Human PlGF-3 Antibody Summary
Leu19-Arg221
Accession # P49763
Applications
Please Note: Optimal dilutions should be determined by each laboratory for each application. General Protocols are available in the Technical Information section on our website.
Scientific Data
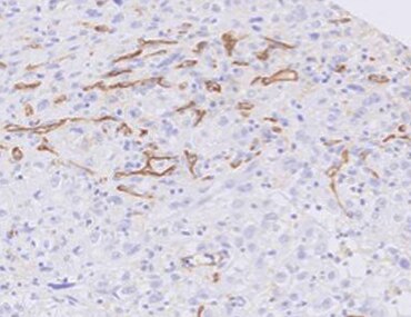
View Larger
PlGF-3 in Human Placenta. PlGF-3 was detected in immersion fixed paraffin-embedded sections of human placenta using Mouse Anti-Human PlGF-3 Monoclonal Antibody (Catalog # MAB7758) at 5 µg/mL for 1 hour at room temperature followed by incubation with the Anti-Mouse IgG VisUCyte™ HRP Polymer Antibody (VC001). Before incubation with the primary antibody, tissue was subjected to heat-induced epitope retrieval using Antigen Retrieval Reagent-Basic (CTS013). Tissue was stained using DAB (brown) and counterstained with hematoxylin (blue). Specific staining was localized to decidual cells. Staining was performed using our protocol for IHC Staining with VisUCyte HRP Polymer Detection Reagents.
Reconstitution Calculator
Preparation and Storage
- 12 months from date of receipt, -20 to -70 °C as supplied.
- 1 month, 2 to 8 °C under sterile conditions after reconstitution.
- 6 months, -20 to -70 °C under sterile conditions after reconstitution.
Background: PlGF-3
Placenta growth factor (PlGF or PGF) is a member of the PDGF/VEGF family of growth factors that share a conserved pattern of eight cysteines (1‑3). Alternative splicing likely results in four human mature PlGF forms containing 131 (PlGF‑1), 152 (PlGF‑2), 203 (PlGF‑3), or 224 (PlGF-4) amino acids (aa) (1-3). The PlGF-3 form is limited to humans. PlGF-3 and PlGF-1 do not contain a heparin binding insert at the C‑terminus (1, 2). Within the region shared with other PlGF isoforms (aa 18-131), human PlGF‑3 shares 68%, 66%, 96%, 96%, 87% and 77% aa sequence identity with mouse, rat, porcine, equine, canine and bovine PlGF, respectively. PlGF is mainly found as a variably glycosylated, secreted, 55 ‑ 60 kDa, disulfide linked homodimer (1, 4). Mammalian cells expressing all forms of PlGF include villous trophoblasts and decidual cells, with smaller amounts in erythroblasts, keratinocytes and some endothelial cells (1-3, 5, 6). Circulating PlGF increases during pregnancy, reaching a peak in mid‑gestation; this increase is attenuated in preeclampsia (7). However, deletion of PlGF in the mouse, which expresses only PlGF-2, does not affect development or reproduction (3, 8). Postnatally, mice lacking PlGF show impaired angiogenesis in response to ischemia (8). PlGF binds and signals through VEGF R1/Flt‑1 and Neuropilins (some isoforms), but not VEGF R2/Flk‑1/KDR (3, 8-10). In contrast, VEGF binds both VEGF R1 and R2, but signals mainly through the angiogenic receptor, VEGF R2. PlGF and VEGF therefore compete for binding to VEGF R1, resulting in a PlGF inhibition of VEGF/VEGF R1 binding coupled to a subsequent promotion of VEGF/VEGF R2‑mediated angiogenesis (1, 3, 8, 9). However, PlGF (especially PlGF‑1) and some forms of VEGF can form dimers that can alter the angiogenic effect of VEGF on VEGF R2 (3, 4, 9). PlGF induces monocyte activation, migration, and production of inflammatory cytokines and VEGF (3). These activities facilitate wound and bone fracture healing, and also contribute to inflammation in active sickle cell disease and atherosclerosis (5, 6, 8, 11‑14). Circulating PlGF often correlates with tumor stage and aggressiveness (3, 14, 15).
- Cao, Y. et al. (1997) Biochem. Biophys. Res. Commun. 235:493.
- Yang, W. et al. (2003) J. Reprod. Immunol. 60:53.
- Ribatti, D. (2008) Angiogenesis 11:215.
- Eriksson, A. et al. (2002) Cancer Cell 1:99.
- Oura, H. et al. (2003) Blood 101:560.
- Roncal, C. et al. (2010) Cardiovasc. Res. 86:29.
- Levine, R.J. et al. (2004) N. Engl. J. Med. 350:672.
- Carmeliet, P. et al. (2001) Nat. Med. 7:575.
- Autiero, M. et al. (2003) Nat. Med. 9:936.
- Migdal, M. et al. (1998) J. Biol. Chem. 273:22272.
- Perelman, N. et al. (2003) Blood 102:1506.
- Cianfarani, F. et al. (2006) Am. J. Pathol. 169:1167.
- Maes, C. et al. (2006) J. Clin. Invest. 116:1230.
- Fischer, C. et al. (2008) Nat. Rev. Cancer 8:942.
- Schultze, A. et al. (2012) Clin. Exp. Metastasis Apr 8 [Epub ahead of print].
Product Datasheets
FAQs
No product specific FAQs exist for this product, however you may
View all Antibody FAQsReviews for Human PlGF-3 Antibody
Average Rating: 5 (Based on 1 Review)
Have you used Human PlGF-3 Antibody?
Submit a review and receive an Amazon gift card.
$25/€18/£15/$25CAN/¥75 Yuan/¥2500 Yen for a review with an image
$10/€7/£6/$10 CAD/¥70 Yuan/¥1110 Yen for a review without an image
Filter by:
