Human CXCL5/ENA-78 Antibody Summary
Ala37-Asn114 (predicted)
Accession # P42830
Applications
under non-reducing conditions only
Please Note: Optimal dilutions should be determined by each laboratory for each application. General Protocols are available in the Technical Information section on our website.
Scientific Data
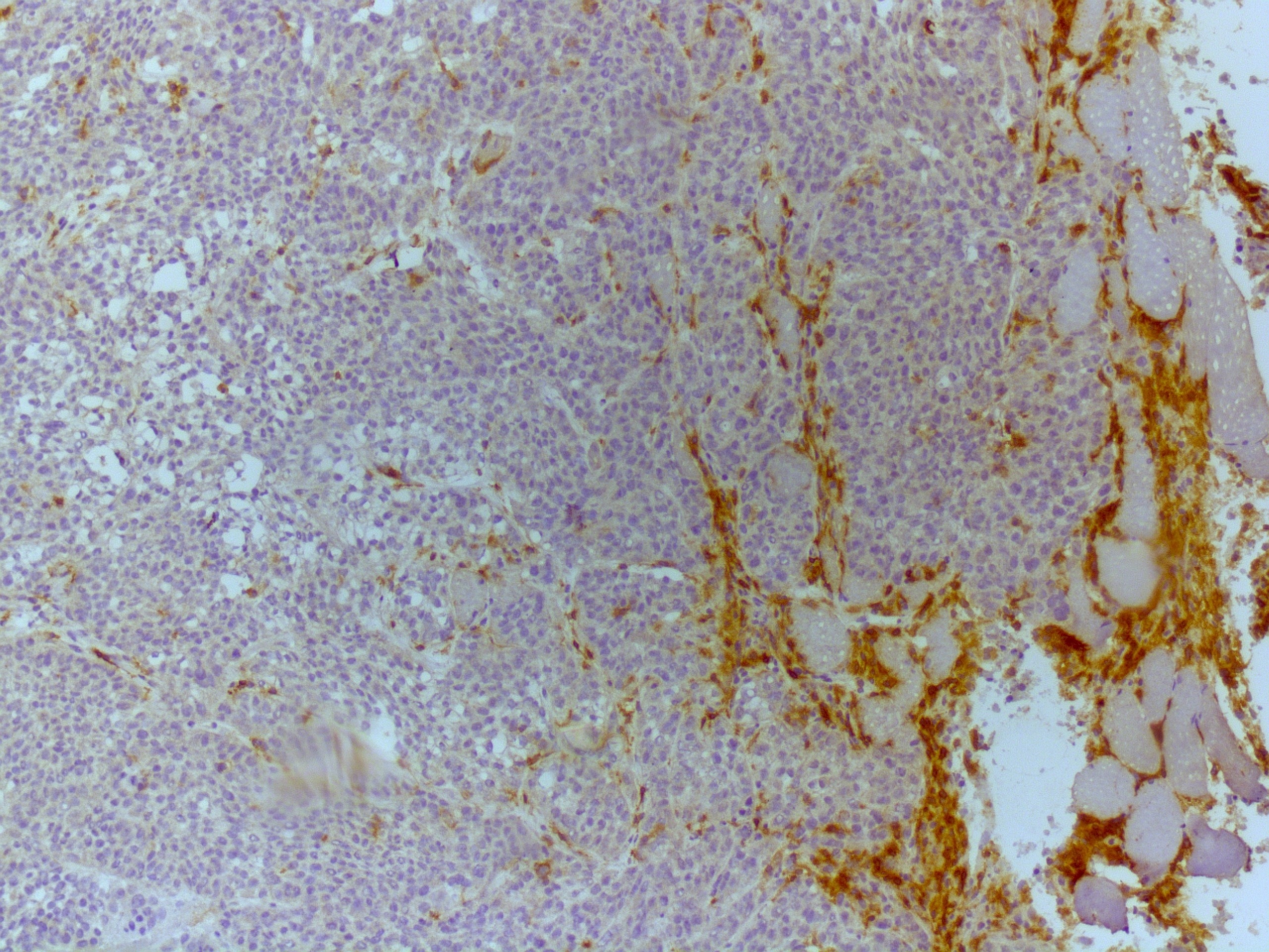
View Larger
CXCL5/ENA‑78 in Human Colon Cancer Tissue. CXCL5/ENA‑78 was detected in immersion fixed paraffin-embedded sections of human colon cancer tissue using Mouse Anti-Human CXCL5/ENA‑78 Monoclonal Antibody (Catalog # MAB254) at 5 µg/mL for 1 hour at room temperature followed by incubation with the Anti-Mouse IgG VisUCyte™ HRP Polymer Antibody (VC001). Before incubation with the primary antibody, tissue was subjected to heat-induced epitope retrieval using Antigen Retrieval Reagent-Basic (CTS013). Tissue was stained using DAB (brown) and counterstained with hematoxylin (blue). Specific staining was localized to cytoplasm in epithelial cells and secreted protein. Staining was performed using our protocol for IHC Staining with VisUCyte HRP Polymer Detection Reagents.
View Larger
Chemotaxis Induced by CXCL5/ENA‑78 and Neutral-ization by Human CXCL5/ENA‑78 Antibody. Recombinant Human CXCL5/ENA-78 (Catalog # 254-XB) chemoattracts the BaF3 mouse pro-B cell line transfected with human CXCR2 in a dose-dependent manner (orange line). The amount of cells that migrated through to the lower chemotaxis chamber was measured by Resazurin (Catalog # AR002). Chemotaxis elicited by Recombinant Human CXCL5/ENA-78 (0.03 µg/mL) is neutralized (green line) by increasing concentrations of Mouse Anti-Human CXCL5/ENA-78 Monoclonal Antibody (Catalog # MAB254). The ND50is typically 3-15 µg/mL.
Reconstitution Calculator
Preparation and Storage
- 12 months from date of receipt, -20 to -70 °C as supplied.
- 1 month, 2 to 8 °C under sterile conditions after reconstitution.
- 6 months, -20 to -70 °C under sterile conditions after reconstitution.
Background: CXCL5/ENA-78
CXCL5, also known as epithelial cell-derived-neutrophil-activating-peptide (ENA78), is an 8 kDa proinflammatory member of the CXC subfamily of chemokines. Its Glu-Leu-Arg (ELR) motif confers angiogenic properties and distinguishes it from ELR- CXC chemokines which are angiostatic. Human CXCL5 shares 57% amino acid (aa) sequence identity with mouse and rat CXCL5. Among other human ELR+ chemokines, it shares 77% aa sequence identity with CXCL6/GCP2 and 35%‑51% with CXCL1/GRO alpha, CXCL2/GRO beta, CXCL3/GRO gamma, CXCL7/NAP2, and CXCL8/IL8. Inflammatory stimulation upregulates CXCL5 production in multiple hematopoietic cell types, fibroblasts, endothelial cells, and vascular smooth muscle cells. In vivo, CXCL5 is elevated at sites of inflammation and pulmonary fibrosis where it promotes neutrophil infiltration and activation as well as angiogenesis. Its upregulation contributes to increased vascularization, tumor growth, and metastasis in many cancers. Full length CXCL5 (78 aa) is trimmed at the N-terminal end by Cathepsin G and chymotrypsin to ENA74 (74 aa) and ENA70 (70 aa), with the shortened forms showing increased potency relative to full length CXCL5. CXCL5 exerts its effects primarily through interactions with CXCR2. It also binds DARC, a decoy chemokine receptor which can limit CXCR2-mediated responses.
Product Datasheets
Citations for Human CXCL5/ENA-78 Antibody
R&D Systems personnel manually curate a database that contains references using R&D Systems products. The data collected includes not only links to publications in PubMed, but also provides information about sample types, species, and experimental conditions.
7
Citations: Showing 1 - 7
Filter your results:
Filter by:
-
CXCL5 suppression recovers neovascularization and accelerates wound healing in diabetes mellitus
Authors: Chen, C;Lin, LY;Chen, JW;Chang, TT;
Cardiovascular diabetology
Species: Human
Sample Types: Protein, Whole Cells
Applications: Western Blot, Neutralization -
CRISPR/Cas9-mediated deletion of Interleukin-30 suppresses IGF1 and CXCL5 and boosts SOCS3 reducing prostate cancer growth and mortality
Authors: C Sorrentino, L D'Antonio, SL Ciummo, C Fieni, L Landuzzi, F Ruzzi, S Vespa, P Lanuti, LV Lotti, PL Lollini, E Di Carlo
Journal of hematology & oncology, 2022-10-13;15(1):145.
Species: Human
Sample Types: Whole Cells
Applications: Neutralization -
CXCL5 expression in tumor tissues is associated with poor prognosis in patients with pancreatic cancer
Authors: B Wu, J Wang, X Wang, M Zhu, F Chen, Y Shen, Z Zhong
Oncology Letters, 2020-09-18;20(5):257.
Species: Human
Sample Types: Whole Tissue
Applications: IHC -
CXCL5 secreted from adipose tissue-derived stem cells promotes cancer cell proliferation
Authors: Y Zhao, X Zhang, H Zhao, J Wang, Q Zhang
Oncol Lett, 2017-12-05;15(2):1403-1410.
Species: Human
Sample Types: Whole Cells
Applications: Neutralization -
Podocytes regulate neutrophil recruitment by glomerular endothelial cells via IL-6-mediated crosstalk.
Authors: Kuravi S, McGettrick H, Satchell S, Saleem M, Harper L, Williams J, Rainger G, Savage C
J Immunol, 2014-05-28;193(1):234-43.
Species: Human
Sample Types: Whole Cells
Applications: Neutralization -
CXCL5 stimulation of RANK ligand expression in Paget's disease of bone.
Authors: Sundaram K, Rao D, Ries W, Reddy S
Lab Invest, 2013-02-25;93(4):472-9.
Species: Human
Sample Types: Serum
Applications: ELISA Development -
Adipose tissue-derived stem cells secrete CXCL5 cytokine with chemoattractant and angiogenic properties.
Authors: Zhang H, Ning H, Banie L, Wang G, Lin G, Lue TF, Lin CS
Biochem. Biophys. Res. Commun., 2010-10-27;402(3):560-4.
Species: Human
Sample Types: Whole Cells
Applications: Neutralization
FAQs
No product specific FAQs exist for this product, however you may
View all Antibody FAQsReviews for Human CXCL5/ENA-78 Antibody
Average Rating: 5 (Based on 1 Review)
Have you used Human CXCL5/ENA-78 Antibody?
Submit a review and receive an Amazon gift card.
$25/€18/£15/$25CAN/¥75 Yuan/¥2500 Yen for a review with an image
$10/€7/£6/$10 CAD/¥70 Yuan/¥1110 Yen for a review without an image
Filter by:
