Human Apolipoprotein A-IV/ApoA4 Antibody Summary
Glu21-Ser396
Accession # P06727
Applications
Please Note: Optimal dilutions should be determined by each laboratory for each application. General Protocols are available in the Technical Information section on our website.
Scientific Data
View Larger
Detection of Human Apolipoprotein A-IV/ApoA4 by Western Blot. Western blot shows human plasma. PVDF membrane was probed with 1 µg/mL of Mouse Anti-Human Apolipoprotein A-IV/ApoA4 Monoclonal Antibody (Catalog # MAB8125) followed by HRP-conjugated Anti-Mouse IgG Secondary Antibody (Catalog # HAF018). A specific band was detected for Apolipoprotein A-IV/ApoA4 at approximately 45 kDa (as indicated). This experiment was conducted under reducing conditions and using Immunoblot Buffer Group 1.
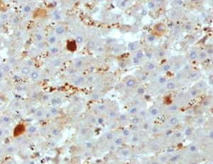
View Larger
Apolipoprotein A-IV/ApoA4 in Human Intestine. Apolipoprotein A-IV/ApoA4 was detected in immersion fixed paraffin-embedded sections of human intestine using Mouse Anti-Human Apolipoprotein A-IV/ApoA4 Monoclonal Antibody (Catalog # MAB8125) at 5 µg/mL for 1 hour at room temperature followed by incubation with the Anti-Mouse IgG VisUCyte™ HRP Polymer Antibody (Catalog # VC001). Before incubation with the primary antibody, tissue was subjected to heat-induced epitope retrieval using Antigen Retrieval Reagent-Basic (Catalog # CTS013). Tissue was stained using DAB (brown) and counterstained with hematoxylin (blue). Specific staining was localized to cytoplasm in epithelial cells. View our protocol for IHC Staining with VisUCyte HRP Polymer Detection Reagents.
View Larger
Detection of Human Apolipoprotein A-IV/ApoA4 by Simple WesternTM. Simple Western lane view shows lysates of human plasma, loaded at 0.2 mg/mL. A specific band was detected for Apolipoprotein A-IV/ApoA4 at approximately 51 kDa (as indicated) using 20 µg/mL of Mouse Anti-Human Apolipoprotein A-IV/ApoA4 Monoclonal Antibody (Catalog # MAB8125). This experiment was conducted under reducing conditions and using the 12-230 kDa separation system.
Reconstitution Calculator
Preparation and Storage
- 12 months from date of receipt, -20 to -70 °C as supplied.
- 1 month, 2 to 8 °C under sterile conditions after reconstitution.
- 6 months, -20 to -70 °C under sterile conditions after reconstitution.
Background: Apolipoprotein A-IV/ApoA4
Apolipoprotein A-IV (ApoA4) is a 45 kDa glycoprotein of the lipid transport system. Secreted in plasma, ApoA4 is a major component of high density lipoprotein (HDL) particles and chylomicrons, and is thought to act in intestinal lipid absorption. Levels of ApoA4 may influence HDL metabolism and modulate its effects on atherogenesis (1). ApoA4 synthesis in humans is mainly confined to the small intestine, while in mice and rats, production occurs in the liver as well (2). ApoA4 shares several structural characteristics with ApoA1 and other exchangeable apolipoproteins. The core domain of human ApoA4 contains thirteen 22-amino acid tandem repeats, and nine of which are predicted to be amphipathic alpha -helical repeats that are critical for lipid binding and self-association (3). The overall structure of a long rod‑like dimer consisting of two 4-helix bundles stacked end-to-end in opposing orientations (4). Human ApoA4 is synthesized as a 396 amino acid (aa) precursor, from which a 20 aa N-terminal signal peptide is removed. Mature human ApoA4 shares 61% and 62% aa sequence identity with mouse and rat ApoA4, respectively.
- Duverger N. et al. (1991) Eur. J. Biochem. 201:373.
- Maeda, N. et al. (1994) J. Biol. Chem. 269:23610.
- Segrest, J. P. et al. (1994). Adv. Protein. Chem. 45:303.
- Deng, X. et al. (2012) Structure 20:767.
Product Datasheets
FAQs
No product specific FAQs exist for this product, however you may
View all Antibody FAQsReviews for Human Apolipoprotein A-IV/ApoA4 Antibody
Average Rating: 5 (Based on 1 Review)
Have you used Human Apolipoprotein A-IV/ApoA4 Antibody?
Submit a review and receive an Amazon gift card.
$25/€18/£15/$25CAN/¥75 Yuan/¥2500 Yen for a review with an image
$10/€7/£6/$10 CAD/¥70 Yuan/¥1110 Yen for a review without an image
Filter by:
