Human HVEM/TNFRSF14 Antibody Summary
Pro37-Val202
Accession # Q92956
Applications
Please Note: Optimal dilutions should be determined by each laboratory for each application. General Protocols are available in the Technical Information section on our website.
Scientific Data
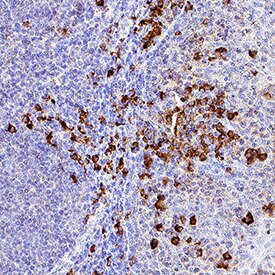
View Larger
HVEM/TNFRSF14 in Human Appendix. HVEM/TNFRSF14 was detected in immersion fixed paraffin-embedded sections of human appendix using Rabbit Anti-Human HVEM/TNFRSF14 Monoclonal Antibody (Catalog # MAB3562) at 3 µg/mL for 1 hour at room temperature followed by incubation with the Anti-Rabbit IgG VisUCyte™ HRP Polymer Antibody (VC003). Before incubation with the primary antibody, tissue was subjected to heat-induced epitope retrieval using Antigen Retrieval Reagent-Basic (CTS013). Tissue was stained using DAB (brown) and counterstained with hematoxylin (blue). Specific staining was localized to lymphocytes. Staining was performed using our protocol for IHC Staining with VisUCyte HRP Polymer Detection Reagents.
Reconstitution Calculator
Preparation and Storage
- 12 months from date of receipt, -20 to -70 °C as supplied.
- 1 month, 2 to 8 °C under sterile conditions after reconstitution.
- 6 months, -20 to -70 °C under sterile conditions after reconstitution.
Background: HVEM/TNFRSF14
Herpesvirus entry mediator (HVEM), also referred to as TR2 (TNF receptor-like molecule) and ATAR (another TRAF-associated receptor), is a type I membrane protein belonging to the TNF/NGF receptor superfamily. In the TNF superfamily nomenclature, HVEM is referred to as TNFRSF14. Human HVEM cDNA encodes a 283 amino acid (aa) protein with a probable 36 aa signal peptide, a 166 aa extracellular domain, a 23 aa transmembrane region and a 58 aa cytoplasmic region. The extracellular domain of HVEM contains several cysteine-rich repeats characteristic of TNF receptor superfamily members. The short cytoplasmic region lacks a death domain present in some TNF receptor family members, but contains a TRAF (TNF receptor-associated factor) interaction domain. HVEM expression has been detected in peripheral blood T cells, B cells, monocytes and in various tissues enriched in lymphoid cells. The extracellular domain of HVEM has been shown to interact directly with the herpes simplex virus envelope glycoprotein D. Two TNF superfamily ligands, including the secreted TNF‑ beta (lymphotoxin alpha ) and the membrane protein LIGHT (lymphotoxins, exhibits inducible expression, and competes with HSV glycoprotein D for HVEM, a receptor expressed by T lymphocytes), have been shown to be the cellular ligands for HVEM. Besides HVEM, LIGHT can also interact with LT beta R, the receptor for lymphotoxin alpha beta heterotrimer.
- Hsu, H. et al. (1997) J. Biol. Chem. 272:13471.
- Mauri, D.N. et al. (1998) Immunity 8:21.
- Montgomery, R.I. et al. (1996) Cell 87:427.
Product Datasheets
FAQs
No product specific FAQs exist for this product, however you may
View all Antibody FAQsReviews for Human HVEM/TNFRSF14 Antibody
There are currently no reviews for this product. Be the first to review Human HVEM/TNFRSF14 Antibody and earn rewards!
Have you used Human HVEM/TNFRSF14 Antibody?
Submit a review and receive an Amazon gift card.
$25/€18/£15/$25CAN/¥75 Yuan/¥2500 Yen for a review with an image
$10/€7/£6/$10 CAD/¥70 Yuan/¥1110 Yen for a review without an image
