Human/Mouse PBR Antibody Summary
Accession # P30536
Applications
Please Note: Optimal dilutions should be determined by each laboratory for each application. General Protocols are available in the Technical Information section on our website.
Scientific Data
View Larger
Detection of Human and Mouse PBR by Western Blot. Western blot shows lysates of SK-OV-3 human ovarian adenocarcinoma cell line, MEF mouse embryonic feeder cells, and RAW 264.7 mouse monocyte/macrophage cell line. PVDF membrane was probed with 1 µg/mL of Rabbit Anti-Human/Mouse PBR Monoclonal Antibody (Catalog # MAB10045) followed by HRP-conjugated Anti-Rabbit IgG Secondary Antibody (Catalog # HAF008). A specific band was detected for PBR at approximately 18 kDa (as indicated). This experiment was conducted under reducing conditions and using Immunoblot Buffer Group 1.
View Larger
PBR in HeLa Human Cell Line. PBR was detected in immersion fixed HeLa human cervical epithelial carcinoma cell line using Rabbit Anti-Human/Mouse PBR Monoclonal Antibody (Catalog # MAB10045) at 3 µg/mL for 3 hours at room temperature. Cells were stained using the NorthernLights™ 557-conjugated Anti-Rabbit IgG Secondary Antibody (red; Catalog # NL004) and counterstained with DAPI (blue). Specific staining was localized to cytoplasm. View our protocol for Fluorescent ICC Staining of Cells on Coverslips.
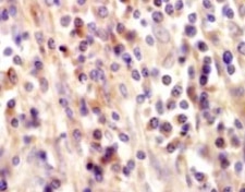
View Larger
PBR in Human Prostate Cancer Tissue. PBR was detected in immersion fixed paraffin-embedded sections of human prostate cancer tissue using Rabbit Anti-Human PBR Monoclonal Antibody (Catalog # MAB10045) at 3 µg/mL for 1 hour at room temperature followed by incubation with the Anti-Rabbit IgG VisUCyte™ HRP Polymer Antibody (Catalog # VC003). Before incubation with the primary antibody, tissue was subjected to heat-induced epitope retrieval using Antigen Retrieval Reagent-Basic (Catalog # CTS013). Tissue was stained using DAB (brown) and counterstained with hematoxylin (blue). Specific staining was localized to cytoplasm (mitochondria) in cancer cells. View our protocol for IHC Staining with VisUCyte HRP Polymer Detection Reagents.
Reconstitution Calculator
Preparation and Storage
- 12 months from date of receipt, -20 to -70 °C as supplied.
- 1 month, 2 to 8 °C under sterile conditions after reconstitution.
- 6 months, -20 to -70 °C under sterile conditions after reconstitution.
Background: PBR
PBR promotes the transport of cholesterol across mitochondrial membranes and may play a role in lipid metabolism. PBR is expressed at the highest levels under normal conditions in tissues that synthesize steroids. Aberrant expression of PBR has been linked to multiple diseases, including cancer, brain injury, neurodegeneration and ischemia-reperfusion injury.
Product Datasheets
FAQs
No product specific FAQs exist for this product, however you may
View all Antibody FAQsReviews for Human/Mouse PBR Antibody
Average Rating: 5 (Based on 2 Reviews)
Have you used Human/Mouse PBR Antibody?
Submit a review and receive an Amazon gift card.
$25/€18/£15/$25CAN/¥75 Yuan/¥2500 Yen for a review with an image
$10/€7/£6/$10 CAD/¥70 Yuan/¥1110 Yen for a review without an image
Filter by:
