Human CRACC/SLAMF7 Antibody Summary
Lys27-Ser225
Accession # Q9NQ25
Applications
Please Note: Optimal dilutions should be determined by each laboratory for each application. General Protocols are available in the Technical Information section on our website.
Scientific Data
View Larger
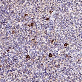
Detection of CRACC/SLAMF7 in Human Tonsil. CRACC/SLAMF7 was detected in immersion fixed paraffin-embedded sections of Human Tonsil using Mouse Anti-Human CRACC/SLAMF7 Monoclonal Antibody (Catalog # MAB19061) at 5 µg/mL for 1 hour at room temperature followed by incubation with the Anti-Mouse IgG VisUCyte™ HRP Polymer Antibody (Catalog # VC001). Before incubation with the primary antibody, tissue was subjected to heat-induced epitope retrieval using VisUCyte Antigen Retrieval Reagent-Basic (Catalog # VCTS021). Tissue was stained using DAB (brown) and counterstained with hematoxylin (blue). Specific staining was localized to cytoplasm in lymphocytes. View our protocol for IHC Staining with VisUCyte HRP Polymer Detection Reagents.
Reconstitution Calculator
Preparation and Storage
- 12 months from date of receipt, -20 to -70 °C as supplied.
- 1 month, 2 to 8 °C under sterile conditions after reconstitution.
- 6 months, -20 to -70 °C under sterile conditions after reconstitution.
Background: CRACC/SLAMF7
CRACC, also known as CSI (CD2 subset I), is a type I transmembrane protein belonging to the CD2 subset of the Ig superfamily. CRACC is expressed on most NK cells and subsets of CD8+ cells, CD4+ cells and B cells. CRACC may play a role in the activation and effector function of T cells and NK cells.
Product Datasheets
FAQs
No product specific FAQs exist for this product, however you may
View all Antibody FAQsReviews for Human CRACC/SLAMF7 Antibody
There are currently no reviews for this product. Be the first to review Human CRACC/SLAMF7 Antibody and earn rewards!
Have you used Human CRACC/SLAMF7 Antibody?
Submit a review and receive an Amazon gift card.
$25/€18/£15/$25CAN/¥75 Yuan/¥2500 Yen for a review with an image
$10/€7/£6/$10 CAD/¥70 Yuan/¥1110 Yen for a review without an image
