Human IL-2 Antibody Summary
Ala21-Thr153
Accession # NP_000577
Applications
Please Note: Optimal dilutions should be determined by each laboratory for each application. General Protocols are available in the Technical Information section on our website.
Scientific Data
View Larger
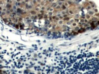
IL-2 in Human Stomach. IL-2 was detected in immersion fixed paraffin-embedded sections of human stomach using Mouse Anti-Human IL-2 Monoclonal Antibody (Catalog # MAB2022) at 5 µg/mL for 1 hour at room temperature followed by incubation with the Anti-Mouse IgG VisUCyte™ HRP Polymer Antibody (Catalog # VC001). Before incubation with the primary antibody, tissue was subjected to heat-induced epitope retrieval using Antigen Retrieval Reagent-Basic (Catalog # CTS013). Tissue was stained using DAB (brown) and counterstained with hematoxylin (blue). Specific staining was localized to intestinal glands. View our protocol for IHC Staining with VisUCyte HRP Polymer Detection Reagents.
Reconstitution Calculator
Preparation and Storage
- 12 months from date of receipt, -20 to -70 °C as supplied.
- 1 month, 2 to 8 °C under sterile conditions after reconstitution.
- 6 months, -20 to -70 °C under sterile conditions after reconstitution.
Background: IL-2
Interleukin 2 (IL-2) is a cytokine that stimulates the growth and differentiation of B cells, T cells, NK cells, and monocyte/macrophages. It functions through the heterotrimeric IL-2 receptor comprising alpha, beta, and gamma chains.
Product Datasheets
FAQs
No product specific FAQs exist for this product, however you may
View all Antibody FAQsReviews for Human IL-2 Antibody
Average Rating: 5 (Based on 1 Review)
Have you used Human IL-2 Antibody?
Submit a review and receive an Amazon gift card.
$25/€18/£15/$25CAN/¥75 Yuan/¥2500 Yen for a review with an image
$10/€7/£6/$10 CAD/¥70 Yuan/¥1110 Yen for a review without an image
Filter by:
