Digoxigenin Antibody Summary
Applications
Please Note: Optimal dilutions should be determined by each laboratory for each application. General Protocols are available in the Technical Information section on our website.
Scientific Data
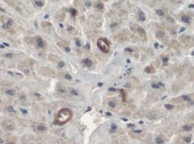
View Larger
Digoxigenin in Human Liver. Digoxigenin was detected in immersion fixed paraffin-embedded sections of human liver using Rabbit Anti-Human Digoxigenin Monoclonal Antibody (Catalog # MAB10386) at 1 µg/mL for 1 hour at room temperature followed by incubation with the Anti-Rabbit IgG VisUCyte™ HRP Polymer Antibody (VC003). Before incubation with the primary antibody, tissue was subjected to heat-induced epitope retrieval using Antigen Retrieval Reagent-Basic (CTS013). Tissue was stained using DAB (brown) and counterstained with hematoxylin (blue). Specific staining was localized to Digoxigenin labeled anti-Vimentin antibodies bound in the bile canaliculi. View our protocol for IHC Staining with VisUCyte HRP Polymer Detection Reagents.
View Larger
Digoxigenin in HeLa Human Cell Line. Digoxigenin was detected in immersion fixed HeLa human cervical epithelial carcinoma cell line using Rabbit Anti-Human Digoxigenin Monoclonal Antibody (Catalog # MAB10386) at 1 µg/mL for 3 hours at room temperature. Cells were stained using the NorthernLights™ 557-conjugated Anti-Rabbit IgG Secondary Antibody (red; NL004) and counterstained with DAPI (blue). Specific staining was localized to cytoplasm incubated with Digoxigenin-labeled anti-Vimentin antibody. View our protocol for Fluorescent ICC Staining of Cells on Coverslips.
Reconstitution Calculator
Preparation and Storage
- 12 months from date of receipt, -20 to -70 °C as supplied.
- 1 month, 2 to 8 °C under sterile conditions after reconstitution.
- 6 months, -20 to -70 °C under sterile conditions after reconstitution.
Background: Digoxigenin
Digoxigenin is a hapten, a small molecule with high immunogenicity, that is used in many molecular biology applications similarly to other popular haptens such as DNP (dinitrophenol), biotin, and fluorescein. Digoxigenin is a steroid found exclusively in the flowers and leaves of the plant genus Digitalis. Digoxigenin can be introduced into proteins and nucleic acids for detection in a variety of assays, including ELISA, Immunohistochemistry, in situ hybridization, Southern blot, and Western blot.
Product Datasheets
FAQs
No product specific FAQs exist for this product, however you may
View all Antibody FAQsReviews for Digoxigenin Antibody
Average Rating: 5 (Based on 1 Review)
Have you used Digoxigenin Antibody?
Submit a review and receive an Amazon gift card.
$25/€18/£15/$25CAN/¥75 Yuan/¥2500 Yen for a review with an image
$10/€7/£6/$10 CAD/¥70 Yuan/¥1110 Yen for a review without an image
Filter by:
