Human LPAR1/LPA1/EDG-2 Antibody Summary
Met1-Lys50
Accession # Q92633
Applications
Please Note: Optimal dilutions should be determined by each laboratory for each application. General Protocols are available in the Technical Information section on our website.
Scientific Data
View Larger
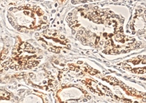
LPAR1/LPA1/EDG-2 in Human Prostate Cancer Tissue. LPAR1/LPA1/EDG-2 was detected in immersion fixed paraffin-embedded sections of human prostate cancer tissue using Mouse Anti-Human LPAR1/LPA1/EDG-2 Monoclonal Antibody (Catalog # MAB9963) at 5 µg/mL for 1 hour at room temperature followed by incubation with the Anti-Mouse IgG VisUCyte™ HRP Polymer Antibody (Catalog # VC001). Before incubation with the primary antibody, tissue was subjected to heat-induced epitope retrieval using Antigen Retrieval Reagent-Basic (Catalog # CTS013). Tissue was stained using DAB (brown) and counterstained with hematoxylin (blue). Specific staining was localized to cell surfaces and cytoplasm in cancer cells. View our protocol for IHC Staining with VisUCyte HRP Polymer Detection Reagents.
Reconstitution Calculator
Preparation and Storage
- 12 months from date of receipt, -20 to -70 °C as supplied.
- 1 month, 2 to 8 °C under sterile conditions after reconstitution.
- 6 months, -20 to -70 °C under sterile conditions after reconstitution.
Background: LPAR1/LPA1/EDG-2
Lysophosphatidic acid receptor 1, LPAR1, also known as EDG-2, is a G protein-coupled receptor that binds the lipid signaling molecule lysophosphatidic acid (LPA). EDG molecules are G protein-coupled receptors that bind plasma lysophospholipids. The EDG family consists of two subfamilies; the S1P (sphingosine-1-phosphate) subfamily consisting of EDG-1, 3, 5, 6, and 8, and the LPA subfamily that contains EDG-2, 4 and 7. The S1P family regulates essential cellular processes such as proliferation, migration, cytoskeletal organization, and differentiation.
Product Datasheets
FAQs
No product specific FAQs exist for this product, however you may
View all Antibody FAQsReviews for Human LPAR1/LPA1/EDG-2 Antibody
Average Rating: 5 (Based on 1 Review)
Have you used Human LPAR1/LPA1/EDG-2 Antibody?
Submit a review and receive an Amazon gift card.
$25/€18/£15/$25CAN/¥75 Yuan/¥2500 Yen for a review with an image
$10/€7/£6/$10 CAD/¥70 Yuan/¥1110 Yen for a review without an image
Filter by:
