Human Androgen R/NR3C4 Antibody
Human Androgen R/NR3C4 Antibody Summary
Applications
Please Note: Optimal dilutions should be determined by each laboratory for each application. General Protocols are available in the Technical Information section on our website.
Scientific Data
View Larger
Detection of Human Androgen R/NR3C4 by Western Blot. Western blot shows lysates of LNCaP human prostate cancer cell line. PVDF membrane was probed with 1 µg/mL of Mouse Anti-Human Androgen R/NR3C4 Monoclonal Antibody (Catalog # MAB58762) followed by HRP-conjugated Anti-Rabbit IgG Secondary Antibody (HAF008). A specific band was detected for Androgen R/NR3C4 at approximately 110 kDa (as indicated). This experiment was conducted under reducing conditions and using Western Blot Buffer Group 1.
View Larger
Androgen R/NR3C4 in Human LNCaP Cell Line. Androgen R/NR3C4 was detected in immersion fixed LNCaP human prostate cancer cell line (left panel; positive staining) and PC‑3 human prostate cancer cell line (right panel; negative staining) using Rabbit Anti-Human Androgen R/NR3C4 Monoclonal Antibody (Catalog # MAB58762) at 8 µg/mL for 3 hours at room temperature. Cells were stained using the NorthernLights™ 557-conjugated Anti-Rabbit IgG Secondary Antibody (red; NL004) and counterstained with DAPI (blue). Specific staining was localized to the nucleus. Staining was performed using our protocol for Fluorescent ICC Staining of Non-adherent Cells.
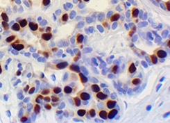
View Larger
Androgen R/NR3C4 in Human Prostate Cancer. Androgen R/NR3C4 was detected in immersion fixed paraffin-embedded sections of human prostate cancer using Rabbit Anti-Human Androgen R/NR3C4 Monoclonal Antibody (Catalog # MAB58762) at 3 µg/mL for 1 hour at room temperature followed by incubation with the Anti-Rabbit IgG VisUCyte™ HRP Polymer Antibody (VC003). Before incubation with the primary antibody, tissue was subjected to heat-induced epitope retrieval using Antigen Retrieval Reagent-Basic (CTS013). Tissue was stained using DAB (brown) and counterstained with hematoxylin (blue). Specific staining was localized to cell nuclei. Staining was performed using our protocol for IHC Staining with VisUCyte HRP Polymer Detection Reagents.
View Larger
Detection of Androgen R/ NR3C4 in LNCaP Human Cell Line by Flow Cytometry. LNCaP human prostate cancer cell line was stained with Rabbit Anti-Human Androgen R/NR3C4 Monoclonal Antibody (Catalog # MAB58762, filled histogram) or isotype control antibody (MAB1050, open histogram), followed by Allophycocyanin-conjugated Anti-Rabbit IgG Secondary Antibody (F0111). To facilitate intracellular staining, cells were fixed with Flow Cytometry Fixation Buffer (FC004) and permeabilized with Flow Cytometry Permeabilization/Wash Buffer I (FC005). Staining was performed using our Staining Intracellular Molecules protocol.
View Larger
Detection of Human Androgen R/NR3C4 by Simple WesternTM. Simple Western lane view shows lysates of LNCaP human prostate cancer cell line, loaded at 0.2 mg/mL. A specific band was detected for Androgen R/NR3C4 at approximately 121 kDa (as indicated) using 10 µg/mL of Rabbit Anti-Human Androgen R/NR3C4 Monoclonal Antibody (Catalog # MAB58762). This experiment was conducted under reducing conditions and using the 12-230 kDa separation system.
Reconstitution Calculator
Preparation and Storage
- 12 months from date of receipt, -20 to -70 °C as supplied.
- 1 month, 2 to 8 °C under sterile conditions after reconstitution.
- 6 months, -20 to -70 °C under sterile conditions after reconstitution.
Background: Androgen R/NR3C4
The Androgen Receptor (AR) is a 90 kDa steroid hormone receptor that is critical for the development and function of the male reproductive system. AR binding to testosterone or 5 alpha -dihydrotestosterone (DHT) triggers receptor dimerization followed by translocation to the nucleus where it promotes transcription of androgen responsive genes. Multiple polymorphisms in AR are linked to the development of prostate cancer. The ligand binding domain of human AR (aa 661-920) shares 100% aa sequence identity with mouse and rat AR.
Product Datasheets
FAQs
No product specific FAQs exist for this product, however you may
View all Antibody FAQsReviews for Human Androgen R/NR3C4 Antibody
Average Rating: 5 (Based on 1 Review)
Have you used Human Androgen R/NR3C4 Antibody?
Submit a review and receive an Amazon gift card.
$25/€18/£15/$25CAN/¥75 Yuan/¥2500 Yen for a review with an image
$10/€7/£6/$10 CAD/¥70 Yuan/¥1110 Yen for a review without an image
Filter by:
