Key Product Details

Species Reactivity

Human

Applications

Immunohistochemistry

Label

Unconjugated

Antibody Source

Monoclonal Mouse IgG2A Clone # 276424
Loading...

Product Specifications

Immunogen

Mouse myeloma cell line, NS0-derived human Fc gamma RI/CD64
Gln16-Pro288
Accession # P12314

Specificity

Detects human Fc gamma RI/CD64 in direct ELISAs.

Clonality

Monoclonal

Host

Mouse

Isotype

IgG2A

Scientific Data Images for Human Fc gamma  RI/CD64 Antibody

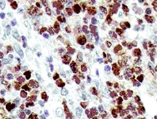
Fc gamma RI/CD64 in Human Spleen Tissue.

Fc gamma  RI/CD64 was detected in immersion fixed paraffin-embedded sections of human spleen tissue using Mouse Anti-Human Fc gamma  RI/CD64 Monoclonal Antibody (Catalog # MAB12574) at 5 µg/mL for 1 hour at room temperature followed by incubation with the Anti-Mouse IgG VisUCyte™ HRP Polymer Antibody (VC001). Before incubation with the primary antibody, tissue was subjected to heat-induced epitope retrieval using Antigen Retrieval Reagent-Basic (CTS013). Tissue was stained using DAB (brown) and counterstained with hematoxylin (blue). Specific staining was localized to cytoplasm in lymphocytes. Staining was performed using our IHC Staining with VisUCyte HRP Polymer Detection Reagents protocol.

Applications for Human Fc gamma  RI/CD64 Antibody

Application
Recommended Usage

Immunohistochemistry

5-25 µg/mL
Sample: Immersion fixed paraffin-embedded sections of human spleen tissue

Reviewed Applications

Read 2 reviews rated 5 using MAB12574 in the following applications:

Formulation, Preparation, and Storage

Purification

Protein A or G purified from hybridoma culture supernatant

Reconstitution

Reconstitute at 0.5 mg/mL in sterile PBS. For liquid material, refer to CoA for concentration.


Loading...

Formulation

Lyophilized from a 0.2 μm filtered solution in PBS with Trehalose. *Small pack size (SP) is supplied either lyophilized or as a 0.2 µm filtered solution in PBS.

Shipping

Lyophilized product is shipped at ambient temperature. Liquid small pack size (-SP) is shipped with polar packs. Upon receipt, store immediately at the temperature recommended below.

Stability & Storage

Use a manual defrost freezer and avoid repeated freeze-thaw cycles.
  • 12 months from date of receipt, -20 to -70 °C as supplied.
  • 1 month, 2 to 8 °C under sterile conditions after reconstitution.
  • 6 months, -20 to -70 °C under sterile conditions after reconstitution.

Calculators

The reconstitution calculator allows you to quickly calculate the volume of a reagent to reconstitute your vial. Simply enter the mass of reagent and the target concentration and the calculator will determine the rest.

=
÷

Background: Fc gamma RI/CD64

Receptors for the Fc region of IgG (Fc gamma Rs) are members of the Ig superfamily that function in the activation or inhibition of immune responses such as degranulation, phagocytosis, ADCC (antibody-dependent cellular toxicity), cytokine release, and B cell proliferation (1-3). The Fc gamma Rs have been divided into three classes based on close relationships in their extracellular domains; these groups are designated Fc gamma  RI (also known as CD64), Fc gamma  RII (CD32), and Fc gamma  RIII (CD16). Each group may be encoded by multiple genes and exist in different isoforms depending on species and cell type. The CD64 proteins are high affinity receptors
(~10-8-10-9 M) capable of binding monomeric IgG, whereas the CD16 and CD32 proteins bind IgG with lower affinities (~10-6-10-7 M) only recognizing IgG aggregates surrounding multivalent antigens (1, 4). Fc gamma Rs that deliver an activating signal either have an intrinsic immunoreceptor tyrosine-based activation motif (ITAM) within their cytoplasmic domains or associate with one of the ITAM-bearing adapter subunits, Fc R gamma or zeta (3, 5). The only inhibitory member in human and mouse, Fc gamma  RIIb, has an intrinsic cytoplasmic immunoreceptor tyrosine-based inhibitory motif (ITIM). The coordinated functioning of activating and inhibitory receptors is necessary for successful initiation, amplification, and termination of immune responses (5).

Three highly homologous genes (A, B, and C) sharing 98% identity at the nucleotide level have been identified for the human CD64 group (1). Fc gamma  RI is transmembrane protein with three extracellular Ig-like domains, and it delivers an activating signal via the associated Fc R gamma accessory chain. The genes for Fc gamma  RIB and Fc gamma  RIC contain stop codons within their membrane proximal Ig-like domains indicating possible secreted receptors (1, 6). An mRNA splice variant of Fc gamma RIB has a deletion of the membrane-proximal Ig-like domain and encodes a putative transmembrane receptor (6). The high affinity recognition of IgG by Fc gamma  RI permits the triggering of effector responses at low IgG concentrations typical of early immune responses (2). Fc gamma  RI is expressed constitutively on monocytes and macrophages and can be induced on neutrophils and eosinophils (1, 4). Its expression is up-regulated during bacterial infections and sepsis.

References

  1. Van de Winkel, J. and P. Capes (1993) Immunol. Today 14:215. 
  2. Raghaven, M. and P. Bjorkman (1996) Annu. Rev. Cell Dev. Biol. 12:181.
  3. Ravetch, J. and S. Bolland (2001) Annu. Rev. Immunol. 19:275.
  4. Takai, T. (2002) Nature Rev. Immunol. 2:580.
  5. Ravetch, J. and L. Lanier (2000) Science 290:84.
  6. Ernst, L. et al. (1998) Mol Immunol. 35:943.

Long Name

Fc gamma Receptor I

Alternate Names

CD64, CD64a, FCGR1, FcgRI, FcgRIA, FCRI, FcRIA

Entrez Gene IDs

2209 (Human); 14129 (Mouse); 295279 (Rat); 102147198 (Cynomolgus Monkey)

Gene Symbol

FCGR1A

UniProt

Additional Fc gamma RI/CD64 Products

Product Documents for Human Fc gamma  RI/CD64 Antibody

Certificate of Analysis

To download a Certificate of Analysis, please enter a lot or batch number in the search box below.

Note: Certificate of Analysis not available for kit components.

Product Specific Notices for Human Fc gamma  RI/CD64 Antibody

For research use only

Customer Reviews for Human Fc gamma  RI/CD64 Antibody (2)

5 out of 5
2 Customer Ratings
5 Stars
100%
4 Stars
0%
3 Stars
0%
2 Stars
0%
1 Stars
0%

Have you used Human Fc gamma  RI/CD64 Antibody?

Submit a review and receive an Amazon gift card!

$25/€18/£15/$25CAN/¥2500 Yen for a review with an image

$10/€7/£6/$10CAN/¥1110 Yen for a review without an image

Submit a review
Amazon Gift Card

Customer Images


Showing  1 - 2 of 2 reviews Showing All
Filter By:
  • Human Fc gamma  RI/CD64 Antibody
    Name: Anonymous
    Application: Immunohistochemistry
    Sample Tested: Tumor tissue
    Species: Human
    Verified Customer | Posted 08/07/2022
    Human Fc gamma  RI/CD64 Antibody MAB12574
  • Human Fc gamma  RI/CD64 Antibody
    Name: Anonymous
    Application: Immunohistochemistry
    Sample Tested: Spleen tissue
    Species: Human
    Verified Customer | Posted 03/22/2022
    Human Fc gamma  RI/CD64 Antibody MAB12574

There are no reviews that match your criteria.

Showing  1 - 2 of 2 reviews Showing All

Protocols

Find general support by application which include: protocols, troubleshooting, illustrated assays, videos and webinars.

FAQs

No product specific FAQs exist for this product.

View all FAQs for Antibodies
Loading...