Human PSGR Antibody Summary
Accession # Q9H255
Applications
Please Note: Optimal dilutions should be determined by each laboratory for each application. General Protocols are available in the Technical Information section on our website.
Scientific Data
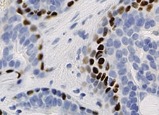
View Larger
PSGR in Human Prostate. PSGR was detected in immersion fixed paraffin-embedded sections of human normal prostate using Mouse Anti-Human PSGR Monoclonal Antibody (Catalog # MAB10669) at 5 µg/mL for 1 hour at room temperature followed by incubation with the Anti-Mouse IgG VisUCyte™ HRP Polymer Antibody (VC001). Before incubation with the primary antibody, tissue was subjected to heat-induced epitope retrieval using Antigen Retrieval Reagent-Basic (CTS013). Tissue was stained using DAB (brown) and counterstained with hematoxylin (blue). Specific staining was localized to cytoplasm in glandular epithelial cells. Staining was performed using our protocol for IHC Staining with VisUCyte HRP Polymer Detection Reagents.
Reconstitution Calculator
Preparation and Storage
- 12 months from date of receipt, -20 to -70 °C as supplied.
- 1 month, 2 to 8 °C under sterile conditions after reconstitution.
- 6 months, -20 to -70 °C under sterile conditions after reconstitution.
Background: PSGR
PSGR (OR51E2) is an olfactory receptor and part of a large family of GPCR's arising from single coding-exon genes. Odorant receptors represent the largest GPCR family in the human genome and are found to be ectopically expressed in non-sensory tissues mediating a variety of cellular functions. OR51E2 is well-characterized in prostate cancer and epidermal pigment cells and expressed in the cytosol and in the plasma membrane. OR51E2 is involved in the regulation of RPE cell growth and is a potential target for the treatment of proliferative disorders.
Product Datasheets
FAQs
No product specific FAQs exist for this product, however you may
View all Antibody FAQsReviews for Human PSGR Antibody
Average Rating: 5 (Based on 1 Review)
Have you used Human PSGR Antibody?
Submit a review and receive an Amazon gift card.
$25/€18/£15/$25CAN/¥75 Yuan/¥2500 Yen for a review with an image
$10/€7/£6/$10 CAD/¥70 Yuan/¥1110 Yen for a review without an image
Filter by:
