Human CD15/Lewis X Antibody Summary
Applications
Please Note: Optimal dilutions should be determined by each laboratory for each application. General Protocols are available in the Technical Information section on our website.
Scientific Data
View Larger
Detection of CD15/Lewis X in Human Blood Granulocytes by Flow Cytometry. Human peripheral blood granulocytes were stained with Mouse Anti-Human CD15/Lewis X Monoclonal Antibody (Catalog # MAB7368, filled histogram) or Mouse IgM control antibody (open histogram), followed by Phycoerythrin-conjugated Anti-Mouse IgM Secondary Antibody (F0116).
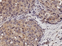
View Larger
CD15/Lewis X in Human Breast Cancer Tissue. CD15/Lewis X was detected in immersion fixed paraffin-embedded sections of human breast cancer tissue (left panel; positive staining) and normal breast (right panel; negative staining) using Mouse Anti-Human CD15/Lewis X Monoclonal Antibody (Catalog # MAB7368) at 5 µg/mL for 1 hour at room temperature followed by incubation with the Anti-Mouse IgG VisUCyte™ HRP Polymer Antibody (VC001). Before incubation with the primary antibody, tissue was subjected to heat-induced epitope retrieval using Antigen Retrieval Reagent-Basic (CTS013). Tissue was stained using DAB (brown) and counterstained with hematoxylin (blue). Specific staining was localized to cytoplasm and plasma membrane. View our protocol for IHC Staining with VisUCyte HRP Polymer Detection Reagents.
Reconstitution Calculator
Preparation and Storage
- 12 months from date of receipt, -20 to -70 °C as supplied.
- 1 month, 2 to 8 °C under sterile conditions after reconstitution.
- 6 months, -20 to -70 °C under sterile conditions after reconstitution.
Background: CD15/Lewis X
Lewis X (Lex) is a glycan structure (Gal beta 1-4(Fuc alpha 1-3)GlcNAc beta -) that forms the terminus of N-linked carbohydrates such as the antigenic epitope Stage-Specific Embryonic Antigen-1 (SSEA-1/CD15). It is widely expressed, can be found on glycoproteins, glycolipids and proteoglycans and is a blood group antigen. Lex is a marker for mouse embryonic stem and cancer cells, and is expressed on leukocytes, germ cells and neuronal stem cells in both mouse and human. Lex is thought to enhance cell adhesion, either directly or by promoting integrin activation.
Product Datasheets
Citation for Human CD15/Lewis X Antibody
R&D Systems personnel manually curate a database that contains references using R&D Systems products. The data collected includes not only links to publications in PubMed, but also provides information about sample types, species, and experimental conditions.
1 Citation: Showing 1 - 1
-
HIF1alpha/HIF2alpha induces glioma cell dedifferentiation into cancer stem cells through Sox2 under hypoxic conditions
Authors: P Wang, S Gong, B Liao, J Pan, J Wang, D Zou, L Zhao, S Xiong, Y Deng, Q Yan, N Wu
Journal of Cancer, 2022-01-01;13(1):1-14.
Species: Human, Mouse
Sample Types: Cell Lysates, Whole Cells, Whole Tissue
Applications: ICC, IHC, Western Blot
FAQs
No product specific FAQs exist for this product, however you may
View all Antibody FAQsReviews for Human CD15/Lewis X Antibody
Average Rating: 5 (Based on 1 Review)
Have you used Human CD15/Lewis X Antibody?
Submit a review and receive an Amazon gift card.
$25/€18/£15/$25CAN/¥75 Yuan/¥2500 Yen for a review with an image
$10/€7/£6/$10 CAD/¥70 Yuan/¥1110 Yen for a review without an image
Filter by:
