Human Mer Antibody Summary
Arg26-Ala499
Accession # Q12866
Applications
Please Note: Optimal dilutions should be determined by each laboratory for each application. General Protocols are available in the Technical Information section on our website.
Scientific Data
View Larger
Detection of Human Mer by Western Blot. Western blot shows lysates of U937 human histiocytic lymphoma cell line and PANC-1 human pancreatic carcinoma cell line. PVDF membrane was probed with 1 µg/mL of Goat Anti-Human Mer Antigen Affinity-purified Polyclonal Antibody (Catalog # AF891) followed by HRP-conjugated Anti-Goat IgG Secondary Antibody (Catalog # HAF017). A specific band was detected for Mer at approximately 170-230 kDa (as indicated). This experiment was conducted under reducing conditions and using Immunoblot Buffer Group 1.
View Larger
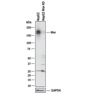
Western Blot Shows Human Mer Specificity by Using Knockout Cell Line. Western blot shows lysates of HepG2 human hepatocellular carcinoma parental cell line and Mer knockout HepG2 cell line (KO). PVDF membrane was probed with 1 µg/mL of Goat Anti-Human Mer Antigen Affinity-purified Polyclonal Antibody (Catalog # AF891) followed by HRP-conjugated Anti-Goat IgG Secondary Antibody (Catalog # HAF017). A specific band was detected for Mer at approximately 175 kDa (as indicated) in the parental HepG2 cell line, but is not detectable in knockout HepG2 cell line. GAPDH (Catalog # AF5718) is shown as a loading control. This experiment was conducted under reducing conditions and using Immunoblot Buffer Group 1.
View Larger
Detection of Human Mer by Western Blot Implication of both MERTK and TYRO3 receptors in PROS1-induced Src and VEC phosphorylation. (A,B) represent Western blot analysis (A) and subsequent quantification (B) of VEC phosphorylation on Tyr685, c-Src phosphorylation on Tyr416 or MLC phosphorylation. (B) Integrated intensity for the target proteins was divided by that for actin, and all conditions were normalized to their corresponding untreated controls. Analysis was performed with the Fiji software. (C) Proposed mechanism through which PROS1 interferes with EC permeability. PROS1 activates its tyrosine kinase receptors MERTK and TYRO3, leading to the phosphorylation of c- Src on Tyr416 and PAK-1 on Ser144 which in turn phosphorylate, respectively, VEC at Tyr685 and Ser665, two specific sites involved in the cleavage and internalization of VEC, respectively. The PROS1/MERTK-TYRO3/c-Src-Tyr416/VEC-Tyr685 pathway activates the cleavage of VEC extracellular domain, which destabilizes cell–cell junctions. The PROS1/MERTK-TYRO3/ PAK-1-Ser144/VEC-Ser665 pathway activates VEC internalization thus preventing VEC recognition between two adjacent endothelial cells. The Rho/ROCK/MLC pathway involved in the regulation of endothelial permeability is also activated by human PROS1. * p < 0.05; *** p < 0.001. Image collected and cropped by CiteAb from the following open publication (https://www.mdpi.com/1467-3045/46/4/205), licensed under a CC-BY license. Not internally tested by R&D Systems.
Reconstitution Calculator
Preparation and Storage
- 12 months from date of receipt, -20 to -70 °C as supplied.
- 1 month, 2 to 8 °C under sterile conditions after reconstitution.
- 6 months, -20 to -70 °C under sterile conditions after reconstitution.
Background: Mer
Axl (Ufo, Ark), Dtk (Sky, Tyro3, Rse, Brt) and Mer (human and mouse homologues of chicken c-Eyk) constitute a receptor tyrosine kinase subfamily. The extracellular domains of these proteins contain two Ig-like motifs and two fibronectin type III motifs. This characteristic topology is also found in neural cell adhesion molecules and in receptor tyrosine phosphatases. These receptors bind the vitamin K-dependent protein growth-arrest-specific gene 6 (Gas6) which is structurally related to the anticoagulation factor protein S. Binding of Gas6 induces receptor autophosphorylation and downstream signaling pathways that can lead to cell proliferation, migration or the prevention of apoptosis. Recent studies suggest that this family of tyrosine kinase receptors may be involved in hematopoiesis, embryonic development, tumorigenesis and regulation of testicular functions.
- Nagata, K. et al. (1996) J. Biol. Chem. 22:30022.
- Crosier, K.E. and P.S Crosier (1997) Pathology 29:131.
Product Datasheets
Citations for Human Mer Antibody
R&D Systems personnel manually curate a database that contains references using R&D Systems products. The data collected includes not only links to publications in PubMed, but also provides information about sample types, species, and experimental conditions.
22
Citations: Showing 1 - 10
Filter your results:
Filter by:
-
Phosphorylation of Ack1 by the Receptor Tyrosine Kinase Mer
Authors: Samantha Y. Hayashi, Barbara P. Craddock, W. Todd Miller
Kinases and Phosphatases
-
Decoding Functional High-Density Lipoprotein Particle Surfaceome Interactions
Authors: Frey K, Goetze S, Rohrer L et al.
International journal of molecular sciences
-
TIM-1 Mediates Dystroglycan-Independent Entry of Lassa Virus
Authors: Rachel B. Brouillette, Elisabeth K. Phillips, Radhika Patel, Wadie Mahauad-Fernandez, Sven Moller-Tank, Kai J. Rogers et al.
Journal of Virology
-
Antiphospholipid Antibodies Inhibit Trophoblast Toll-Like Receptor and Inflammasome Negative Regulators
Authors: Melissa J. Mulla, Ingrid C. Weel, Julie A. Potter, Stefan M. Gysler, Jane E. Salmon, Maria T. S. Peraçoli et al.
Arthritis & Rheumatology
-
Multiple cell types support productive infection and dynamic translocation of infectious Ebola virus to the surface of human skin
Authors: Messingham, KN;Richards, PT;Fleck, A;Patel, RA;Djurkovic, M;Elliff, J;Connell, S;Crowe, TP;Munoz Gonzalez, J;Gourronc, F;Dillard, JA;Davey, RA;Klingelhutz, A;Shtanko, O;Maury, W;
Science advances
Species: Human
Sample Types: Whole Cells
Applications: Flow Cytometry -
Regulation of Mertk Surface Expression via ADAM17 and ?-Secretase Proteolytic Processing
Authors: Lahey, KC;Varsanyi, C;Wang, Z;Aquib, A;Gadiyar, V;Rodrigues, AA;Pulica, R;Desind, S;Davra, V;Calianese, DC;Liu, D;Cho, JH;Kotenko, SV;De Lorenzo, MS;Birge, RB;
International journal of molecular sciences
Species: N/A
Sample Types: Recombinant Protein
Applications: Western Blot -
Phosphorylation of Ack1 by the Receptor Tyrosine Kinase Mer
Authors: Samantha Y. Hayashi, Barbara P. Craddock, W. Todd Miller
Kinases and Phosphatases
Species: Human
Sample Types: Cell Lysates
Applications: Western Blot -
Anti-inflammatory clearance of amyloid-beta by a chimeric Gas6 fusion protein
Authors: H Jung, SY Lee, S Lim, HR Choi, Y Choi, M Kim, S Kim, Y Lee, KH Han, WS Chung, CH Kim
Nature Medicine, 2022-08-04;0(0):.
Species: Human
Sample Types: Whole Tissue
Applications: IHC -
Ligand-dependent kinase activity of MERTK drives efferocytosis in human iPSC-derived macrophages
Authors: F Wanke, S Gutbier, A Rümmelin, M Steinberg, LD Hughes, M Koenen, J Komuczki, D Regan-Komi, S Wagage, J Hesselmann, R Thoma, D Brugger, T Christopei, H Wang, F Point, R Hallet, S Ghosh, CV Rothlin, C Patsch, B Geering
Cell Death & Disease, 2021-05-25;12(6):538.
Species: Human
Sample Types: Whole Cells
Applications: Flow Cytometry -
A FUNCTIONAL ROLE OF GAS6/TAM IN NON-ALCOHOLIC STEATOHEPATITIS PROGRESSION IMPLICATES AXL AS THERAPEUTIC TARGET
Authors: A Tutusaus, E de Gregori, B Cucarull, H Cristóbal, C Aresté, I Graupera, M Coll, A Colell, G Gausdal, JB Lorens, P García de, A Morales, M Marí
Cell Mol Gastroenterol Hepatol, 2019-11-02;0(0):.
Species: Human
Sample Types: Whole Cells
Applications: Cell Culture -
Human Sertoli cells support high levels of Zika virus replication and persistence
Authors: A Kumar, J Jovel, J Lopez-Oroz, D Limonta, AM Airo, S Hou, I Stryapunin, C Fibke, RB Moore, TC Hobman
Sci Rep, 2018-04-03;8(1):5477.
Species: Human
Sample Types: Whole Cells
Applications: Neutralization -
Protein S and Gas6 induce efferocytosis of HIV-1-infected cells
Authors: BA Chua, JA Ngo, K Situ, CM Ramirez, H Nakano, K Morizono
Virology, 2018-01-02;515(0):176-190.
Species: Human
Sample Types: Whole Cells
Applications: Neutralization -
Expression and role of TYRO3 and AXL as potential therapeutical targets in leiomyosarcoma
Authors: C Dantas-Bar, T Lesluyes, FL Loarer, F Chibon, I Treilleux, JM Coindre, P Meeus, M Brahmi, O Bally, I Ray-Coquar, MP Sunyach, AL Cesne, O Mir, S Bonvalot, M Toulmonde, A Italiano, P Saintigny, M Jean-Denis, F Ducimetier, D Ranchere, H El Sayadi, L Alberti, JY Blay
Br. J. Cancer, 2017-10-12;117(12):1787-1797.
Species: Human
Sample Types: Whole Cells
Applications: Flow Cytometry -
Viral Infection Sensitizes Human Fetal Membranes to Bacterial Lipopolysaccharide by MERTK Inhibition and Inflammasome Activation
Authors: SN Cross, JA Potter, P Aldo, JY Kwon, M Pitruzzell, M Tong, S Guller, CV Rothlin, G Mor, VM Abrahams
J. Immunol., 2017-09-15;0(0):.
Species: Human
Sample Types: Tissue Homogenates, Whole Tissue
Applications: Neutralization, Western Blot -
AXL-dependent infection of human fetal endothelial cells distinguishes Zika virus from other pathogenic flaviviruses
Authors: AS Richard, BS Shim, YC Kwon, R Zhang, Y Otsuka, K Schmitt, F Berri, MS Diamond, H Choe
Proc. Natl. Acad. Sci. U.S.A, 2017-02-06;114(8):2024-2029.
Species: Human, Primate
Sample Types: Whole Cells
Applications: Neutralization -
MerTK cleavage limits proresolving mediator biosynthesis and exacerbates tissue inflammation
Proc Natl Acad Sci USA, 2016-05-19;0(0):.
Species: Human
Sample Types: Cell Culture Supernates
Applications: Western Blot -
Increased soluble phagocytic receptors sMer, sTyro3 and sAxl and reduced phagocytosis in juvenile-onset systemic lupus erythematosus.
Authors: Ballantine, Lucy, Midgley, Angela, Harris, David, Richards, Ella, Burgess, Sarah, Beresford, Michael
Pediatr Rheumatol Online J, 2015-04-10;13(0):10.
Species: Mouse
Sample Types: Whole Cells
Applications: Flow Cytometry -
IL-17 stimulates differentiation of human anti-inflammatory macrophages and phagocytosis of apoptotic neutrophils in response to IL-10 and glucocorticoids.
Authors: Zizzo G, Cohen P
J Immunol, 2013-04-17;190(10):5237-46.
Species: Human
Sample Types: Whole Cells
Applications: Neutralization -
Identification of Axl as a downstream effector of TGF-beta1 during Langerhans cell differentiation and epidermal homeostasis.
J. Exp. Med., 2012-10-15;209(11):2033-47.
Species: Human
Sample Types: Cell Lysates, Whole Tissue
Applications: IHC-Fr, Western Blot -
Efficient clearance of early apoptotic cells by human macrophages requires M2c polarization and MerTK induction.
Authors: Zizzo G, Hilliard B, Monestier M, Cohen P
J Immunol, 2012-08-31;189(7):3508-20.
Species: Human
Sample Types: Whole Cells
Applications: Neutralization -
Ectosomes released by polymorphonuclear neutrophils induce a MerTK-dependent anti-inflammatory pathway in macrophages.
Authors: Eken C, Martin PJ, Sadallah S, Treves S, Schaller M, Schifferli JA
J. Biol. Chem., 2010-10-19;285(51):39914-21.
Species: Human
Sample Types: Whole Cells
Applications: Neutralization -
Auto-oxidation and oligomerization of protein S on the apoptotic cell surface is required for mer tyrosine kinase-mediated phagocytosis of apoptotic cells.
Authors: Uehara H, Shacter E
J. Immunol., 2008-02-15;180(4):2522-30.
Species: Human
Sample Types: Cell Lysates
Applications: Neutralization, Western Blot
FAQs
No product specific FAQs exist for this product, however you may
View all Antibody FAQsReviews for Human Mer Antibody
Average Rating: 5 (Based on 1 Review)
Have you used Human Mer Antibody?
Submit a review and receive an Amazon gift card.
$25/€18/£15/$25CAN/¥75 Yuan/¥2500 Yen for a review with an image
$10/€7/£6/$10 CAD/¥70 Yuan/¥1110 Yen for a review without an image
Filter by:
