Human MCM7 Antibody Summary
Gly188-Ala328
Accession # P33993
Applications
Please Note: Optimal dilutions should be determined by each laboratory for each application. General Protocols are available in the Technical Information section on our website.
Scientific Data
View Larger
Detection of Human MCM7 by Western Blot. Western blot shows lysates of HeLa human cervical epithelial carcinoma cell line, MCF-7 human breast cancer cell line, Daudi human Burkitt's lymphoma cell line, and Jurkat human acute T cell leukemia cell line. PVDF membrane was probed with 0.2 µg/mL of Rabbit Anti-Human MCM7 Monoclonal Antibody (Catalog # MAB9217) followed by HRP-conjugated Anti-Rabbit IgG Secondary Antibody (Catalog # HAF008). A specific band was detected for MCM7 at approximately 80 kDa (as indicated). This experiment was conducted under reducing conditions and using Immunoblot Buffer Group 1.
View Larger
MCM7 in HeLa Human Cell Line. MCM7 was detected in immersion fixed HeLa human cervical epithelial carcinoma cell line using Rabbit Anti-Human MCM7 Monoclonal Antibody (Catalog # MAB9217) at 1 µg/mL for 3 hours at room temperature. Cells were stained using the NorthernLights™ 557-conjugated Anti-Rabbit IgG Secondary Antibody (red; Catalog # NL004) and counterstained with DAPI (blue). Specific staining was localized to nuclei. View our protocol for Fluorescent ICC Staining of Cells on Coverslips.
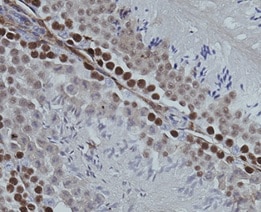
View Larger
MCM7 in Human Mesothelioma Tissue. MCM7 was detected in immersion fixed paraffin-embedded sections of human mesothelioma tissue using Rabbit Anti-Human MCM7 Monoclonal Antibody (Catalog # MAB9217) at 3 µg/mL for 1 hour at room temperature followed by incubation with the Anti-Rabbit IgG VisUCyte™ HRP Polymer Antibody (Catalog # VC003). Tissue was stained using DAB (brown) and counterstained with hematoxylin (blue). Specific staining was localized to nuclei. View our protocol for IHC Staining with VisUCyte HRP Polymer Detection Reagents.
View Larger
Detection of MCM7 in HeLa Human Cell Line by Flow Cytometry. HeLa human cervical epithelial carcinoma cell line was stained with Rabbit Anti-Human MCM7 Monoclonal Antibody (Catalog # MAB9217, filled histogram) or isotype control antibody (Catalog # AB-105-C, open histogram), followed by Allophycocyanin-conjugated Anti-Rabbit IgG Secondary Antibody (Catalog # F0111). To facilitate intracellular staining, cells were fixed and permeabilized with FlowX FoxP3 Fixation & Permeabilization Buffer Kit (Catalog # FC012). View our protocol for Staining Intracellular Molecules.
Reconstitution Calculator
Preparation and Storage
- 12 months from date of receipt, -20 to -70 °C as supplied.
- 1 month, 2 to 8 °C under sterile conditions after reconstitution.
- 6 months, -20 to -70 °C under sterile conditions after reconstitution.
Background: MCM7
MCM7/minichromosome maintenance complex component 7, is a highly conserved mini-chromosome maintenance protein, with ATP binding, DNA helicase activity and single-stranded DNA binding. MCM7 forms a hexameric protein complex with MCM2, 4 and 6 proteins that has DNA helicase activity essential for the initiation of gene replication. MCM7 also binds to RAD17 to mediate ATR recruitment to damaged DNA. MCM7 expression is repressed in quiescent cells but induced in late G1 to S phase by growth factor stimulation. It is up-regulated in many cancers including colorectal, T cell lymphomas, glioblastoma, and has prognostic value for hepatocellular carcinoma and gastric adenocarcinoma.
Product Datasheets
FAQs
No product specific FAQs exist for this product, however you may
View all Antibody FAQsReviews for Human MCM7 Antibody
Average Rating: 5 (Based on 1 Review)
Have you used Human MCM7 Antibody?
Submit a review and receive an Amazon gift card.
$25/€18/£15/$25CAN/¥75 Yuan/¥2500 Yen for a review with an image
$10/€7/£6/$10 CAD/¥70 Yuan/¥1110 Yen for a review without an image
Filter by:
