Human SHBG Antibody Summary
Leu30-His402
Accession # P04278
Applications
Please Note: Optimal dilutions should be determined by each laboratory for each application. General Protocols are available in the Technical Information section on our website.
Scientific Data
View Larger
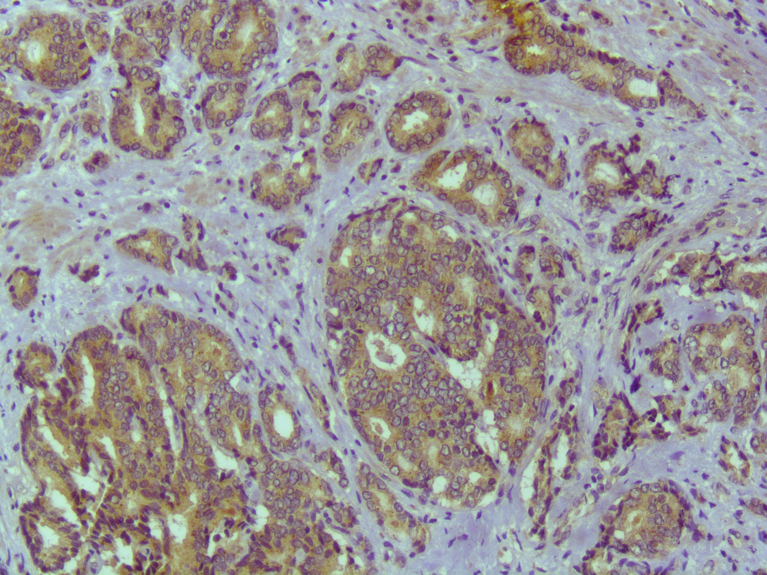
SHBG in Human Hepatocellular Carcinoma Tissue. SHBG was detected in immersion fixed paraffin-embedded sections of human hepatocellular carcinoma tissue using Mouse Anti-Human SHBG Monoclonal Antibody (Catalog # MAB26563) at 5 µg/mL for 1 hour at room temperature followed by incubation with the Anti-Mouse IgG VisUCyte™ HRP Polymer Antibody (Catalog # VC001). Before incubation with the primary antibody, tissue was subjected to heat-induced epitope retrieval using Antigen Retrieval Reagent-Basic (Catalog # CTS013). Tissue was stained using DAB (brown) and counterstained with hematoxylin (blue). Specific staining was localized to cytoplasm in cancer cells. View our protocol for IHC Staining with VisUCyte HRP Polymer Detection Reagents.
Reconstitution Calculator
Preparation and Storage
- 12 months from date of receipt, -20 to -70 °C as supplied.
- 1 month, 2 to 8 °C under sterile conditions after reconstitution.
- 6 months, -20 to -70 °C under sterile conditions after reconstitution.
Background: SHBG
Human Sex Hormone Binding Globulin (SHBG), also known as ABP or androgen binding protein, is a variably glycosylated, secreted non-disulfide linked homodimer that belongs to the SHBG family. Members of this small family have tandem repeats of 170 aa long laminin a chain G-like domains. Each SHBG monomer is a 47‑53 kDa, 373 aa glycoprotein that contains one steroid-binding site in its N-terminal G-like domain. Male and female sex hormones are bound with equal affinity. SHBG is synthesized by the liver and circulates in blood; ABP (SHBG in the testis) is synthesized by Sertoli cells and circulates in the male reproductive system. Human SHBG shares approximately 67% aa sequence identity with mouse and rat SHBG.
Product Datasheets
FAQs
No product specific FAQs exist for this product, however you may
View all Antibody FAQsReviews for Human SHBG Antibody
Average Rating: 4 (Based on 1 Review)
Have you used Human SHBG Antibody?
Submit a review and receive an Amazon gift card.
$25/€18/£15/$25CAN/¥75 Yuan/¥2500 Yen for a review with an image
$10/€7/£6/$10 CAD/¥70 Yuan/¥1110 Yen for a review without an image
Filter by:
