Human Pepsinogen A5/PGA5 Antibody Summary
Ile16-Ala388
Accession # P0DJD9
Applications
Please Note: Optimal dilutions should be determined by each laboratory for each application. General Protocols are available in the Technical Information section on our website.
Scientific Data
View Larger
Detection of Human Pepsinogen A5/PGA5 by Western Blot. Western blot shows lysates of human stomach cancer tissue. PVDF membrane was probed with 2 µg/mL of Mouse Anti-Human Pepsinogen A5/PGA5 Monoclonal Antibody (Catalog # MAB8457) followed by HRP-conjugated Anti-Mouse IgG Secondary Antibody (Catalog # HAF018). A specific band was detected for Pepsinogen A5/PGA5 at approximately 45 kDa (as indicated). This experiment was conducted under reducing conditions and using Immunoblot Buffer Group 1.
View Larger
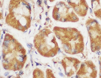
Pepsinogen A5/PGA5 in Human Stomach. Pepsinogen A5/PGA5 was detected in immersion fixed paraffin-embedded sections of human stomach using Mouse Anti-Human Pepsinogen A5/PGA5 Monoclonal Antibody (Catalog # MAB8457) at 0.5 µg/mL for 1 hour at room temperature followed by incubation with the Anti-Mouse IgG VisUCyte™ HRP Polymer Antibody (Catalog # VC001). Before incubation with the primary antibody, tissue was subjected to heat-induced epitope retrieval using Antigen Retrieval Reagent-Basic (Catalog # CTS013). Tissue was stained using DAB (brown) and counterstained with hematoxylin (blue). Specific staining was localized to intestinal glands. View our protocol for IHC Staining with VisUCyte HRP Polymer Detection Reagents.
View Larger
Detection of Human Pepsinogen A5/PGA5 by Simple WesternTM. Simple Western lane view shows lysates of human stomach tissue and human stomach cancer tissue, loaded at 0.2 mg/mL. A specific band was detected for Pepsinogen A5/PGA5 at approximately 48 kDa (as indicated) using 20 µg/mL of Mouse Anti-Human Pepsinogen A5/PGA5 Monoclonal Antibody (Catalog # MAB8457). This experiment was conducted under reducing conditions and using the 12-230 kDa separation system. Non-specific interaction with the 230 kDa Simple Western standard may be seen with this antibody.
Reconstitution Calculator
Preparation and Storage
- 12 months from date of receipt, -20 to -70 °C as supplied.
- 1 month, 2 to 8 °C under sterile conditions after reconstitution.
- 6 months, -20 to -70 °C under sterile conditions after reconstitution.
Background: Pepsinogen A5/PGA5
Pepsins are aspartic proteases that are synthesized in the gastric mucosa and secreted into the stomach. They are released as zymogens called pepsinogens which are then converted to active pepsins by the acidic pH of gastric juices (1-3). PGA3, PGA4, and PGA5 are human Pepsinogen A isozymogens that differ in sequence by 24 amino acid (aa) residues (4, 5). This recombinant human Pepsinogen A corresponds to PGA5. Human Pepsinogen A isozymogens share approximately 56% aa sequence identity with mouse and rat Pepsinogen A isozymogens. Pepsins have optimal activity under conditions of acidic pH and are inhibited by pepstatin (6, 7). Pepsin A has broad substrate specificity, but preferentially cleaves peptide bonds involving aromatic and aliphatic amino acids.
- Athauda, S.B. et al. (1989) J. Biochem. 106:920.
- Kageyama, T. et al. (1989) J. Biochem. 105:15.
- Kageyama, T. (2002) Cell. Mol. Life Sci. 59:288.
- Zwiers, A. et al. (1994) Clin. Nephrol. 41:153.
- Nakai, H. et al. (1986) Cytogenet. Cell Genet. 43:215.
- Marciniszyn, J., Jr. et al. (1976) J. Biol. Chem. 251:7088.
- Kageyama, T. and K. Takahashi (1980) J. Biochem. 88:571.
Product Datasheets
FAQs
No product specific FAQs exist for this product, however you may
View all Antibody FAQsReviews for Human Pepsinogen A5/PGA5 Antibody
Average Rating: 5 (Based on 1 Review)
Have you used Human Pepsinogen A5/PGA5 Antibody?
Submit a review and receive an Amazon gift card.
$25/€18/£15/$25CAN/¥75 Yuan/¥2500 Yen for a review with an image
$10/€7/£6/$10 CAD/¥70 Yuan/¥1110 Yen for a review without an image
Filter by:
