Human Ig Lambda Light Chain Antibody Summary
*Small pack size (-SP) is supplied either lyophilized or as a 0.2 µm filtered solution in PBS.
Applications
This antibody functions as an ELISA detection antibody when paired with Mouse Anti-Human Ig Lambda Light Chain Monoclonal Antibody (Catalog # MAB100491).
This product is intended for assay development on various assay platforms requiring antibody pairs.
Please Note: Optimal dilutions should be determined by each laboratory for each application. General Protocols are available in the Technical Information section on our website.
Scientific Data
View Larger
Detection of IgLambda in Human Tonsil via seqIF™ staining on COMET™ IgLambda was detected in immersion fixed paraffin-embedded sections of human Tonsil using Mouse Anti-Human IgLambda, Monoclonal Antibody (Catalog # MAB10049) at 0.5ug/mL at 37 ° Celsius for 4 minutes. Before incubation with the primary antibody, tissue underwent an all-in-one dewaxing and antigen retrieval preprocessing using PreTreatment Module (PT Module) and Dewax and HIER Buffer H (pH 9; Epredia Catalog # TA-999-DHBH). Tissue was stained using the Alexa Fluor™ 555 Goat anti-Mouse IgG Secondary Antibody at 1:100 at 37 ° Celsius for 2 minutes. (Yellow; Lunaphore Catalog # DR555MS) and counterstained with DAPI (blue; Lunaphore Catalog # DR100). Specific staining was localized to the cytoplasm. Protocol available in COMET™ Panel Builder.
View Larger
Detection of Human IgG Lambda Light Chain by Western Blot. Western blot shows human kappa light chain protein, human lambda light chain protein, human serum, primate serum, mouse serum, and rat serum. PVDF membrane was probed with 2 µg/mL of Mouse Anti-Human Ig Lambda Light Chain Monoclonal Antibody (Catalog # MAB10049) followed by HRP-conjugated Anti-Mouse IgG Secondary Antibody (Catalog # HAF018). A specific band was detected for Ig Lambda Light Chain at approximately 25 kDa (as indicated). This experiment was conducted under reducing conditions and using Immunoblot Buffer Group 1.
View Larger
Detection of Human Ig Lambda Light Chain by Simple WesternTM. Simple Western lane view shows lysates of human kappa light chain protein (negative control), human lambda light chain protein, and human serum, loaded at 0.2 mg/mL. A specific band was detected for Ig Lambda Light Chain at approximately 35 kDa (as indicated) using 20 µg/mL of Mouse Anti-Human Ig Lambda Light Chain Monoclonal Antibody (Catalog # MAB10049). This experiment was conducted under reducing conditions and using the 12-230 kDa separation system.
View Larger
Human Ig Lambda Light Chain ELISA Standard Curve. Human Ig Lambda Light Chain protein was serially diluted 2-fold and captured by Mouse Anti-Human Ig Lambda Light Chain Monoclonal Antibody (Catalog # MAB100491) coated on a Clear Polystyrene Microplate (Catalog # DY990). Mouse Anti-Human Ig Lambda Light Chain Monoclonal Antibody (Catalog # MAB10049) was biotinylated and incubated with the protein captured on the plate. Detection of the standard curve was achieved by incubating Streptavidin-HRP (Catalog # DY998) followed by Substrate Solution (Catalog # DY999) and stopping the enzymatic reaction with Stop Solution (Catalog # DY994).
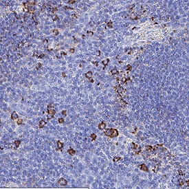
View Larger
Detection of Ig Lambda Light Chain in Human Tonsil. Ig Lambda Light Chain was detected in immersion fixed paraffin-embedded sections of human tonsil using Mouse Anti-Human Ig Lambda Light Chain Monoclonal Antibody (Catalog # MAB10049) at 5 µg/ml for 1 hour at room temperature followed by incubation with the Anti-Mouse IgG VisUCyte™ HRP Polymer Antibody (Catalog # VC001). Before incubation with the primary antibody, tissue was subjected to heat-induced epitope retrieval using VisUCyte Antigen Retrieval Reagent-Basic (Catalog # VCTS021). Tissue was stained using DAB (brown) and counterstained with hematoxylin (blue). Specific staining was localized to the cytoplasm. View our protocol for IHC Staining with VisUCyte HRP Polymer Detection Reagents.
Reconstitution Calculator
Preparation and Storage
- 12 months from date of receipt, -20 to -70 °C as supplied.
- 1 month, 2 to 8 °C under sterile conditions after reconstitution.
- 6 months, -20 to -70 °C under sterile conditions after reconstitution.
Background: Ig Lambda Light Chain
The immunoglobulin light chain is the smaller subunit of an antibody and in humans can be expressed in two types: as a kappa ( kappa ) or a lambda ( lambda ) chain. Antibodies are produced by B-Cells that are clonal and each expresses only one type of light chain. The light chain
class remains fixed for the life of the B lymphocyte. The ratio of kappa and lambda light chains can be used to determine disease status by immunohistochemistry or ELISA based assays.
Product Datasheets
FAQs
No product specific FAQs exist for this product, however you may
View all Antibody FAQsReviews for Human Ig Lambda Light Chain Antibody
There are currently no reviews for this product. Be the first to review Human Ig Lambda Light Chain Antibody and earn rewards!
Have you used Human Ig Lambda Light Chain Antibody?
Submit a review and receive an Amazon gift card.
$25/€18/£15/$25CAN/¥75 Yuan/¥2500 Yen for a review with an image
$10/€7/£6/$10 CAD/¥70 Yuan/¥1110 Yen for a review without an image
