Human/Mouse/Rat Androgen R/NR3C4 Antibody
Human/Mouse/Rat Androgen R/NR3C4 Antibody Summary
Thr660-Gln919
Accession # P10275
Applications
Please Note: Optimal dilutions should be determined by each laboratory for each application. General Protocols are available in the Technical Information section on our website.
Scientific Data
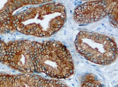
View Larger
Androgen R/NR3C4 in Human Prostate. Androgen R/NR3C4 was detected in immersion fixed paraffin-embedded sections of human prostate using Mouse Anti-Human/Mouse/Rat Androgen R/NR3C4 Monoclonal Antibody (Catalog # MAB58761) at 15 µg/mL overnight at 4 °C. Before incubation with the primary antibody, tissue was subjected to heat-induced epitope retrieval using Antigen Retrieval Reagent-Basic (Catalog # CTS013). Tissue was stained using the Anti-Mouse HRP-DAB Cell & Tissue Staining Kit (brown; Catalog # CTS002) and counterstained with hematoxylin (blue). Specific staining was localized to cytoplasm of glandular epithelial cells. View our protocol for Chromogenic IHC Staining of Paraffin-embedded Tissue Sections.
Reconstitution Calculator
Preparation and Storage
- 12 months from date of receipt, -20 to -70 °C as supplied.
- 1 month, 2 to 8 °C under sterile conditions after reconstitution.
- 6 months, -20 to -70 °C under sterile conditions after reconstitution.
Background: Androgen R/NR3C4
The Androgen Receptor (AR) is a 90 kDa steroid hormone receptor that is critical for the development and function of the male reproductive system. AR binding to testosterone or 5 alpha -dihydrotestosterone (DHT) triggers receptor dimerization followed by translocation to the nucleus where it promotes transcription of androgen responsive genes. Multiple polymorphisms in AR are linked to the development of prostate cancer. The ligand binding domain of human AR (aa 661-920) shares 100% aa sequence identity with mouse and rat AR.
Product Datasheets
FAQs
No product specific FAQs exist for this product, however you may
View all Antibody FAQsReviews for Human/Mouse/Rat Androgen R/NR3C4 Antibody
Average Rating: 5 (Based on 1 Review)
Have you used Human/Mouse/Rat Androgen R/NR3C4 Antibody?
Submit a review and receive an Amazon gift card.
$25/€18/£15/$25CAN/¥75 Yuan/¥2500 Yen for a review with an image
$10/€7/£6/$10 CAD/¥70 Yuan/¥1110 Yen for a review without an image
Filter by:
