Human PTGER1 Antibody Summary
Accession # P34995
Applications
Please Note: Optimal dilutions should be determined by each laboratory for each application. General Protocols are available in the Technical Information section on our website.
Scientific Data
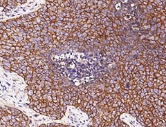
View Larger
PTGER1 in Human Breast Cancer Tissue. PTGER1 was detected in immersion fixed paraffin-embedded sections of human breast cancer tissue using Mouse Anti-Human PTGER1 Monoclonal Antibody (Catalog # MAB10008) at 5 µg/mL for 1 hour at room temperature followed by incubation with the Anti-Mouse IgG VisUCyte™ HRP Polymer Antibody (Catalog # VC001). Before incubation with the primary antibody, tissue was subjected to heat-induced epitope retrieval using Antigen Retrieval Reagent-Basic (Catalog # CTS013). Tissue was stained using DAB (brown) and counterstained with hematoxylin (blue). Specific staining was localized to cytoplasm and cell surfaces. View our protocol for IHC Staining with VisUCyte HRP Polymer Detection Reagents.
Reconstitution Calculator
Preparation and Storage
- 12 months from date of receipt, -20 to -70 °C as supplied.
- 1 month, 2 to 8 °C under sterile conditions after reconstitution.
- 6 months, -20 to -70 °C under sterile conditions after reconstitution.
Background: PTGER1
Prostaglandin E2 Receptor 1/ PTGER1/EP1, a member of the G protein-coupled receptor family, is one of four receptors for Prostaglandin E2 (PGE2). Expression is highest in kidney and spleen, with very low expression in most other tissues. Stimulation of angiogenesis in primate ovulatory follicles by luteinizing hormone has been shown to be mediated by PGE2 through PTGER1 and PTGER2 receptors. In epidermis, E2 plays a role in keratinocyte differentiaton. Expression and function of EP1 in carcinomas has been studied. For example, cytoplasmic and nuclear localization of EP1 in breast cancer has been reported in association with prognostic markers. And activation of EP1 mediated by COX2 causes VEGFC upregulation in lung adenocarcinomas.
Product Datasheets
FAQs
No product specific FAQs exist for this product, however you may
View all Antibody FAQsReviews for Human PTGER1 Antibody
Average Rating: 5 (Based on 1 Review)
Have you used Human PTGER1 Antibody?
Submit a review and receive an Amazon gift card.
$25/€18/£15/$25CAN/¥75 Yuan/¥2500 Yen for a review with an image
$10/€7/£6/$10 CAD/¥70 Yuan/¥1110 Yen for a review without an image
Filter by:
