Human/Mouse NLRP3/NALP3 Antibody Summary
Met1-Arg153
Accession # Q8R4B8
Applications
Please Note: Optimal dilutions should be determined by each laboratory for each application. General Protocols are available in the Technical Information section on our website.
Scientific Data
View Larger
Detection of Mouse NLRP3/NALP3 by Western Blot. Western blot shows lysates of J774A.1 mouse reticulum cell sarcoma macrophage cell line and RAW 264.7 mouse monocyte/macrophage cell line. PVDF membrane was probed with 2 µg/mL of Rat Anti-Human/Mouse NLRP3/NALP3 Monoclonal Antibody (Catalog # MAB7578) followed by HRP-conjugated Anti-Rat IgG Secondary Antibody (Catalog # HAF005). A specific band was detected for NLRP3/NALP3 at approximately 117 kDa (as indicated). This experiment was conducted under reducing conditions and using Immunoblot Buffer Group 1.Catalog # AF6789is recommended for use with human lysates.
View Larger
NLRP3/NALP3 in RAW 264.7 Mouse Cell Line. NLRP3/NALP3 was detected in immersion fixed RAW 264.7 mouse monocyte/macrophage cell line using Rat Anti-Human/Mouse NLRP3/NALP3 Monoclonal Antibody (Catalog # MAB7578) at 10 µg/mL for 3 hours at room temperature. Cells were stained using the Northern-Lights™ 557-conjugated Anti-Rat IgG Secondary Antibody (red; Catalog # NL013) and counterstained with DAPI (blue). Specific staining was localized to cytoplasm. View our protocol for Fluorescent ICC Staining of Cells on Coverslips.
View Larger
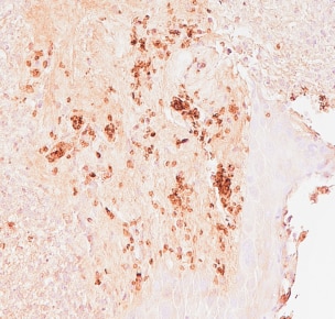
NLRP3/NALP3 in Human Tonsil Tissue. NLRP3/NALP3 was detected in immersion fixed paraffin-embedded sections of human tonsil tissue using Rat Anti-Human/Mouse NLRP3/NALP3 Monoclonal Antibody (Catalog # MAB7578) at 5 µg/mL overnight at 4 °C. Before incubation with the primary antibody, tissue was subjected to heat-induced epitope retrieval using Antigen Retrieval Reagent-Basic (Catalog # CTS013). Tissue was stained using the Anti-Rat IgG VisUCyte™ HRP Polymer Antibody (brown; Catalog # VC005) and counterstained with hematoxylin (blue). Specific staining was localized to cytoplasm in lymphocytes. View our protocol for IHC Staining with VisUCyte HRP Polymer Detection Reagents.
View Larger
Detection of NLRP3/NALP3 in RAW 264.7 Mouse Cell Line by Flow Cytometry. RAW 264.7 mouse monocyte/macrophage cell line was stained with Rat Anti-Human/Mouse NLRP3/ NALP3 Monoclonal Antibody (Catalog # MAB7578, filled histo-gram) or isotype control antibody (Catalog # MAB006, open histo-gram), followed by Allophycocyanin-conjugated Anti-Rat IgG Secondary Antibody (Catalog # F0113). To facilitate intracellular staining, cells were fixed with paraformaldehyde and permeabilized with saponin.
View Larger
Detection of NLRP3/NALP3 in Human Monocytes by Flow Cytometry. Human peripheral blood monocytes was stained with Rat Anti-Human/Mouse NLRP3/NALP3 Monoclonal Antibody (Catalog # MAB7578, filled histogram) or isotype control antibody (Catalog # MAB006, open histogram), followed by Allophycocyanin-conjugated Anti-Rat IgG Secondary Antibody (Catalog # F0113). To facilitate intracellular staining, cells were fixed with paraformaldehyde and permeabilized with saponin.
View Larger
Detection of Mouse NLRP3/NALP3 by Western Blot Sodium butyrate (NaB) and hydroxybutyric acid (HBA) eyedrops improve clinical parameters and decrease inflammation in animals subjected to alkali burns (AB). (A) Digital images of corneas stained with 0.1% sodium fluorescein demonstrating intact corneal epithelium after topical NaB, HBA or balanced salt solution (BSS) treatment for 5 days quater in die (QID) in untreated mice (n = 5 animals/group). Scale bar: 1000 µm; (B) Representative color digital images used to score corneal opacity (top row) and representative fluorescein stained corneas used to create wound closure rate (bottom row) at 5 days (n = 15 animals/group) after alkali burn. Scale bar: 1000 µm; (C) Corneal opacity in corneas subjected to alkali burn and topically treated with either NaB, HBA, or BSS and compared with dexamethasone (Dex) (n = 15 animals/group); (D) Wound closure rate in corneas subjected to alkali burn and topically treated with either NaB, HBA, or BSS and compared with Dex (n = 15 animals/group); (E) Mean ± SEM of results of gene expression analysis of NLRP3, Caspase-1, and IL-1 beta in whole cornea of animals subjected to alkali burn for 2 or 5 days and topically treated with either NaB, HBA, or BSS and compared with Dex (n = 5 animals/group). * p < 0.05, *** p < 0.001, **** p < 0.0001. (F) Representative digital images of western blot of NLRP3 and beta -actin in cornea epithelium of animals subjected to alkali burn for 2 days and topically treated with either NaB, HBA, or BSS (n = 12 animals/3 samples/group). Image collected and cropped by CiteAb from the following publication (https://pubmed.ncbi.nlm.nih.gov/28273882), licensed under a CC-BY license. Not internally tested by R&D Systems.
View Larger
Detection of Mouse NLRP3/NALP3 by Western Blot Upregulation of nucleotide-binding oligomerization domain-containing protein (NOD)-like receptor family pyrin domain containing 3 (NLRP3) expression by corneal epithelium in animals subjected to alkali burn (AB) at 2 days (2 d) and 5 days (5 d) post-injury. (A) Gene expression analysis of NLRP3 messenger mRNA (mRNA) transcript in whole cornea of animals subjected to alkali burn (n = 8 animals/group). Graphs show means ± standard error of the mean (SEM). **** p < 0.0001; (B) Representative merged digital images of laser scanning confocal microscopy of corneas cryosections immunostained for NLRP3 (green) with propidium iodide nuclei counterstaining (DNA in red) in corneas subjected to alkali burn (images are representative of n = 6 animals/group). Scale bar: 50 µm; (C) Representative digital images of western blot of NLRP3 and beta -actin in cornea epithelium of animals subjected to alkali burn for 2 and 5 days. Each lane is a different sample (n = 12 animals/3 samples/group). MW: Molecular weight; UT: untreated control; 2 d and 5 d refer to mice subjected to alkali burn and euthanized 2 or 5 days post-injury, respectively (1 and 2 indicate different samples). Image collected and cropped by CiteAb from the following publication (https://pubmed.ncbi.nlm.nih.gov/28273882), licensed under a CC-BY license. Not internally tested by R&D Systems.
View Larger
Detection of Mouse NLRP3/NALP3 by Immunocytochemistry/Immunofluorescence Upregulation of nucleotide-binding oligomerization domain-containing protein (NOD)-like receptor family pyrin domain containing 3 (NLRP3) expression by corneal epithelium in animals subjected to alkali burn (AB) at 2 days (2 d) and 5 days (5 d) post-injury. (A) Gene expression analysis of NLRP3 messenger mRNA (mRNA) transcript in whole cornea of animals subjected to alkali burn (n = 8 animals/group). Graphs show means ± standard error of the mean (SEM). **** p < 0.0001; (B) Representative merged digital images of laser scanning confocal microscopy of corneas cryosections immunostained for NLRP3 (green) with propidium iodide nuclei counterstaining (DNA in red) in corneas subjected to alkali burn (images are representative of n = 6 animals/group). Scale bar: 50 µm; (C) Representative digital images of western blot of NLRP3 and beta -actin in cornea epithelium of animals subjected to alkali burn for 2 and 5 days. Each lane is a different sample (n = 12 animals/3 samples/group). MW: Molecular weight; UT: untreated control; 2 d and 5 d refer to mice subjected to alkali burn and euthanized 2 or 5 days post-injury, respectively (1 and 2 indicate different samples). Image collected and cropped by CiteAb from the following publication (https://pubmed.ncbi.nlm.nih.gov/28273882), licensed under a CC-BY license. Not internally tested by R&D Systems.
View Larger
Detection of Mouse NLRP3/NALP3 by Immunohistochemistry NLRP3 inflammasome-dependent pyroptosis occurs in liver fibrosis. (A) IHC staining for GSDMD, IL-1 beta, and IL-18 in liver sections from liver fibrosis patients and HCs. Scale bar: 40 µm. (B–D) ELISA analyses of serum levels of GSDMD (B), IL-1 beta (C), and IL-18 (D) in liver fibrosis patients (n = 89) and HCs (n = 60). (E) Representative immunofluorescence images of NLRP3 (red) and albumin (hepatocyte marker) (top), F4/80 (KC marker) (middle) or alpha -SMA (HSC marker) (bottom) (green) from the human fibrotic liver tissues. Scale bar: 40 µm. (F) Schematic diagram of the study. Liver fibrosis was induced by CCl4 injection for 8 weeks. (G) Representative mouse liver histology of H&E, Sirius Red staining, and IHC staining for alpha -SMA, GSDMD, and IL-1 beta. Black scale bar: 100 µm; Red scale bar: 50 µm. (H–J) ELISA analyses for serum levels of GSDMD (H), IL-1 beta (I), and IL-18 (J) in CCl4 group mouse (n = 5) and vehicle group mouse (n = 5). (K) Representative immunofluorescence images of NLRP3 (red) and albumin (hepatocyte marker) (top), F4/80 (KC marker) (middle) or alpha -SMA (HSC marker) (bottom) (green) from the 8-week CCl4-treated mouse liver. The vehicle group mouse liver was used as a control. Scale bar: 40 µm. (L) The qRT-PCR analysis for mRNA levels of IL-1 beta in THP-1 macrophages treated with LPS to induce pyroptosis. (M) ELISA analysis for IL-1 beta expression in supernatants from THP-1. (N) Western blot analysis of COL1A1, alpha -SMA, and TGF-beta expression in LX-2 cells which were exposed to CM from LPS-treated THP-1 macrophages. The protein expression was quantified by densitometry and normalized to beta -actin and are shown as fold changes relative to the control group (right panel). ** p < 0.01, *** p < 0.001. Image collected and cropped by CiteAb from the following open publication (https://pubmed.ncbi.nlm.nih.gov/36429008), licensed under a CC-BY license. Not internally tested by R&D Systems.
View Larger
Detection of Human NLRP3/NALP3 by Immunohistochemistry NLRP3 inflammasome-dependent pyroptosis occurs in liver fibrosis. (A) IHC staining for GSDMD, IL-1 beta, and IL-18 in liver sections from liver fibrosis patients and HCs. Scale bar: 40 µm. (B–D) ELISA analyses of serum levels of GSDMD (B), IL-1 beta (C), and IL-18 (D) in liver fibrosis patients (n = 89) and HCs (n = 60). (E) Representative immunofluorescence images of NLRP3 (red) and albumin (hepatocyte marker) (top), F4/80 (KC marker) (middle) or alpha -SMA (HSC marker) (bottom) (green) from the human fibrotic liver tissues. Scale bar: 40 µm. (F) Schematic diagram of the study. Liver fibrosis was induced by CCl4 injection for 8 weeks. (G) Representative mouse liver histology of H&E, Sirius Red staining, and IHC staining for alpha -SMA, GSDMD, and IL-1 beta. Black scale bar: 100 µm; Red scale bar: 50 µm. (H–J) ELISA analyses for serum levels of GSDMD (H), IL-1 beta (I), and IL-18 (J) in CCl4 group mouse (n = 5) and vehicle group mouse (n = 5). (K) Representative immunofluorescence images of NLRP3 (red) and albumin (hepatocyte marker) (top), F4/80 (KC marker) (middle) or alpha -SMA (HSC marker) (bottom) (green) from the 8-week CCl4-treated mouse liver. The vehicle group mouse liver was used as a control. Scale bar: 40 µm. (L) The qRT-PCR analysis for mRNA levels of IL-1 beta in THP-1 macrophages treated with LPS to induce pyroptosis. (M) ELISA analysis for IL-1 beta expression in supernatants from THP-1. (N) Western blot analysis of COL1A1, alpha -SMA, and TGF-beta expression in LX-2 cells which were exposed to CM from LPS-treated THP-1 macrophages. The protein expression was quantified by densitometry and normalized to beta -actin and are shown as fold changes relative to the control group (right panel). ** p < 0.01, *** p < 0.001. Image collected and cropped by CiteAb from the following open publication (https://pubmed.ncbi.nlm.nih.gov/36429008), licensed under a CC-BY license. Not internally tested by R&D Systems.
View Larger
Detection of Mouse NLRP3/NALP3 by Immunohistochemistry DAMP S100A8 along with NLRP3 inflammasome-dependent pyroptosis is positively related to the progression of liver fibrosis. (A) Representative IHC images for S100A8 and S100A9 in liver sections from liver fibrosis patients and HCs. (B,C) ELISA analyses for serum levels of S100A8 and S100A9 in liver fibrosis patients and HCs. (D) Comparison of serum S100A8 and S100A9 levels in liver fibrosis patients with different phases. (E–G) Distribution of serum GSDMD (E), IL-1 beta (F), and IL-18 (G) levels in liver fibrosis patients with different phases (F0–4). (H–J) Correlation between serum S100A8 levels and GSDMD (H), IL-1 beta (I) or IL-18 (J) levels in liver fibrosis patients. (K) Representative mouse liver morphology and staining with H&E and Sirius Red. (L–O) IHC staining of mouse liver sections for NLRP3, S100A8, and S100A9. Black scale bar: 100 µm; Red scale bar: 50 µm. ELISA analyses for serum levels of S100A8 (L), GSDMD (M), IL-1 beta (n), and IL-18 (O) in 4-, 6-, and 8 week-mouse models of liver fibrosis. *** p < 0.001. Image collected and cropped by CiteAb from the following open publication (https://pubmed.ncbi.nlm.nih.gov/36429008), licensed under a CC-BY license. Not internally tested by R&D Systems.
View Larger
Detection of Mouse NLRP3/NALP3 by Immunohistochemistry Inhibition of NLRP3 inflammasome-dependent pyroptosis alleviates liver fibrosis progression. (A) Experimental protocol of NLRP3 inhibitor MCC950 or saline application based on CCl4 injection in mice. (B) Representative liver histology of H&E and Sirius Red staining. The expression of alpha -SMA, NLRP3, GSDMD, and IL-1 beta was determined by immunohistochemistry. Black scale bar: 100 µm; Red scale bar: 50 µm. (C–E) Serum levels of ALT, AST, and TP were measured. * p < 0.05. Image collected and cropped by CiteAb from the following open publication (https://pubmed.ncbi.nlm.nih.gov/36429008), licensed under a CC-BY license. Not internally tested by R&D Systems.
View Larger
Detection of Human NLRP3/NALP3 by Immunohistochemistry Expression of NLRP3, caspase‐1 and gasdermin D‐N‐terminal (GSDMD‐N) in synovial tissues from patients with osteoarthritis (OA) or rheumatoid arthritis (RA). (A) Sections were stained with antibodies against the indicated proteins. Scale bar, 100 μm. (B) Sections were stained with an antibody against the macrophage marker CD68 and another antibody against a pyroptosis‐related marker. Nuclei were counterstained with DAPI. Scale bar, 50 μm. Image collected and cropped by CiteAb from the following open publication (https://pubmed.ncbi.nlm.nih.gov/37386795), licensed under a CC-BY license. Not internally tested by R&D Systems.
View Larger
Detection of NLRP3/NALP3 by Immunocytochemistry/ Immunofluorescence Effect of ginsenoside Rh4 on NLRP3 expression in LPS and nigericin-induced microglia cells. (A): NLRP3 (red) and nuclei (blue) using a laser confocal microscope; (B): Quantitative analysis of NLRP3 fluorescence intensity. Scale bars, 70 μm. The bar represents the mean ± standard error of the mean (n = 3). The Student’s t-test determined significant differences (### p < 0.001 compared with normal cells, *** p < 0.001 with LPS and nigericin-treated cells). Image collected and cropped by CiteAb from the following open publication (https://pubmed.ncbi.nlm.nih.gov/37239965), licensed under a CC-BY license. Not internally tested by R&D Systems.
View Larger
Detection of Human NLRP3/NALP3 by Immunohistochemistry Expression of NLRP3, caspase‐1 and gasdermin D‐N‐terminal (GSDMD‐N) in synovial tissues from patients with osteoarthritis (OA) or rheumatoid arthritis (RA). (A) Sections were stained with antibodies against the indicated proteins. Scale bar, 100 μm. (B) Sections were stained with an antibody against the macrophage marker CD68 and another antibody against a pyroptosis‐related marker. Nuclei were counterstained with DAPI. Scale bar, 50 μm. Image collected and cropped by CiteAb from the following open publication (https://pubmed.ncbi.nlm.nih.gov/37386795), licensed under a CC-BY license. Not internally tested by R&D Systems.
View Larger
Detection of NLRP3/NALP3 by Immunocytochemistry/ Immunofluorescence Effect of ginsenoside Rh4 on NLRP3 expression in LPS and nigericin-induced microglia cells. (A): NLRP3 (red) and nuclei (blue) using a laser confocal microscope; (B): Quantitative analysis of NLRP3 fluorescence intensity. Scale bars, 70 μm. The bar represents the mean ± standard error of the mean (n = 3). The Student’s t-test determined significant differences (### p < 0.001 compared with normal cells, *** p < 0.001 with LPS and nigericin-treated cells). Image collected and cropped by CiteAb from the following open publication (https://pubmed.ncbi.nlm.nih.gov/37239965), licensed under a CC-BY license. Not internally tested by R&D Systems.
Reconstitution Calculator
Preparation and Storage
- 12 months from date of receipt, -20 to -70 °C as supplied.
- 1 month, 2 to 8 °C under sterile conditions after reconstitution.
- 6 months, -20 to -70 °C under sterile conditions after reconstitution.
Background: NLRP3/NALP3
NLRP3, also known as NALP3, CIAS1, PYPAF or Cryopyrin, is a cytosolic ~120 kDa member of the NLRP family of proteins expressed in leukocytes, especially neutrophils. As a component of the inflammasome, NLRP3 activates caspases 1 and 5. Defects in NLRP3 may cause FCAS1, CINCA, or Muckle-Wells autoinflammatory syndromes. Mouse NLRP3 contains an N-terminal Pyrin domain (aa 1-91) followed by a Nacht region (aa 216-532), and seven LRRs (aa 739-988). Within the sequence used as an immunogen, mouse NLRP3 shares 78% and 93% aa identity with human and rat NLRP3, respectively. Alternate splicing of mouse NLRP3 generates additional isoforms that lack either LRR2 and 3, LRR 6 and 7, or LRR4-9.
Product Datasheets
Citations for Human/Mouse NLRP3/NALP3 Antibody
R&D Systems personnel manually curate a database that contains references using R&D Systems products. The data collected includes not only links to publications in PubMed, but also provides information about sample types, species, and experimental conditions.
66
Citations: Showing 1 - 10
Filter your results:
Filter by:
-
Activation of the NLRP3 Inflammasome Increases the IL-1 beta Level and Decreases GLUT4 Translocation in Skeletal Muscle during Insulin Resistance
Authors: Luan Américo-Da-Silva, Javiera Aguilera, Oscar Quinteros-Waltemath, Pablo Sánchez-Aguilera, Javier Russell, Cynthia Cadagan et al.
International Journal of Molecular Sciences
-
Chick Embryo: A Preclinical Model for Understanding Ischemia-Reperfusion Mechanism.
Authors: Fauzia E, Barbhuyan Tk, Shrivastava Ak et al.
Front Pharmacol.
-
Deficiency of CD147 Attenuated Non-alcoholic Steatohepatitis Progression in an NLRP3-Dependent Manner
Authors: Tian Zhang, Hao Li, Ke Wang, Bing Xu, Zhi-Nan Chen, Huijie Bian
Frontiers in Cell and Developmental Biology
-
Angiotensin-II activates vascular inflammasome and induces vascular damage
Authors: Cau SB, Bruder-Nascimento A, Silva MB et al.
Vascular pharmacology
-
Leishmania amazonensis Subverts the Transcription Factor Landscape in Dendritic Cells to Avoid Inflammasome Activation and Stall Maturation
Authors: Hervé Lecoeur, Thibault Rosazza, Kossiwa Kokou, Hugo Varet, Jean-Yves Coppée, Arezou Lari et al.
Frontiers in Immunology
-
NLRP3 Regulates IL-4 Expression in TOX+ CD4+ T Cells of Cutaneous T Cell Lymphoma to Potentially Promote Disease Progression
Authors: Enrique Huanosta-Murillo, Marcela Alcántara-Hernández, Brenda Hernández-Rico, Georgina Victoria-Acosta, Patricia Miranda-Cruz, María Antonieta Domínguez-Gómez et al.
Frontiers in Immunology
-
Microglial exosomes alleviate intermittent hypoxia-induced cognitive deficits by suppressing NLRP3 inflammasome
Authors: Yaodan Zhang, Yuyang Miao, Xiangyang Xiong, Jin Tan, Zhaoli Han, Fanglian Chen et al.
Biology Direct
-
Cardioprotective Antioxidant and Anti-Inflammatory Mechanisms Induced by Intermittent Hypobaric Hypoxia
Authors: Alejandro González-Candia, Alejandro A. Candia, Adolfo Paz, Fuad Mobarec, Rodrigo Urbina-Varela, Andrea del del Campo et al.
Antioxidants (Basel)
-
The role of dietary magnesium deficiency in inflammatory hypertension
Authors: Ashley Pitzer Mutchler, Linh Huynh, Ritam Patel, Tracey Lam, Daniel Bain, Sydney Jamison et al.
Frontiers in Physiology
-
Transcriptomic Analysis of Vulvovaginal Candidiasis Identifies a Role for the NLRP3 Inflammasome
Authors: Vincent M. Bruno, Amol C. Shetty, Junko Yano, Paul L. Fidel, Mairi C. Noverr, Brian M. Peters
mBio
-
Functional Deficits Precede Structural Lesions in Mice With High-Fat Diet–Induced Diabetic Retinopathy
Authors: Rithwick Rajagopal, Gregory W. Bligard, Sheng Zhang, Li Yin, Peter Lukasiewicz, Clay F. Semenkovich
Diabetes
-
Interleukin 1 beta-induced chloride currents are important in osteoarthritis onset: an in vitro study
Authors: Zhiqin Deng, Zicong Lin, Qing Zhong, Minqiang Lu, Huankun Fang, Jianquan Liu et al.
Acta Biochimica et Biophysica Sinica
-
Mitochondrial ROS promote macrophage pyroptosis by inducing GSDMD oxidation
Authors: Wang Y, Shi P, Chen Q et al.
J Mol Cell Biol
-
Inflammasome-Associated Gastric Tumorigenesis Is Independent of the NLRP3 Pattern Recognition Receptor
Authors: Alice J. West, Virginie Deswaerte, Alison C. West, Linden J. Gearing, Patrick Tan, Brendan J. Jenkins
Frontiers in Oncology
-
Proteostasis and lysosomal repair deficits in transdifferentiated neurons of Alzheimer's disease
Authors: Chou, CC;Vest, R;Prado, MA;Wilson-Grady, J;Paulo, JA;Shibuya, Y;Moran-Losada, P;Lee, TT;Luo, J;Gygi, SP;Kelly, JW;Finley, D;Wernig, M;Wyss-Coray, T;Frydman, J;
bioRxiv : the preprint server for biology
Species: Mouse
Sample Types: Whole Tissue
Applications: Immunocytochemistry -
Mangiferin Represses Inflammation in Macrophages Under a Hyperglycemic Environment Through Nrf2 Signaling
Authors: Jayasuriya, R;Ganesan, K;Ramkumar, KM;
International journal of molecular sciences
Species: Human
Sample Types: Cell Lysates
Applications: Western Blot -
Microglial exosomes alleviate intermittent hypoxia-induced cognitive deficits by suppressing NLRP3 inflammasome
Authors: Yaodan Zhang, Yuyang Miao, Xiangyang Xiong, Jin Tan, Zhaoli Han, Fanglian Chen et al.
Biology Direct
Species: Mouse
Sample Types: Whole Tissue
Applications: Immunohistochemistry -
Lysophosphatidic Acid Induces Podocyte Pyroptosis in Diabetic Nephropathy by an Increase of Egr1 Expression via Downregulation of EzH2
Authors: Kim, D;Ban, KY;Lee, GH;Jun, HS;
International journal of molecular sciences
Species: Mouse
Sample Types: Whole Tissue
Applications: Immunohistochemistry -
Toxoplasma gondii profilin induces NLRP3 activation and IL-1beta production/secretion in THP-1�cells
Authors: H Pazoki, H Mirjalali, M Niyyati, SJ Seyed Taba, N Mosaffa, S Shahrokh, H Asadzadeh, A Kupz, MR Zali
Microbial pathogenesis, 2023-04-18;180(0):106120.
Species: Human
Sample Types: Protein
Applications: Western Blot -
IRAK-M suppresses the activation of microglial NLRP3 inflammasome and GSDMD-mediated pyroptosis through inhibiting IRAK1 phosphorylation during experimental autoimmune encephalomyelitis
Authors: Y Wang, S Pei, Z Liu, Y Ding, T Qian, H Wen, SW Hsu, Z Zhou, J Zhang, H Wang
Cell Death & Disease, 2023-02-10;14(2):103.
Species: Mouse
Sample Types: Tissue Homogenates, Whole Tissue
Applications: IHC, Western Blot -
Toxoplasma gondii profilin induces NLRP3 activation and IL-1beta production/secretion in THP-1�cells
Authors: H Pazoki, H Mirjalali, M Niyyati, SJ Seyed Taba, N Mosaffa, S Shahrokh, H Asadzadeh, A Kupz, MR Zali
Microbial pathogenesis, 2023;180(0):106120.
Species: Human
Sample Types: Protein
Applications: Western Blot -
Crosstalk between pro-survival sphingolipid metabolism and complement signaling induces inflammasome-mediated tumor metastasis
Authors: Janneh AH, Kassir MF, Atilgan FC et al.
Cell Reports
-
Endothelial Acid Sphingomyelinase Promotes NLRP3 Inflammasome and Neointima Formation During Hypercholesterolemia
Authors: Xinxu Yuan, Owais M. Bhat, Yao Zou, Xiang Li, Yang Zhang, Pin-Lan Li
Journal of Lipid Research
Species: Transgenic Mouse
Sample Types: Whole Cells, Whole Tissue
Applications: Immunohistochemistry, Immunocytochemistry -
Attenuation of hepatic fibrosis by p-Coumaric acid via modulation of NLRP3 inflammasome activation in C57BL/6 mice
Authors: TMT Truong, SH Seo, S Chung, I Kang
The Journal of nutritional biochemistry, 2022-11-15;0(0):109204.
Species: Mouse
Sample Types: Tissue Homogenates
Applications: Western Blot -
Blockage of KHSRP-NLRP3 by MCC950 Can Reverse the Effect of Manganese-Induced Neuroinflammation in N2a Cells and Rat Brain
Authors: S Singh, IA Shaikh, SS More, MH Mahnashi, HM Almohaimee, M El-Sherbin, MM Ghoneim, A Umar, HK Soni, H Agrawal, BA Mannasaheb, AA Khan, UM Muddapur, SMS Iqubal
International Journal of Molecular Sciences, 2022-10-30;23(21):.
Species: Mouse
Sample Types: Cell Lysates
Applications: Western Blot -
Modulation of MAPK- and PI3/AKT-Dependent Autophagy Signaling by Stavudine (D4T) in PBMC of Alzheimer's Disease Patients
Authors: F La Rosa, CP Zoia, C Bazzini, A Bolognini, M Saresella, E Conti, C Ferrarese, F Piancone, I Marventano, D Galimberti, C Fenoglio, E Scarpini, M Clerici
Cells, 2022-07-12;11(14):.
Species: Human
Sample Types: Whole Cells
Applications: Flow Cytometry -
Soluble Endoglin Stimulates Inflammatory and Angiogenic Responses in Microglia That Are Associated with Endothelial Dysfunction
Authors: ES Park, S Kim, DC Yao, JPJ Savarraj, HA Choi, PR Chen, E Kim
International Journal of Molecular Sciences, 2022-01-22;23(3):.
Species: Mouse
Sample Types: Whole Tissue
Applications: IHC -
TRPV1 channel mediates NLRP3 inflammasome-dependent neuroinflammation in microglia
Authors: Y Zhang, B Hou, P Liang, X Lu, Y Wu, X Zhang, Y Fan, Y Liu, T Chen, W Liu, B Peng, J Yin, S Han, X He
Cell Death & Disease, 2021-12-14;12(12):1159.
Species: Mouse
Sample Types: Cell Lysates, Whole Cells, Whole Tissue
Applications: ICC, IHC, Western Blot -
Leptin Induces Apoptotic and Pyroptotic Cell Death via NLRP3 Inflammasome Activation in Rat Hepatocytes
Authors: A Baral, PH Park
International Journal of Molecular Sciences, 2021-11-22;22(22):.
Species: Rat
Sample Types: Cell Lysates
Applications: Western Blots -
Farrerol Ameliorated Cisplatin-Induced Chronic Kidney Disease Through Mitophagy Induction via Nrf2/PINK1 Pathway
Authors: N Ma, Z Wei, J Hu, W Gu, X Ci
Frontiers in Pharmacology, 2021-11-11;12(0):768700.
Species: Mouse
Sample Types: Tissue Homogenates
Applications: Western Blot -
IL-1 reprogramming of adult neural stem cells limits neurocognitive recovery after viral encephalitis by maintaining a proinflammatory state
Authors: AL Soung, VA Davé, C Garber, ED Tycksen, LL Vollmer, RS Klein
Brain, Behavior, and Immunity, 2021-10-22;0(0):.
Species: Mouse
Sample Types: Whole Tissue
Applications: IHC -
Cyanidin-3-O-Glucoside improves the viability of human islet cells treated with amylin or Abeta1-42 in vitro
Authors: J Croden, JR Silva, W Huang, N Gupta, W Fu, K Matovinovi, M Black, X Li, K Chen, Y Wu, J Jhamandas, GR Rayat
PLoS ONE, 2021-10-06;16(10):e0258208.
Species: Mouse
Sample Types: Whole Tissue
Applications: IHC -
AIM2 inflammasome activation may mediate high mobility group box 1 release in murine allergic rhinitis
Authors: Y Wang, S Chen, PL Yang, JJ Chen, WJ Kong, YJ Wang
Brazilian journal of otorhinolaryngology, 2021-02-15;0(0):.
Species: Mouse
Sample Types: Cell Lysates
Applications: Western Blot -
Gene expression network analyses during infection with virulent and avirulent Trypanosoma cruzi�strains unveil a role for fibroblasts in neutrophil recruitment and activation
Authors: AER Oliveira, MCA Pereira, AT Belew, LRP Ferreira, LMN Pereira, EGA Neves, MDCP Nunes, BA Burleigh, WO Dutra, NM El-Sayed, RT Gazzinelli, SMR Teixeira
PLoS Pathog., 2020-08-18;16(8):e1008781.
Species: Human
Sample Types: Cell Lysates, Protein
Applications: Western Blot -
Deficiency of CD147 Attenuated Non-alcoholic Steatohepatitis Progression in an NLRP3-Dependent Manner
Authors: Tian Zhang, Hao Li, Ke Wang, Bing Xu, Zhi-Nan Chen, Huijie Bian
Frontiers in Cell and Developmental Biology
Species: Mouse
Sample Types: Cell Lysates, Tissue Homogenates
Applications: Western Blot -
The Combination of Sulforaphane and Fernblock� XP Improves Individual Beneficial Effects in Normal and Neoplastic Human Skin Cell Lines
Authors: S Serini, R Guarino, R Ottes Vasc, L Celleno, G Calviello
Nutrients, 2020-05-30;12(6):.
Species: Human
Sample Types: Cell Culture Lysates
Applications: Western Blot -
Inhibition of the NLRP3-inflammasome prevents cognitive deficits in experimental autoimmune encephalomyelitis mice via the alteration of astrocyte phenotype
Authors: B Hou, Y Zhang, P Liang, Y He, B Peng, W Liu, S Han, J Yin, X He
Cell Death Dis, 2020-05-15;11(5):377.
Species: Mouse
Sample Types: Tissue Homogenates
Applications: Western Blot -
Targeting Macrophage Histone H3 Modification as a Leishmania Strategy to Dampen the NF-&kappaB/NLRP3-Mediated Inflammatory Response
Authors: H Lecoeur, E Prina, T Rosazza, K Kokou, P N'Diaye, N Aulner, H Varet, G Bussotti, Y Xing, G Milon, R Weil, G Meng, GF Späth
Cell Rep, 2020-02-11;30(6):1870-1882.e4.
Species: Mouse
Sample Types: Cell Lysates
Applications: Western Blot -
NLRP3 Inflammasome and Mineralocorticoid Receptors Are Associated with Vascular Dysfunction in Type 2 Diabetes Mellitus
Authors: NS Ferreira, T Bruder-Nas, CA Pereira, CZ Zanotto, DS Prado, JF Silva, DM Rassi, MC Foss-Freit, JC Alves-Filh, D Carlos, RC Tostes
Cells, 2019-12-08;8(12):.
Species: Mouse
Sample Types: Tissue Homogenates
Applications: Western Blot -
Magnesium Sulfate Mitigates the Progression of Monocrotaline Pulmonary Hypertension in Rats
Authors: CY Chang, HJ Shih, IT Huang, PS Tsai, KY Chen, CJ Huang
Int J Mol Sci, 2019-09-18;20(18):.
Species: Rat
Sample Types: Whole Tissue
Applications: IHC-P -
DDX3X acts as a live-or-die checkpoint in stressed cells by regulating NLRP3 inflammasome
Authors: P Samir, S Kesavardha, DM Patmore, S Gingras, RKS Malireddi, R Karki, CS Guy, B Briard, DE Place, A Bhattachar, BR Sharma, A Nourse, SV King, A Pitre, AR Burton, S Pelletier, RJ Gilbertson, TD Kanneganti
Nature, 2019-09-11;0(0):.
Species: Mouse
Sample Types: Whole Cells
Applications: ICC -
Anti-Irritant and Anti-Inflammatory Effects of DHA Encapsulated in Resveratrol-Based Solid Lipid Nanoparticles in Human Keratinocytes
Authors: S Serini, R Cassano, E Facchinett, G Amendola, S Trombino, G Calviello
Nutrients, 2019-06-21;11(6):.
Species: Human
Sample Types: Cell Lysates
Applications: Western Blot -
Evidence that TLR4 Is Not a Receptor for Saturated Fatty Acids but Mediates Lipid-Induced Inflammation by Reprogramming Macrophage Metabolism
Authors: GI Lancaster, KG Langley, NA Berglund, HL Kammoun, S Reibe, E Estevez, J Weir, NA Mellett, G Pernes, JRW Conway, MKS Lee, P Timpson, AJ Murphy, SL Masters, S Gerondakis, N Bartonicek, DC Kaczorowsk, ME Dinger, PJ Meikle, PJ Bond, MA Febbraio
Cell Metab., 2018-04-19;0(0):.
Species: Mouse
Sample Types: Cell Lysates
Applications: Western Blot -
Downregulation of the NLRP3 inflammasome by adiponectin rescues Duchenne muscular dystrophy
Authors: R Boursereau, M Abou-Samra, S Lecompte, L Noel, SM Brichard
BMC Biol., 2018-03-20;16(1):33.
Species: Mouse
Sample Types: Tissue Homogenates, Whole Tissue
Applications: IHC-P, Western Blot -
Eruca sativa seed extract: A novel natural product able to counteract neuroinflammation
Authors: A Gugliandol, S Giacoppo, M Ficicchia, A Aliquò, P Bramanti, E Mazzon
Mol Med Rep, 2018-03-07;0(0):.
Species: Mouse
Sample Types: Whole Cells
Applications: ICC -
Endothelial GPR124 Exaggerates the Pathogenesis of Atherosclerosis by Activating Inflammation
Authors: DM Gong, YL Zhang, DY Chen, LJ Hong, F Han, QB Liu, JJ Jiang, YM Lu
Cell. Physiol. Biochem., 2018-01-25;45(2):547-557.
Species: Mouse
Sample Types: Whole Tissue
Applications: IHC -
Issues with the Specificity of Immunological Reagents for NLRP3: Implications for Age-related Macular Degeneration
Authors: C Kosmidou, NE Efstathiou, MV Hoang, S Notomi, EK Konstantin, M Hirano, K Takahashi, DE Maidana, P Tsoka, L Young, ES Gragoudas, TW Olsen, Y Morizane, JW Miller, DG Vavvas
Sci Rep, 2018-01-11;8(1):461.
Species: Mouse
Sample Types: Cell Lysates
Applications: Western Blot -
Expression of TLR2, NOD1, and NOD2 and the NLRP3 Inflammasome in Renal Tubular Epithelial Cells of Male versus Female Mice
Authors: SE DeWolf, AA Shigeoka, A Scheinok, SG Kasimsetty, AK Welch, DB McKay
Nephron, 2017-06-15;0(0):.
Species: Mouse
Sample Types: Cell Lysates
Applications: Western Blot -
Intestinal fungi contribute to development of alcoholic liver disease
Authors: AM Yang, T Inamine, K Hochrath, P Chen, L Wang, C Llorente, S Bluemel, P Hartmann, J Xu, Y Koyama, T Kisseleva, MG Torralba, K Moncera, K Beeri, CS Chen, K Freese, C Hellerbran, SM Lee, HM Hoffman, WZ Mehal, G Garcia-Tsa, EA Mutlu, A Keshavarzi, GD Brown, SB Ho, R Bataller, P Stärkel, DE Fouts, B Schnabl
J. Clin. Invest., 2017-05-22;0(0):.
Species: Mouse
Sample Types: Cell Lysates
Applications: Western Blot -
NLRP3 signaling drives macrophage-induced adaptive immune suppression in pancreatic carcinoma
Authors: D Daley, VR Mani, N Mohan, N Akkad, GSDB Pandian, S Savadkar, KB Lee, A Torres-Her, B Aykut, B Diskin, W Wang, MS Farooq, AI Mahmud, G Werba, EJ Morales, S Lall, BJ Wadowski, AG Rubin, ME Berman, R Narayanan, M Hundeyin, G Miller
J. Exp. Med., 2017-04-25;0(0):.
Species: Human, Mouse
Sample Types: Whole Cells, Whole Tissue
Applications: Flow Cytometry, IHC, IHC-P -
Inhibition of NLRP3 Inflammasome Pathway by Butyrate Improves Corneal Wound Healing in Corneal Alkali Burn
Authors: F Bian, Y Xiao, M Zaheer, EA Volpe, SC Pflugfelde, DQ Li, CS de Paiva
Int J Mol Sci, 2017-03-05;18(3):.
Species: Mouse
Sample Types: Whole Tissue
Applications: IHC-Fr, Western Blot -
The Antimalarial Chloroquine Suppresses LPS-Induced NLRP3 Inflammasome Activation and Confers Protection against Murine Endotoxic Shock
Authors: X Chen, N Wang, Y Zhu, Y Lu, X Liu, J Zheng
Mediators Inflamm., 2017-02-22;2017(0):6543237.
Species: Mouse
Sample Types: Cell Lysates
Applications: Western Blot -
Knockout of Ccr2 alleviates photoreceptor cell death in rodent retina exposed to chronic blue light
Cell Death Dis, 2016-11-10;7(11):e2468.
Species: Mouse
Sample Types: Whole Tissue
Applications: IHC-Fr -
Suppression of NLRP3 inflammasome by gamma-tocotrienol ameliorates type 2 diabetes.
Authors: Kim Y, Wang W, Okla M, Kang I, Moreau R, Chung S
J Lipid Res, 2015-12-01;57(1):66-76.
Species: Mouse
Sample Types: Cell Lysates
Applications: Western Blot -
Chinese Herbal Preparation Xuebijing Potently Inhibits Inflammasome Activation in Hepatocytes and Ameliorates Mouse Liver Ischemia-Reperfusion Injury.
Authors: Liu X, Hu Z, Zhou B, Li X, Tao R
PLoS ONE, 2015-07-01;10(7):e0131436.
Species: Mouse
Sample Types: Tissue Homogenates
Applications: Western Blot -
Caspase-8 as an Effector and Regulator of NLRP3 Inflammasome Signaling.
Authors: Antonopoulos C, Russo H, El Sanadi C, Martin B, Li X, Kaiser W, Mocarski E, Dubyak G
J Biol Chem, 2015-06-22;290(33):20167-84.
Species: Mouse
Sample Types: Cell Lysates
Applications: Western Blot -
The cyclopentenone prostaglandin 15d-PGJ2 inhibits the NLRP1 and NLRP3 inflammasomes.
Authors: Maier N, Leppla S, Moayeri M
J Immunol, 2015-02-13;194(6):2776-85.
Species: Mouse
Sample Types: Cell Lysates
Applications: Immunoprecipitation -
ASC in renal collecting duct epithelial cells contributes to inflammation and injury after unilateral ureteral obstruction.
Authors: Komada T, Usui F, Shirasuna K, Kawashima A, Kimura H, Karasawa T, Nishimura S, Sagara J, Noda T, Taniguchi S, Muto S, Nagata D, Kusano E, Takahashi M
Am J Pathol, 2014-03-05;184(5):1287-98.
Species: Mouse
Sample Types: Cell Lysates
Applications: Western Blot -
Crosstalk between pro-survival sphingolipid metabolism and complement signaling induces inflammasome-mediated tumor metastasis
Authors: Janneh AH, Kassir MF, Atilgan FC et al.
Cell Reports
-
Bone mesenchymal stem cells-derived miR-223-3p-containing exosomes ameliorate lipopolysaccharide-induced acute uterine injury via interacting with endothelial progenitor cells
Authors: Yana Liu, Shihong Zhang, Zhiwei Xue, Xiaoxia Zhou, Lin Tong, Jiachen Liao et al.
Bioengineered
-
Human Parvovirus Infection of Human Airway Epithelia Induces Pyroptotic Cell Death by Inhibiting Apoptosis
Authors: Xuefeng Deng, Wei Zou, Min Xiong, Zekun Wang, John F. Engelhardt, Shui Qing Ye et al.
Journal of Virology
-
Endothelial Acid Sphingomyelinase Promotes NLRP3 Inflammasome and Neointima Formation During Hypercholesterolemia
Authors: Xinxu Yuan, Owais M. Bhat, Yao Zou, Xiang Li, Yang Zhang, Pin-Lan Li
Journal of Lipid Research
-
N-Acetyl Cysteine Modulates the Inflammatory and Oxidative Stress Responses of Rescued Growth-Arrested Dental Pulp Microtissues Exposed to TEGDMA in ECM
Authors: G Kaufman, D Skrtic
Int J Mol Sci, 2020-10-03;21(19):.
-
Evidence That a TRPA1-Mediated Murine Model of Temporomandibular Joint Pain Involves NLRP3 Inflammasome Activation
Authors: Xenia Kodji, Zizheng Kee, Robyn McKenna, Joao de Sousa Valente, Harriet Ravenscroft, Hayley McMillan et al.
Pharmaceuticals (Basel)
-
Triggering of inflammasome by impaired autophagy in response to acute experimental Parkinson's disease: involvement of the PI3K/Akt/mTOR pathway
Authors: Sabrina Giacoppo, Placido Bramanti, Emanuela Mazzon
NeuroReport
-
Receptor for Advanced Glycation End-Products Promotes Activation of Alveolar Macrophages through the NLRP3 Inflammasome/TXNIP Axis in Acute Lung Injury
Authors: W Lenga Ma B, M Fournet, R Zhai, J Lutz, R Blondonnet, C Bourgne, C Leclaire, C Saint-Béat, C Theilliere, C Belville, D Bouvier, L Blanchon, M Berger, V Sapin, M Jabaudon
International Journal of Molecular Sciences, 2022-10-01;23(19):.
FAQs
No product specific FAQs exist for this product, however you may
View all Antibody FAQsReviews for Human/Mouse NLRP3/NALP3 Antibody
Average Rating: 4.7 (Based on 6 Reviews)
Have you used Human/Mouse NLRP3/NALP3 Antibody?
Submit a review and receive an Amazon gift card.
$25/€18/£15/$25CAN/¥75 Yuan/¥2500 Yen for a review with an image
$10/€7/£6/$10 CAD/¥70 Yuan/¥1110 Yen for a review without an image
Filter by:
