Human IDO2 Antibody Summary
Met1-Val407
Accession # Q6ZQW0
Applications
Please Note: Optimal dilutions should be determined by each laboratory for each application. General Protocols are available in the Technical Information section on our website.
Scientific Data
View Larger
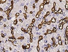
IDO2 in Human Liver. IDO2 was detected in immersion fixed paraffin-embedded sections of human liver using Mouse Anti-Human IDO2 Monoclonal Antibody (Catalog # MAB10098) at 5 µg/mL for 1 hour at room temperature followed by incubation with the Anti-Mouse IgG VisUCyte™ HRP Polymer Antibody (Catalog # VC001). Before incubation with the primary antibody, tissue was subjected to heat-induced epitope retrieval using Antigen Retrieval Reagent-Basic (Catalog # CTS013). Tissue was stained using DAB (brown) and counterstained with hematoxylin (blue). Specific staining was localized to cytoplasm in hepatocytes. View our protocol for IHC Staining with VisUCyte HRP Polymer Detection Reagents.
Reconstitution Calculator
Preparation and Storage
- 12 months from date of receipt, -20 to -70 °C as supplied.
- 1 month, 2 to 8 °C under sterile conditions after reconstitution.
- 6 months, -20 to -70 °C under sterile conditions after reconstitution.
Background: IDO2
Indoleamine 2,3-dioxygenase (IDO2) is a 47 kDa heme-containing cytosolic dioxygenase. Human IDO2 shares 64% aa sequence identity with mouse IDO2. IDO2 is one of three dioxygenases capable of catalyzing the first and rate-limiting step of the L-kynurenine pathway (KP): oxidative cleavage of the essential amino acid L-tryptophan to form N formyl kynurenine (1). Of these proteins, IDO1 and IDO2 are both related, monomeric enzymes but share only 38% aa sequence identity. The IDO isoforms are not functionally redundant. Although expression of IDO2 has been upregulated in some cancers (2,3), IDO2 expression is generally restricted to the liver, kidney, brain, and certain immune cell types unlike the more ubiquitously expressed indoleamine 2,3-dioxygenase (IDO) (1). Differential inhibition of IDO1 and IDO2 is observed with several molecules (4,5). IDO2 has significantly lower tryptophan catabolic activity than IDO1 and TDO2 (4, 6-8) suggesting it does not play a significant physiological role in the KP. Instead, IDO2 may have an alternative functional role: either non-enzymatic or utilizing a more physiologically relevant substrate (5,7). IDO2 function operates as a pro-inflammatory mediator in autoimmune inflammatory disorders (8, 9-11). It is a candidate for co-therapeutic targeting for treatment in these diseases (10-11).
- Prendergast, G.C. et al. (2014) Front. Immunol. 5:585.
- Witkiewicz, A.K. et al. (2009) J. Am. Coll. Surg. 208:781.
- Lob, S. et al. (2009) Cancer Immunol. Immunother. 58:153.
- Meininger, D. et al. (2011) Biochim. Biophys. Acta. 1814:1947.
- Pantouris, G. et al. (2014) Amino Acids 46:2155.
- Ball, H.J. et al. (2007) Gene 396:203.
- Yuasa, H.J. et al. (2009) Comp. Biochem. Physiol. B. Biochem. Mol. Biol. 153:137.
- Metz, R. et al. (2014) Int. Immunol. 26:357.
- Merlo, L.M.F. et al. (2014) J. Immunol. 192:2082.
- Merlo, L.M. and L. Mandik-Nayak (2016) Clin. Med. Insights Pathol. 9:21.
- Merlo, L.M.F. et al (2017) Clin. Immunol. 179:8.
Product Datasheets
FAQs
No product specific FAQs exist for this product, however you may
View all Antibody FAQsReviews for Human IDO2 Antibody
Average Rating: 5 (Based on 1 Review)
Have you used Human IDO2 Antibody?
Submit a review and receive an Amazon gift card.
$25/€18/£15/$25CAN/¥75 Yuan/¥2500 Yen for a review with an image
$10/€7/£6/$10 CAD/¥70 Yuan/¥1110 Yen for a review without an image
Filter by:
