Esr1-Deficient Mice
Authors: Kessel, JC;Weiskirchen, R;Schröder, SK;
International journal of molecular sciences
Species: Transgenic Mouse
Sample Types: Serum, Tissue Homogenates, Whole Tissue
Applications: Western Blot, IHC -
Hepatocyte estrogen sulfotransferase inhibition protects female mice from Concanavalin A-induced T cell-mediated hepatitis independent of estrogens
Authors: J Wang, Z Zhang, J Guan, HC Tung, J Xie, H Huang, Y Chen, M Xu, S Ren, S Li, M Zhang, D Yang, W Xie
The Journal of Biological Chemistry, 2023-02-15;0(0):103026.
Species: Mouse, Transgenic Mouse
Sample Types: Protein, Whole Tissue
Applications: IHC, Western Blot -
Isolation of Hepatocytes from Liver Tissue by a Novel, Semi-Automated Perfusion Technology
Authors: C Poggel, T Adams, R Janzen, A Hofmann, O Hardt, E Roeb, SK Schröder, CG Tag, M Roderfeld, R Weiskirche
Biomedicines, 2022-09-06;10(9):.
Species: Mouse
Sample Types: Tissue Homogenates
Applications: Western Blot -
Nephrotoxicity evaluation and proteomic analysis in kidneys of rats exposed to thioacetamide
Authors: JY Lim, WW Jung, W Kim, KS Moon, D Sul
Scientific Reports, 2022-04-27;12(1):6837.
Species: Rat
Sample Types: Tissue Lysates
Applications: Western Blot -
Depletion of Lipocalin 2 (LCN2) in Mice Leads to Dysbiosis and Persistent Colonization with Segmented Filamentous Bacteria
Authors: P Klüber, SK Meurer, J Lambertz, R Schwarz, S Zechel-Gra, T Braunschwe, S Hurka, E Domann, R Weiskirche
International Journal of Molecular Sciences, 2021-12-05;22(23):.
Species: Mouse, Transgenic Mouse
Sample Types: Tissue Homogenates
Applications: Western Blot -
N-Glycosylation of Lipocalin 2 Is Not Required for Secretion or Exosome Targeting
Authors: Erawan Borkham-Kamphorst, Eddy Van de Leur, Steffen K. Meurer, Eva M. Buhl, Ralf Weiskirchen
Frontiers in Pharmacology
-
Data on Lipocalin 2 and phosphatidylinositol 3-kinase signaling in a methionine- and choline-deficient model of non-alcoholic steatohepatitis
Authors: A Asimakopou, E Borkham-Ka, EV de Leur, R Weiskirche
Data Brief, 2017-07-01;13(0):644-649.
Species: Mouse
Sample Types: Tissue Homogenates
Applications: Western Blot -
Role of TGF-alpha in the progression of diabetic kidney disease
Authors: Josef G. Heuer, Shannon M. Harlan, Derek D. Yang, Dianna L. Jaqua, Jeffrey S. Boyles, Jonathan M. Wilson et al.
American Journal of Physiology-Renal Physiology
-
Expression and localisation of brain-type organic cation transporter (BOCT/24p3R/LCN2R) in the normal rat hippocampus and after kainate-induced excitotoxicity.
Authors: Chia W, Tan F, Ong W, Dawe G
Neurochem Int, 2015-05-21;87(0):43-59.
Species: Rat
Sample Types: Tissue Homogenates, Whole Tissue
Applications: IHC-Fr, Western Blot -
Lipocalin-2 (Lcn2) expression is mediated by maternal nutrition during the development of the fetal liver
Authors: William D. Rees, Susan M. Hay
Genes & Nutrition
-
Expression analysis of inflammasomes in experimental models of inflammatory and fibrotic liver disease
Authors: Sorina Georgiana Boaru, Erawan Borkham-Kamphorst, Lidia Tihaa, Ute Haas, Ralf Weiskirchen
Journal of Inflammation
-
Iron-related proteins: candidate urine biomarkers in childhood HIV-associated renal diseases.
Authors: Soler-Garcia AA, Johnson D, Hathout Y, Ray PE
Clin J Am Soc Nephrol, 2009-03-11;4(4):763-71.
Species: Rat
Sample Types: Urine
Applications: ELISA Development -
Lipocalin-2 in Fructose-Induced Fatty Liver Disease
Authors: J Lambertz, T Berger, TW Mak, J van Helden, R Weiskirche
Front Physiol, 2017-11-28;8(0):964.
FAQs
No product specific FAQs exist for this product, however you may
View all Antibody FAQsReviews for Rat Lipocalin-2/NGAL Antibody
There are currently no reviews for this product. Be the first to review Rat Lipocalin-2/NGAL Antibody and earn rewards!
Have you used Rat Lipocalin-2/NGAL Antibody?
Submit a review and receive an Amazon gift card.
$25/€18/£15/$25CAN/¥75 Yuan/¥2500 Yen for a review with an image
$10/€7/£6/$10 CAD/¥70 Yuan/¥1110 Yen for a review without an image
