Human Myoglobin Antibody Summary
Accession # P02144
Applications
This antibody functions as an ELISA detection antibody when paired with Mouse Anti-Human/Mouse/Rat Myoglobin Monoclonal Antibody (Catalog # MAB97201). In sandwich immunoassays, the antibody pair is specific for human Myoglobin.
This product is intended for assay development on various assay platforms requiring antibody pairs.
Please Note: Optimal dilutions should be determined by each laboratory for each application. General Protocols are available in the Technical Information section on our website.
Scientific Data
View Larger
Detection of Human Myoglobin by Western Blot. Western blot shows lysates of human heart tissue, mouse heart tissue (negative control), rat heart tissue (negative control), and human liver tissue (negative control). PVDF membrane was probed with 0.05 µg/mL of Mouse Anti-Human Myoglobin Monoclonal Antibody (Catalog # MAB97202) followed by HRP-conjugated Anti-Mouse IgG Secondary Antibody (Catalog # HAF018). A specific band was detected for Myoglobin at approximately 18 kDa (as indicated). This experiment was conducted under reducing conditions and using Immunoblot Buffer Group 1.
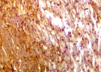
View Larger
Myoglobin in Human Heart. Myoglobin was detected in immersion fixed paraffin-embedded sections of human heart using Mouse Anti-Human Myoglobin Monoclonal Antibody (Catalog # MAB97202) at 1.7 µg/mL for 1 hour at room temperature followed by incubation with the Anti-Mouse IgG VisUCyte™ HRP Polymer Antibody (Catalog # VC001). Tissue was stained using DAB (brown) and counterstained with hematoxylin (blue). Specific staining was localized to sarcoplasm. View our protocol for IHC Staining with VisUCyte HRP Polymer Detection Reagents.
View Larger
Detection of Human Myoglobin by Simple WesternTM. Simple Western lane view shows lysates of human heart tissue, loaded at 0.5 mg/mL. A specific band was detected for Myoglobin at approximately 22 kDa (as indicated) using 10 µg/mL of Mouse Anti-Human Myoglobin Monoclonal Antibody (Catalog # MAB97202). This experiment was conducted under reducing conditions and using the 12-230 kDa separation system.
Reconstitution Calculator
Preparation and Storage
- 12 months from date of receipt, -20 to -70 °C as supplied.
- 1 month, 2 to 8 °C under sterile conditions after reconstitution.
- 6 months, -20 to -70 °C under sterile conditions after reconstitution.
Background: Myoglobin
Myoglobin is a 17KDa cytoplasmic oxygen-binding protein encoded by the MB gene and expressed in myocytes of the heart and skeletal muscle. Its name derives from its structural and functional similarity to hemoglobin, the oxygen binding protein found in red blood cells. Functions of myoglobin include oxygen storage and transport, as well as scavenging of NO and reactive oxygen species. Myoglobin also serves as a sensitive marker for muscle injury resulting from cardiac infarction. Myoglobin was the first protein to have its three-dimensional structure determined by X-ray crystallography.
Product Datasheets
FAQs
No product specific FAQs exist for this product, however you may
View all Antibody FAQsReviews for Human Myoglobin Antibody
Average Rating: 5 (Based on 1 Review)
Have you used Human Myoglobin Antibody?
Submit a review and receive an Amazon gift card.
$25/€18/£15/$25CAN/¥75 Yuan/¥2500 Yen for a review with an image
$10/€7/£6/$10 CAD/¥70 Yuan/¥1110 Yen for a review without an image
Filter by:
