Human Serpin B8/Proteinase Inhibitor 8 Antibody
Human Serpin B8/Proteinase Inhibitor 8 Antibody Summary
Asp2-Pro374
Accession # P50452
Applications
Please Note: Optimal dilutions should be determined by each laboratory for each application. General Protocols are available in the Technical Information section on our website.
Scientific Data
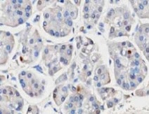
View Larger
Serpin B8/Proteinase Inhibitor 8 in Human Pancreas. Serpin B8/Proteinase Inhibitor 8 was detected in immersion fixed paraffin-embedded sections of human pancreas using Human Serpin B8 Monoclonal Antibody (Catalog # MAB4158) at 15 µg/mL overnight at 4 °C. Before incubation with the primary antibody, tissue was subjected to heat-induced epitope retrieval using Antigen Retrieval Reagent-Basic (Catalog # CTS013). Tissue was stained using the Anti-Mouse HRP-DAB Cell & Tissue Staining Kit (brown; Catalog # CTS002) and counterstained with hematoxylin (blue). View our protocol for Chromogenic IHC Staining of Paraffin-embedded Tissue Sections.
Reconstitution Calculator
Preparation and Storage
- 12 months from date of receipt, -20 to -70 °C as supplied.
- 1 month, 2 to 8 °C under sterile conditions after reconstitution.
- 6 months, -20 to -70 °C under sterile conditions after reconstitution.
Background: Serpin B8/Proteinase Inhibitor 8
Serpin B8 (serine proteinase inhibitor-clade B #8; also PI8) is a 42‑45 kDa, cytoplasmic and secreted member of the ovalbumin (clade B)-subfamily, Serpin superfamily of protease inhibitors. It is produced by multiple cell types and shows inhibitory activity towards furin and other proteinases such as chymotrypsin. Human Serpin B8 is 374 amino acids (aa) in length. Although it has no signal sequence, it is released by platelets. The active inhibitor site lies between Arg336 and Arg342. One potential isoform shows a 2 aa substitution for the C-terminal 134 amino acids. Full length human Serpin B8 shares 78% and 83% aa identity with mouse and canine Serpin B8, respectively.
Product Datasheets
FAQs
No product specific FAQs exist for this product, however you may
View all Antibody FAQsReviews for Human Serpin B8/Proteinase Inhibitor 8 Antibody
Average Rating: 5 (Based on 1 Review)
Have you used Human Serpin B8/Proteinase Inhibitor 8 Antibody?
Submit a review and receive an Amazon gift card.
$25/€18/£15/$25CAN/¥75 Yuan/¥2500 Yen for a review with an image
$10/€7/£6/$10 CAD/¥70 Yuan/¥1110 Yen for a review without an image
Filter by:
