Human Osteoactivin/GPNMB Antibody Summary
Met1-Pro486
Accession # Q14956
Applications
Please Note: Optimal dilutions should be determined by each laboratory for each application. General Protocols are available in the Technical Information section on our website.
Scientific Data
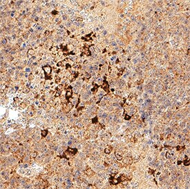
View Larger
Detection of Osteoactivin/GPNMB in Human Melanoma. Osteoactivin/GPNMB was detected in immersion fixed paraffin-embedded sections of human melanoma using Mouse Anti-Human Osteoactivin/GPNMB Monoclonal Antibody (Catalog # MAB11534) at 0.5 µg/ml for 1 hour at room temperature followed by incubation with the HRP-conjugated Anti-Mouse IgG Secondary Antibody (Catalog # HAF007) or the Anti-Mouse IgG VisUCyte™ HRP Polymer Antibody (Catalog # VC001). Before incubation with the primary antibody, tissue was subjected to heat-induced epitope retrieval using VisUCyte Antigen Retrieval Reagent-Basic (Catalog # VCTS021). Tissue was stained using DAB (brown) and counterstained with hematoxylin (blue). Specific staining was localized to the cytoplasm and membrane. View our protocol for Chromogenic IHC Staining of Paraffin-embedded Tissue Sections.
View Larger
Detection of Osteoactivin/GPNMB in RT-4 Human Cell Line and MOLT‑4 Human Cell Line. Osteoactivin/GPNMB was detected in fixed RT-4 human bladder carcinoma cell line and MOLT‑4 human acute lymphoblastic leukemia cell line using Mouse Anti-Human Osteoactivin/GPNMB Monoclonal Antibody (Catalog # MAB11534) at 8 µg/ml for 3 hours at room temperature. Cells were stained using the NorthernLights™ 557-conjugated Anti-Mouse IgG Secondary Antibody (red; Catalog # NL007) and counterstained with DAPI (blue). Specific staining was localized to the cytoplasm and membrane. View our protocol for Fluorescent ICC Staining of Cells on Coverslips.
Reconstitution Calculator
Preparation and Storage
- 12 months from date of receipt, -20 to -70 °C as supplied.
- 1 month, 2 to 8 °C under sterile conditions after reconstitution.
- 6 months, -20 to -70 °C under sterile conditions after reconstitution.
Background: Osteoactivin/GPNMB
Osteoactivin (also GPNMB and DC-HIL) is a variably glycosylated 75-125 kDa member of the NMB/pMEL-17 family of molecules. It is found in multiple subcellular sites, but is most often associated with the endosomal/lysosomal compartment (1-3). Human Osteoactivin is a 560 amino acid (aa) type I transmembrane protein. Its precursor contains a 21 aa signal sequence, a 465 aa luminal/extracellular domain, a 21 aa transmembrane segment and a 53 aa cytoplasmic tail (4, 5). The luminal region contains an N-terminal heparin-binding motif (aa 23-26), multiple glycosylation sites, an RGD motif (aa 64-66) and an 88 aa PKD domain (aa 240-327). The intracellular tail has an ITAM (Y-x-x-I) and lysosomal targeting (L-L) motif (4, 5). The extracellular/luminal region shares 74% and 77% aa identity with the equivalent regions in mouse and canine, respectively. Multiple isoforms would appear to exist. There is one alternate splice form known that shows a 12 aa insert between aa 339-340 (6). An addtional 206 aa isoform shows a mutation at position # 181 that results in a 26 aa substitution for the C-terminal 380 amino acids (7, 8). This has the potential to be soluble and may represent a counterpart to a secreted isoform of rat Osteoactivin (9). Cells known to express Osteoactivin include macrophages/Kupffer cells, fibroblasts, osteoblasts, myeloid dendritic cells, retinal pigment epithelial cells and melanocytes, plus fetal chondrocytes and stratum basale keratinocytes (3-5, 10-12). In mice, Osteoactivin is reported to bind to heparan sulfate-proteoglycan, possibly on the surface of endothelial cells and may also interact with integrins (13). It also appears to act as an inflammatory suppressor gene, as its expression downregulates the macrophage inflammatory response by inhibiting IL-6 and IL-12 p40 production (3).
- Bachner, D. et al. (2002) Gene Exp. Patterns 1:159.
- Safadi, F.F. et al. (2002) J. Cell. Biochem. 84:12.
- Ripoll, V.M. et al. (2007) J. Immunol. 178:6557.
- Owen, T.A. et al. (2003) Crit. Rev. Eukaryot. Gene Expr. 13:205.
- Weterman, M.A.J. et al. (1995) Int. J. Cancer 60:73.
- Kuan, C-T. et al. (2006) Clin. Cancer Res. 12:1970.
- Lennerz, V. et al. (2005) Proc. Natl. Acad. Sci. USA 102:16013.
- Genbank Accession # AAH11595.
- Abdelmagid, S.M. et al. (2007) J. Cell. Physiol. 210:26.
- Haralanova-Ilieva, B. et al. (2005) J. Hepatol. 42:565.
- Ahn, J.H. et al. (2002) Blood 100:1742.
- Anderson, M.G. et al. (2002) Nat. Genet. 30:81.
- Shikano, S. et al. (2001) J. Biol. Chem. 276:8125.
Product Datasheets
FAQs
No product specific FAQs exist for this product, however you may
View all Antibody FAQsReviews for Human Osteoactivin/GPNMB Antibody
There are currently no reviews for this product. Be the first to review Human Osteoactivin/GPNMB Antibody and earn rewards!
Have you used Human Osteoactivin/GPNMB Antibody?
Submit a review and receive an Amazon gift card.
$25/€18/£15/$25CAN/¥75 Yuan/¥2500 Yen for a review with an image
$10/€7/£6/$10 CAD/¥70 Yuan/¥1110 Yen for a review without an image
