Human IGFBP-5 Antibody Summary
Glu28-Glu272
Accession # P24593
Applications
under non-reducing conditions only
Please Note: Optimal dilutions should be determined by each laboratory for each application. General Protocols are available in the Technical Information section on our website.
Scientific Data
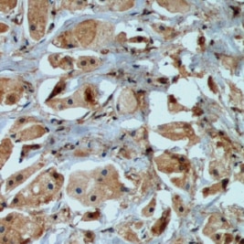
View Larger
IGFBP‑5 in Human placenta. IGFBP-5 was detected in immersion fixed paraffin-embedded sections of human placenta using 25 µg/mL Human IGFBP-5 Monoclonal Antibody (Catalog # MAB875) overnight at 4 °C. Tissue was stained with the Anti-Mouse HRP-DAB Cell & Tissue Staining Kit (brown; Catalog # CTS002) and counterstained with hematoxylin (blue). View our protocol for Chromogenic IHC Staining of Paraffin-embedded Tissue Sections.
Reconstitution Calculator
Preparation and Storage
- 12 months from date of receipt, -20 to -70 °C as supplied.
- 1 month, 2 to 8 °C under sterile conditions after reconstitution.
- 6 months, -20 to -70 °C under sterile conditions after reconstitution.
Background: IGFBP-5
The superfamily of insulin-like growth factor (IGF) binding proteins include the six high-affinity IGF binding proteins (IGFBP) and at least four additional low-affinity binding proteins referred to as IGFBP related proteins (IGFBP-rP). All IGFBP superfamily members are cysteine-rich proteins with conserved cysteine residues, which are clustered in the amino- and carboxy-terminal thirds of the molecule. IGFBPs modulate the biological activities of IGF proteins. Some IGFBPs may also have intrinsic bioactivity that is independent of their ability to bind IGF proteins. Post-transitional modifications of IGFBP, including glycosylation, phosphorylation and proteolysis, have been shown to modify the affinities of the binding proteins to IGF.
Human IGFBP-5 cDNA encodes a 272 amino acid (aa) residue precursor protein with a putative 20 aa residue signal peptide that is processed to generate the 252 aa residue mature protein that is post-translationally modified by O-glycosylations and serine phosphorylations. IGFBP-5 is expressed by fibroblasts, myoblasts and osteoblasts, making it the predominant IGFBP found in bone extracts. IGFBP-5 has a strong affinity for hydroxyapatite, allowing it to bind to bone cells. When bound to extracellular matrix, IGFBP-5 is protected from proteolysis and potentiates IGF activity, but when it is soluble, IGFBP-5 is cleaved to a biologically inactive 21 kDa fragment.
- Jones, J.I. and D.R. Clemmons (1995) Endocrine Rev. 16:3.
- Kelley, K.M. et al. (1996) Int. J. Biochem. Cell Biol. 28:619.
Product Datasheets
Citation for Human IGFBP-5 Antibody
R&D Systems personnel manually curate a database that contains references using R&D Systems products. The data collected includes not only links to publications in PubMed, but also provides information about sample types, species, and experimental conditions.
1 Citation: Showing 1 - 1
-
IGFBP-5 enhances epithelial cell adhesion and protects epithelial cells from TGF beta 1-induced mesenchymal invasion
Authors: A. Vijayan, D. Guha, F. Ameer, I. Kaziri, C.C. Mooney, L. Bennett et al.
The International Journal of Biochemistry & Cell Biology
Species: Human
Sample Types: Tissue Array
Applications: Immunohistochemistry
FAQs
No product specific FAQs exist for this product, however you may
View all Antibody FAQsReviews for Human IGFBP-5 Antibody
Average Rating: 5 (Based on 2 Reviews)
Have you used Human IGFBP-5 Antibody?
Submit a review and receive an Amazon gift card.
$25/€18/£15/$25CAN/¥75 Yuan/¥2500 Yen for a review with an image
$10/€7/£6/$10 CAD/¥70 Yuan/¥1110 Yen for a review without an image
Filter by:
