Human Prox1 Antibody Summary
Pro2-Gln259
Accession # Q92786
Applications
Please Note: Optimal dilutions should be determined by each laboratory for each application. General Protocols are available in the Technical Information section on our website.
Scientific Data
View Larger
Detection of Human Prox1 by Western Blot. Western blot shows lysates of HepG2 human hepatocellular carcinoma cell line. PVDF membrane was probed with 1 µg/mL of Goat Anti-Human Prox1 Antigen Affinity-purified Polyclonal Antibody (Catalog # AF2727) followed by HRP-conjugated Anti-Goat IgG Secondary Antibody (Catalog # HAF019). A specific band was detected for Prox1 at approximately 83 kDa (as indicated). This experiment was conducted under reducing conditions and using Immunoblot Buffer Group 1.
View Larger
Prox1 in HepG2 Human Hepatocellular Carcinoma Cell Line. Prox1 was detected in immersion fixed HepG2 human hepatocellular carcinoma cell line using Goat Anti-Human Prox1 Antigen Affinity-purified Polyclonal Antibody (Catalog # AF2727) at 15 µg/mL for 3 hours at room temperature. Cells were stained using the NorthernLights™ 557-conjugated Anti-Goat IgG Secondary Antibody (left panel, red; Catalog # NL001) and counterstained with DAPI (right panel, blue). Specific staining was localized to nuclei. View our protocol for Fluorescent ICC Staining of Cells on Coverslips.
View Larger
Detection of Human Prox1 by Simple WesternTM. Simple Western lane view shows lysates of HepG2 human hepatocellular carcinoma cell line, loaded at 0.2 mg/mL. A specific band was detected for Prox1 at approximately 114 kDa (as indicated) using 10 µg/mL of Goat Anti-Human Prox1 Antigen Affinity-purified Polyclonal Antibody (Catalog # AF2727) followed by 1:50 dilution of HRP-conjugated Anti-Goat IgG Secondary Antibody (Catalog # HAF109). This experiment was conducted under reducing conditions and using the 12-230 kDa separation system.
View Larger
Detection of Mouse Prox1 by Western Blot RNA-seq identifies the targets of GATA2 in primary human LECs. (A) Principal component analysis (PCA) was performed on RNA-seq data from control shRNA- and shGATA2-infected primary HLECs. A high level of similarity was observed within the groups as indicated by their proximity to each other. (B) Hierarchical clustering shows that approximately 1000 genes were consistently downregulated and 600 genes were upregulated in shGATA2-treated HLECs. (C) GO revealed a list of genes that are likely relevant to the phenotypes observed in mice lacking GATA2. (D) GATA2 was knocked out from a second HLEC line using CRISPR/Cas9. Western blot revealed the lack of GATA2 in the knockout cells (HLEC delta GATA2). In contrast, no obvious differences were observed in the expression of PROX1. Additionally, qRT-PCR revealed the downregulation of miR-126. (A) n=3 independent experiments per shRNA; (D) n=3 independent experiments (antibiotic selection, western blot and qRT-PCR). **P<0.01. Image collected and cropped by CiteAb from the following publication (https://pubmed.ncbi.nlm.nih.gov/31582413), licensed under a CC-BY license. Not internally tested by R&D Systems.
View Larger
Detection of Mouse Prox1 by Western Blot Prox1 regulates myoblast differentiation.(a) Analysis of Prox1 mRNA and protein during C2C12 myoblast differentiation (indicated by the increase in MyoD1 mRNA). (b) Prox1 protein and mRNA in human myoblasts before and after differentiation. Primary myoblast lines from two different individuals were analysed. (c–f) Analysis of myoblast proliferation and differentiation-related CyclinD1, Myf5 and MyoD mRNAs in shProx1 and shScr transduced primary human myoblasts before (c) and after differentiation for 7d (d), as well as in mouse C2C12 myoblasts before (e) and after (f) differentiation. (g) Myosin staining of C2C12 cells after 7d of differentiation. Note that Prox1 silencing completely blocked myotube development, as only occasional cells expressed myosin and these cells were negative for shProx1-GFP. Data is presented as mean±s.e.m., n=3+3 biological replicates in a–g (all experiments were repeated three times). One-way analysis of variance with repeated measures followed by Tukey's posthoc test and Student's two-tailed unpaired t-test, *P<0.05, **P<0.01, ***P<0.001. Scale bars, 50 μm. Image collected and cropped by CiteAb from the following publication (https://www.nature.com/articles/ncomms13124), licensed under a CC-BY license. Not internally tested by R&D Systems.
View Larger
Detection of Human Prox1 by Immunocytochemistry/Immunofluorescence In situ localization of Ptx3-LECs and transition between Ptx3-LECs and Marco-LECs in human LNs. (A) Expression of CD36/Cd36 in LN LEC subsets of human and mouse. Dots indicate mean log-normalized transcript count. (B–D) Identification of CD36high Ptx3-LECs in human head and neck LNs by immunostaining. (B,C) Immunofluorescence of PROX-1, MARCO and CD36 (B), or PROX-1, LYVE-1 and CLEC4M (C). Zoomed-in images (inset marked by blue dotted lines) in (B) and (C) demonstrate CD36high LYVE-1+ paracortical sinuses (filled arrowhead). Scale bars = 500 μm (left panels) and 100 μm (right panel inset). (D) CD36high LYVE-1+ Ptx3-LECs (filled arrowhead) can be seen associated with MARCO+ CLEC4M+ Marco-LECs (empty arrowhead) in human LNs. Scale bars = 100 μm. CD36high Ptx3-LECs were detected in four out of seven human LNs. Images are representative of four biological replicates. Image collected and cropped by CiteAb from the following publication (https://pubmed.ncbi.nlm.nih.gov/32426372), licensed under a CC-BY license. Not internally tested by R&D Systems.
View Larger
Detection of Human Prox1 by Immunocytochemistry/Immunofluorescence In situ localization of Ptx3-LECs and transition between Ptx3-LECs and Marco-LECs in human LNs. (A) Expression of CD36/Cd36 in LN LEC subsets of human and mouse. Dots indicate mean log-normalized transcript count. (B–D) Identification of CD36high Ptx3-LECs in human head and neck LNs by immunostaining. (B,C) Immunofluorescence of PROX-1, MARCO and CD36 (B), or PROX-1, LYVE-1 and CLEC4M (C). Zoomed-in images (inset marked by blue dotted lines) in (B) and (C) demonstrate CD36high LYVE-1+ paracortical sinuses (filled arrowhead). Scale bars = 500 μm (left panels) and 100 μm (right panel inset). (D) CD36high LYVE-1+ Ptx3-LECs (filled arrowhead) can be seen associated with MARCO+ CLEC4M+ Marco-LECs (empty arrowhead) in human LNs. Scale bars = 100 μm. CD36high Ptx3-LECs were detected in four out of seven human LNs. Images are representative of four biological replicates. Image collected and cropped by CiteAb from the following publication (https://pubmed.ncbi.nlm.nih.gov/32426372), licensed under a CC-BY license. Not internally tested by R&D Systems.
View Larger
Detection of Mouse Prox1 by Western Blot Prox1 regulates the slow muscle fibre gene program in skeletal muscle.(a) MyHC I (Myh7) expression in muscle fibres (arrows) in AAV8-Prox1 and AAV8-Ctrl transduced TA muscle. (b) Expression of myosin heavy chain and calcium-signalling genes in AAV8-Prox1 and AAV8-Ctrl transduced TA muscle. Note that the expression of slow fibre -specific genes are upregulated and fast MyHC genes downregulated in Prox1 overexpressing muscles. (c) Heat map from GSEA analysis showing that Prox1 overexpression in TA muscle leads to expression of many soleus specific myofibrillar genes (red colour indicates positive and blue negative enrichment). (d) Effect of Prox1 deletion on soleus muscle gene expression (HSA-CreERT2;Prox1fl/fl mice). Note the increased expression of fast MyHCs Myh2 and Myh4 RNAs, whereas slow troponin isoform RNAs and Myh7 RNA are decreased. (e) Deletion of Prox1 in slow soleus muscle with AAV-Cre leads to marked downregulation of MyHC I protein. Data is presented as mean±s.e.m., n=5+5 in a,b, n=3+3 in c, n=4+4 in d,e. Student's two-tailed unpaired t-test, *P<0.05, **P<0.01, ***P<0.001. Both overexpression and deletion experiments were conducted two times on independent mouse cohorts. WT, wild-type. Scale bars, 50 μm. Image collected and cropped by CiteAb from the following publication (https://www.nature.com/articles/ncomms13124), licensed under a CC-BY license. Not internally tested by R&D Systems.
View Larger
Detection of Human Prox1 by Immunocytochemistry/Immunofluorescence In situ localization of Ptx3-LECs and transition between Ptx3-LECs and Marco-LECs in human LNs. (A) Expression of CD36/Cd36 in LN LEC subsets of human and mouse. Dots indicate mean log-normalized transcript count. (B–D) Identification of CD36high Ptx3-LECs in human head and neck LNs by immunostaining. (B,C) Immunofluorescence of PROX-1, MARCO and CD36 (B), or PROX-1, LYVE-1 and CLEC4M (C). Zoomed-in images (inset marked by blue dotted lines) in (B) and (C) demonstrate CD36high LYVE-1+ paracortical sinuses (filled arrowhead). Scale bars = 500 μm (left panels) and 100 μm (right panel inset). (D) CD36high LYVE-1+ Ptx3-LECs (filled arrowhead) can be seen associated with MARCO+ CLEC4M+ Marco-LECs (empty arrowhead) in human LNs. Scale bars = 100 μm. CD36high Ptx3-LECs were detected in four out of seven human LNs. Images are representative of four biological replicates. Image collected and cropped by CiteAb from the following publication (https://pubmed.ncbi.nlm.nih.gov/32426372), licensed under a CC-BY license. Not internally tested by R&D Systems.
View Larger
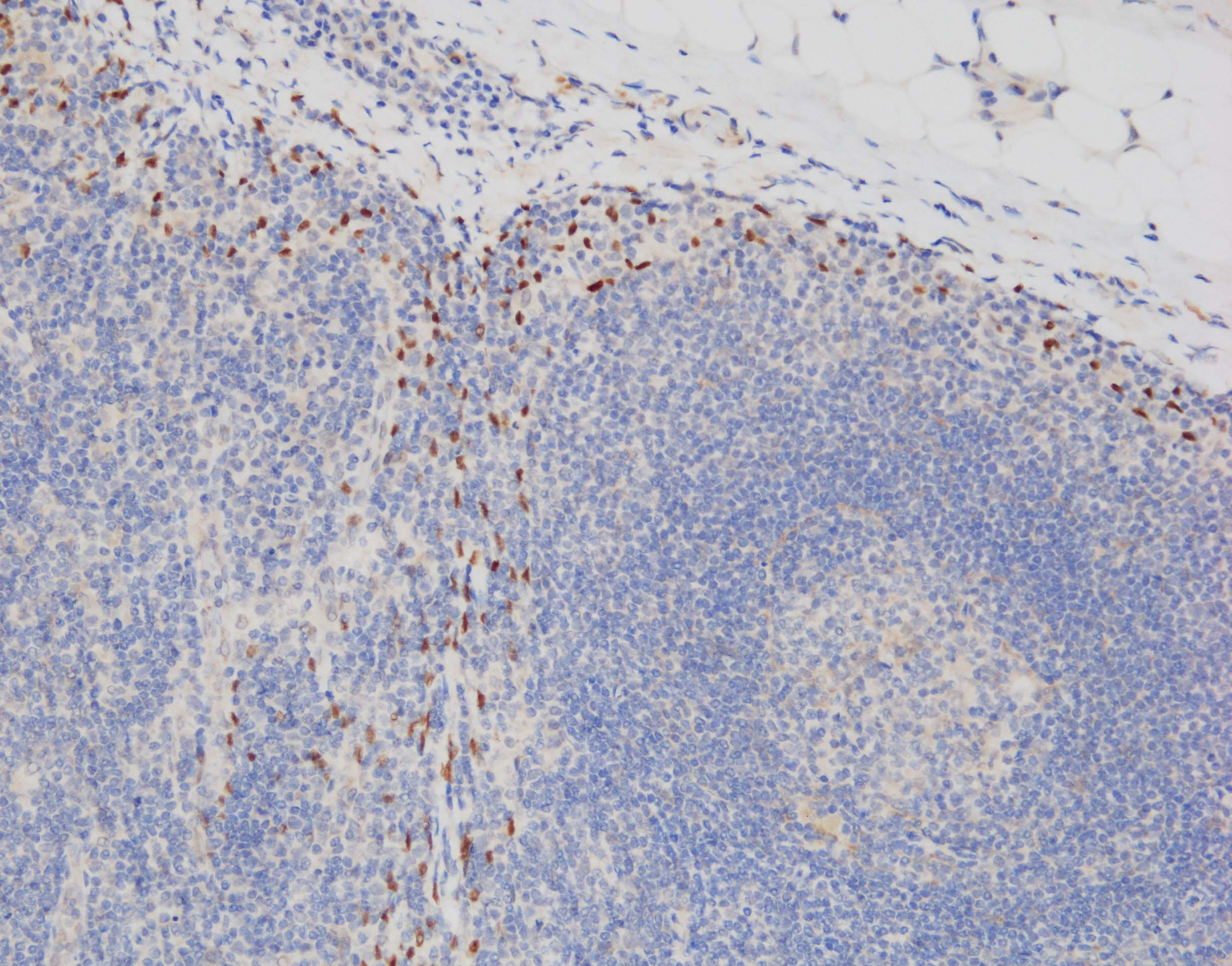
Detection of Mouse Prox1 by Immunohistochemistry TLS formation in models of heart failure, conditional lymphatic-EC deletion of Rbpj or kidney ischemia reperfusion. D PAS staining of representative, paraffin-embedded kidney sections. Quantification of infiltrated area [in mm2] per transversal kidney cross-section (sum of all infiltrated areas per section), N = 8 biological replicates per group, Mann–Whitney test, two-tailed, p = 0.51. Graph: Scatter dot blot, Mean, SD (whiskers). ERbpj delta EC Whole kidney staining for B220 (TLS)&Prox1/Lyve1 for lymphatic collecting vessels, light sheet microscopy, ventral view, 3D reconstruction via IMARIS software; scale bar: left image 1000 µm; insets are magnifications of boxed detail, scale bar 150 µm. Exemplary image, kidneys from N = 3 mice stained. F Induction protocol for lymphatic endothelial-restricted deletion of Rbpj (Rbpj delta LEC). Image collected & cropped by CiteAb from the following open publication (https://pubmed.ncbi.nlm.nih.gov/35440634), licensed under a CC-BY license. Not internally tested by R&D Systems.
Reconstitution Calculator
Preparation and Storage
- 12 months from date of receipt, -20 to -70 °C as supplied.
- 1 month, 2 to 8 °C under sterile conditions after reconstitution.
- 6 months, -20 to -70 °C under sterile conditions after reconstitution.
Background: Prox1
Prox1, the homologue of Drosophila Prospero, is a homeobox-containing transcription factor that binds and functions as a co-receptor of liver receptor homolog 1 (LRH1/NR5A2). It is a specific marker for lymphatic endothelial cells as well as hepatoblasts and hepatocytes. Human Prox1 shares 97% amino acid sequence homology with mouse and rat Prox1.
Product Datasheets
Citations for Human Prox1 Antibody
R&D Systems personnel manually curate a database that contains references using R&D Systems products. The data collected includes not only links to publications in PubMed, but also provides information about sample types, species, and experimental conditions.
153
Citations: Showing 1 - 10
Filter your results:
Filter by:
-
Angiopoietin-1 Knockout Mice as a Genetic Model of Open-Angle Glaucoma
Authors: Thomson B, Grannonico M, Liu F et Al.
Transl Vis Sci Technol
-
Identification of Multiple Subsets of Ventral Interneurons and Differential Distribution along the Rostrocaudal Axis of the Developing Spinal Cord.
Authors: Francius C, Harris A, Rucchin V et al.
PLoS One.
-
Molecular landscapes of human hippocampal immature neurons across lifespan
Authors: Y Zhou, Y Su, S Li, BC Kennedy, DY Zhang, AM Bond, Y Sun, F Jacob, L Lu, P Hu, AN Viaene, I Helbig, SK Kessler, T Lucas, RD Salinas, X Gu, HI Chen, H Wu, JE Kleinman, TM Hyde, DW Nauen, DR Weinberger, GL Ming, H Song
Nature, 2022-07-06;0(0):.
-
Cardiac lymphatics are heterogeneous in origin and respond to injury.
Authors: Klotz L, Norman S, Vieira JM et al.
Nature.
-
Single-cell mapping reveals new markers and functions of lymphatic endothelial cells in lymph nodes
Authors: Fujimoto N, He Y, D'Addio M et al.
PLoS Biol.
-
Phagocytosing differentiated cell-fragments is a novel mechanism for controlling somatic stem cell differentiation within a short time frame
Authors: Wakao S, Oguma Y, Kushida Y et al.
Research Square
-
Hilar granule cells of the mouse dentate gyrus: effects of age, septotemporal location, strain, and selective deletion of the proapoptotic gene BAX
Authors: K Bermudez-H, YL Lu, J Moretto, S Jain, JJ LaFrancois, AM Duffy, HE Scharfman
Brain Struct Funct, 2017-03-17;0(0):.
-
Genetic association analysis of 77,539 genomes reveals rare disease etiologies
Authors: D Greene, Genomics E, D Pirri, K Frudd, E Sackey, M Al-Owain, APJ Giese, K Ramzan, S Riaz, I Yamanaka, N Boeckx, C Thys, BD Gelb, P Brennan, V Hartill, J Harvengt, T Kosho, S Mansour, M Masuno, T Ohata, H Stewart, K Taibah, CLS Turner, F Imtiaz, S Riazuddin, T Morisaki, P Ostergaard, BL Loeys, H Morisaki, ZM Ahmed, GM Birdsey, K Freson, A Mumford, E Turro
Nature Medicine, 2023-03-16;29(3):679-688.
-
Excess neuropeptides in lung signal through endothelial cells to impair gas exchange
Authors: Xu J, Xu L, Sui P et al.
Developmental cell
-
A single-cell atlas of normal and KRASG12D-malformed lymphatic vessels
Authors: Fernandes, LM;Griswold-Wheeler, D;Tresemer, JD;Vallejo, A;Vishlaghi, N;Levi, B;Shapiro, A;Scallan, JP;Dellinger, MT;
JCI insight
Species: Mouse
Sample Types: Whole Tissue
Applications: Immunohistochemistry -
A Multipotent PROX1+ Tumor Stem/Progenitor Cell Population Emerges During Intestinal Tumorigenesis and Mediates Radioresistance in Colorectal Cancer
Authors: Kallio, P;Bessone, C;Seyednasrollah, F;Brodkin, J;Lassila, M;Högström, J;González-Loyola, A;Petrova, TV;Haglund, C;Alitalo, K;
Cancer research
Species: Human, Mouse, Transgenic Mouse, Xenograft
Sample Types: Whole Cells, Organoid, Transduced Whole Cells, Whole Tissue
Applications: Immunohistochemistry, Immunoprecipitation, Immunocytochemistry -
ASCL1 regulates and cooperates with FOXA2 to drive terminal neuroendocrine phenotype in prostate cancer
Authors: Nouruzi, S;Namekawa, T;Tabrizian, N;Kobelev, M;Sivak, O;Scurll, JM;Cui, CJ;Ganguli, D;Zoubeidi, A;
JCI insight
Species: Human
Sample Types: Cell Lysates
Applications: Western Blot -
Spatiotemporal dynamics of primary and motile cilia throughout lung development
Authors: Spurgin, S;Nguimtsop, AM;Chaudhry, FN;Michki, SN;Salvador, J;Iruela-Arispe, ML;Zepp, JA;Mukhopadhyay, S;Cleaver, O;
bioRxiv : the preprint server for biology
Species: Transgenic Mouse
Sample Types: Whole Tissue
Applications: Immunohistochemistry -
Influenza induces lung lymphangiogenesis independent of YAP/TAZ activity in lymphatic endothelial cells.
Authors: Crossey, E;Carty, S;Shao, F;Henao-Vasquez, J;Ysasi, AB;Zeng, M;Hinds, A;Lo, M;Tilston-Lunel, A;Varelas, X;Jones, MR;Fine, A;
Scientific reports
Species: Mouse
Sample Types: Whole Tissue
Applications: Immunohistochemistry -
Transcriptional, developmental, and functional parallels of lymphatic and venous smooth muscle
Authors: Arroyo-Ataz, G;Yagüe, AC;Breda, JC;Mazzilli, SA;Jones, D;
bioRxiv : the preprint server for biology
Species: Transgenic Mouse
Sample Types: Whole Tissue
Applications: Immunohistochemistry -
Involvement of Sigma Receptor-1 in Lymphatic Endothelial Barrier Integrity and Bioenergetic Regulation.
Authors: Motawe Z Y, Abdelmaboud S S et al.
Lymphat Res Biol
Species: Human
Sample Types:
Applications: Simple Western -
Quantitative proteomics reveals CLR interactome in primary human cells
Authors: Manolis, D;Hasan, S;Maraveyas, A;O'Brien, DP;Kessler, BM;Kramer, H;Nikitenko, LL;
The Journal of biological chemistry
Species: Human
Sample Types: Whole Cells
Applications: Immunocytochemistry -
Influenza Induces Lung Lymphangiogenesis Independent of YAP/TAZ Activity in Lymphatic Endothelial Cells
Authors: Crossey, E;Carty, S;Shao, F;Henao-Vasquez, J;Ysasi, AB;Zeng, M;Hinds, A;Lo, M;Tilston-Lunel, A;Varelas, X;Jones, MR;Fine, A;
Research square
Species: Mouse
Sample Types: Whole Tissue
Applications: Immunohistochemistry -
JAM-C Is Important for Lens Epithelial Cell Proliferation and Lens Fiber Maturation in Murine Lens Development
Authors: Sun, Q;Li, J;Ma, J;Zheng, Y;Ju, R;Li, X;Ren, X;Huang, L;Chen, R;Tan, X;Luo, L;
Investigative ophthalmology & visual science
Species: Mouse
Sample Types: Whole Tissue
Applications: IHC -
Acquisition of neural fate by combination of BMP blockade and chromatin modification
Authors: Agnes Lee Chen Ong, Toshiya Kokaji, Arisa Kishi, Yoshihiro Takihara, Takuma Shinozuka, Ren Shimamoto et al.
iScience
-
VEGFR3 is required for button junction formation in lymphatic vessels
Authors: Jannaway, M;Iyer, D;Mastrogiacomo, DM;Li, K;Sung, DC;Yang, Y;Kahn, ML;Scallan, JP;
Cell reports
Species: Mouse
Sample Types: Whole Tissue
Applications: IHC -
Increasing adult neurogenesis protects mice from epilepsy
Authors: Swati Jain, John J. LaFrancois, Kasey Gerencer, Justin J. Botterill, Meghan Kennedy, Chiara Criscuolo et al.
bioRxiv
-
PROX1 induction by autolysosomal activity stabilizes persister-like state of colon cancer via feedback repression of the NOX1-mTORC1 pathway
Authors: Ohata, H;Shiokawa, D;Sakai, H;Kanda, Y;Okimoto, Y;Kaneko, S;Hamamoto, R;Nakagama, H;Okamoto, K;
Cell reports
Species: Xenograft, Human
Sample Types: Organoid, Whole Tissue
Applications: IHC -
Gata3 is Required in Late Proneurosensory Development for Proper Sensory Cell Formation and Organization
Authors: PV Blinkiewic, MR Long, ZA Stoner, EM Ketchum, SN Sheltz-Kem, JS Duncan
Research square, 2023-04-14;0(0):.
Species: Mouse
Sample Types: Whole Tissue
Applications: IHC -
The blood vasculature instructs lymphatic patterning in a SOX7‐dependent manner
Authors: Ivy K N Chiang, Matthew S Graus, Nils Kirschnick, Tara Davidson, Winnie Luu, Richard Harwood et al.
The EMBO Journal
Species: Mouse
Sample Types: Whole Tissue
Applications: Immunohistochemistry -
A Prox1 enhancer represses haematopoiesis in the lymphatic vasculature
Authors: J Kazenwadel, P Venugopal, A Oszmiana, J Toubia, L Arriola-Ma, V Panara, SG Piltz, C Brown, W Ma, AW Schreiber, K Koltowska, S Taoudi, PQ Thomas, HS Scott, NL Harvey
Nature, 2023-01-25;614(7947):343-348.
Species: Mouse
Sample Types: Whole Tissue
Applications: IHC -
Dissection of murine collecting lymphatic vessels for imaging, single-cell analysis, and tissue culture of lymphatic muscle cells
Authors: Guillermo Arroyo-Ataz, Dennis Jones
STAR Protocols
Species: Mouse
Sample Types: Whole Tissue
Applications: Immunohistochemistry -
CCBE1 Is Essential for Epicardial Function during Myocardium Development
Authors: Fernando Bonet, Sabrina Brito Añez, José Manuel Inácio, Matthias E. Futschik, José Antonio Belo
International Journal of Molecular Sciences
Species: Transgenic Mouse
Sample Types: Whole Tissue
Applications: Immunohistochemistry -
The cardiopharyngeal mesoderm contributes to lymphatic vessel development in mouse
Authors: Kazuaki Maruyama, Sachiko Miyagawa-Tomita, Yuka Haneda, Mayuko Kida, Fumio Matsuzaki, Kyoko Imanaka-Yoshida et al.
eLife
-
Single-cell transcriptomics reveal cellular diversity of aortic valve and the immunomodulation by PPARgamma during hyperlipidemia
Authors: SH Lee, N Kim, M Kim, SH Woo, I Han, J Park, K Kim, KS Park, K Kim, D Shim, SE Park, JY Zhang, DM Go, DY Kim, WK Yoon, SP Lee, J Chung, KW Kim, JH Park, SH Lee, S Lee, SJ Ann, SH Lee, HS Ahn, SC Jeong, TK Kim, GT Oh, WY Park, HO Lee, JH Choi
Nature Communications, 2022-09-17;13(1):5461.
Species: Mouse
Sample Types: Whole Tissue
Applications: IHC -
Imaging Blood Vessels and Lymphatics in Mouse Trachea Wholemounts
Authors: Peter Baluk, Donald M. McDonald
Methods in Molecular Biology
-
SHH and Notch regulate SOX9+ progenitors to govern arcuate POMC neurogenesis
Authors: E Place, E Manning, DW Kim, A Kinjo, G Nakamura, K Ohyama
Frontiers in Neuroscience, 2022-08-11;16(0):855288.
Species: Chicken
Sample Types: Whole Cells
Applications: ICC/IF -
Conserved meningeal lymphatic drainage circuits in mice and humans
Authors: Laurent Jacob, Jose de Brito Neto, Stephanie Lenck, Celine Corcy, Farhat Benbelkacem, Luiz Henrique Geraldo et al.
Journal of Experimental Medicine
Species: Mouse
Sample Types: Whole Tissue
Applications: Immunohistochemistry -
Serotonergic regulation of bipolar cell survival in the developing cerebral cortex
Authors: FK Wong, M Selten, C Rosés-Nove, V Sreenivasa, N Pallas-Baz, E Serafeimid, A Hanusz-God, F Oozeer, R Edwards, O Marín
Cell Reports, 2022-07-05;40(1):111037.
Species: Mouse
Sample Types: Whole Tissue
Applications: IHC -
RNA splicing is a key mediator of tumour cell plasticity and a therapeutic vulnerability in colorectal cancer
Authors: AE Hall, SÖ Pohl, P Cammareri, S Aitken, NT Younger, M Raponi, CV Billard, AB Carrancio, A Bastem, P Freile, F Haward, IR Adams, JF Caceres, P Preyzner, A von Kriegs, MG Dunlop, FV Din, KB Myant
Nature Communications, 2022-05-19;13(1):2791.
Species: Mouse
Sample Types: Cell Lysates, Whole Tissue
Applications: IHC, Western Blot -
Meningioma DNA methylation groups identify biological drivers and therapeutic vulnerabilities
Authors: A Choudhury, ST Magill, CD Eaton, BC Prager, WC Chen, MA Cady, K Seo, CG Lucas, TJ Casey-Clyd, HN Vasudevan, SJ Liu, JE Villanueva, TC Lam, JK Pu, LF Li, GK Leung, DL Swaney, MY Zhang, JW Chan, Z Qiu, MV Martin, MS Susko, SE Braunstein, NAO Bush, JD Schulte, N Butowski, PK Sneed, MS Berger, NJ Krogan, A Perry, JJ Phillips, DA Solomon, JF Costello, MW McDermott, JN Rich, DR Raleigh
Nature Genetics, 2022-05-09;54(5):649-659.
Species: Human, Xenograft
Sample Types: Whole Tissue
Applications: IHC -
Dynamic interplay between thalamic activity and Cajal-Retzius cells regulates the wiring of cortical layer 1
Authors: I Genescu, M Aníbal-Mar, V Kouskoff, N Chenouard, C Mailhes-Ha, H Cartonnet, L Lokmane, FM Rijli, G López-Bend, F Gambino, S Garel
Cell Reports, 2022-04-12;39(2):110667.
Species: Mouse
Sample Types: Whole Tissue
Applications: IHC -
FGFR3 overactivation in the brain is responsible for memory impairments in Crouzon syndrome mouse model
Authors: Maxence Cornille, Stéphanie Moriceau, Roman H. Khonsari, Yann Heuzé, Léa Loisay, Valérie Boitez et al.
J Exp Med
Species: Mouse
Sample Types: Whole Tissue
Applications: Immunohistochemistry -
Mechanosensitive ACKR4 scavenges CCR7 chemokines to facilitate T�cell de-adhesion and passive transport by flow in inflamed afferent lymphatics
Authors: MC Friess, I Kritikos, P Schineis, JD Medina-San, AO Gkountidi, A Vallone, EC Sigmund, C Schwitter, M Vranova, C Matti, J Arasa, C Saygili De, E Bovay, ST Proulx, M Tomura, A Rot, DF Legler, TV Petrova, C Halin
Cell Reports, 2022-02-01;38(5):110334.
Species: Mouse
Sample Types: Whole Tissues
Applications: IHC -
Ileitis-associated tertiary lymphoid organs originate at lymphatic valves and obstruct mesenteric lymph flow in response to tumor necrosis factor
Authors: Rafael S. Czepielewski, Emma C. Erlich, Emily J. Onufer, Shannon Young, Brian T. Saunders, Yong-Hyun Han et al.
Immunity
-
Growth factors with valproic acid restore injury-impaired hearing by promoting neuronal regeneration
Authors: Takahiro Wakizono, Hideyuki Nakashima, Tetsuro Yasui, Teppei Noda, Kei Aoyagi, Kanako Okada et al.
JCI Insight
Species: Transgenic Mouse
Sample Types: Whole Tissue
Applications: Immunohistochemistry -
Live imaging of neolymphangiogenesis identifies acute antimetastatic roles of dsRNA mimics
Authors: D Olmeda, D Cerezo-Wal, C Mucientes, TG Calvo, E Cañón, D Alonso-Cur, N Ibarz, J Muñoz, JL Rodriguez-, P Ortiz-Rome, S Ortega, MS Soengas
Embo Molecular Medicine, 2021-11-11;0(0):e12924.
Species: Mouse
Sample Types: Whole Tissue
Applications: IHC -
Cellular crosstalk regulates the aqueous humor outflow pathway and provides new targets for glaucoma therapies
Authors: BR Thomson, P Liu, T Onay, J Du, SW Tompson, S Misener, RR Purohit, TL Young, J Jin, SE Quaggin
Nature Communications, 2021-10-18;12(1):6072.
Species: Mouse
Sample Types: Whole Tissue
Applications: IHC -
Postmitotic Prox1 Expression Controls the Final Specification of Cortical VIP Interneuron Subtypes
Authors: Tevye Jason Stachniak, Rahel Kastli, Olivia Hanley, Ali Özgür Argunsah, Elianne Grietje Theodora van der Valk, George Kanatouris et al.
The Journal of Neuroscience
-
Vegfr3-tdTomato, a reporter mouse for microscopic visualization of lymphatic vessel by multiple modalities
Authors: E Redder, N Kirschnick, S Bobe, R Hägerling, NR Hansmeier, F Kiefer
PLoS ONE, 2021-09-20;16(9):e0249256.
Species: Mouse
Sample Types: Whole Tissue
Applications: IHC -
Reactive, Adult Neurogenesis From Increased Neural Progenitor Cell Proliferation Following Alcohol Dependence in Female Rats
Authors: NN Nawarawong, KR Thompson, SP Guerin, C Anasooya S, H Peng, K Nixon
Frontiers in Neuroscience, 2021-09-14;15(0):689601.
Species: Rat
Sample Types: Whole Tissue
Applications: IHC -
Generation of Multipotential NG2 Progenitors From Mouse Embryonic Stem Cell-Derived Neural Stem Cells
Authors: Masahiro Otsu, Zubair Ahmed, Daniel Fulton
Frontiers in Cell and Developmental Biology
Species: Mouse
Sample Types: Whole Cells
Applications: Immunocytochemistry -
A neurogenic microenvironment defined by excitatory-inhibitory neuronal circuits in adult dentate gyrus
Authors: M Uemura, S Blankvoort, SSL Tok, L Yuan, LF Cobar, KK Lit, A Tashiro
Cell Reports, 2021-07-06;36(1):109324.
Species: Mouse
Sample Types: Whole Tissue
Applications: IHC -
Opposing effects of Wnt/ beta -catenin signaling on epithelial and mesenchymal cell fate in the developing cochlea
Authors: Sara E. Billings, Nina M. Myers, Lee Quiruz, Alan G. Cheng
Development
-
Loss of Primary Cilia Protein IFT20 Dysregulates Lymphatic Vessel Patterning in Development and Inflammation
Authors: Delayna Paulson, Rebecca Harms, Cody Ward, Mackenzie Latterell, Gregory J. Pazour, Darci M. Fink
Frontiers in Cell and Developmental Biology
-
Mitochondrial respiration controls the Prox1-Vegfr3 feedback loop during lymphatic endothelial cell fate specification and maintenance
Authors: Wanshu Ma, Hyea Jin Gil, Xiaolei Liu, Lauren P. Diebold, Marc A. Morgan, Michael J. Oxendine-Burns et al.
Science Advances
-
Mutually exclusive lymphangiogenesis or perineural infiltration in human skin squamous-cell carcinoma
Authors: J Schaller, HM Hajjami, S Rusakiewic, K Ioannidou, N Piazzon, A Miles, D Golshayan, O Gaide, D Hohl, DE Speiser, K Schaeuble
Oncotarget, 2021-03-30;12(7):638-648.
Species: Human
Sample Types: Whole Tissue
Applications: IHC -
PlexinA4-Semaphorin3A-mediated crosstalk between main cortical interneuron classes is required for superficial interneuron lamination
Authors: G Limoni, S Murthy, D Jabaudon, A Dayer, M Niquille
Cell Reports, 2021-01-26;34(4):108644.
Species: Mouse, Transgenic Mouse
Sample Types: Whole Tissue
Applications: IHC -
Blood and lymphatic systems are segregated by the FLCN tumor suppressor
Authors: I Tai-Nagara, Y Hasumi, D Kusumoto, H Hasumi, K Okabe, T Ando, F Matsuzaki, F Itoh, H Saya, C Liu, W Li, YS Mukouyama, W Marston Li, X Liu, M Hirashima, Y Suzuki, S Funasaki, Y Satou, M Furuya, M Baba, Y Kubota
Nature Communications, 2020-12-09;11(1):6314.
Species: Mouse
Sample Types: Whole Tissue
Applications: IHC -
YAP and TAZ maintain PROX1 expression in the developing lymphatic and lymphovenous valves in response to VEGF-C signaling
Authors: Boksik Cha, Yen-Chun Ho, Xin Geng, Md. Riaj Mahamud, Lijuan Chen, Yeunhee Kim et al.
Development
-
Developmental, cellular, and behavioral phenotypes in a mouse model of congenital hypoplasia of the dentate gyrus
Authors: A Rattner, CE Terrillion, C Jou, T Kleven, SF Hu, J Williams, Z Hou, M Aggarwal, S Mori, G Shin, LA Goff, MP Witter, M Pletnikov, AA Fenton, J Nathans
Elife, 2020-10-21;9(0):.
Species: Mouse
Sample Types: Whole Tissue
Applications: IHC -
Distinct fibroblast subsets regulate lacteal integrity through YAP/TAZ-induced VEGF-C in intestinal villi
Authors: SP Hong, MJ Yang, H Cho, I Park, H Bae, K Choe, SH Suh, RH Adams, K Alitalo, D Lim, GY Koh
Nat Commun, 2020-08-14;11(1):4102.
Species: Mouse
Sample Types: Whole Tissue
Applications: IHC -
Oncogenic Herpesvirus Engages Endothelial Transcription Factors SOX18 and PROX1 to Increase Viral Genome Copies and Virus Production
Authors: Silvia Gramolelli, Endrit Elbasani, Krista Tuohinto, Veijo Nurminen, Thomas Günther, Riikka E. Kallinen et al.
Cancer Research
-
The gut microbiome switches mutant p53 from tumour-suppressive to oncogenic
Authors: E Kadosh, I Snir-Alkal, A Venkatacha, S May, A Lasry, E Elyada, A Zinger, M Shaham, G Vaalani, M Mernberger, T Stiewe, E Pikarsky, M Oren, Y Ben-Neriah
Nature, 2020-07-29;0(0):.
Species: Mouse, Transgenic Mouse
Sample Types: Cell Fraction, Cell Lysates, Whole Cells, Whole Tissue
Applications: IHC, Western Blot -
S1PR1 regulates the quiescence of lymphatic vessels by inhibiting laminar shear stress-dependent VEGF-C signaling
Authors: X Geng, K Yanagida, RG Akwii, D Choi, L Chen, Y Ho, B Cha, MR Mahamud, K Berman de, H Ichise, H Chen, J Wythe, CM Mikelis, T Hla, RS Srinivasan
JCI Insight, 2020-07-23;0(0):.
Species: Human, Transgenic Mouse
Sample Types: Whole Cells, Whole Tissue
Applications: ICC, IHC -
Functional, structural, and molecular identification of lymphatic outflow from subconjunctival blebs
Authors: Goichi Akiyama, Sindhu Saraswathy, Thania Bogarin, Xiaojing Pan, Ernesto Barron, Tina T. Wong et al.
Experimental Eye Research
-
Shear stimulation of FOXC1 and FOXC2 differentially regulates cytoskeletal activity during lymphatic valve maturation
Authors: Pieter R Norden, Amélie Sabine, Ying Wang, Cansaran Saygili Demir, Ting Liu, Tatiana V Petrova et al.
eLife
-
Atypical cadherin Fat4 orchestrates lymphatic endothelial cell polarity in response to flow
Authors: KL Betterman, DL Sutton, GA Secker, J Kazenwadel, A Oszmiana, L Lim, N Miura, L Sorokin, BM Hogan, ML Kahn, H McNeill, NL Harvey
J. Clin. Invest., 2020-06-01;0(0):.
Species: Mouse
Sample Types: Whole Tissue
Applications: IHC -
Functional responses of the hippocampus to hyperexcitability depend on directed, neuron‐specific KCNQ2 K + channel plasticity
Authors: Chase M. Carver, Shayne D. Hastings, Mileah E. Cook, Mark S. Shapiro
Hippocampus
-
TGF-beta and TNF-alpha cooperatively induce mesenchymal transition of lymphatic endothelial cells via activation of Activin signals
Authors: Y Yoshimatsu, S Kimuro, J Pauty, K Takagaki, S Nomiyama, A Inagawa, K Maeda, KA Podyma-Ino, K Kajiya, YT Matsunaga, T Watabe
PLoS ONE, 2020-05-01;15(5):e0232356.
Species: Human
Sample Types: Whole Cells
Applications: ICC -
A Single-Cell Transcriptional Roadmap of the Mouse and Human Lymph Node Lymphatic Vasculature
Authors: Menglan Xiang, Rubén Adrián Grosso, Akira Takeda, Junliang Pan, Tove Bekkhus, Kevin Brulois et al.
Frontiers in Cardiovascular Medicine
-
Hippocampal granule cell dispersion: a non-specific finding in pediatric patients with no history of seizures
Authors: A Roy, KJ Millen, RP Kapur
Acta Neuropathol Commun, 2020-04-21;8(1):54.
Species: Human
Sample Types: Whole Tissue
Applications: IHC -
Sphingosine 1-phosphate-regulated transcriptomes in heterogenous arterial and lymphatic endothelium of the aorta
Authors: Eric Engelbrecht, Michel V Levesque, Liqun He, Michael Vanlandewijck, Anja Nitzsche, Hira Niazi et al.
eLife
-
Meningeal lymphatic vessels regulate brain tumor drainage and immunity
Authors: X Hu, Q Deng, L Ma, Q Li, Y Chen, Y Liao, F Zhou, C Zhang, L Shao, J Feng, T He, W Ning, Y Kong, Y Huo, A He, B Liu, J Zhang, R Adams, Y He, F Tang, X Bian, J Luo
Cell Res., 2020-02-24;0(0):.
Species: Mouse
Sample Types: Whole Tissue
Applications: IHC -
A Second Heart Field-Derived Vasculogenic Niche Contributes to Cardiac Lymphatics
Authors: Lioux G, Liu X, Temi�o S et al.
Developmental Cell
-
Spatiotemporal dynamics and heterogeneity of renal lymphatics in mammalian development and cystic kidney disease
Authors: Daniyal J Jafree, Dale Moulding, Maria Kolatsi-Joannou, Nuria Perretta Tejedor, Karen L Price, Natalie J Milmoe et al.
eLife
-
Transcription Factor Prospero Homeobox 1 (PROX1) as a Potential Angiogenic Regulator of Follicular Thyroid Cancer Dissemination
Authors: M Rudzi?ska, M Mikula, KD Arczewska, E Gajda, S Sabali?ska, T St?pie?, J Ostrowski, B Czarnocka
Int J Mol Sci, 2019-11-10;20(22):.
Species: Human
Sample Types: Protein Lysates
Applications: Western Blot -
Distinct origins and molecular mechanisms contribute to lymphatic formation during cardiac growth and regeneration
Authors: Dana Gancz, Brian C Raftrey, Gal Perlmoter, Rubén Marín-Juez, Jonathan Semo, Ryota L Matsuoka et al.
eLife
-
GATA2 controls lymphatic endothelial cell junctional integrity and lymphovenous valve morphogenesis through miR-126
Authors: Md. Riaj Mahamud, Xin Geng, Yen-Chun Ho, Boksik Cha, Yuenhee Kim, Jing Ma et al.
Development
Species: Human, Transgenic Mouse
Sample Types: Cell Lysates, Embryo
Applications: Immunohistochemistry, Western Blot -
Targeting the vascular-specific phosphatase PTPRB protects against retinal ganglion cell loss in a pre-clinical model of glaucoma
Authors: Benjamin R Thomson, Isabel A Carota, Tomokazu Souma, Saily Soman, Dietmar Vestweber, Susan E Quaggin
eLife
-
Embryonic FAP+ lymphoid tissue organizer cells generate the reticular network of adult lymph nodes
Authors: Alice E. Denton, Edward J. Carr, Lukasz P. Magiera, Andrew J.B. Watts, Douglas T. Fearon
Journal of Experimental Medicine
-
High tissue MMP14 expression predicts worse survival in gastric cancer, particularly with a low PROX1
Authors: A Kasurinen, S Gramolelli, J Hagström, A Laitinen, A Kokkola, Y Miki, K Lehti, M Yashiro, PM Ojala, C Böckelman, C Haglund
Cancer Med, 2019-09-27;0(0):.
Species: Human
Sample Types: Whole Tissue
Applications: IHC-P -
An important role of cutaneous lymphatic vessels in coordinating and promoting anagen hair follicle growth
Authors: SY Yoon, LC Dieterich, S Karaman, ST Proulx, SB Bachmann, C Sciaroni, M Detmar
PLoS ONE, 2019-07-25;14(7):e0220341.
Species: Mouse
Sample Types: Whole Tissue
Applications: IHC -
Panicle-Shaped Sympathetic Architecture in the Spleen Parenchyma Modulates Antibacterial Innate Immunity
Authors: X Ding, H Wang, X Qian, X Han, L Yang, Y Cao, Q Wang, J Yang
Cell Rep, 2019-06-25;27(13):3799-3807.e3.
Species: Mouse
Sample Types: Whole Tissue
Applications: IHC -
Immature excitatory neurons develop during adolescence in the human amygdala
Authors: SF Sorrells, MF Paredes, D Velmeshev, V Herranz-Pé, K Sandoval, S Mayer, EF Chang, R Insausti, AR Kriegstein, JL Rubenstein, J Manuel Gar, EJ Huang, A Alvarez-Bu
Nat Commun, 2019-06-21;10(1):2748.
Species: Human
Sample Types: Whole Tissue
Applications: IHC -
Transcriptional landscape of pulmonary lymphatic endothelial cells during fetal gestation
Authors: TA Norman, AC Gower, F Chen, A Fine
PLoS ONE, 2019-05-13;14(5):e0216795.
Species: Mouse
Sample Types: fetal lung tissue
Applications: IHC-P -
Tumor-associated factors are enriched in lymphatic exudate compared to plasma in metastatic melanoma patients
Authors: Maria A.S. Broggi, Lea Maillat, Cristina C. Clement, Natacha Bordry, Patricia Corthésy, Aymeric Auger et al.
Journal of Experimental Medicine
-
Molecular Signature of Prospero Homeobox 1 (PROX1) in Follicular Thyroid Carcinoma Cells
Authors: M Rudzi?ska, M Grzanka, A Stachurska, M Mikula, K Paczkowska, T St?pie?, A Paziewska, J Ostrowski, B Czarnocka
Int J Mol Sci, 2019-05-05;20(9):.
Species: Human
Sample Types: Whole Tissue
Applications: IHC-P -
Imaging Lymphatics in Mouse Lungs
Authors: Peter Baluk, Donald M. McDonald
Methods in Molecular Biology
-
Single-Cell RNA-Sequencing-Based CRISPRi Screening Resolves Molecular Drivers of Early Human Endoderm Development
Authors: RMJ Genga, EM Kernfeld, KM Parsi, TJ Parsons, MJ Ziller, R Maehr
Cell Rep, 2019-04-16;27(3):708-718.e10.
Species: Human
Sample Types: Whole Cells
Applications: ICC -
CD22 blockade restores homeostatic microglial phagocytosis in ageing brains
Authors: JV Pluvinage, MS Haney, BAH Smith, J Sun, T Iram, L Bonanno, L Li, DP Lee, DW Morgens, AC Yang, SR Shuken, D Gate, M Scott, P Khatri, J Luo, CR Bertozzi, MC Bassik, T Wyss-Coray
Nature, 2019-04-03;0(0):.
Species: Mouse
Sample Types: Whole Tissue
Applications: IHC -
PDK1 Deficit Impairs the Development of the Dentate Gyrus in Mice
Authors: M Xu, X Han, R Liu, Y Li, C Qi, Z Yang, C Zhao, J Gao
Cereb. Cortex, 2019-03-01;0(0):.
Species: Mouse
Sample Types: Whole Tissue
Applications: IHC -
Identification of ILK as a critical regulator of VEGFR 3 signalling and lymphatic vascular growth
Authors: Sofia Urner, Lara Planas‐Paz, Laura Sophie Hilger, Carina Henning, Anna Branopolski, Molly Kelly‐Goss et al.
The EMBO Journal
-
Gq-coupled muscarinic receptor enhancement of KCNQ2/3 channels and activation of TRPC channels in multimodal control of excitability in dentate gyrus granule cells
Authors: CM Carver, MS Shapiro
J. Neurosci., 2018-12-28;0(0):.
Species: Mouse
Sample Types: Whole Tissue
Applications: IHC -
Distinct roles of VE ‐cadherin for development and maintenance of specific lymph vessel beds
Authors: René Hägerling, Esther Hoppe, Cathrin Dierkes, Martin Stehling, Taija Makinen, Stefan Butz et al.
The EMBO Journal
-
Downregulation of VEGFR3 signaling alters cardiac lymphatic vessel organization and leads to a higher mortality after acute myocardial infarction
Authors: T Vuorio, E Ylä-Herttu, JP Laakkonen, S Laidinen, T Liimataine, S Ylä-Herttu
Sci Rep, 2018-11-12;8(1):16709.
Species: Mouse
Sample Types: Whole Tissue
Applications: IHC -
Complementary Wnt Sources Regulate Lymphatic Vascular Development via PROX1-Dependent Wnt/?-Catenin Signaling
Authors: B Cha, X Geng, MR Mahamud, JY Zhang, L Chen, W Kim, EH Jho, Y Kim, D Choi, JB Dixon, H Chen, YK Hong, L Olson, TH Kim, BJ Merrill, MJ Davis, RS Srinivasan
Cell Rep, 2018-10-16;25(3):571-584.e5.
Species: Human, Mouse
Sample Types: Cell Lysates, Whole Tissue
Applications: IHC, Western Blot -
hCALCRL mutation causes autosomal recessive nonimmune hydrops fetalis with lymphatic dysplasia
Authors: Duncan I. Mackie, Fuad Al Mutairi, Reema B. Davis, Daniel O. Kechele, Natalie R. Nielsen, Joshua C. Snyder et al.
Journal of Experimental Medicine
-
Transcription factor PROX1 suppresses Notch pathway activation via the nucleosome remodeling and deacetylase complex in colorectal cancer stem-like cells
Authors: J Högström, S Heino, P Kallio, M Lähde, VM Leppänen, D Balboa, Z Wiener, K Alitalo
Cancer Res., 2018-08-28;0(0):.
Species: Mouse
Sample Types: Organoids
Applications: Flow Cytometry -
Reduced expression of PROX1 transitions glioblastoma cells into a mesenchymal gene expression subtype
Authors: KM Goudarzi, JA Espinoza, M Guo, J Bartek, M Nistér, MS Lindström, D Hägerstran
Cancer Res., 2018-08-22;0(0):.
Species: Human
Sample Types: Whole Cells
Applications: Western Blot -
PROX1 is a transcriptional regulator of MMP14
Authors: S Gramolelli, J Cheng, I Martinez-C, M Vähä-Koske, E Elbasani, E Kaivanto, V Rantanen, K Tuohinto, S Hautaniemi, M Bower, C Haglund, K Alitalo, T Mäkinen, TV Petrova, K Lehti, PM Ojala
Sci Rep, 2018-06-22;8(1):9531.
Species: Mouse
Sample Types: Cell Lysates
Applications: ChIP, Western Blot -
Matrix stiffness controls lymphatic vessel formation through regulation of a GATA2-dependent transcriptional program
Authors: M Frye, A Taddei, C Dierkes, I Martinez-C, M Fielden, H Ortsäter, J Kazenwadel, DP Calado, P Ostergaard, M Salminen, L He, NL Harvey, F Kiefer, T Mäkinen
Nat Commun, 2018-04-17;9(1):1511.
Species: Mouse
Sample Types: Whole Tissue
Applications: IHC -
Neurogliaform cortical interneurons derive from cells in the preoptic area
Authors: M Niquille, G Limoni, F Markopoulo, C Cadilhac, J Prados, A Holtmaat, A Dayer
Elife, 2018-03-20;7(0):.
Species: Mouse
Sample Types: Whole Tissue
Applications: IHC-Fr -
Endothelial deletion of Ino80 disrupts coronary angiogenesis and causes congenital heart disease
Authors: S Rhee, JI Chung, DA King, G D'amato, DT Paik, A Duan, A Chang, D Nagelberg, B Sharma, Y Jeong, M Diehn, JC Wu, AJ Morrison, K Red-Horse
Nat Commun, 2018-01-25;9(1):368.
Species: Mouse
Sample Types: Whole Tissue
Applications: IHC -
The role of prospero homeobox 1 (PROX1) expression in follicular thyroid carcinoma cells
Authors: M Rudzinska, JK Ledwon, D Gawel, J Sikorska, B Czarnocka
Oncotarget, 2017-12-12;8(69):114136-114155.
Species: Human
Sample Types: Cell Lysates
Applications: Western Blot -
Development and plasticity of meningeal lymphatic vessels
Authors: Salli Antila, Sinem Karaman, Harri Nurmi, Mikko Airavaara, Merja H. Voutilainen, Thomas Mathivet et al.
Journal of Experimental Medicine
-
Knockout of the epilepsy gene Depdc5 in mice causes severe embryonic dysmorphology with hyperactivity of mTORC1 signalling
Authors: James Hughes, Ruby Dawson, Melinda Tea, Dale McAninch, Sandra Piltz, Dominique Jackson et al.
Scientific Reports
-
Impaired angiopoietin/Tie2 signaling compromises Schlemm's canal integrity and induces glaucoma
Authors: J Kim, DY Park, H Bae, DY Park, D Kim, CK Lee, S Song, TY Chung, DH Lim, Y Kubota, YK Hong, Y He, HG Augustin, G Oliver, GY Koh
J. Clin. Invest., 2017-09-18;0(0):.
Species: Human, Mouse
Sample Types: Cell Lysates, Whole Cells, Whole Tissue
Applications: ICC, IHC, Western Blot -
Arf6 in lymphatic endothelial cells regulates lymphangiogenesis by controlling directional cell migration
Authors: YC Lin, N Ohbayashi, T Hongu, N Katagiri, Y Funakoshi, H Lee, Y Kanaho
Sci Rep, 2017-09-12;7(1):11431.
Species: Mouse
Sample Types: Whole Tissue
Applications: IHC -
High PROX1 expression in gastric cancer predicts better survival
Authors: A Laitinen, C Böckelman, J Hagström, A Kokkola, P Kallio, C Haglund
PLoS ONE, 2017-08-30;12(8):e0183868.
Species: Human
Sample Types: Whole Tissue
Applications: IHC-P -
VIPAR, a quantitative approach to 3D histopathology applied to lymphatic malformations
Authors: R Hägerling, D Drees, A Scherzinge, C Dierkes, S Martin-Alm, S Butz, K Gordon, M Schäfers, K Hinrichs, P Ostergaard, D Vestweber, T Goerge, S Mansour, X Jiang, PS Mortimer, F Kiefer
JCI Insight, 2017-08-17;2(16):.
Species: Human
Sample Types: Whole Tissue
Applications: IHC-Fr -
Human venous valve disease caused by mutations in FOXC2 and GJC2
Authors: Oliver Lyons, Prakash Saha, Christopher Seet, Adam Kuchta, Andrew Arnold, Steven Grover et al.
Journal of Experimental Medicine
-
Dynamics and function of CXCR4 in formation of the granule cell layer during hippocampal development
Authors: Y Mimura-Yam, H Shinohara, T Kashiwagi, T Sato, S Shioda, T Seki
Sci Rep, 2017-07-17;7(1):5647.
Species: Mouse
Sample Types: Whole Tissue
Applications: IHC -
Development and Characterization of A Novel Prox1-EGFP Lymphatic and Schlemm's Canal Reporter Rat
Authors: E Jung, D Gardner, D Choi, E Park, Y Jin Seong, S Yang, J Castorena-, A Louveau, Z Zhou, GK Lee, DP Perrault, S Lee, M Johnson, G Daghlian, M Lee, Y Jin Hong, Y Kato, J Kipnis, MJ Davis, AK Wong, YK Hong
Sci Rep, 2017-07-17;7(1):5577.
Species: Rat
Sample Types: Whole Tissue
Applications: IHC -
Efficient activation of the lymphangiogenic growth factor VEGF-C requires the C-terminal domain of VEGF-C and the N-terminal domain of CCBE1
Authors: SK Jha, K Rauniyar, T Karpanen, VM Leppänen, P Brouillard, M Vikkula, K Alitalo, M Jeltsch
Sci Rep, 2017-07-07;7(1):4916.
Species: Human
Sample Types: Whole Cells
Applications: ICC -
Intestinal Enteroendocrine Lineage Cells Possess Homeostatic and Injury-Inducible Stem Cell Activity
Authors: KS Yan, O Gevaert, GXY Zheng, B Anchang, CS Probert, KA Larkin, PS Davies, ZF Cheng, JS Kaddis, A Han, K Roelf, RI Calderon, E Cynn, X Hu, K Mandleywal, J Wilhelmy, SM Grimes, DC Corney, SC Boutet, JM Terry, P Belgrader, SB Ziraldo, TS Mikkelsen, F Wang, RJ von Furste, NR Smith, P Chandrakes, R May, MAS Chrissy, R Jain, CA Cartwright, JC Niland, YK Hong, J Carrington, DT Breault, J Epstein, CW Houchen, JP Lynch, MG Martin, SK Plevritis, C Curtis, HP Ji, L Li, SJ Henning, MH Wong, CJ Kuo
Cell Stem Cell, 2017-07-06;21(1):78-90.e6.
Species: Mouse
Sample Types: Whole Tissue
Applications: IHC-Fr, IHC-P -
Lymphatic endothelial progenitors originate from plastic myeloid cells activated by toll-like receptor-4
Authors: LD Volk-Drape, KL Hall, AC Wilber, S Ran
PLoS ONE, 2017-06-09;12(6):e0179257.
Species: Human
Sample Types: Whole Cells
Applications: ICC -
Fluorescence and Bioluminescence Imaging of Angiogenesis in Flk1-Nano-lantern Transgenic Mice
Authors: J Matsushita, S Inagaki, T Nishie, T Sakasai, J Tanaka, C Watanabe, KI Mizutani, Y Miwa, K Matsumoto, K Takara, H Naito, H Kidoya, N Takakura, T Nagai, S Takahashi, M Ema
Sci Rep, 2017-04-20;7(0):46597.
Species: Mouse
Sample Types: Whole Tissue
Applications: IHC -
Human umbilical cord plasma proteins revitalize hippocampal function in aged mice
Authors: JM Castellano, KI Mosher, RJ Abbey, AA McBride, ML James, D Berdnik, JC Shen, B Zou, XS Xie, M Tingle, IV Hinkson, MS Angst, T Wyss-Coray
Nature, 2017-04-19;544(7651):488-492.
Species: Mouse
Sample Types: Whole Tissue
Applications: IHC-Fr -
BIG1 is required for the survival of deep layer neurons, neuronal polarity, and the formation of axonal tracts between the thalamus and neocortex in developing brain
Authors: JJ Teoh, T Iwano, M Kunii, N Atik, E Avriyanti, SI Yoshimura, K Moriwaki, A Harada
PLoS ONE, 2017-04-17;12(4):e0175888.
Species: Mouse
Sample Types: Whole Tissue
Applications: IHC -
Peg3/PW1 is a marker of a subset of vessel associated endothelial progenitors
Authors: M Malinverno, M Corada, L Ferrarini, L Formicola, G Marazzi, D Sassoon, E Dejana
Stem Cells, 2017-02-05;0(0):.
Species: Mouse
Sample Types: Whole Tissue
Applications: IHC -
Transcriptomic and anatomic parcellation of 5-HT3AR expressing cortical interneuron subtypes revealed by single-cell RNA sequencing
Authors: S Frazer, J Prados, M Niquille, C Cadilhac, F Markopoulo, L Gomez, U Tomasello, L Telley, A Holtmaat, D Jabaudon, A Dayer
Nat Commun, 2017-01-30;8(0):14219.
Species: Mouse
Sample Types: Whole Tissue
Applications: IHC-Fr -
Dynamic Expression of Sox2, Gata3, and Prox1 during Primary Auditory Neuron Development in the Mammalian Cochlea
Authors: Koji Nishimura, Teppei Noda, Alain Dabdoub
PLOS ONE
-
Vsx1 Transiently Defines an Early Intermediate V2 Interneuron Precursor Compartment in the Mouse Developing Spinal Cord
Authors: Cédric Francius, María Hidalgo-Figueroa, Stéphanie Debrulle, Barbara Pelosi, Vincent Rucchin, Kara Ronellenfitch et al.
Frontiers in Molecular Neuroscience
-
Gene-expression profiling of different arms of lymphatic vasculature identifies candidates for manipulation of cell traffic
Proc Natl Acad Sci USA, 2016-09-06;113(38):10643-10648.
Species: Mouse
Sample Types: Whole Cells
Applications: IHC -
Lymphatic vessels regulate immune microenvironments in human and murine melanoma
J Clin Invest, 2016-08-15;0(0):.
Species: Human
Sample Types: Whole Tissue
Applications: IHC-P -
Mechanotransduction activates canonical Wnt/?-catenin signaling to promote lymphatic vascular patterning and the development of lymphatic and lymphovenous valves
Authors: Boksik Cha
Genes Dev, 2016-06-16;30(12):1454-69.
Species: Human, Mouse
Sample Types: Cell Lysates, Whole Tissue
Applications: IHC-Fr, Western Blot -
Foxc1 and Foxc2 deletion causes abnormal lymphangiogenesis and correlates with ERK hyperactivation
J Clin Invest, 2016-05-23;0(0):.
Species: Mouse
Sample Types: Whole Cells, Whole Tissue
Applications: Flow Cytometry, IHC-P -
CHD4-regulated plasmin activation impacts lymphovenous hemostasis and hepatic vascular integrity
J Clin Invest, 2016-05-03;0(0):.
Species: Mouse
Sample Types: Whole Tissue
Applications: IHC-P -
Comprehensive Expression of Wnt Signaling Pathway Genes during Development and Maturation of the Mouse Cochlea.
Authors: Geng R, Noda T, Mulvaney J, Lin V, Edge A, Dabdoub A
PLoS ONE, 2016-02-09;11(2):e0148339.
Species: Mouse
Sample Types: Whole Cells
Applications: IHC -
Multiple mouse models of primary lymphedema exhibit distinct defects in lymphovenous valve development.
Authors: Geng X, Cha B, Mahamud M, Lim K, Silasi-Mansat R, Uddin M, Miura N, Xia L, Simon A, Engel J, Chen H, Lupu F, Srinivasan R
Dev Biol, 2015-11-02;409(1):218-33.
Species: Mouse
Sample Types: Whole Tissue
Applications: IHC -
Prox1 Regulates the Subtype-Specific Development of Caudal Ganglionic Eminence-Derived GABAergic Cortical Interneurons
Authors: Goichi Miyoshi, Allison Young, Timothy Petros, Theofanis Karayannis, Melissa McKenzie Chang, Alfonso Lavado et al.
The Journal of Neuroscience
Species: Mouse
Sample Types: Whole Tissue
Applications: Immunohistochemistry -
A dural lymphatic vascular system that drains brain interstitial fluid and macromolecules.
Authors: Aspelund A, Antila S, Proulx S, Karlsen T, Karaman S, Detmar M, Wiig H, Alitalo K
J Exp Med, 2015-06-15;212(7):991-9.
Species: Mouse
Sample Types: Whole Tissue
Applications: IHC -
Cdk5 controls lymphatic vessel development and function by phosphorylation of Foxc2
Authors: Johanna Liebl, Siwei Zhang, Markus Moser, Yan Agalarov, Cansaran Saygili Demir, Bianca Hager et al.
Nature Communications
Species: Mouse
Sample Types: Cell Lysates, Whole Tissue
Applications: Immunohistochemistry, Western Blot -
A transgenic Prox1-Cre-tdTomato reporter mouse for lymphatic vessel research.
Authors: Bianchi R, Teijeira A, Proulx S, Christiansen A, Seidel C, Rulicke T, Makinen T, Hagerling R, Halin C, Detmar M
PLoS ONE, 2015-04-07;10(4):e0122976.
Species: Mouse
Sample Types: Whole Tissue
Applications: IHC-Fr -
Tie1 is required for lymphatic valve and collecting vessel development
Authors: Xianghu Qu, Bin Zhou, H. Scott Scott Baldwin
Developmental Biology
Species: Transgenic Mouse
Sample Types: Whole Tissue
Applications: Immunohistochemistry -
The sinus venosus contributes to coronary vasculature through VEGFC-stimulated angiogenesis
Authors: Heidi I. Chen, Bikram Sharma, Brynn N. Akerberg, Harri J. Numi, Riikka Kivelä, Pipsa Saharinen et al.
Development
-
VEGF-C and aortic cardiomyocytes guide coronary artery stem development
Authors: Heidi I. Chen, Aruna Poduri, Harri Numi, Riikka Kivela, Pipsa Saharinen, Andrew S. McKay et al.
Journal of Clinical Investigation
-
The Schlemm's canal is a VEGF-C/VEGFR-3-responsive lymphatic-like vessel.
Authors: Aspelund A, Tammela T, Antila S, Nurmi H, Leppanen V, Zarkada G, Stanczuk L, Francois M, Makinen T, Saharinen P, Immonen I, Alitalo K
J Clin Invest, 2014-07-25;124(9):3975-86.
Species: Human, Zebrafish
Sample Types: Whole Tissue
Applications: IHC, IHC-P -
Lymphatic regulator PROX1 determines Schlemm's canal integrity and identity.
Authors: Park D, Lee J, Park I, Choi D, Lee S, Song S, Hwang Y, Hong K, Nakaoka Y, Makinen T, Kim P, Alitalo K, Hong Y, Koh G
J Clin Invest, 2014-07-25;124(9):3960-74.
Species: Mouse
Sample Types: Whole Tissue
Applications: IHC -
Angiopoietin 2 regulates the transformation and integrity of lymphatic endothelial cell junctions.
Authors: Zheng W, Nurmi H, Appak S, Sabine A, Bovay E, Korhonen E, Orsenigo F, Lohela M, D'Amico G, Holopainen T, Leow C, Dejana E, Petrova T, Augustin H, Alitalo K
Genes Dev, 2014-07-15;28(14):1592-603.
Species: Mouse
Sample Types: Whole Tissue
Applications: IHC-Fr -
Ectopic hippocampal neurogenesis in adolescent male rats following alcohol dependence
Authors: Justin A. McClain, Stephanie A. Morris, S. Alexander Marshall, Kimberly Nixon
Addiction Biology
-
Bone marrow-derived cells are implicated as a source of lymphatic endothelial progenitors in human breast cancer.
Authors: Van't Hull E, Bron S, Henry L, Ifticene-Treboux A, Turrini R, Coukos G, Delaloye J, Doucey M
Oncoimmunology, 2014-06-25;3(0):e29080.
Species: Human
Sample Types: Whole Cells
Applications: ICC -
Murine Notch1 is required for lymphatic vascular morphogenesis during development.
Authors: Fatima A, Culver A, Culver F, Liu T, Dietz W, Thomson B, Hadjantonakis A, Quaggin S, Kume T
Dev Dyn, 2014-04-17;243(7):957-64.
Species: Mouse
Sample Types: Whole Tissue
Applications: IHC -
Blimp1 (Prdm1) prevents re-specification of photoreceptors into retinal bipolar cells by restricting competence.
Authors: Brzezinski J, Uoon Park K, Reh T
Dev Biol, 2013-10-12;384(2):194-204.
Species: Mouse
Sample Types: Whole Tissue
Applications: IHC-Fr -
The germinal matrices in the developing dentate gyrus are composed of neuronal progenitors at distinct differentiation stages.
Authors: Sugiyama T, Osumi N, Katsuyama Y
Dev Dyn, 2013-10-07;242(12):1442-53.
Species: Mouse
Sample Types: Whole Tissue
Applications: IHC -
Bone morphogenetic protein 9 (BMP9) controls lymphatic vessel maturation and valve formation
Authors: Sandrine Levet, Delphine Ciais, Galina Merdzhanova, Christine Mallet, Teresa A. Zimmers, Se-Jin Lee et al.
Blood
-
A novel multistep mechanism for initial lymphangiogenesis in mouse embryos based on ultramicroscopy.
Authors: Hagerling R, Pollmann C, Andreas M, Schmidt C, Nurmi H, Adams R, Alitalo K, Andresen V, Schulte-Merker S, Kiefer F
EMBO J, 2013-01-08;32(5):629-44.
Species: Mouse
Sample Types: Whole Tissue
Applications: IHC -
Aberrant mural cell recruitment to lymphatic vessels and impaired lymphatic drainage in a murine model of pulmonary fibrosis.
Blood, 2012-04-30;119(24):5931-42.
Species: Mouse
Sample Types: Whole Cells, Whole Tissue
Applications: ICC, IHC-P -
Mcl-1 and Bcl-x(L) coordinately regulate megakaryocyte survival.
Blood, 2012-02-28;119(24):5850-8.
Species: Mouse
Sample Types: Whole Tissue
Applications: IHC -
Mechanoinduction of lymph vessel expansion
Authors: Lara Planas-Paz, Boris Strilić, Axel Goedecke, Georg Breier, Reinhard Fässler, Eckhard Lammert
The EMBO Journal
Species: Mouse
Sample Types: Embryo
Applications: Immunohistochemistry -
Expression and prognostic value of transcription factor PROX1 in colorectal cancer.
Authors: Skog M, Bono P, Lundin M, Lundin J, Louhimo J, Linder N, Petrova TV, Andersson LC, Joensuu H, Alitalo K, Haglund CH
Br. J. Cancer, 2011-10-04;105(9):1346-51.
Species: Human
Sample Types: Whole Tissue
Applications: IHC-P -
CKIalpha ablation highlights a critical role for p53 in invasiveness control.
Authors: Elyada E, Pribluda A, Goldstein RE, Morgenstern Y, Brachya G, Cojocaru G, Snir-Alkalay I, Burstain I, Haffner-Krausz R, Jung S, Wiener Z, Alitalo K, Oren M, Pikarsky E, Ben-Neriah Y
Nature, 2011-02-17;470(7334):409-13.
Species: Mouse
Sample Types: Cell Lysates, Whole Tissue
Applications: IHC-P, Western Blot -
PCNA interacts with Prox1 and represses its transcriptional activity
Authors: Xiaoren Chen, Tapan P. Patel, Vladimir I. Simirskii, Melinda K. Duncan
Mol Vis
-
Smoothened signaling in vertebrates is facilitated by a G protein-coupled receptor kinase.
Authors: Philipp M, Fralish GB, Meloni AR, Chen W, MacInnes AW, Barak LS, Caron MG
Mol. Biol. Cell, 2008-09-24;19(12):5478-89.
Species: Zebrafish
Sample Types: Whole Tissue
Applications: IHC -
The tyrosine kinase inhibitor cediranib blocks ligand-induced vascular endothelial growth factor receptor-3 activity and lymphangiogenesis.
Authors: Heckman CA, Holopainen T, Wirzenius M, Keskitalo S, Jeltsch M, Yla-Herttuala S, Wedge SR, Jurgensmeier JM, Alitalo K
Cancer Res., 2008-06-15;68(12):4754-62.
Species: Human
Sample Types: Whole Cells
Applications: ICC -
Molecular Anatomy of the Developing Human Retina.
Authors: Hoshino A, Ratnapriya R, Brooks MJ et al.
Dev. Cell
-
1-deoxysphingolipids bind to COUP-TF to modulate lymphatic and cardiac cell development
Authors: Wang T, Wang Z, de Fabritus L Et al.
Developmental cell
FAQs
No product specific FAQs exist for this product, however you may
View all Antibody FAQsReviews for Human Prox1 Antibody
Average Rating: 4.5 (Based on 2 Reviews)
Have you used Human Prox1 Antibody?
Submit a review and receive an Amazon gift card.
$25/€18/£15/$25CAN/¥75 Yuan/¥2500 Yen for a review with an image
$10/€7/£6/$10 CAD/¥70 Yuan/¥1110 Yen for a review without an image
Filter by:
IHC-P: pH 9 antigen retrieval, primary Ab x50 30min, HRP-polymer detection system + DAB
