Human BTNL8 Antibody Summary
Gln18-Lys238
Accession # Q6UX41-1
Applications
Please Note: Optimal dilutions should be determined by each laboratory for each application. General Protocols are available in the Technical Information section on our website.
Scientific Data
View Larger
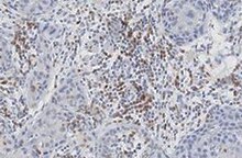
BTNL8 in Human Colon. BTNL8 was detected in immersion fixed paraffin-embedded sections of human colon using Mouse Anti-Human BTNL8 Monoclonal Antibody (Catalog # MAB93591) at 5 µg/mL for 1 hour at room temperature followed by incubation with the Anti-Mouse IgG VisUCyte™ HRP Polymer Antibody (VC001). Before incubation with the primary antibody, tissue was subjected to heat-induced epitope retrieval using Antigen Retrieval Reagent-Basic (CTS013). Tissue was stained using DAB (brown) and counterstained with hematoxylin (blue). Specific staining was localized to cytoplasm in epithelial cells. Staining was performed using our protocol for IHC Staining with VisUCyte HRP Polymer Detection Reagents.
Reconstitution Calculator
Preparation and Storage
- 12 months from date of receipt, -20 to -70 °C as supplied.
- 1 month, 2 to 8 °C under sterile conditions after reconstitution.
- 6 months, -20 to -70 °C under sterile conditions after reconstitution.
Background: BTNL8
Butyrophilin-like
8 (BTNL8) is a member of the BTN/MOG Ig-superfamily and functions as a negative
regulator of immune cell activation (1). Human BTNL8 is a 500 amino acid (aa) type I
transmembrane glycoprotein that contains a signal peptide followed by an
extracellular domain (ECD), a transmembrane region and a short cytoplasmic
domain (2). The ECD of human BTNL8 shares 88% sequence identity with the
ECD of mouse BTNL8. BTNL8 has two alternatively spliced forms: B7-like and
BTN-like. Both isoforms of BTNL8 are expressed in a range of human tissues (3).
The complete immunological function of BTNL molecules is only beginning to
emerge. BTNL8 has been shown to be important in initiation of primary immune
responses, suggesting a role in priming of naïve T lymphocytes (3). Down-regulation of BNTL8 mRNA levels has been associated with ulcerative colitis and
colon cancer (4). BTNL8
are expressed in colon, lung, testis and neutrophils, and its expression is
significantly decreased in ulcerative colitis, colonic tumors as compared to
unaffected tissue (4). Soluble BTNL8-Fc fusion protein binds to resting, but
not activated T cells. In vitro,
BTNL8 co-stimulates T cell proliferation and cytokine production. In
vivo injections of BTNL8-Fc significantly increases
production of
Ag-specific IgG during the primary but not the secondary immune
response (3).
- Arnett, H.A. et al. (2007) J. Immunol. 178:1523.
- Arnett, H.A. et al. (2009) Cytokine 46:370.
- Chapoval, A.I. et al. (2013) Mol Immunol. 56:819.
- Lebrero-Fernández C. et al. (2016) Immun Inflamm Dis. 4:191.
Product Datasheets
FAQs
No product specific FAQs exist for this product, however you may
View all Antibody FAQsReviews for Human BTNL8 Antibody
Average Rating: 5 (Based on 1 Review)
Have you used Human BTNL8 Antibody?
Submit a review and receive an Amazon gift card.
$25/€18/£15/$25CAN/¥75 Yuan/¥2500 Yen for a review with an image
$10/€7/£6/$10 CAD/¥70 Yuan/¥1110 Yen for a review without an image
Filter by:
