Human Carbonic Anhydrase IX/CA9 Antibody Summary
Pro59-Asp414
Accession # Q16790
Applications
Please Note: Optimal dilutions should be determined by each laboratory for each application. General Protocols are available in the Technical Information section on our website.
Scientific Data
View Larger
Detection of Human Carbonic Anhydrase IX/CA9 by Western Blot. Western blot shows lysates of U-87 MG human glioblastoma/ astrocytoma cell line. PVDF membrane was probed with 1 µg/mL of Goat Anti-Human Carbonic Anhydrase IX/CA9 Antigen Affinity-purified Polyclonal Antibody (Catalog # AF2188) followed by HRP-conjugated Anti-Goat IgG Secondary Antibody (HAF109). A specific band was detected for Carbonic Anhydrase IX/CA9 at approximately 58 kDa (as indicated). This experiment was conducted under reducing conditions and using Immunoblot Buffer Group 8.
View Larger
Carbonic Anhydrase IX/CA9 in A431 Human Cell Line. Carbonic Anhydrase IX/CA9 was detected in immersion fixed A431 human epithelial carcinoma cell line using Goat Anti-Human Carbonic Anhydrase IX/CA9 Antigen Affinity-purified Polyclonal Antibody (Catalog # AF2188) at 3 µg/mL for 3 hours at room temperature. Cells were stained using the NorthernLights™ 557-conjugated Anti-Goat IgG Secondary Antibody (red; NL001) and counterstained with DAPI (blue). Specific staining was localized to cytoplasm. View our protocol for Fluorescent ICC Staining of Cells on Coverslips.
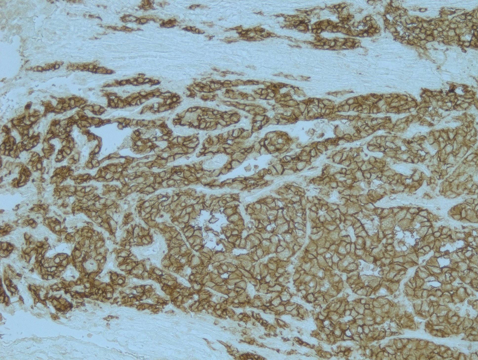
View Larger
Carbonic Anhydrase IX/CA9 in Human Colon Cancer Tissue. Carbonic Anhydrase IX/CA9 was detected in immersion fixed paraffin-embedded sections of human colon cancer tissue using Goat Anti-Human Carbonic Anhydrase IX/CA9 Antigen Affinity-purified Polyclonal Antibody (Catalog # AF2188) at 15 µg/mL overnight at 4 °C. Tissue was stained using the Anti-Goat HRP-DAB Cell & Tissue Staining Kit (brown; CTS008) and counterstained with hematoxylin (blue). Specific labeling was localized to the plasma membrane of epithelial cells. View our protocol for Chromogenic IHC Staining of Paraffin-embedded Tissue Sections.
View Larger
Detection of Carbonic Anhydrase IX/CA9 in U87-MG cells cells by Flow Cytometry. U87-MG cells were stained with Goat Anti-Human Carbonic Anhydrase IX/CA9 Antigen Affinity-purified Polyclonal Antibody (Catalog # AF2188, filled histogram) or isotype control antibody (Catalog # AB-108-C, open histogram), followed by Phycoerythrin-conjugated Anti-Goat IgG Secondary Antibody (Catalog # F0107). View our protocol for Staining Membrane-associated Proteins.
View Larger
Detection of Carbonic Anhydrase IX/CA9 by Western Blot Beta-catenin enhances the breast cancer stem cell phenotype in response to hypoxia independently of its nuclear transcriptional activity. A, Western analysis (WB) of beta-catenin, SNAI2 and CA9 protein levels in Ctrl/shBeta MCF7 cells upon Nor/1%pO2 conditions; B, MS forming assay in stable beta-catenin silenced (shBeta) MCF7 cells upon Nor/1%pO2 conditions; C, Cytofluorimetric analysis of CD44high/CD24low stem/progenitor population in ctrl/shBeta MCF7 cells upon Nor/1%pO2 conditions; D, Real-Time PCR analysis of ESR1 mRNA level in Ctrl/shBeta MCF7 cells upon Nor/1%pO2 conditions; E, Immunofluorescence (IF) analysis of Beta-catenin in Nor/1%pO2 MCF7 cells; F, WB analysis of beta-catenin in Nor/1%pO2 MCF7 cells cytoplasmic and nuclear fractions (lamin B and beta-tubulin were used as fractionation controls); G, beta-catenin/TCF transcriptional reporter (TOPFLASH) assay in MCF7 cells and T-MS under Nor/1%pO2. Data are presented as mean +/- s.d.; p values refers to t test. n=3, unless otherwise specified. Image collected and cropped by CiteAb from the following open publication (https://pubmed.ncbi.nlm.nih.gov/24260469), licensed under a CC-BY license. Not internally tested by R&D Systems.
View Larger
Detection of Carbonic Anhydrase IX/CA9 by Western Blot In normoxic basal-like breast cancer cells, cytoplasmic beta-catenin promotes stem cell features in vitro and tumor growth in vivo via constitutive stabilization of CA9 and SNAI2 mRNAs.A, Beta-catenin IF analysis in luminal MCF7 cells and in basal-like MDA-MB-468 and MDA-MB-231 cells; B, Cytofluorimetric analysis of the CD44high/CD24low population in ctrl/shBeta MDA-MB-468 and MDA-MB-231 cells; C, Ctrl/shBeta MDA-MB-468 10-weeks mammary fat pad xenograft assay (n=5, each group); representative pictures of xenograft tissues hematoxylin-eosin staining are include; D, WB analysis of CA9, SNAI2 and beta-catenin protein levels in ctrl/shBeta normoxic MDA-MB-468 and MDA-MB-231 cells; E, CA9 and SNAI2 mRNA stability assay following inhibition of Polymerase 2 transcriptional activity by actinomycin D (100ng/ml) in Ctrl/shBeta MDA-MB-468 and MDA-MB-231 cells; F, Four weeks growth curve of ctrl/shSNAI2 MDA-MB-231 subcutaneous xenograft assay (n=6, each group); G, Hematoxylin-eosin, ESR1 and CDH1 immunohistochemical stainings in xenograft tissue sections. Data are presented as mean +/- s.d.; p values refers to t test. n=3, unless otherwise specified. Image collected and cropped by CiteAb from the following open publication (https://pubmed.ncbi.nlm.nih.gov/24260469), licensed under a CC-BY license. Not internally tested by R&D Systems.
View Larger
Detection of Carbonic Anhydrase IX/CA9 by Immunohistochemistry Sunitinib induces hypoxia and Carbonic Anhydrase IX (CAIX) expression in primary Triple Negative Breast Cancer (TNBC) tumors. (a) Images of MDA-MB-231 LM2-4Luc+ primary tumor tissue sections harvested at increasing tumor volumes from animals administered either vehicle or 60 mg/kg sunitinib and immunohistochemically stained for the indicated markers. Scale bars: upper panels, 1 mm; lower panels, 200 μm. (b to e) Image-based quantification of (b) CD31+ blood vessels, (c) CAIX expression, (d) pimonidazole and (e) proliferation. Data show the mean ± standard error of the mean (SEM). n = 3 animals/group with 10 images/animal. * p < 0.05, *** p < 0.001. Image collected and cropped by CiteAb from the following open publication (https://pubmed.ncbi.nlm.nih.gov/31319613), licensed under a CC-BY license. Not internally tested by R&D Systems.
Reconstitution Calculator
Preparation and Storage
- 12 months from date of receipt, -20 to -70 °C as supplied.
- 1 month, 2 to 8 °C under sterile conditions after reconstitution.
- 6 months, -20 to -70 °C under sterile conditions after reconstitution.
Background: Carbonic Anhydrase IX/CA9
Carbonic Anhydrase (CA) catalyzes the reversible reaction of CO2 + H2O = HCO3- + H+, which is fundamental to many processes such as respiration, renal tubular acidification and bone resorption (1-3). Topics in the CA meeting (6th International Conference on the CAs, June 20-25, 2003, in Slovakia) ranged from use of CAs as markers for tumor and hypoxia in clinic, as nutritional supplement in milk, and as a tool for CO2 removal and mosquito control in industry. CA9, also known as membrane antigen MN and renal cell carcinoma (RCC)-associated antigen G250, is a transmembrane enzyme expressed primarily in carcinoma cells. It is one of the best markers for hypoxia and for RCC (4, 5). Recombinant human CA9 corresponds to the extracellular portion of human CA9.
- Pastorek, J. et al. (1994) Oncogene 9: 2877.
- Opavsky, R. et al. (1996) Genomics 33: 480.
- Hewett-Emmett, D. and R.E. Tashian (1996) Mol. Phylogenet. Evol. 5:50.
- Kaluzova, M. et al. (2004) Mol. Cell Biol. 24:5757.
- Mukouyama, H. et al. (2004) Clin. Cancer Res. 10:1421.
Product Datasheets
Citations for Human Carbonic Anhydrase IX/CA9 Antibody
R&D Systems personnel manually curate a database that contains references using R&D Systems products. The data collected includes not only links to publications in PubMed, but also provides information about sample types, species, and experimental conditions.
18
Citations: Showing 1 - 10
Filter your results:
Filter by:
-
Pathology-oriented multiplexing enables integrative disease mapping
Authors: Kuehl, M;Okabayashi, Y;Wong, MN;Gernhold, L;Gut, G;Kaiser, N;Schwerk, M;Gräfe, SK;Ma, FY;Tanevski, J;Schäfer, PSL;Mezher, S;Sarabia Del Castillo, J;Goldbeck-Strieder, T;Zolotareva, O;Hartung, M;Delgado Chaves, FM;Klinkert, L;Gnirck, AC;Spehr, M;Fleck, D;Joodaki, M;Parra, V;Shaigan, M;Diebold, M;Prinz, M;Kranz, J;Kux, JM;Braun, F;Kretz, O;Wu, H;Grahammer, F;Heins, S;Zimmermann, M;Haas, F;Kylies, D;Wanner, N;Czogalla, J;Dumoulin, B;Zolotarev, N;Lindenmeyer, M;Karlson, P;Nyengaard, JR;Sebode, M;Weidemann, S;Wiech, T;Groene, HJ;Tomas, NM;Meyer-Schwesinger, C;Kuppe, C;Kramann, R;Karras, A;Bruneval, P;Tharaux, PL;Pastene, D;Yard, B;Schaub, JA;McCown, PJ;Pyle, L;Choi, YJ;Yokoo, T;Baumbach, J;Sáez, PJ;Costa, I;Turner, JE;Hodgin, JB;Saez-Rodriguez, J;Huber, TB;Bjornstad, P;Kretzler, M;Lenoir, O;Nikolic-Paterson, DJ;Pelkmans, L;Bonn, S;Puelles, VG;
Nature
Species: Human
Sample Types: Whole Tissue
Applications: IF/IHC -
Acid-exposed and hypoxic cancer cells do not overlap but are interdependent for unsaturated fatty acid resources
Authors: G?owacka, K;Ibanez, S;Renoult, O;Vermonden, P;Giolito, MV;Özkan, K;Degavre, C;Aubert, L;Guilbaud, C;Laloux-Morris, F;Richiardone, E;Ambroise, J;Bouzin, C;Brusa, D;Dehairs, J;Swinnen, J;Corbet, C;Larondelle, Y;Feron, O;
Nature communications
Species: Human, Mouse
Sample Types: Spheroid, Whole Tissue
Applications: Immunohistochemistry, Immunocytochemistry -
Multiplex imaging of breast cancer lymph node metastases identifies prognostic single-cell populations independent of clinical classifiers
Authors: Jana Raja Fischer, Hartland Warren Jackson, Natalie de Souza, Zsuzsanna Varga, Peter Schraml, Holger Moch et al.
Cell Reports Medicine
-
Single-cell proteomics defines the cellular heterogeneity of localized prostate cancer
Authors: Laura De Vargas Roditi, Andrea Jacobs, Jan H. Rueschoff, Pete Bankhead, Stéphane Chevrier, Hartland W. Jackson et al.
Cell Reports Medicine
-
Increased Ascorbate Content of Glioblastoma Is Associated With a Suppressed Hypoxic Response and Improved Patient Survival
Authors: Eleanor R. Burgess, Rebekah L. I. Crake, Elisabeth Phillips, Helen R. Morrin, Janice A. Royds, Tania L. Slatter et al.
Frontiers in Oncology
Species: Human
Sample Types: Tissue Homogenates
Applications: Western Blot -
Isolation and characterization of monoclonal antibodies against human carbonic anhydrase-IX
Authors: Anne E.G. Lenferink, Paul C. McDonald, Christiane Cantin, Suzanne Grothé, Mylene Gosselin, Jason Baardsnes et al.
mAbs
-
Development and initial clinical testing of a multiplexed circulating tumor cell assay in patients with clear cell renal cell carcinoma
Authors: Rory M. Bade, Jennifer L. Schehr, Hamid Emamekhoo, Benjamin K. Gibbs, Tamara S. Rodems, Matthew C. Mannino et al.
Molecular Oncology
-
Genome-wide synthetic lethal screen unveils novel CAIX-NFS1/xCT axis as a targetable vulnerability in hypoxic solid tumors
Authors: SC Chafe, FS Vizeacouma, G Venkateswa, O Nemirovsky, S Awrey, WS Brown, PC McDonald, F Carta, A Metcalfe, JM Karasinska, L Huang, SK Muthuswamy, DF Schaeffer, DJ Renouf, CT Supuran, FJ Vizeacouma, S Dedhar
Science Advances, 2021-08-27;7(35):.
Species: Human
Sample Types: Cell Lysates
Applications: Western Blot -
De novo and cell line models of human mammary cell transformation reveal an essential role for Yb-1 in multiple stages of human breast cancer
Authors: S Lefort, A El-Naggar, S Tan, S Colborne, GL Negri, D Pellacani, M Hirst, B Gusterson, GB Morin, PH Sorensen, CJ Eaves
Cell Death and Differentiation, 2021-07-22;0(0):.
Species: Human
Sample Types: Whole Tissue
Applications: IHC -
Vitamin C Administration by Intravenous Infusion Increases Tumor Ascorbate Content in Patients With Colon Cancer: A Clinical Intervention Study
Authors: Gabi U. Dachs, Jamish Gandhi, Christina Wohlrab, Anitra C. Carr, Helen R. Morrin, Juliet M. Pullar et al.
Frontiers in Oncology
-
Harnessing Induced Essentiality: Targeting Carbonic Anhydrase IX and Angiogenesis Reduces Lung Metastasis of Triple Negative Breast Cancer Xenografts
Authors: EE Hedlund, PC McDonald, O Nemirovsky, S Awrey, LDE Jensen, S Dedhar
Cancers (Basel), 2019-07-17;11(7):.
Species: Xenograft
Sample Types: Whole Tissue
Applications: IHC, IHC-P -
A Single-Cell Atlas of the Tumor and Immune Ecosystem of Human Breast Cancer
Authors: Johanna Wagner, Maria Anna Rapsomaniki, Stéphane Chevrier, Tobias Anzeneder, Claus Langwieder, August Dykgers et al.
Cell
Species: Human
Sample Types: Whole Cells
Applications: Immunocytochemistry -
Activation of the hypoxia pathway in breast cancer tissue and patient survival are inversely associated with tumor ascorbate levels
Authors: EJ Campbell, GU Dachs, HR Morrin, VC Davey, BA Robinson, MCM Vissers
BMC Cancer, 2019-04-03;19(1):307.
Species: Human
Sample Types: Tissue Homogenates
Applications: Western Blot -
The Association Between Ascorbate and the Hypoxia-Inducible Factors in Human Renal Cell Carcinoma Requires a Functional Von Hippel-Lindau Protein
Authors: Christina Wohlrab, Margreet C. M. Vissers, Elisabeth Phillips, Helen Morrin, Bridget A. Robinson, Gabi U. Dachs
Frontiers in Oncology
-
Compensation of Signal Spillover in Suspension and Imaging Mass Cytometry
Authors: S Chevrier, HL Crowell, VRT Zanotelli, S Engler, MD Robinson, B Bodenmille
Cell Syst, 2018-03-28;0(0):.
Species: Human
Sample Types: Whole Cells, Whole Tissue
Applications: CyTof -
The interactome of metabolic enzyme carbonic anhydrase IX reveals novel roles in tumor cell migration and invadopodia/MMP14-mediated invasion
Authors: M Swayampaku, PC McDonald, M Vallejo, E Coyaud, SC Chafe, A Westerback, G Venkateswa, J Shankar, G Gao, EMN Laurent, Y Lou, KL Bennewith, CT Supuran, IR Nabi, B Raught, S Dedhar
Oncogene, 2017-07-10;36(45):6244-6261.
Species: Human
Sample Types: Cell Lysates
Applications: Western Blot -
Role of hypoxia and EGF on expression, activity, localization and phosphorylation of carbonic anhydrase IX in MDA-MB-231 breast cancer cells.
Authors: Li Y, Wang H, Tu C et al.
Biochim Biophys Acta.
-
A Map of Human Type 1 Diabetes Progression by Imaging Mass Cytometry
Authors: Damond N, Engler S, Zanotelli VRT et al.
Cell Metab.
FAQs
No product specific FAQs exist for this product, however you may
View all Antibody FAQsReviews for Human Carbonic Anhydrase IX/CA9 Antibody
Average Rating: 5 (Based on 1 Review)
Have you used Human Carbonic Anhydrase IX/CA9 Antibody?
Submit a review and receive an Amazon gift card.
$25/€18/£15/$25CAN/¥75 Yuan/¥2500 Yen for a review with an image
$10/€7/£6/$10 CAD/¥70 Yuan/¥1110 Yen for a review without an image
Filter by:
Immunohistochemistry was performed on FFPE tissue section. Heat induced antigen retrieval was performed by heating section in citrate buffer (pH 6) at 95C for 20 minutes.
