Human Cyclin E1 Antibody Summary
Met16-Lys143
Accession # P24864
Applications
Please Note: Optimal dilutions should be determined by each laboratory for each application. General Protocols are available in the Technical Information section on our website.
Scientific Data
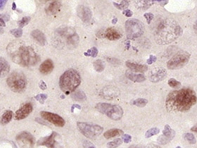
View Larger
Cyclin E1 in Human Breast. Cyclin E1 was detected in immersion fixed paraffin-embedded sections of human breast using Mouse Anti-Human Cyclin E1 Monoclonal Antibody (Catalog # MAB6810) at 15 µg/mL overnight at 4 °C. Tissue was stained using the Anti-Mouse HRP-DAB Cell & Tissue Staining Kit (brown; Catalog # CTS002) and counterstained with hematoxylin (blue). Specific staining was localized to epithelial cell nuclei. View our protocol for Chromogenic IHC Staining of Paraffin-embedded Tissue Sections.
Reconstitution Calculator
Preparation and Storage
- 12 months from date of receipt, -20 to -70 °C as supplied.
- 1 month, 2 to 8 °C under sterile conditions after reconstitution.
- 6 months, -20 to -70 °C under sterile conditions after reconstitution.
Background: Cyclin E1
Cyclin E1 (also known as G1/S-specific cyclin-E1 and CCNE1) is a 48-58 kDa member of the cyclin E subfamily, cyclin family of molecules. It associates with Cdk2 kinase and determines substrate specificity for the complex. This complex phosphorylates multiple substrates involved in cell cycle progression and the initiation of DNA replication. Cyclin E1 is required for G1/S phase progression and cell cycle reentry from G0 phase. Its reduced activity during cellular senescence contributes to G1 arrest. Human Cyclin E1 is 410 amino acids (aa) in length. It contains two cyclin box folds (aa 144-234 and 293-363) and is phosphorylated on at least eight Ser/Thr sites. There are at least two alternate splice forms. One is 40-41 kDa in size and utilizes an alternate start site at Met46, while a second is 43-44 kDa in size and shows a deletion of aa 154-196. One other potential start site exists at Met16. There are multiple proteolytic cleavage products that are tumor-associated and show increased destabilizing activity. Cleavage around Gln40 generates 44-45 kDa C-terminal fragments, while cleavage between Ala69Asp70 generates 33-35 kDa C-terminal fragments. Over aa 16-143, human Cyclin E1 shares 67% aa identity with mouse Cyclin E1.
Product Datasheets
FAQs
No product specific FAQs exist for this product, however you may
View all Antibody FAQsReviews for Human Cyclin E1 Antibody
Average Rating: 5 (Based on 1 Review)
Have you used Human Cyclin E1 Antibody?
Submit a review and receive an Amazon gift card.
$25/€18/£15/$25CAN/¥75 Yuan/¥2500 Yen for a review with an image
$10/€7/£6/$10 CAD/¥70 Yuan/¥1110 Yen for a review without an image
Filter by:
