Mouse Mer Antibody Summary
Glu23-Phe498
Accession # Q60805
Applications
Please Note: Optimal dilutions should be determined by each laboratory for each application. General Protocols are available in the Technical Information section on our website.
Scientific Data
View Larger
Detection of Mer in J774A.1 Mouse Cell Line by Flow Cytometry. J774A.1 mouse reticulum cell sarcoma macrophage cell line was stained with Goat Anti-Mouse Mer Antigen Affinity-purified Polyclonal Antibody (Catalog # AF591, filled histogram) or control antibody (Catalog # AB-108-C, open histogram), followed by Allophycocyanin-conjugated Anti-Goat IgG Secondary Antibody (Catalog # F0108).
View Larger
Mer in Mouse Testis. Mer was detected in perfusion fixed frozen sections of mouse testis using Goat Anti-Mouse Mer Antigen Affinity-purified Polyclonal Antibody (Catalog # AF591) at 1 µg/mL for 1 hour at room temperature followed by incubation with the Anti-Goat IgG VisUCyte™ HRP Polymer Antibody (Catalog # VC004). Tissue was stained using DAB (brown) and counterstained with hematoxylin (blue). Specific staining was localized to sperm cells. View our protocol for IHC Staining with VisUCyte HRP Polymer Detection Reagents.
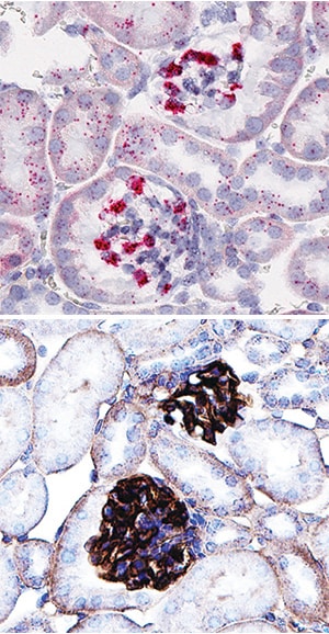
View Larger
Mer in Mouse Kidney Using Dual RNAscope®ISH and IHC. Mer mRNA was detected in formalin-fixed paraffin-embedded tissue sections of mouse kidney probed with ACD RNAScope®Probe (Catalog # 441241) and stained using ACD RNAscope®2.5 HD Detection Reagents-Red (top image, Catalog # 32260). Adjacent tissue section was processed for immunohistochemistry using R&D Systems Goat Anti-Mouse Mer Antigen Affinity-purified Polyclonal Antibody (Catalog # AF591) at 1 ug/mL with overnight incubation at 4 °C followed by incubation with the Anti-Goat IgG VisUCyte HRP Polymer Antibody (R&D Systems, Catalog # VC004) and DAB chromogen (lower image, yellow-brown). Tissues were counterstained with hematoxylin (blue).
View Larger
Detection of Mouse Mer by Western Blot RPE express components of BAI1-signaling pathway and Bai1Tg. (A) Expression of the BAI1 signaling pathway was analyzed by quantitative RT-PCR in RPE isolated from P14 Mertk+/− and Mertk−/− mice (n = 2) Error bars represent SEM. (B) Immunoblot analysis of BAI1 signaling pathway in RPE whole cell lysates isolated from P14 mice. Left panel shows representative immunoblots for Mer, Dock180, Elmo2 and Rac. Right panel shows combined densitometry analysis of immunoblots from n = 3 mice per genotype. For densitometry analysis, band volumes were normalized to an actin loading control and band densities in Mertk−/− were then normalized to Mertk+/− for comparison across multiple blots. (C) Schematic of Bai1Tg insertion in the Rosa26 locus indicating the N-terminal HA-tag in red and IRES-GFP in green. Mouse image licensed from Motifolio Inc. (D) GFP expression was analyzed in RPE flat mount preparations at 20x magnification. Inset image in the left panel shows a representative flat mount at 1.2x magnification. White scale bars in images are 50 μm. Images are representative of n = 2 mice per genotype. (E) qRT-PCR analysis of Bai1Tg expression in Mertk+/−Bai1Tg (n = 9) and Mertk−/−Bai1Tg (n = 3) RPE isolated on P14. n.d. = not detected. Error bars represent SEM. (F) Immunoblot analysis of HA-tag (Bai1Tg) in RPE whole cell lysates isolated from P13-P14 mice. Immunoblot shown is representative of n = 2 experiments. (G) HA staining and localization was analyzed in eyecups at 40x magnification. Neural retinas were removed prior to fixation and staining. Black lines next to the figure align with apical microvilli of RPE. Scale bars are 20 μm. Images shown are representative of n = 2 mice per genotype. Image collected and cropped by CiteAb from the following publication (https://www.nature.com/articles/s41598-017-15191-1), licensed under a CC-BY license. Not internally tested by R&D Systems.
Reconstitution Calculator
Preparation and Storage
- 12 months from date of receipt, -20 to -70 °C as supplied.
- 1 month, 2 to 8 °C under sterile conditions after reconstitution.
- 6 months, -20 to -70 °C under sterile conditions after reconstitution.
Background: Mer
Axl (Ufo, Ark), Dtk (Sky, Tyro3, Rse, Brt) and Mer (human and mouse homologues of chicken c-Eyk) constitute a receptor tyrosine kinase subfamily. The extracellular domains of these proteins contain two Ig-like motifs and two fibronectin type III motifs. This characteristic topology is also found in neural cell adhesion molecules and in receptor tyrosine phosphatases. These receptors bind the vitamin K-dependent protein growth-arrest-specific gene 6 (Gas6) which is structurally related to the anticoagulation factor protein S. Binding of Gas6 induces receptor autophosphorylation and downstream signaling pathways that can lead to cell proliferation, migration or the prevention of apoptosis. Studies suggest that this family of tyrosine kinase receptors may be involved in hematopoiesis, embryonic development, tumorigenesis and regulation of testicular functions (1, 2).
- Nagata, K. et al. (1996) J. Biol. Chem. 22:30022.
- Crosier, K.E. and P.S Crosier (1997) Pathology 29:131.
Product Datasheets
Citations for Mouse Mer Antibody
R&D Systems personnel manually curate a database that contains references using R&D Systems products. The data collected includes not only links to publications in PubMed, but also provides information about sample types, species, and experimental conditions.
72
Citations: Showing 1 - 10
Filter your results:
Filter by:
-
Klebsiella pneumoniae hijacks the Toll-IL-1R protein SARM1 in a type I IFN-dependent manner to antagonize host immunity
Authors: Feriotti C, SA-Pessoa J, CalderOn-GonzAlez R et al.
Cell reports
-
siRNA nanoparticles targeting CaMKII gamma in lesional macrophages improve atherosclerotic plaque stability in mice
Authors: Tao W, Yurdagul A, Kong N et al.
Sci Transl Med
-
Pathology-oriented multiplexing enables integrative disease mapping
Authors: Kuehl, M;Okabayashi, Y;Wong, MN;Gernhold, L;Gut, G;Kaiser, N;Schwerk, M;Gräfe, SK;Ma, FY;Tanevski, J;Schäfer, PSL;Mezher, S;Sarabia Del Castillo, J;Goldbeck-Strieder, T;Zolotareva, O;Hartung, M;Delgado Chaves, FM;Klinkert, L;Gnirck, AC;Spehr, M;Fleck, D;Joodaki, M;Parra, V;Shaigan, M;Diebold, M;Prinz, M;Kranz, J;Kux, JM;Braun, F;Kretz, O;Wu, H;Grahammer, F;Heins, S;Zimmermann, M;Haas, F;Kylies, D;Wanner, N;Czogalla, J;Dumoulin, B;Zolotarev, N;Lindenmeyer, M;Karlson, P;Nyengaard, JR;Sebode, M;Weidemann, S;Wiech, T;Groene, HJ;Tomas, NM;Meyer-Schwesinger, C;Kuppe, C;Kramann, R;Karras, A;Bruneval, P;Tharaux, PL;Pastene, D;Yard, B;Schaub, JA;McCown, PJ;Pyle, L;Choi, YJ;Yokoo, T;Baumbach, J;Sáez, PJ;Costa, I;Turner, JE;Hodgin, JB;Saez-Rodriguez, J;Huber, TB;Bjornstad, P;Kretzler, M;Lenoir, O;Nikolic-Paterson, DJ;Pelkmans, L;Bonn, S;Puelles, VG;
Nature
Species: Human
Sample Types: Whole Tissue
Applications: IF/IHC -
PTP inhibition improves the macrophage anti-tumor immune response and the efficacy of chemo- and radiotherapy
Authors: Prieto-Dominguez, N;Goel, P;Ojo, OA;Moretto, K;Holtzhausen, A;Humphryes, A;Zhou, X;Kuznetsova, V;Dempsey, F;Pittman, K;Lu, R;Green, TJ;Shi, LZ;Welner, RS;Earp, HS;Ubil, E;
Cancer immunology research
Species: Mouse
Sample Types: Whole Tissue
Applications: Proximity Ligation Assay -
Rapid unleashing of macrophage efferocytic capacity via transcriptional pause release
Authors: Tufan, T;Comertpay, G;Villani, A;Nelson, GM;Terekhova, M;Kelley, S;Zakharov, P;Ellison, RM;Shpynov, O;Raymond, M;Sun, J;Chen, Y;Bockelmann, E;Stremska, M;Peterson, LW;Boeckaerts, L;Goldman, SR;Etchegaray, JI;Artyomov, MN;Peri, F;Ravichandran, KS;
Nature
Species: Human
Sample Types: Whole Cells
Applications: Functional Assay -
AXL Expression on Homeostatic Resident Liver Macrophages Is Reduced in Cirrhosis Following GAS6 Production by Hepatic Stellate Cells
Authors: Oltin-Tiberiu Pop, Anne Geng, Emilio Flint, Arjuna Singanayagam, Caner Ercan, Lucia Possamai et al.
Cellular and Molecular Gastroenterology and Hepatology
-
Walnut inclusion in a palm oil-based atherogenic diet promotes traits predicting stable atheroma plaque in Apoe-deficient mice
Authors: Iolanda Lázaro, Joaquim Bobi, Montserrat Cofán, Garyfallia Kapravelou, Antonio J. Amor, Joaquin Surra et al.
Frontiers in Nutrition
-
Anti-inflammatory clearance of amyloid-beta by a chimeric Gas6 fusion protein
Authors: H Jung, SY Lee, S Lim, HR Choi, Y Choi, M Kim, S Kim, Y Lee, KH Han, WS Chung, CH Kim
Nature Medicine, 2022-08-04;0(0):.
Species: Mouse
Sample Types: Whole Cells
Applications: Flow Cytometry -
Pomegranate Peel Extract Decreases Plaque Necrosis and Advanced Atherosclerosis Progression in Apoe -/- Mice
Authors: Vijayprakash Manickam, Umesh Kumar Dhawan, Damanpreet Singh, Mahesh Gupta, Manikandan Subramanian
Frontiers in Pharmacology
-
Pentoxifylline alleviates ischemic white matter injury through up-regulating Mertk-mediated myelin clearance
Authors: L Zheng, J Jia, Y Chen, R Liu, R Cao, M Duan, M Zhang, Y Xu
Journal of Neuroinflammation, 2022-05-31;19(1):128.
Species: Mouse
Sample Types: Whole Tissue
Applications: IHC -
Concerted type I interferon signaling in microglia and neural cells promotes memory impairment associated with amyloid ? plaques
Authors: Roy ER, Chiu G, Li S et al.
Immunity
-
Phosphatidylserine released from apoptotic cells in tumor induces M2‐like macrophage polarization through the PSR‐STAT3‐JMJD3 axis
Authors: Xiao Liang, Min Luo, Bin Shao, Jing‐Yun Yang, An Tong, Rui‐Bo Wang et al.
Cancer Communications
-
Synthesis of siRNA nanoparticles to silence plaque-destabilizing gene in atherosclerotic lesional macrophages
Authors: X Huang, C Liu, N Kong, Y Xiao, A Yurdagul, I Tabas, W Tao
Nature Protocols, 2022-02-04;0(0):.
Species: Mouse
Sample Types: Whole Tissue
Applications: IHC -
Microglia use TAM receptors to detect and engulf amyloid &beta plaques
Authors: Y Huang, KE Happonen, PG Burrola, C O'Connor, N Hah, L Huang, A Nimmerjahn, G Lemke
Nature Immunology, 2021-04-15;0(0):.
Species: Mouse
Sample Types: Whole Tissue
Applications: IHC -
Diurnal Photoreceptor Outer Segment Renewal in Mice Is Independent of Galectin-3
Authors: NJ Esposito, F Mazzoni, JA Vargas, SC Finnemann
Investigative Ophthalmology & Visual Science, 2021-02-01;62(2):7.
Species: Mouse
Sample Types: Cell Lysates
Applications: Western Blot -
Mer regulates microglial/macrophage M1/M2 polarization and alleviates neuroinflammation following traumatic brain injury
Authors: H Wu, J Zheng, S Xu, Y Fang, Y Wu, J Zeng, A Shao, L Shi, J Lu, S Mei, X Wang, X Guo, Y Wang, Z Zhao, J Zhang
Journal of Neuroinflammation, 2021-01-05;18(1):2.
Species: Mouse
Sample Types: Whole Tissue
Applications: IHC -
Embryonic Microglia Interact with Hypothalamic Radial Glia during Development and Upregulate the TAM Receptors MERTK and AXL following an Insult
Authors: JM Rosin, CM Marsters, F Malik, R Far, L Adnani, C Schuurmans, QJ Pittman, DM Kurrasch
Cell Reports, 2021-01-05;34(1):108587.
Species: Mouse
Sample Types: Whole Tissue
Applications: IHC -
Essential omega-3 fatty acids tune microglial phagocytosis of synaptic elements in the mouse developing brain
Authors: C Madore, Q Leyrolle, L Morel, M Rossitto, AD Greenhalgh, JC Delpech, M Martinat, C Bosch-Bouj, J Bourel, B Rani, C Lacabanne, A Thomazeau, KE Hopperton, S Beccari, A Sere, A Aubert, V De Smedt-P, C Lecours, K Bisht, L Fourgeaud, S Gregoire, L Bretillon, N Acar, NJ Grant, J Badaut, P Gressens, A Sierra, O Butovsky, ME Tremblay, RP Bazinet, C Joffre, A Nadjar, S Layé
Nature Communications, 2020-11-30;11(1):6133.
Species: Mouse
Sample Types: Protein
Applications: Western Blot -
Astrocytic phagocytosis is a compensatory mechanism for microglial dysfunction
Authors: Hiroyuki Konishi, Takayuki Okamoto, Yuichiro Hara, Okiru Komine, Hiromi Tamada, Mitsuyo Maeda et al.
The EMBO Journal
-
Macrophage-derived vascular endothelial growth factor-A is integral to neuromuscular junction reinnervation after nerve injury
Authors: CY Lu, K Santosa, A Jablonka-S, B Vannucci, A Fuchs, I Turnbull, D Pan, M Wood, AK Snyder-War
J Neurosci, 2020-11-06;0(0):.
Species: Mouse
Sample Types: Whole Cells
Applications: Flow Cytometry -
Anti-Axl antibody treatment reduces the severity of experimental autoimmune encephalomyelitis
Authors: JC DuBois, AK Ray, P Davies, B Shafit-Zag
J Neuroinflammation, 2020-10-29;17(1):324.
Species: Mouse
Sample Types: In Vivo
Applications: Functional Assay -
Differential regulation of hepatic physiology and injury by the TAM receptors Axl and Mer
Authors: Anna Zagórska, Paqui G Través, Lidia Jiménez-García, Jenna D Strickland, Joanne Oh, Francisco J Tapia et al.
Life Science Alliance
-
Mertk Interacts with Tim-4 to Enhance Tim-4-Mediated Efferocytosis
Authors: B Moon, J Lee, SA Lee, C Min, H Moon, D Kim, S Yang, H Moon, J Jeon, YE Joo, D Park
Cells, 2020-07-06;9(7):.
Species: Human
Sample Types: Whole Cells
Applications: ICC -
Astrocytes and microglia play orchestrated roles and respect phagocytic territories during neuronal corpse removal in vivo
Authors: EC Damisah, RA Hill, A Rai, F Chen, CV Rothlin, S Ghosh, J Grutzendle
Sci Adv, 2020-06-26;6(26):eaba3239.
Species: Mouse
Sample Types: Whole Cells
Applications: IF -
A FUNCTIONAL ROLE OF GAS6/TAM IN NON-ALCOHOLIC STEATOHEPATITIS PROGRESSION IMPLICATES AXL AS THERAPEUTIC TARGET
Authors: A Tutusaus, E de Gregori, B Cucarull, H Cristóbal, C Aresté, I Graupera, M Coll, A Colell, G Gausdal, JB Lorens, P García de, A Morales, M Marí
Cell Mol Gastroenterol Hepatol, 2019-11-02;0(0):.
Species: Mouse
Sample Types: Whole Cells
Applications: Cell Culture -
Gas6/TAM Receptors in Systemic Lupus Erythematosus
Authors: Philip L. Cohen, Wen-Hai Shao
Disease Markers
-
Unique Transcriptional Architecture in Airway Epithelial Cells and Macrophages Shapes Distinct Responses following Influenza Virus Infection Ex Vivo
Authors: Joel Z. Ma, Wy Ching Ng, Luke Zappia, Linden J. Gearing, Moshe Olshansky, Kym Pham et al.
Journal of Virology
-
Pan-TAM tyrosine kinase inhibitor BMS-777607 enhances anti-PD-1 mAb efficacy in a murine model of triple-negative breast cancer
Authors: RB Birge, C Kasikara, V Davra, D Calianese, K Geng, TE Spires, M Quigley, M Wichroski, G Sriram, L Suarez-Lop, MB Yaffe, SV Kotenko, MS De Lorenzo
Cancer Res., 2019-03-15;0(0):.
Species: Mouse
Sample Types: Whole Cells
Applications: Flow Cytometry -
Receptor tyrosine kinase MerTK suppresses an allogenic type I IFN response to promote transplant tolerance
Authors: Lei Zhang, Matthew DeBerge, Jiaojin Wang, Anil Dangi, Xiaomin Zhang, Samantha Schroth et al.
American Journal of Transplantation
-
Reference-based analysis of lung single-cell sequencing reveals a transitional profibrotic macrophage
Authors: D Aran, AP Looney, L Liu, E Wu, V Fong, A Hsu, S Chak, RP Naikawadi, PJ Wolters, AR Abate, AJ Butte, M Bhattachar
Nat. Immunol., 2019-01-14;20(2):163-172.
Species: Mouse
Sample Types: Whole Tissue
Applications: IHC-Fr -
LXR Suppresses Inflammatory Gene Expression and Neutrophil Migration through cis-Repression and Cholesterol Efflux
Authors: DG Thomas, AC Doran, P Fotakis, M Westerterp, P Antonson, H Jiang, XC Jiang, JÅ Gustafsson, I Tabas, AR Tall
Cell Rep, 2018-12-26;25(13):3774-3785.e4.
Species: Mouse
Sample Types: Whole Cells
Applications: Neutralization -
Mer-mediated eosinophil efferocytosis regulates resolution of allergic airway inflammation
Authors: Jennifer M. Felton, Christopher D. Lucas, David A. Dorward, Rodger Duffin, Tiina Kipari, Sonja Vermeren et al.
Journal of Allergy and Clinical Immunology
-
MERTK inhibition alters the PD-1 axis and promotes anti-leukemia immunity
Authors: Alisa B. Lee-Sherick, Kristen M. Jacobsen, Curtis J. Henry, Madeline G. Huey, Rebecca E. Parker, Lauren S. Page et al.
JCI Insight
-
Sitravatinib potentiates immune checkpoint blockade in refractory cancer models
Authors: W Du, H Huang, N Sorrelle, RA Brekken
JCI Insight, 2018-11-02;3(21):.
Species: Mouse
Sample Types: Tissue Homogenates
Applications: Western Blot -
Protective Role of the MER Tyrosine Kinase via Efferocytosis in Rheumatoid Arthritis Models
Authors: CEJ Waterborg, S Beermann, MGA Broeren, MB Bennink, MI Koenders, PLEM van Lent, WB van den Be, PM van der Kr, FAJ van de Loo
Front Immunol, 2018-04-13;9(0):742.
Species: Mouse
Sample Types: In Vivo, Tissue Homogenates, Whole Cells
Applications: Activation, Immunoprecipitation, In Vivo, Western Blot -
Schwann cells use TAM receptor-mediated phagocytosis in addition to autophagy to clear myelin in a mouse model of nerve injury
Authors: A Brosius Lu, WS Chung, SA Sloan, GA Carson, L Zhou, E Lovelett, S Posada, JB Zuchero, BA Barres
Proc. Natl. Acad. Sci. U.S.A., 2017-09-05;0(0):.
Species: Mouse
Sample Types: Tissue Homogenates, Whole Tissue
Applications: IHC, Western Blot -
Macrophage deficiency of miR-21 promotes apoptosis, plaque necrosis, and vascular inflammation during atherogenesis
Authors: A Canfrán-Du, N Rotllan, X Zhang, M Fernández-, C Ramírez-Hi, E Araldi, L Daimiel, R Busto, C Fernández-, Y Suárez
EMBO Mol Med, 2017-09-01;0(0):.
Species: Mouse
Sample Types: Cell Lysates, Whole Cells
Applications: Flow Cytometry, Western Blot -
Sleep Loss Promotes Astrocytic Phagocytosis and Microglial Activation in Mouse Cerebral Cortex
Authors: M Bellesi, L de Vivo, M Chini, F Gilli, G Tononi, C Cirelli
J. Neurosci., 2017-05-24;37(21):5263-5273.
Species: Mouse
Sample Types: Tissue Homogenates, Whole Tissue
Applications: IHC, Western Blot -
Migrating Interneurons Secrete Fractalkine to Promote Oligodendrocyte Formation in the Developing Mammalian Brain
Authors: A Voronova, SA Yuzwa, BS Wang, S Zahr, C Syal, J Wang, DR Kaplan, FD Miller
Neuron, 2017-05-03;94(3):500-516.e9.
Species: Mouse
Sample Types: Whole Cells
Applications: Neutralization -
GAS6 is a key homeostatic immunological regulator of host-commensal interactions in the oral mucosa
Authors: M Nassar, Y Tabib, T Capucha, G Mizraji, T Nir, M Pevsner-Fi, G Zilberman-, O Heyman, G Nussbaum, H Bercovier, A Wilensky, E Elinav, T Burstyn-Co, AH Hovav
Proc. Natl. Acad. Sci. U.S.A, 2017-01-03;0(0):.
Species: Mouse
Sample Types: Tissue Homogenates
Applications: Western Blot -
MicroRNA-126 overexpression rescues diabetes-induced impairment in efferocytosis of apoptotic cardiomyocytes
Sci Rep, 2016-11-09;6(0):36207.
Species: Mouse
Sample Types: Cell Lysates
Applications: Immunoprecipitation -
Liver X receptor and STAT1 cooperate downstream of Gas6/Mer to induce anti-inflammatory arginase 2 expression in macrophages
Sci Rep, 2016-07-13;6(0):29673.
Species: Mouse
Sample Types:
-
MerTK cleavage limits proresolving mediator biosynthesis and exacerbates tissue inflammation
Proc Natl Acad Sci USA, 2016-05-19;0(0):.
Species: Mouse
Sample Types: Cell Lysates
Applications: Western Blot -
TAM receptors regulate multiple features of microglial physiology
Authors: L Fourgeaud, PG Través, Y Tufail, H Leal-Baile, ED Lew, PG Burrola, P Callaway, A Zagórska, CV Rothlin, A Nimmerjahn, G Lemke
Nature, 2016-04-06;532(7598):240-4.
Species: Mouse
Sample Types: Tissue Homogenates
Applications: Western Blot -
Apoptotic cell clearance of Leishmania major-infected neutrophils by dendritic cells inhibits CD8+ T-cell priming in vitro by Mer tyrosine kinase-dependent signaling
Authors: F L Ribeiro-Gomes, A Romano, S Lee, E Roffê, N C Peters, A Debrabant et al.
Cell Death & Disease
-
The TAM receptor Mertk protects against neuroinvasive viral infection by maintaining blood-brain barrier integrity
Authors: Jonathan J. Miner, Brian P. Daniels, Bimmi Shrestha, Jose L. Proenca-Modena, Erin D. Lew, Helen M. Lazear et al.
Nature Medicine
-
Targeting inflammation in type 2 diabetes by antibody‐mediated Tyro‐3, Axl, Mer receptor activation
Authors: Chien‐Hsing Lee, Chih‐Ying Changchien, Yi‐Jen Hung
Journal of Diabetes Investigation
-
Collecting lymphatic vessel permeability facilitates adipose tissue inflammation and distribution of antigen to lymph node-homing adipose tissue dendritic cells.
Authors: Kuan E, Ivanov S, Bridenbaugh E, Victora G, Wang W, Childs E, Platt A, Jakubzick C, Mason R, Gashev A, Nussenzweig M, Swartz M, Dustin M, Zawieja D, Randolph G
J Immunol, 2015-04-27;194(11):5200-10.
Species: Mouse
Sample Types: Whole Cells
Applications: Flow Cytometry -
Nuclear receptors license phagocytosis by trem2+ myeloid cells in mouse models of Alzheimer's disease.
Authors: Savage J, Jay T, Goduni E, Quigley C, Mariani M, Malm T, Ransohoff R, Lamb B, Landreth G
J Neurosci, 2015-04-22;35(16):6532-43.
Species: Mouse
Sample Types: Tissue Homogenates, Whole Cells, Whole Tissue
Applications: Flow Cytometry, IHC, Western Blot -
Apolipoprotein E promotes subretinal mononuclear phagocyte survival and chronic inflammation in age-related macular degeneration.
Authors: Levy O, Calippe B, Lavalette S, Hu S, Raoul W, Dominguez E, Housset M, Paques M, Sahel J, Bemelmans A, Combadiere C, Guillonneau X, Sennlaub F
EMBO Mol Med, 2015-02-01;7(2):211-26.
Species: Mouse
Sample Types: Cell Lysates
Applications: Western Blot -
Efferocytosis produces a prometastatic landscape during postpartum mammary gland involution
Authors: Jamie C. Stanford, Christian Young, Donna Hicks, Philip Owens, Andrew Williams, David B. Vaught et al.
Journal of Clinical Investigation
Species: Human, Mouse, Transgenic Mouse
Sample Types: Cell Lysates, Tissue Homogenates, Whole Cells, Transduced Whole Cells
Applications: Immunoprecipitation, Neutralization -
Diversification of TAM receptor tyrosine kinase function.
Authors: Zagorska A, Traves P, Lew E, Dransfield I, Lemke G
Nat Immunol, 2014-09-07;15(10):920-8.
Species: Mouse
Sample Types: Cell Lysates, In Vivo
Applications: Immunoprecipitation, Neutralization -
Ly6Chi monocyte recruitment is responsible for Th2 associated host-protective macrophage accumulation in liver inflammation due to schistosomiasis.
Authors: Nascimento M, Huang S, Smith A, Everts B, Lam W, Bassity E, Gautier E, Randolph G, Pearce E
PLoS Pathog, 2014-08-21;10(8):e1004282.
Species: Mouse
Sample Types: Whole Cells
Applications: Flow Cytometry -
A new mouse model for female genital schistosomiasis.
Authors: Richardson, Monica L, Fu, Chi-Ling, Pennington, Luke F, Honeycutt, Jared D, Odegaard, Justin I, Hsieh, Yi-Ju, Hammam, Olfat, Conti, Simon L, Hsieh, Michael
PLoS Negl Trop Dis, 2014-05-01;8(5):e2825.
Species: Mouse
Sample Types: Tissue Homogenates
Applications: Flow Cytometry -
Minimal differentiation of classical monocytes as they survey steady-state tissues and transport antigen to lymph nodes.
Authors: Jakubzick C, Gautier E, Gibbings S, Sojka D, Schlitzer A, Johnson T, Ivanov S, Duan Q, Bala S, Condon T, Van Rooijen N, Grainger J, Belkaid Y, Ma'ayan A, Riches D, Yokoyama W, Ginhoux F, Henson P, Randolph G
Immunity, 2013-09-05;39(3):599-610.
Species: Mouse
Sample Types: Whole Cells
Applications: Flow Cytometry -
Enveloped Viruses Disable Innate Immune Responses in Dendritic Cells by Direct Activation of TAM Receptors
Authors: Suchita Bhattacharyya, Anna Zagórska, Erin D. Lew, Bimmi Shrestha, Carla V. Rothlin, John Naughton et al.
Cell Host & Microbe
-
MerTK inhibition in tumor leukocytes decreases tumor growth and metastasis
Authors: Rebecca S. Cook, Kristen M. Jacobsen, Anne M. Wofford, Deborah DeRyckere, Jamie Stanford, Anne L. Prieto et al.
Journal of Clinical Investigation
Species: Mouse
Sample Types: Cell Lysates
Applications: Western Blot -
The TAM-family receptor Mer mediates production of HGF through the RhoA-dependent pathway in response to apoptotic cells
Authors: Hyun-Jung Park, Ji-Yeon Baen, Ye-Ji Lee, Youn-Hee Choi, Jihee Lee Kang
Molecular Biology of the Cell
-
Cross-phosphorylation, signaling and proliferative functions of the Tyro3 and Axl receptors in Rat2 cells.
Authors: Brown JE, Krodel M, Pazos M
PLoS ONE, 2012-05-14;7(5):e36800.
Species: Rat
Sample Types: Cell Lysates
Applications: Immunoprecipitation -
Inhibiting Mer receptor tyrosine kinase suppresses STAT1, SOCS1/3, and NF-kappaB activation and enhances inflammatory responses in lipopolysaccharide-induced acute lung injury.
J. Cell. Sci., 2012-03-16;91(6):921-32.
Species: Mouse
Sample Types: In Vivo, Whole Cells
Applications: ICC, Neutralization -
Complement component C1q regulates macrophage expression of Mer tyrosine kinase to promote clearance of apoptotic cells.
Authors: Galvan MD, Foreman DB, Zeng E
J. Immunol., 2012-03-14;188(8):3716-23.
Species: Mouse
Sample Types: Cell Lysates
Applications: Western Blot -
An ENU-induced mutation in the Mertk gene (Mertknmf12) leads to a slow form of retinal degeneration
Authors: Dennis M. Maddox, Wanda L. Hicks, Douglas Vollrath, Matthew M. LaVail, Jürgen K. Naggert, Patsy M. Nishina
Investigative Opthalmology & Visual Science
-
Protein S protects neurons from excitotoxic injury by activating the TAM receptor Tyro3-phosphatidylinositol 3-kinase-Akt pathway through its sex hormone-binding globulin-like region.
Authors: Zhong Z, Wang Y, Guo H, Sagare A, Fernandez JA, Bell RD, Barrett TM, Griffin JH, Freeman RS, Zlokovic BV
J. Neurosci., 2010-11-17;30(46):15521-34.
Species: Mouse
Sample Types: Cell Lysates, Whole Cells
Applications: ICC, Western Blot -
Protein S controls hypoxic/ischemic blood-brain barrier disruption through the TAM receptor Tyro3 and sphingosine 1-phosphate receptor.
Authors: Zhu D, Wang Y, Singh I
Blood, 2010-03-26;115(23):4963-72.
Species: Mouse
Sample Types: Cell Lysates
Applications: Western Blot -
Mertk receptor mutation reduces efferocytosis efficiency and promotes apoptotic cell accumulation and plaque necrosis in atherosclerotic lesions of apoe-/- mice.
Authors: Thorp E, Cui D, Schrijvers DM, Kuriakose G, Tabas I
Arterioscler. Thromb. Vasc. Biol., 2008-05-01;28(8):1421-8.
Species: Mouse
Sample Types: Whole Tissue
Applications: IHC-P -
Tetraspanin CD81 is required for the alpha v beta5-integrin-dependent particle-binding step of RPE phagocytosis.
Authors: Chang Y, Finnemann SC
J. Cell. Sci., 2007-08-07;120(0):3053-63.
Species: Rat
Sample Types: Cell Lysates
Applications: Immunoprecipitation -
A soluble form of the Mer receptor tyrosine kinase inhibits macrophage clearance of apoptotic cells and platelet aggregation.
Authors: Sather S, Kenyon KD, Lefkowitz JB, Liang X, Varnum BC, Henson PM, Graham DK
Blood, 2006-10-17;109(3):1026-33.
Species: Mouse
Sample Types: Cell Lysates, Whole Cells
Applications: Flow Cytometry, Western Blot -
Gas6 receptors Axl, Sky and Mer enhance platelet activation and regulate thrombotic responses.
Authors: Gould WR, Baxi SM, Schroeder R, Peng YW, Leadley RJ, Peterson JT, Perrin LA
J. Thromb. Haemost., 2005-02-23;3(4):733-41.
Species: Mouse
Sample Types: Whole Cells
Applications: Flow Cytometry -
Adaptable toolbox to characterize Alzheimer’s disease pathology in mouse models
Authors: Youtong H, Greg L
STAR Protocols
-
Differential TAM receptor-ligand-phospholipid interactions delimit differential TAM bioactivities.
Authors: Lew ED, Oh J, Burrola PG et al.
Elife.
-
Allograft inflammatory factor-1 supports macrophage survival and efferocytosis and limits necrosis in atherosclerotic plaques
Authors: Lander Egaña-Gorroño, Prameladevi Chinnasamy, Isabel Casimiro, Vanessa M. Almonte, Dippal Parikh, Gustavo H. Oliveira-Paula et al.
Atherosclerosis
-
Phosphatidylserine Exposure Controls Viral Innate Immune Responses by Microglia
Authors: Tufail Y, Cook D, Fourgeaud L et al.
Neuron
FAQs
No product specific FAQs exist for this product, however you may
View all Antibody FAQsReviews for Mouse Mer Antibody
Average Rating: 5 (Based on 2 Reviews)
Have you used Mouse Mer Antibody?
Submit a review and receive an Amazon gift card.
$25/€18/£15/$25CAN/¥75 Yuan/¥2500 Yen for a review with an image
$10/€7/£6/$10 CAD/¥70 Yuan/¥1110 Yen for a review without an image
Filter by:
The band comes around 170Kda
