Human CXCR2/IL-8RB Antibody
Human CXCR2/IL-8RB Antibody Summary
Met1-Leu355
Accession # AAB25880
Applications
Please Note: Optimal dilutions should be determined by each laboratory for each application. General Protocols are available in the Technical Information section on our website.
Scientific Data
View Larger
Detection of CXCR2/IL‑8 RB in Human Blood Granulocytes by Flow Cytometry. Human peripheral blood granulocytes were stained with Mouse Anti-Human CXCR2/IL-8 RB Monoclonal Antibody (Catalog # MAB331, filled histogram) or isotype control antibody (Catalog # MAB003, open histogram), followed by Phycoerythrin-conjugated Anti-Mouse IgG Secondary Antibody (Catalog # F0102B).
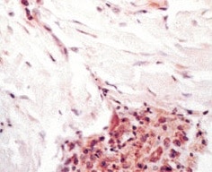
View Larger
CXCR2/IL‑8 RB in Human Lymph Node. CXCR2/IL-8 RB was detected in immersion fixed paraffin-embedded sections of human lymph node using 15 µg/mL Mouse Anti-Human CXCR2/IL-8 RB Monoclonal Antibody (Catalog # MAB331) overnight at 4 °C. Tissue was stained with the Anti-Mouse HRP-AEC Cell & Tissue Staining Kit (red; Catalog # CTS003) and counterstained with hematoxylin (blue). View our protocol for Chromogenic IHC Staining of Paraffin-embedded Tissue Sections.
View Larger
Chemotaxis Induced by CXCL1/GRO alpha and Neutralization by Human CXCR2/IL‑8 RB Antibody. Recombinant Human CXCL1/GROa (Catalog # 275-GR) chemoattracts the BaF3 mouse pro-B cell line transfected with human CXCR2 in a dose-dependent manner (orange line). The amount of cells that migrated through to the lower chemotaxis chamber was measured by Resazurin (Catalog # AR002). Chemotaxis elicited by Recombinant Human CXCL1/GROa (5 ng/mL) is neutralized (green line) by increasing concentrations of Mouse Anti-Human CXCR2/IL-8 RB Monoclonal Antibody (Catalog # MAB331). The ND50 is typically 1-5 µg/mL.
View Larger
Detection of CXCR2/IL-8RB by Western Blot SW620 cell-secreted factors require CXCR2 signaling pathway to induce the endothelial Cx32 expression and tube formationA. IL-8 secretion in conditioned media from SW480 and SW620 cells was examined through ELISA. CRC cells were exposed or not to the HMEC-CM. All cell media were collected after 6 h (mean ± SD, *P-values < 0.01 Mann-Whitney U test and Kruskal-Wallis test; n = 4). B. SW620-CM increase the endothelial expression of the CXCR2 receptor. A slight but significant increase in optical density (OD; relative to control) of bands was detected in response to SW620-CM compared with unstimulated HMEC (P-values < 0.01 Mann-Whitney U test and Kruskal-Wallis test; n = 4). No inhibitory effect was observed by pre-treating HMEC with SB225002 (200 nM), the CXCR2 antagonist. Representative of 4 experiments (Hsc70 as loading control; 100 μg/lane). C–D. Endothelial CXCR2 conveys angiogenic effects of SW620-CM. HMEC were pretreated or not with neutralizing anti-CXCR2 antibody (anti-CXCR2 mAb; 10 μg/ml) or SB225002. Cells were exposed to SW620-CM or human recombinant rhIL-8 (1 ng/ml) for 6 h. C. Representative Images of tube formation (Bar 80 μm). The dotted areas are enlarged in the inserts on the right. Arrows indicated branch points. D. Number of branch points per field of view was quantified (mean ± SD, n = 4; *P < 0.01 vs control). E. Blocking CXCR2 significantly diminished SW620-CM-induced expression of Cx32 in HMEC (P-values < 0.01 vs SW620-CM Mann-Whitney U test and Kruskal-Wallis test; n = 3). HMEC were exposed to cell-conditioned media for 6 h. In some cases, HMEC were pretreated with anti-CXCR2 mAb or SB225002, as indicated. This is a representative of three experiments with similar results (Hsc70 as loading control; 100 μg/lane). Image collected and cropped by CiteAb from the following open publication (https://pubmed.ncbi.nlm.nih.gov/26320187), licensed under a CC-BY license. Not internally tested by R&D Systems.
View Larger
Detection of CXCR2/IL-8RB by Flow Cytometry AESIS-1 enhances migration activities and CXCR2 expression through ERK and p38 MAPK signaling in HDF cells. Cells were treated with 20 ng/mL AESIS-1 for 24 h. MAPK inhibitors (ERK-PD98059, 10 μM; p38-SB203580, 10 μM; and JNK-SP600215, 20 μM) were added to cells 1 h before peptide treatment. (a) Transwell migration assay was performed using MAPK inhibitors and AESIS-1-treated HDF cells for 12 incubation hours with or without CXCL8 in lower chamber. Error bars, mean ± SD. One-way ANOVA with Turkey’s multiple comparisons test was used for statistical analysis. * p < 0.05, *** p < 0.001 (versus AESIS-1-treated group, with CXCL8-treated control); §§§ p < 0.001 (versus without AESIS-1-treated group, with CXCL8-treated group); ### p < 0.001 (versus without AESIS-1-, CXCL8-treated groups). (b) Surface protein expression of CXCR2 was measured with flow cytometric analysis after HDF cells were treated with AESIS-1 for 24 h with or without MAPK inhibitor pre-treatment. Image collected and cropped by CiteAb from the following open publication (https://www.mdpi.com/1422-0067/25/7/3937), licensed under a CC-BY license. Not internally tested by R&D Systems.
Reconstitution Calculator
Preparation and Storage
- 12 months from date of receipt, -20 to -70 °C as supplied.
- 1 month, 2 to 8 °C under sterile conditions after reconstitution.
- 6 months, -20 to -70 °C under sterile conditions after reconstitution.
Background: CXCR2/IL-8RB
CXCR2, also known as IL-8 RB, is a G protein-coupled chemokine receptor expressed on neutrophils. It binds IL-8, GRO alpha, GRO beta, GRO gamma, NAP-2, and ENA-78.
Product Datasheets
Citations for Human CXCR2/IL-8RB Antibody
R&D Systems personnel manually curate a database that contains references using R&D Systems products. The data collected includes not only links to publications in PubMed, but also provides information about sample types, species, and experimental conditions.
68
Citations: Showing 1 - 10
Filter your results:
Filter by:
-
Autocrine signaling is a key regulatory element during osteoclastogenesis
Authors: Paul Kopesky, Kerstin Tiedemann, Dahlia Alkekhia, Christoph Zechner, Bjorn Millard, Birgit Schoeberl et al.
Biology Open
-
The RNA-binding protein YBX1 regulates epidermal progenitors at a posttranscriptional level
Authors: E Kwon, K Todorova, J Wang, R Horos, KK Lee, VA Neel, GL Negri, PH Sorensen, SW Lee, MW Hentze, A Mandinova
Nat Commun, 2018-04-30;9(1):1734.
-
IL8 derived from macrophages inhibits CD8+ T-cell function by downregulating TIM3 expression through IL8-CXCR2 axis in patients with advanced colorectal cancer
Authors: Zhao, C;Wang, D;Li, Z;Zhang, Z;Xu, Y;Liu, J;Lei, Q;Han, D;Huo, Y;Liu, S;Li, L;Zhang, Y;
International immunopharmacology
Species: Human
Sample Types: Whole Cells
Applications: Neutralization -
Interleukin-8 produced from cancer-associated fibroblasts suppresses proliferation of the OCUCh-LM1 cancer cell line
Authors: R Tanaka, K Kimura, S Eguchi, G Ohira, S Tanaka, R Amano, H Tanaka, M Yashiro, M Ohira, S Kubo
BMC Cancer, 2022-07-08;22(1):748.
Species: Human
Sample Types: Cell Lysates, Whole Cells
Applications: Neutralization, Western Blot -
Significance of tumor heterogeneity of p-Smad2 and c-Met in HER2-positive gastric carcinoma with lymph node metastasis
Authors: G Tsujio, K Maruo, Y Yamamoto, T Sera, A Sugimoto, H Kasashima, Y Miki, M Yoshii, T Tamura, T Toyokawa, H Tanaka, K Muguruma, M Ohira, M Yashiro
BMC Cancer, 2022-06-01;22(1):598.
Species: Human
Sample Types: Whole Tissue
Applications: IHC -
CXCR2 signaling might have a tumor-suppressive role in patients with cholangiocarcinoma
Authors: Y Yamamoto, A Sugimoto, K Maruo, G Tsujio, T Sera, S Kushiyama, S Nishimura, K Kuroda, S Togano, S Eguchi, R Tanaka, K Kimura, R Amano, M Ohira, M Yashiro
PLoS ONE, 2022-04-04;17(4):e0266027.
Species: Human
Sample Types: Cell Lysates, Whole Tissue
Applications: IHC, Western Blot -
Eutopic endometrial immune profile of infertility-patients with and without endometriosis
Authors: N Freitag, DM Baston-Bue, JS Kruessel, UR Markert, TN Fehm, AP Bielfeld
Journal of reproductive immunology, 2022-01-29;150(0):103489.
Species: Human
Sample Types: Whole Tissue
Applications: IHC -
The C-X-C Motif Chemokine Ligand 1 Sustains Breast Cancer Stem Cell Self-Renewal and Promotes Tumor Progression and Immune Escape Programs
Authors: Stefania Livia Ciummo, Luigi D’Antonio, Carlo Sorrentino, Cristiano Fieni, Paola Lanuti, Giorgio Stassi et al.
Frontiers in Cell and Developmental Biology
Species: Human
Sample Types: Whole Cells
Applications: Flow Cytometry -
The Chemokine Receptor CCR3 Is Potentially Involved in the Homing of Prostate Cancer Cells to Bone: Implication of Bone-Marrow Adipocytes
Authors: Adrien Guérard, Victor Laurent, Gaëlle Fromont, David Estève, Julia Gilhodes, Edith Bonnelye et al.
International Journal of Molecular Sciences
Species: Human
Sample Types: Whole Cells
Applications: Neutralization -
Changes in the tumor microenvironment and outcome for TME-targeting therapy in glioblastoma: A pilot study
Authors: S Ali, TF Borin, R Piranliogl, R Ara, I Lebedyeva, K Angara, BR Achyut, AS Arbab, MH Rashid
PLoS ONE, 2021-02-05;16(2):e0246646.
Species: Mouse
Sample Types: Whole Cells, Whole Tissue
Applications: Flow Cytometry, IHC -
Dynamic Transcriptome-Proteome Correlation Networks Reveal Human Myeloid Differentiation and Neutrophil-Specific Programming
Authors: AJ Hoogendijk, F Pourfarzad, CEM Aarts, ATJ Tool, IH Hiemstra, L Grassi, M Frontini, AB Meijer, M van den Bi, TW Kuijpers
Cell Rep, 2019-11-19;29(8):2505-2519.e4.
Species: Human
Sample Types: Whole Cells
Applications: Flow Cytometry -
The Synthetic Dipeptide Pidotimod Shows a Chemokine-Like Activity through CXC Chemokine Receptor 3 (CXCR3)
Authors: F Caccuri, A Bugatti, S Corbellini, S Roversi, A Zani, P Mazzuca, S Marsico, A Caruso, C Giagulli
Int J Mol Sci, 2019-10-24;20(21):.
Species: Human
Sample Types: Whole Cells
Applications: Neutralization -
Use of syngeneic cells expressing membrane-bound GM-CSF as an adjuvant to induce antibodies against native multi-pass transmembrane protein
Authors: Chien-Chiao Huang, Kai-Wen Cheng, Yuan-Chin Hsieh, Wen-Wei Lin, Chiu-Min Cheng, Shyng-Shiou F. Yuan et al.
Scientific Reports
-
Development and application of a high-content virion display human GPCR array
Authors: Guan-Da Syu, Shih-Chin Wang, Guangzhong Ma, Shuang Liu, Donna Pearce, Atish Prakash et al.
Nature Communications
-
A Subset of Paracrine Factors as Efficient Biomarkers for Predicting Vascular Regenerative Efficacy of Mesenchymal Stromal/Stem Cells
Authors: HK Kim, SG Lee, SW Lee, BJ Oh, JH Kim, JA Kim, G Lee, JD Jang, YA Joe
Stem Cells, 2018-10-08;0(0):.
Species: Human
Sample Types: Whole Cells
Applications: Neutralization -
CXCR2-Expressing Tumor Cells Drive Vascular Mimicry in Antiangiogenic Therapy-Resistant Glioblastoma
Authors: K Angara, TF Borin, MH Rashid, I Lebedyeva, R Ara, PC Lin, A Iskander, RJ Bollag, BR Achyut, AS Arbab
Neoplasia, 2018-10-01;20(10):1070-1082.
Species: Human
Sample Types: Whole Cells
Applications: ICC -
IL-8/CXCR1/2 signalling promotes tumor cell proliferation, invasion and vascular mimicry in glioblastoma
Authors: I Sharma, A Singh, F Siraj, S Saxena
J. Biomed. Sci., 2018-08-08;25(1):62.
Species: Human
Sample Types: Whole Cells
Applications: Bioassay -
Role of autophagy in the HIV-1 matrix protein p17-driven lymphangiogenesis
Authors: P Mazzuca, S Marsico, K Schulze, S Mitola, MC Pils, C Giagulli, CA Guzman, A Caruso, F Caccuri
J. Virol., 2017-07-27;0(0):.
Species: Human
Sample Types: Whole Cells
Applications: Neutralization -
Clinicopathologic significance of the CXCL1-CXCR2 axis in the tumor microenvironment of gastric carcinoma
Authors: H Kasashima, M Yashiro, H Nakamae, G Masuda, H Kinoshita, T Morisaki, T Fukuoka, T Hasegawa, T Nakane, M Hino, K Hirakawa, M Ohira
PLoS ONE, 2017-06-02;12(6):e0178635.
Species: Human
Sample Types: Whole Tissue
Applications: IHC -
Proteomic profiling of peripheral blood neutrophils identifies two inflammatory phenotypes in stable COPD patients
Authors: ALT Loi, S Hoonhorst, C van Aalst, J Langereis, V Kamp, S Sluis-Eisi, N Ten Hacken, JW Lammers, L Koenderman
Respir. Res., 2017-05-22;18(1):100.
Species: Human
Sample Types: Whole Cells
Applications: Flow Cytometry -
Adoptive Transfer of Phosphoantigen-Specific ?? T Cell Subset Attenuates Mycobacterium tuberculosis Infection in Nonhuman Primates
Authors: A Qaqish, D Huang, CY Chen, Z Zhang, R Wang, S Li, E Yang, Y Lu, MH Larsen, WR Jacobs, L Qian, J Frencher, L Shen, ZW Chen
J. Immunol., 2017-05-19;0(0):.
Species: Human
Sample Types: Whole Cells
Applications: Flow Cytometry -
Cancer cell-secreted IGF2 instigates fibroblasts and bone marrow-derived vascular progenitor cells to promote cancer progression
Authors: WW Xu, B Li, XY Guan, SK Chung, Y Wang, YL Yip, SY Law, KT Chan, NP Lee, KW Chan, LY Xu, EM Li, SW Tsao, QY He, AL Cheung
Nat Commun, 2017-02-10;8(0):14399.
Species: Human
Sample Types: Whole Cells
Applications: Neutralization -
Mycobacteria Manipulate G-Protein-Coupled Receptors to Increase Mucosal Rac1 Expression in the Lungs
Authors: Nader Alaridah
J Innate Immun, 2016-12-24;0(0):.
Species: Mouse
Sample Types: Whole Cells
Applications: Neutralization -
Evidence for chemokine synergy during neutrophil migration in ARDS
Thorax, 2016-08-05;0(0):.
Species: Human
Sample Types: Whole Cells
Applications: Flow Cytometry -
TNF-? augments CXCR2 and CXCR3 to promote progression of renal cell carcinoma
Authors: Kuang-Hui Sun
J Cell Mol Med, 2016-06-14;0(0):.
Species: Human
Sample Types: Cell Lysates, Whole Cells, Whole Tissue
Applications: Flow Cytometry, IHC-P, Western Blot -
Periprostatic adipocytes act as a driving force for prostate cancer progression in obesity
Authors: Victor Laurent, Adrien Guérard, Catherine Mazerolles, Sophie Le Gonidec, Aurélie Toulet, Laurence Nieto et al.
Nature Communications
-
CXCR2-CXCL1 axis is correlated with neutrophil infiltration and predicts a poor prognosis in hepatocellular carcinoma.
Authors: Li L, Xu L, Yan J, Zhen Z, Ji Y, Liu C, Lau W, Zheng L, Xu J
J Exp Clin Cancer Res, 2015-10-26;34(0):129.
Species: Human
Sample Types: Whole Tissue
Applications: IHC-P -
Autocrine signaling is a key regulatory element during osteoclastogenesis
Authors: Paul Kopesky, Kerstin Tiedemann, Dahlia Alkekhia, Christoph Zechner, Bjorn Millard, Birgit Schoeberl et al.
Biology Open
Species: Human
Sample Types: Whole Cells
Applications: Neutralization -
CXCL1 inhibits airway smooth muscle cell migration through the decoy receptor Duffy antigen receptor for chemokines.
Authors: Al-Alwan L, Chang Y, Rousseau S, Martin J, Eidelman D, Hamid Q
J Immunol, 2014-06-30;193(3):1416-26.
Species: Human
Sample Types: Whole Cells
Applications: Neutralization -
Tumor-derived interleukin-1 promotes lymphangiogenesis and lymph node metastasis through M2-type macrophages.
Authors: Watari K, Shibata T, Kawahara A, Sata K, Nabeshima H, Shinoda A, Abe H, Azuma K, Murakami Y, Izumi H, Takahashi T, Kage M, Kuwano M, Ono M
PLoS ONE, 2014-06-12;9(6):e99568.
Species: Human
Sample Types: Whole Cells
Applications: Neutralization -
CD56(bright)perforin(low) noncytotoxic human NK cells are abundant in both healthy and neoplastic solid tissues and recirculate to secondary lymphoid organs via afferent lymph.
Authors: Carrega, Paolo, Bonaccorsi, Irene, Di Carlo, Emma, Morandi, Barbara, Paul, Petra, Rizzello, Valeria, Cipollone, Giuseppe, Navarra, Giuseppe, Mingari, Maria Cr, Moretta, Lorenzo, Ferlazzo, Guido
J Immunol, 2014-03-19;192(8):3805-15.
Species: Human
Sample Types: Whole Cells
Applications: Flow Cytometry -
Simian immunodeficiency virus and human immunodeficiency virus type 1 matrix proteins specify different capabilities to modulate B cell growth.
Authors: Caccuri, Francesc, Giagulli, Cinzia, Reichelt, Joachim, Martorelli, Debora, Marsico, Stefania, Bugatti, Antonell, Barone, Ines, Rusnati, Marco, Guzman, Carlos A, Dolcetti, Riccardo, Caruso, Arnaldo
J Virol, 2014-03-12;88(10):5706-17.
Species: Human
Sample Types: Whole Cells
Applications: Neutralization -
CXCL1/CXCL8 (GROalpha/IL-8) in human diabetic ketoacidosis plasma facilitates leukocyte recruitment to cerebrovascular endothelium in vitro.
Authors: Omatsu T, Cepinskas G, Clarson C, Patterson E, Alharfi I, Summers K, Couraud P, Romero I, Weksler B, Fraser D
Am J Physiol Endocrinol Metab, 2014-03-11;306(9):E1077-84.
Species: Human
Sample Types: Whole Cells
Applications: Neutralization -
The role of CXC-chemokine receptor CXCR2 and suppressor of cytokine signaling-3 (SOCS-3) in renal cell carcinoma.
Authors: Stofas A, Levidou G, Piperi C, Adamopoulos C, Dalagiorgou G, Bamias A, Karadimou A, Lainakis G, Papadoukakis S, Stravodimos K, Dimopoulos M, Patsouris E, Gakiopoulou H, Korkolopoulou P
BMC Cancer, 2014-03-04;14(0):149.
Species: Human
Sample Types: Tissue Homogenates, Whole Tissue
Applications: IHC, Western Blot -
Hypoxia promotes the proliferation of cervical carcinoma cells through stimulating the secretion of IL-8.
Authors: Liu L, Xie F, Chang K, Li M, Meng Y, Wang X, Li H, Li D, Yu J
Int J Clin Exp Pathol, 2014-01-15;7(2):575-83.
Species: Human
Sample Types: Whole Tissue
Applications: IHC-P -
Expansion of activated regulatory T cells by myeloid-specific chemokines via an alternative pathway in CSF of bacterial meningitis patients.
Authors: Shi G, Han J, Liu G, Hao Y, Ma Y, Li T, Wu X, Zhang H, Liu Y, Wang B, Kong Y, Zhou J, Zeng H
Eur J Immunol, 2013-12-02;44(2):420-30.
Species: Human
Sample Types: Whole Cells
Applications: Neutralization -
Glioblastoma stem cells are regulated by interleukin-8 signaling in a tumoral perivascular niche.
Authors: Infanger, David W, Cho, YouJin, Lopez, Brina S, Mohanan, Sunish, Liu, S Chris, Gursel, Demirkan, Boockvar, John A, Fischbach, Claudia
Cancer Res, 2013-10-11;73(23):7079-89.
Species: Human
Sample Types: Cell Lysates, Whole Cells
Applications: Functional Assay, Western Blot -
Interleukin-33 overexpression is associated with gamma-glutamyl transferase in biliary atresia.
Cytokine, 2012-11-22;61(2):433-7.
Species: Human
Sample Types: Whole Cells
Applications: Neutralization -
Human pituitary tumor-transforming gene 1 overexpression reinforces oncogene-induced senescence through CXCR2/p21 signaling in breast cancer cells
Authors: Jhen-Wei Ruan, Yi-Chu Liao, Ingrid Lua, Ming-Hsun Li, Chih-Yi Hsu, Ji-Hshiung Chen
Breast Cancer Research
-
Bronchoepithelial Expression of CXCR1 and CXCR2 Does Not Facilitate Transepithelial Migration of Neutrophils
Authors: Christian Schulz, Benjamin Stoelcker, Brigitte Ruhland, Nico Jentsch, Andreas Steege
Respiration
-
Overexpression of the beta subunit of human chorionic gonadotropin promotes the transformation of human ovarian epithelial cells and ovarian tumorigenesis.
Authors: Guo X, Liu G, Schauer IG, Yang G, Mercado-Uribe I, Yang F, Zhang S, He Y, Liu J
Am. J. Pathol., 2011-07-18;179(3):1385-93.
Species: Human
Sample Types: Whole Tissue
Applications: IHC-P -
Overexpression of CXCL5 is associated with poor survival in patients with pancreatic cancer.
Authors: Li A, King J, Moro A, Sugi MD, Dawson DW, Kaplan J, Li G, Lu X, Strieter RM, Burdick M, Go VL, Reber HA, Eibl G, Hines OJ
Am. J. Pathol., 2011-03-01;178(3):1340-9.
Species: Human
Sample Types: Whole Cells
Applications: Neutralization -
CXCR2 promotes ovarian cancer growth through dysregulated cell cycle, diminished apoptosis, and enhanced angiogenesis.
Authors: Yang G, Rosen DG, Liu G
Clin. Cancer Res., 2010-05-26;16(15):3875-86.
Species: Human
Sample Types: Whole Tissue
Applications: IHC-P -
IL8 and CXCL13 are potent chemokines for the recruitment of human neural precursor cells across brain endothelial cells.
Authors: Weiss N, Deboux C, Chaverot N, Miller F, Baron-Van Evercooren A, Couraud P, Cazaubon S
J Neuroimmunol, 2010-04-18;223(1):131-4.
Species: Human
Sample Types: Whole Cells
Applications: Flow Cytometry -
Reduced expression of chemoattractant receptors by polymorphonuclear leukocytes in Hyper IgE Syndrome patients.
Authors: Mintz R, Garty BZ, Meshel T, Marcus N, Katanov C, Cohen-Hillel E, Ben-Baruch A
Immunol. Lett., 2009-12-11;130(1):97-106.
Species: Human
Sample Types: Whole Cells
Applications: Flow Cytometry -
Primary human acute myelogenous leukemia cells release matrix metalloproteases and their inhibitors: release profile and pharmacological modulation.
Authors: Reikvam H, Hatfield KJ, Oyan AM, Kalland KH, Kittang AO, Bruserud O
Eur. J. Haematol., 2009-11-17;84(3):239-51.
Species: Human
Sample Types: Whole Cells
Applications: Neutralization -
Spatiotemporal expression of chemokines and chemokine receptors in experimental anti-myeloperoxidase antibody-mediated glomerulonephritis.
Authors: van der Veen BS, Petersen AH, Belperio JA, Satchell SC, Mathieson PW, Molema G, Heeringa P
Clin. Exp. Immunol., 2009-10-01;158(1):143-53.
Species: Human
Sample Types: Whole Cells
Applications: Neutralization -
CXCR1 and CXCR2 enhances human melanoma tumourigenesis, growth and invasion.
Authors: Singh S, Nannuru KC, Sadanandam A, Varney ML, Singh RK
Br. J. Cancer, 2009-04-28;100(10):1638-46.
Species: Human
Sample Types: Cell Lysates, Whole Cells
Applications: ICC, Western Blot -
TSU68 prevents liver metastasis of colon cancer xenografts by modulating the premetastatic niche.
Authors: Yamamoto M, Kikuchi H, Ohta M, Kawabata T, Hiramatsu Y, Kondo K, Baba M, Kamiya K, Tanaka T, Kitagawa M, Konno H
Cancer Res., 2008-12-01;68(23):9754-62.
Species: Mouse
Sample Types: In Vivo
Applications: Neutralization -
Potential role of high-mobility group box 1 in cystic fibrosis airway disease.
Authors: Rowe SM, Jackson PL, Liu G, Hardison M, Livraghi A, Solomon GM, McQuaid DB, Noerager BD, Gaggar A, Clancy JP, O'Neal W, Sorscher EJ, Abraham E, Blalock JE
Am. J. Respir. Crit. Care Med., 2008-07-24;178(8):822-31.
Species: Human
Sample Types: Whole Cells
Applications: Neutralization -
Expression of CXCL8, CXCR1, and CXCR2 in neurons and glial cells of the human and rabbit retina.
Authors: Goczalik I, Ulbricht E, Hollborn M, Raap M, Uhlmann S, Weick M, Pannicke T, Wiedemann P, Bringmann A, Reichenbach A, Francke M
Invest. Ophthalmol. Vis. Sci., 2008-06-14;49(10):4578-89.
Species: Human, Rabbit
Sample Types: Whole Tissue
Applications: IHC-Fr -
Synergy between coproduced CC and CXC chemokines in monocyte chemotaxis through receptor-mediated events.
Authors: Gouwy M, Struyf S, Noppen S, Schutyser E, Springael JY, Parmentier M, Proost P, Van Damme J
Mol. Pharmacol., 2008-05-09;74(2):485-95.
Species: Human
Sample Types: Whole Cells
Applications: Flow Cytometry -
A novel proteolytic cascade generates an extracellular matrix-derived chemoattractant in chronic neutrophilic inflammation.
Authors: Gaggar A, Jackson PL, Noerager BD, O'Reilly PJ, McQuaid DB, Rowe SM, Clancy JP, Blalock JE
J. Immunol., 2008-04-15;180(8):5662-9.
Species: Mouse
Sample Types: Whole Cells
Applications: Neutralization -
Role of interleukin-8 and growth-regulated oncogene-alpha in the chemotactic migration of all-trans retinoic acid-treated promyelocytic leukemic cells toward alveolar epithelial cells.
Authors: Tsai WH, Hsu HC, Lin CC, Ho CK, Kou YR
Crit. Care Med., 2007-03-01;35(3):879-85.
Species: Human
Sample Types: Whole Cells
Applications: Neutralization -
Increased levels of neutrophil-activating peptide-2 in acute coronary syndromes: possible role of platelet-mediated vascular inflammation.
Authors: Smith C, Damas JK, Otterdal K, ØIe E, Sandberg WJ, Yndestad A, Waehre T, Scholz H, Endresen K, Olofsson PS, Halvorsen B, Gullestad L, Froland SS, Hansson GK, Aukrust P
J. Am. Coll. Cardiol., 2006-09-27;48(8):1591-9.
Species: Human
Sample Types: Whole Cells, Whole Tissue
Applications: IHC-Fr, IHC-P, Neutralization -
Cytokine and chemokine profiles in multiple myeloma; significance of stromal interaction and correlation of IL-8 production with disease progression.
Authors: Kline M, Donovan K, Wellik L, Lust C, Jin W, Moon-Tasson L, Xiong Y, Witzig TE, Kumar S, Rajkumar SV, Lust JA
Leuk. Res., 2006-08-01;31(5):591-8.
Species: Human
Sample Types: Whole Cells
Applications: Flow Cytometry -
Chemokine receptor expression in rat adjuvant-induced arthritis.
Authors: Haas CS, Martinez RJ, Attia N, Haines GK, Campbell PL, Koch AE
Arthritis Rheum., 2005-12-01;52(12):3718-30.
Species: Rat
Sample Types: Whole Tissue
Applications: IHC -
IL-17 enhances the net angiogenic activity and in vivo growth of human non-small cell lung cancer in SCID mice through promoting CXCR-2-dependent angiogenesis.
Authors: Numasaki M, Watanabe M, Suzuki T, Takahashi H, Nakamura A, McAllister F, Hishinuma T, Goto J, Lotze MT, Kolls JK, Sasaki H
J. Immunol., 2005-11-01;175(9):6177-89.
Species: Human
Sample Types: Cell Culture Supernates
Applications: Neutralization -
The activation of IL-8 receptors in cultured guinea pig Muller glial cells is modified by signals from retinal pigment epithelium.
Authors: Malgorzata Goczalik I, Raap M, Weick M, Milenkovic I, Heidmann J, Enzmann V, Wiedemann P, Reichenbach A, Francke M
J. Neuroimmunol., 2005-04-01;161(1):49-60.
Species: Guinea Pig
Sample Types: Whole Cells
Applications: ICC -
Specific CXC but not CC chemokines cause elevated monocyte migration in COPD: a role for CXCR2.
Authors: Traves SL, Smith SJ, Barnes PJ, Donnelly LE
J. Leukoc. Biol., 2004-05-20;76(2):441-50.
Species: Human
Sample Types: Whole Cells
Applications: Neutralization -
Possible link between unique chemokine and homing receptor expression at diagnosis and relapse location in a patient with childhood T-ALL.
Authors: Annels NE, Willemze AJ, van der Velden VH, Faaij CM, van Wering E, Sie-Go DM, Egeler RM, van Tol MJ, Révész T
Blood, 2003-12-04;103(7):2806-8.
Species: Human
Sample Types: Whole Cells
Applications: Flow Cytometry -
Imbalance in the expression of CXC chemokines correlates with bronchoalveolar lavage fluid angiogenic activity and procollagen levels in acute respiratory distress syndrome.
Authors: Keane MP, Donnelly SC, Belperio JA, Goodman RB, Dy M, Burdick MD, Fishbein MC, Strieter RM
J. Immunol., 2002-12-01;169(11):6515-21.
Species: Human
Sample Types: BALF, Whole Tissue
Applications: ELISA Development, IHC-P -
Expression of functional CCR and CXCR chemokine receptors in podocytes.
Authors: Huber TB, Reinhardt HC, Exner M, Burger JA, Kerjaschki D, Saleem MA, Pavenstadt H
J. Immunol., 2002-06-15;168(12):6244-52.
Species: Human
Sample Types: Whole Tissue
Applications: IHC-Fr -
Unique subpopulations of CD56+ NK and NK-T peripheral blood lymphocytes identified by chemokine receptor expression repertoire.
Authors: Campbell J, Qin S, Unutmaz D, Soler D, Murphy K, Hodge M, Wu L, Butcher E
J Immunol, 2001-06-01;166(11):6477-82.
Species: Human
Sample Types: Whole Cells
Applications: Flow Cytometry -
Interleukin 8 Receptor Deficiency Confers Susceptibility to Acute Experimental Pyelonephritis and May Have a Human Counterpart
Authors: Björn Frendéus, Gabriela Godaly, Long Hang, Diana Karpman, Ann-Charlotte Lundstedt, Catharina Svanborg
J. Exp. Med
-
Human Neutrophils Respond to Complement Activation and Inhibition in Microfluidic Devices
Authors: Sinan Muldur, Douangsone D. Vadysirisack, Sharan Ragunathan, Yalan Tang, Alonso Ricardo, Camil Elie Sayegh et al.
Frontiers in Immunology
-
A distinct innate immune signature marks progression from mild to severe COVID-19
Authors: Stéphane Chevrier, Yves Zurbuchen, Carlo Cervia, Sarah Adamo, Miro E. Raeber, Natalie de Souza et al.
Cell Reports Medicine
-
IL-8 mediates idiopathic pulmonary fibrosis mesenchymal progenitor cell fibrogenicity
Authors: Libang Yang, Jeremy Herrera, Adam Gilbertsen, Hong Xia, Karen Smith, Alexey Benyumov et al.
American Journal of Physiology-Lung Cellular and Molecular Physiology
FAQs
No product specific FAQs exist for this product, however you may
View all Antibody FAQsReviews for Human CXCR2/IL-8RB Antibody
Average Rating: 4.5 (Based on 4 Reviews)
Have you used Human CXCR2/IL-8RB Antibody?
Submit a review and receive an Amazon gift card.
$25/€18/£15/$25CAN/¥75 Yuan/¥2500 Yen for a review with an image
$10/€7/£6/$10 CAD/¥70 Yuan/¥1110 Yen for a review without an image
Filter by:
sodium citrate antigen retrieval
