Human GM2/GD2 Synthase/ B4GALNT1 Antibody Summary
Ser26-Gln533
Accession # Q00973
Applications
Please Note: Optimal dilutions should be determined by each laboratory for each application. General Protocols are available in the Technical Information section on our website.
Scientific Data
View Larger
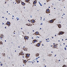
GM2/GD2 Synthase/ B4GALNT1 in Human Brain Hippocampus Tissue. GM2/GD2 Synthase/ B4GALNT1 was detected in immersion fixed paraffin-embedded sections of human brain (hippocampus) tissue using Mouse Anti-Human GM2/GD2 Synthase/ B4GALNT1 Monoclonal Antibody (Catalog # MAB10503) at 5 µg/mL for 1 hour at room temperature followed by incubation with the Anti-Mouse IgG VisUCyte™ HRP Polymer Antibody (VC001). Before incubation with the primary antibody, tissue was subjected to heat-induced epitope retrieval using Antigen Retrieval Reagent-Basic (CTS013). Tissue was stained using DAB (brown) and counterstained with hematoxylin (blue). Specific staining was localized to cytoplasm in neurons. Staining was performed using our protocol for IHC Staining with VisUCyte HRP Polymer Detection Reagents.
Reconstitution Calculator
Preparation and Storage
- 12 months from date of receipt, -20 to -70 °C as supplied.
- 1 month, 2 to 8 °C under sterile conditions after reconstitution.
- 6 months, -20 to -70 °C under sterile conditions after reconstitution.
Background: GM2/GD2 Synthase/ B4GALNT1
B4GALNT1, also known as GM2/GD2 Synthase, is an enzyme involved in the biosynthesis of brain-enriched complex gangliosides GM2, GD2, GT2 and GA2 from GM3, GD3, GT3 and GA3. This is a critical step in the synthesis of all complex gangliosides enriched in the nervous system of vertebrates.
Product Datasheets
FAQs
No product specific FAQs exist for this product, however you may
View all Antibody FAQsReviews for Human GM2/GD2 Synthase/ B4GALNT1 Antibody
There are currently no reviews for this product. Be the first to review Human GM2/GD2 Synthase/ B4GALNT1 Antibody and earn rewards!
Have you used Human GM2/GD2 Synthase/ B4GALNT1 Antibody?
Submit a review and receive an Amazon gift card.
$25/€18/£15/$25CAN/¥75 Yuan/¥2500 Yen for a review with an image
$10/€7/£6/$10 CAD/¥70 Yuan/¥1110 Yen for a review without an image
