Mouse Fc gamma RII/RIII (CD32/CD16) Antibody Summary
Thr40-Arg217
Accession # P08101
*Small pack size (-SP) is supplied either lyophilized or as a 0.2 µm filtered solution in PBS.
Applications
Please Note: Optimal dilutions should be determined by each laboratory for each application. General Protocols are available in the Technical Information section on our website.
Scientific Data
View Larger
Detection of Mouse Fc gamma RII/RIII (CD32/CD16) by Western Blot. Western Blot shows lysates of RAW 264.7 mouse monocyte/macrophage cell line. PVDF membrane was probed with 1 µg/ml of Goat Anti-Mouse Fc gamma RII/RIII (CD32/CD16) Antigen Affinity-purified Polyclonal Antibody (Catalog # AF1460) followed by HRP-conjugated Anti-Goat IgG Secondary Antibody (Catalog # HAF017). A specific band was detected for Fc gamma RII/RIII (CD32/CD16) at approximately 40-60 kDa (as indicated). This experiment was conducted under reducing conditions and using Western Blot Buffer Group 1.
View Larger
Fc gamma RII/RIII (CD32/CD16) in Mouse Splenocytes. Fc gamma RII/RIII (CD32/CD16) was detected in immersion fixed mouse splenocytes using Goat Anti-Mouse Fc gamma RII/RIII (CD32/CD16) Antigen Affinity-purified Polyclonal Antibody (Catalog # AF1460) at 15 µg/mL for 3 hours at room temperature. Cells were stained using the NorthernLights™ 557-conjugated Anti-Goat IgG Secondary Antibody (red; Catalog # NL001) and counterstained with DAPI (blue). Specific staining was localized to cytoplasm. View our protocol for Fluorescent ICC Staining of Non-adherent Cells.
View Larger
Detection of Fc gamma RII/RIII (CD32/CD16) by Western Blot Inhibition of SENP6 promoted microglial polarization towards an anti-inflammatory phenotype after OGD/R treatment. A, B Primary cultured microglia were infected with adenovirus expressing wild-type SENP6 or shRNA against SENP6 following OGD/R treatment. The mRNA levels of OGD/R-induced proinflammatory (A) and anti-inflammatory (B) phenotype marker genes were detected by RT–qPCR. C Immunoblots showing the protein expression of iNOS, CD16/32, Arginase-1 and CD206 in primary microglia infected with Ad-SENP6 or Ad-sh. SENP6. D–G Quantification analysis of the protein levels in C. H–M The supernatant of primary microglia was collected, and cytokine levels were detected by ELISA. Data are presented as the mean ± S.E.M. from at least three dependent experiments and analysed by one-way ANOVA followed by Tukey’s post-hoc test. ns for P > 0.05, *P < 0.05, **P < 0.01, ***P < 0.001, and ****P < 0.0001 Image collected and cropped by CiteAb from the following open publication (https://pubmed.ncbi.nlm.nih.gov/35869493), licensed under a CC-BY license. Not internally tested by R&D Systems.
View Larger
Detection of Fc gamma RII/RIII (CD32/CD16) by Western Blot Inhibition of SENP6 promoted microglial polarization towards an anti-inflammatory phenotype after OGD/R treatment. A, B Primary cultured microglia were infected with adenovirus expressing wild-type SENP6 or shRNA against SENP6 following OGD/R treatment. The mRNA levels of OGD/R-induced proinflammatory (A) and anti-inflammatory (B) phenotype marker genes were detected by RT–qPCR. C Immunoblots showing the protein expression of iNOS, CD16/32, Arginase-1 and CD206 in primary microglia infected with Ad-SENP6 or Ad-sh. SENP6. D–G Quantification analysis of the protein levels in C. H–M The supernatant of primary microglia was collected, and cytokine levels were detected by ELISA. Data are presented as the mean ± S.E.M. from at least three dependent experiments and analysed by one-way ANOVA followed by Tukey’s post-hoc test. ns for P > 0.05, *P < 0.05, **P < 0.01, ***P < 0.001, and ****P < 0.0001 Image collected and cropped by CiteAb from the following open publication (https://pubmed.ncbi.nlm.nih.gov/35869493), licensed under a CC-BY license. Not internally tested by R&D Systems.
View Larger
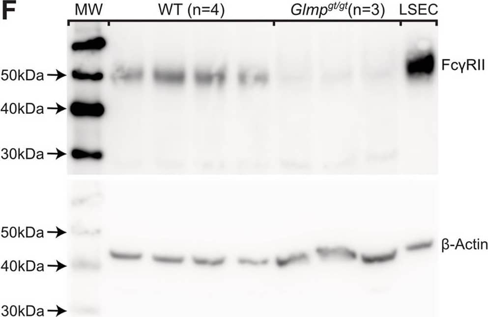
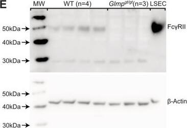
Detection of Mouse Fc gamma RII/RIII (CD32/CD16) by Western Blot Fc gamma RIIb expression in liver from Glmpgt/gt and WT mice. A-B) Fc gamma RII expression in liver sinusoids of A) 4 months old, and B) 9–10 months old Glmpgt/gt and WT male mice. In WT livers, positive immunostaining (red fluorescence) was seen along the sinusoids in the same cells that had taken up FITC-FSA (green fluorescence), while the expression was low or absent in Glmpgt/gt livers, including cells that had taken up FITC-FSA (arrows). Nuclei in A) are stained with DAPI (blue). Scale bars: 20 μm. C) Quantitative image analysis of Fc gamma RII staining (% positive area) in liver sections from WT and Glmpgt/gt mice. Groups: Young WT, 3–6 months (n = 5); young Glmpgt/gt, 4 months (n = 5); old WT, 9–10 months (n = 4), and old Glmpgt/gt, 9–10 months (n = 6). Each dot represents one animal. Medians are presented as horizontal lines, and upper and lower lines represent interquartile range. *p-value < 0.05, **p-value < 0.01, One-way non-parametric ANOVA on ranks (Kruskal-Wallis test). D) Fcgr2b expression (qPCR) in liver tissue from 4 months (“young”) and 9 months (“old”) WT and Glmpgt/gt male mice (young: n = 4 per group; old: n = 3 per group). *p-value < 0.05 (Mann Whitney U test). Error bars represent standard deviation. E, F) Western blots showing Fc gamma RII expression in whole liver lysates from E) 4 WT mice and 3 Glmpgt/gt mice, aged 4 months, and F) 4 WT mice and 3 Glmpgt/gt mice, aged 9 months, all male. LSEC: Mouse liver sinusoidal endothelial cell lysates (C57Bl/6JRj, WT). Protein loaded per lane: Liver lysates, 25 μg; LSEC, 5 μg. Beta-actin loading control was performed on the stripped blots. Image collected and cropped by CiteAb from the following open publication (https://pubmed.ncbi.nlm.nih.gov/37910485), licensed under a CC-BY license. Not internally tested by R&D Systems.
View Larger
Detection of Mouse Fc gamma RII/RIII (CD32/CD16) by Western Blot Fc gamma RIIb expression in liver from Glmpgt/gt and WT mice. A-B) Fc gamma RII expression in liver sinusoids of A) 4 months old, and B) 9–10 months old Glmpgt/gt and WT male mice. In WT livers, positive immunostaining (red fluorescence) was seen along the sinusoids in the same cells that had taken up FITC-FSA (green fluorescence), while the expression was low or absent in Glmpgt/gt livers, including cells that had taken up FITC-FSA (arrows). Nuclei in A) are stained with DAPI (blue). Scale bars: 20 μm. C) Quantitative image analysis of Fc gamma RII staining (% positive area) in liver sections from WT and Glmpgt/gt mice. Groups: Young WT, 3–6 months (n = 5); young Glmpgt/gt, 4 months (n = 5); old WT, 9–10 months (n = 4), and old Glmpgt/gt, 9–10 months (n = 6). Each dot represents one animal. Medians are presented as horizontal lines, and upper and lower lines represent interquartile range. *p-value < 0.05, **p-value < 0.01, One-way non-parametric ANOVA on ranks (Kruskal-Wallis test). D) Fcgr2b expression (qPCR) in liver tissue from 4 months (“young”) and 9 months (“old”) WT and Glmpgt/gt male mice (young: n = 4 per group; old: n = 3 per group). *p-value < 0.05 (Mann Whitney U test). Error bars represent standard deviation. E, F) Western blots showing Fc gamma RII expression in whole liver lysates from E) 4 WT mice and 3 Glmpgt/gt mice, aged 4 months, and F) 4 WT mice and 3 Glmpgt/gt mice, aged 9 months, all male. LSEC: Mouse liver sinusoidal endothelial cell lysates (C57Bl/6JRj, WT). Protein loaded per lane: Liver lysates, 25 μg; LSEC, 5 μg. Beta-actin loading control was performed on the stripped blots. Image collected and cropped by CiteAb from the following open publication (https://pubmed.ncbi.nlm.nih.gov/37910485), licensed under a CC-BY license. Not internally tested by R&D Systems.
View Larger
Detection of Mouse Fc gamma RII/RIII (CD32/CD16) by Immunohistochemistry Fc gamma RIIb expression in liver from Glmpgt/gt and WT mice. A-B) Fc gamma RII expression in liver sinusoids of A) 4 months old, and B) 9–10 months old Glmpgt/gt and WT male mice. In WT livers, positive immunostaining (red fluorescence) was seen along the sinusoids in the same cells that had taken up FITC-FSA (green fluorescence), while the expression was low or absent in Glmpgt/gt livers, including cells that had taken up FITC-FSA (arrows). Nuclei in A) are stained with DAPI (blue). Scale bars: 20 μm. C) Quantitative image analysis of Fc gamma RII staining (% positive area) in liver sections from WT and Glmpgt/gt mice. Groups: Young WT, 3–6 months (n = 5); young Glmpgt/gt, 4 months (n = 5); old WT, 9–10 months (n = 4), and old Glmpgt/gt, 9–10 months (n = 6). Each dot represents one animal. Medians are presented as horizontal lines, and upper and lower lines represent interquartile range. *p-value < 0.05, **p-value < 0.01, One-way non-parametric ANOVA on ranks (Kruskal-Wallis test). D) Fcgr2b expression (qPCR) in liver tissue from 4 months (“young”) and 9 months (“old”) WT and Glmpgt/gt male mice (young: n = 4 per group; old: n = 3 per group). *p-value < 0.05 (Mann Whitney U test). Error bars represent standard deviation. E, F) Western blots showing Fc gamma RII expression in whole liver lysates from E) 4 WT mice and 3 Glmpgt/gt mice, aged 4 months, and F) 4 WT mice and 3 Glmpgt/gt mice, aged 9 months, all male. LSEC: Mouse liver sinusoidal endothelial cell lysates (C57Bl/6JRj, WT). Protein loaded per lane: Liver lysates, 25 μg; LSEC, 5 μg. Beta-actin loading control was performed on the stripped blots. Image collected and cropped by CiteAb from the following open publication (https://pubmed.ncbi.nlm.nih.gov/37910485), licensed under a CC-BY license. Not internally tested by R&D Systems.
Reconstitution Calculator
Preparation and Storage
- 12 months from date of receipt, -20 to -70 °C as supplied.
- 1 month, 2 to 8 °C under sterile conditions after reconstitution.
- 6 months, -20 to -70 °C under sterile conditions after reconstitution.
Background: Fc gamma RII/RIII (CD32/CD16)
Fc gamma RII, also named CD32, is a low-affinity receptor for the Fc region of complexed IgG. Three genes for human Fc gamma RII (A, B and C) and one for mouse (Fc gamma RIIB), encoding type I transmembrane proteins, have been identified. The extracellular domain of mouse Fc gamma RII shares approximately 95% amino acid sequence identity with that of mouse Fc gamma RIII/CD16.
Product Datasheets
Citations for Mouse Fc gamma RII/RIII (CD32/CD16) Antibody
R&D Systems personnel manually curate a database that contains references using R&D Systems products. The data collected includes not only links to publications in PubMed, but also provides information about sample types, species, and experimental conditions.
27
Citations: Showing 1 - 10
Filter your results:
Filter by:
-
Imbalanced Activation of Wnt-/ beta -Catenin-Signaling in Liver Endothelium Alters Normal Sinusoidal Differentiation
Authors: Philipp-Sebastian Koch, Kajetan Sandorski, Joschka Heil, Christian D. Schmid, Sina W. Kürschner, Johannes Hoffmann et al.
Frontiers in Physiology
-
Angiocrine Wnt signaling controls liver growth and metabolic maturation in mice
Authors: Thomas Leibing, Cyrill Géraud, Iris Augustin, Michael Boutros, Hellmut G. Augustin, Jürgen G. Okun et al.
Hepatology
-
Association of Differentially Altered Liver Fibrosis with Deposition of TGFBi in Stabilin-Deficient Mice
Authors: Jessica Krzistetzko, Cyrill Géraud, Christof Dormann, Anna Riedel, Thomas Leibing
International Journal of Molecular Sciences
-
SENP3-mediated deSUMOylation of c-Jun facilitates microglia-induced neuroinflammation after cerebral ischemia and reperfusion injury
Authors: Qian Xia, Meng Mao, Gaofeng Zhan, Zhenzhao Luo, Yin Zhao, Xing Li
iScience
-
Role of IL-4 in bone marrow driven dysregulated angiogenesis and age-related macular degeneration
Authors: Baba T, Miyazaki D, Inata K et al.
Elife
-
Tanshinone IIA Protects Against Cerebral Ischemia Reperfusion Injury by Regulating Microglial Activation and Polarization via NF-kappa B Pathway
Authors: Zhibing Song, Jingjing Feng, Qian Zhang, Shanshan Deng, Dahai Yu, Yuefan Zhang et al.
Frontiers in Pharmacology
-
Transthyretin, a novel prognostic marker of POCD revealed by time-series RNA-sequencing analysis
Authors: Liang, X;Song, C;Lin, J;Li, S;Li, L;Dai, G;Zhang, R;Zou, OM;Yao, H;Zhou, L;Zou, Y;
Molecular psychiatry
Species: Human, Mouse, Rat
Sample Types: Tissue Homogenates, Whole Cells, Whole Tissue
Applications: Immunohistochemistry, Western Blot, Immunocytochemistry -
Deficiency of Stabilin-1 in the Context of Hepatic Melanoma Metastasis
Authors: Wohlfeil, SA;Olsavszky, A;Irkens, AL;Häfele, V;Dietsch, B;Straub, N;Goerdt, S;Géraud, C;
Cancers
Species: Transgenic Mouse, Mouse
Sample Types: Whole Tissue
Applications: IHC -
Liver sinusoidal endothelial cells show reduced scavenger function and downregulation of Fc gamma receptor IIb, yet maintain a preserved fenestration in the Glmpgt/gt mouse model of slowly progressing liver fibrosis
Authors: Antwi, MB;Dumitriu, G;Simón-Santamaria, J;Romano, JS;Li, R;Smedsrød, B;Vik, A;Eskild, W;Sørensen, KK;
PloS one
Species: Transgenic Mouse, Mouse
Sample Types: Cell Lysates, Tissue Homogenates, Whole Cells
Applications: Western Blot, IHC -
Association of Differentially Altered Liver Fibrosis with Deposition of TGFBi in Stabilin-Deficient Mice
Authors: Jessica Krzistetzko; Cyrill Géraud; Christof Dormann; Anna Riedel; Thomas Leibing
International Journal of Molecular Sciences
Species: Transgenic Mouse
Sample Types: Whole Tissue
Applications: Immunohistochemistry -
SENP3-mediated deSUMOylation of c-Jun facilitates microglia-induced neuroinflammation after cerebral ischemia and reperfusion injury
Authors: Qian Xia, Meng Mao, Gaofeng Zhan, Zhenzhao Luo, Yin Zhao, Xing Li
iScience
Species: Mouse
Sample Types: Tissue Homogenates
Applications: Western Blot -
Hepatic passaging of NRAS-mutant melanoma influences adhesive properties and metastatic pattern
Authors: Dietsch, B;Weller, C;Sticht, C;de la Torre, C;Kramer, M;Goerdt, S;G�raud, C;Wohlfeil, SA;
BMC cancer
Species: Mouse
Sample Types: Whole Tissue
Applications: IHC -
Motor neuron survival is associated with reduced neuroinflammation and increased autophagy after brachial plexus avulsion injury in aldose reductase-deficient mice
Authors: K Zhong, Y Huang, PLM Zilundu, Y Wang, Y Zhou, G Yu, R Fu, SK Chung, Y Tang, X Cheng, L Zhou
Journal of Neuroinflammation, 2022-11-09;19(1):271.
Species: Mouse
Sample Types: Whole Tissue
Applications: IHC -
SENP6 induces microglial polarization and neuroinflammation through de-SUMOylation of Annexin-A1 after cerebral ischaemia-reperfusion injury
Authors: M Mao, Q Xia, GF Zhan, QJ Chu, X Li, HK Lian
Cell & bioscience, 2022-07-22;12(1):113.
Species: Mouse
Sample Types: Cell Lysates
Applications: Western Blot -
Angiogenic and molecular diversity determine hepatic melanoma metastasis and response to anti-angiogenic treatment
Authors: SA Wohlfeil, V Häfele, B Dietsch, C Weller, C Sticht, AS Jauch, M Winkler, CD Schmid, AL Irkens, A Olsavszky, K Schledzews, PS Reiners-Ko, S Goerdt, C Géraud
Journal of Translational Medicine, 2022-02-02;20(1):62.
Species: Mouse
Sample Types: Whole Cells
Applications: ICC/IF -
Bone marrow sinusoidal endothelium controls terminal erythroid differentiation and reticulocyte maturation
Authors: J Heil, V Olsavszky, K Busch, K Klapproth, C de la Torr, C Sticht, K Sandorski, J Hoffmann, H Schönhaber, J Zierow, M Winkler, CD Schmid, T Staniczek, DE Daniels, J Frayne, G Metzgeroth, D Nowak, S Schneider, M Neumaier, V Weyer, C Groden, HJ Gröne, K Richter, C Mogler, MM Taketo, K Schledzews, C Géraud, S Goerdt, PS Koch
Nature Communications, 2021-11-29;12(1):6963.
Species: Mouse
Sample Types: Whole Tissue
Applications: IHC -
Imbalanced Activation of Wnt-/ beta -Catenin-Signaling in Liver Endothelium Alters Normal Sinusoidal Differentiation
Authors: Philipp-Sebastian Koch, Kajetan Sandorski, Joschka Heil, Christian D. Schmid, Sina W. Kürschner, Johannes Hoffmann et al.
Frontiers in Physiology
Species: Transgenic Mouse
Sample Types: Whole Tissue
Applications: Immunohistochemistry -
Tanshinone IIA Protects Against Cerebral Ischemia Reperfusion Injury by Regulating Microglial Activation and Polarization via NF-kappa B Pathway
Authors: Zhibing Song, Jingjing Feng, Qian Zhang, Shanshan Deng, Dahai Yu, Yuefan Zhang et al.
Frontiers in Pharmacology
Species: Rat
Sample Types: Whole Tissue
Applications: Immunohistochemistry -
TREM2 ameliorates neuroinflammatory response and cognitive impairment via PI3K/AKT/FoxO3a signaling pathway in Alzheimer's disease mice
Authors: Y Wang, Y Lin, L Wang, H Zhan, X Luo, Y Zeng, W Wu, X Zhang, F Wang
Aging (Albany NY), 2020-10-16;12(0):.
Species: Mouse
Sample Types: Whole Cells, Whole Tissue
Applications: ICC, IHC -
FGF21 alleviates neuroinflammation following ischemic stroke by modulating the temporal and spatial dynamics of microglia/macrophages
Authors: D Wang, F Liu, L Zhu, P Lin, F Han, X Wang, X Tan, L Lin, Y Xiong
J Neuroinflammation, 2020-08-31;17(1):257.
Species: Mouse
Sample Types: Whole Tissue, Whole Tissues
Applications: IF, IHC -
Nrf2 Ablation Promotes Alzheimer's Disease-Like Pathology in APP/PS1 Transgenic Mice: The Role of Neuroinflammation and Oxidative Stress
Authors: P Ren, J Chen, B Li, M Zhang, B Yang, X Guo, Z Chen, H Cheng, P Wang, S Wang, N Wang, G Zhang, X Wu, D Ma, D Guan, R Zhao
Oxid Med Cell Longev, 2020-05-11;2020(0):3050971.
Species: Transgenic Mouse
Sample Types: Whole Tissue
Applications: IHC -
Role of IL-10 in Resolution of Inflammation and Functional Recovery after Peripheral Nerve Injury
Authors: Bruno Siqueira Mietto, Antje Kroner, Elizabeth I. Girolami, Eva Santos-Nogueira, Ji Zhang, Samuel David
The Journal of Neuroscience
Species: Mouse, Transgenic Mouse
Sample Types: Whole Tissue
Applications: Immunohistochemistry -
A purified capsular polysaccharide markedly inhibits inflammatory response during endotoxic shock.
Authors: Piccioni M, Monari C, Kenno S, Pericolini E, Gabrielli E, Pietrella D, Perito S, Bistoni F, Kozel T, Vecchiarelli A
Infect Immun, 2012-10-22;81(1):90-8.
Species: Mouse
Sample Types: Cell Lysates
Applications: Western Blot -
C-reactive protein promotes diabetic kidney disease in a mouse model of type 1 diabetes.
Authors: Liu F, Chen HY, Huang XR, Chung AC, Zhou L, Fu P, Szalai AJ, Lan HY
Diabetologia, 2011-07-09;54(10):2713-23.
Species: Mouse
Sample Types: Whole Tissue
Applications: IHC-P -
New asthma biomarkers: lessons from murine models of acute and chronic asthma.
Authors: Di Valentin E, Crahay C, Garbacki N, Hennuy B, Gueders M, Noel A, Foidart JM, Grooten J, Colige A, Piette J, Cataldo D
Am. J. Physiol. Lung Cell Mol. Physiol., 2008-11-21;296(2):L185-97.
Species: Mouse
Sample Types: Whole Tissue
Applications: IHC-P -
Role of IL-10 in Resolution of Inflammation and Functional Recovery after Peripheral Nerve Injury
Authors: Bruno Siqueira Mietto, Antje Kroner, Elizabeth I. Girolami, Eva Santos-Nogueira, Ji Zhang, Samuel David
The Journal of Neuroscience
-
Adenosine A2A Receptor in Bone Marrow-Derived Cells Mediated Macrophages M2 Polarization via PPAR gamma-P65 Pathway in Chronic Hypoperfusion Situation
Authors: Mou KJ, Shen KF, Li YL et al.
Frontiers in aging neuroscience
FAQs
No product specific FAQs exist for this product, however you may
View all Antibody FAQsReviews for Mouse Fc gamma RII/RIII (CD32/CD16) Antibody
There are currently no reviews for this product. Be the first to review Mouse Fc gamma RII/RIII (CD32/CD16) Antibody and earn rewards!
Have you used Mouse Fc gamma RII/RIII (CD32/CD16) Antibody?
Submit a review and receive an Amazon gift card.
$25/€18/£15/$25CAN/¥75 Yuan/¥2500 Yen for a review with an image
$10/€7/£6/$10 CAD/¥70 Yuan/¥1110 Yen for a review without an image
