Human/Rat Angiogenin Antibody Summary
Gln25-Pro147
Accession # Q53X86
Applications
Please Note: Optimal dilutions should be determined by each laboratory for each application. General Protocols are available in the Technical Information section on our website.
Scientific Data
View Larger
Detection of Human and Rat Angiogenin by Western Blot. Western blot shows human plasma and rat plasma. PVDF membrane was probed with 0.5 µg/mL of Goat Anti-Human/Rat Angiogenin Antigen Affinity-purified Polyclonal Antibody (Catalog # AF265) followed by HRP-conjugated Anti-Goat IgG Secondary Antibody (Catalog # HAF017). A specific band was detected for Angiogenin at approximately 14 kDa (as indicated). This experiment was conducted under reducing conditions and using Immunoblot Buffer Group 1.
View Larger
Angiogenin in Rat Kidney. Angiogenin was detected in immersion fixed paraffin-embedded sections of rat kidney using Goat Anti-Human/Rat Angiogenin Antigen Affinity-purified Polyclonal Antibody (Catalog # AF265) at 1 µg/mL for 1 hour at room temperature followed by incubation with the Anti-Goat IgG VisUCyte™ HRP Polymer Antibody (VC004). Before incubation with the primary antibody, tissue was subjected to heat-induced epitope retrieval using Antigen Retrieval Reagent-Basic (CTS013). Tissue was stained using DAB (brown) and counterstained with hematoxylin (blue). Specific staining was localized to convoluted tubules. Staining was performed using our protocol for IHC Staining with VisUCyte HRP Polymer Detection Reagents.
View Larger
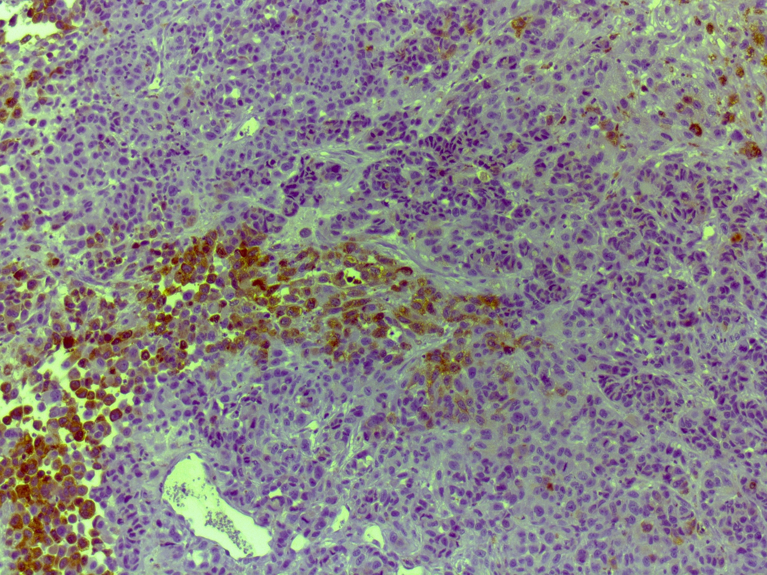
Angiogenin in Human Liver. Angiogenin was detected in immersion fixed paraffin-embedded sections of human liver using Goat Anti-Human/Rat Angiogenin Antigen Affinity-purified Polyclonal Antibody (Catalog # AF265) at 1 µg/mL for 1 hour at room temperature followed by incubation with the Anti-Goat IgG VisUCyte™ HRP Polymer Antibody (VC004). Before incubation with the primary antibody, tissue was subjected to heat-induced epitope retrieval using Antigen Retrieval Reagent-Basic (CTS013). Tissue was stained using DAB (brown) and counterstained with hematoxylin (blue). Specific staining was localized to hepatocytes. Staining was performed using our protocol for IHC Staining with VisUCyte HRP Polymer Detection Reagents.
View Larger
Detection of Human and Rat Angiogenin by Simple WesternTM. Simple Western lane view shows human plasma and rat plasma, loaded at 0.2 mg/mL. A specific band was detected for Angiogenin at approximately 20 kDa (as indicated) using 5 µg/mL of Goat Anti-Human/Rat Angiogenin Antigen Affinity-purified Polyclonal Antibody (Catalog # AF265) followed by 1:50 dilution of HRP-conjugated Anti-Goat IgG Secondary Antibody (Catalog # HAF109). This experiment was conducted under reducing conditions and using the 12-230 kDa separation system.
Reconstitution Calculator
Preparation and Storage
- 12 months from date of receipt, -20 to -70 °C as supplied.
- 1 month, 2 to 8 °C under sterile conditions after reconstitution.
- 6 months, -20 to -70 °C under sterile conditions after reconstitution.
Background: Angiogenin
Angiogenin was initially purified from serum-free media conditioned by growth of a human adenocarcinoma cell line HT-29 based on its ability to initiate vascularization in the chicken embryo chorioallantoic membrane. A number of other tumor, as well as normal, cell lines can also secrete Angiogenin. In addition, Angiogenin is present in normal human plasma at levels as high as 60‑120 ng/mL. Unlike other angiogenic factors such as FGF, Angiogenin is neither mitogenic nor chemotactic for vascular endothelial cells in vitro. However, Angiogenin can stimulate capillary and umbilical vein endothelial cells to produce diacylglycerol and secrete prostacyclin by phospholipase activation. Angiogenin, absorbed on plastic, can also support endothelial and fibroblast cell adhesion and spreading.
Surprisingly, Angiogenin has been found to be a member of the ribonuclease superfamily with approximately 35% sequence similarity at the amino acid level with pancreatic RNase. Angiogenin exhibits ribonucleolytic activity that is distinctly different than that of pancreatic RNase A. The ribonucleolytic activity of Angiogenin toward most RNase A substrates is much lower than that of RNase A. Nevertheless, the ribonucleolytic activity of Angiogenin is essential to its angiogenic activity since inhibition of the Angiogenin RNase activity will also abolish angiogenesis activity. Similar to several members of the RNase superfamily, Angiogenin is a cytotoxic agent that can abolish cellular protein synthesis. It has been demonstrated that Angiogenin-dependent protein synthesis inhibition can be attributed to the function of Angiogenin as a cytotoxic tRNA-specific RNAase.
A cell-surface Angiogenin binding protein has been purified and characterized. Tryptic peptide mapping and sequence analysis indicate that this binding protein is a member of the actin family.
Product Datasheets
Citations for Human/Rat Angiogenin Antibody
R&D Systems personnel manually curate a database that contains references using R&D Systems products. The data collected includes not only links to publications in PubMed, but also provides information about sample types, species, and experimental conditions.
7
Citations: Showing 1 - 7
Filter your results:
Filter by:
-
An essential role of PRMT1-mediated EGFR methylation in EGFR activation by ribonuclease 5
Authors: WJ Wang, JM Hsu, YN Wang, HH Lee, H Yamaguchi, HW Liao, MC Hung
Am J Cancer Res, 2019-01-01;9(1):180-185.
Species: Human
Sample Types: Cell Lysates
Applications: Western Blot -
Angiogenin/Ribonuclease 5 Is an EGFR Ligand and a Serum Biomarker for Erlotinib Sensitivity in Pancreatic Cancer
Authors: YN Wang, HH Lee, CK Chou, WH Yang, Y Wei, CT Chen, J Yao, JL Hsu, C Zhu, H Ying, Y Ye, WJ Wang, SO Lim, W Xia, HW Ko, X Liu, CG Liu, X Wu, H Wang, D Li, LR Prakash, MH Katz, Y Kang, M Kim, JB Fleming, D Fogelman, M Javle, A Maitra, MC Hung
Cancer Cell, 2018-03-29;33(4):752-769.e8.
Species: Human
Sample Types: Whole Tissue
Applications: IHC -
Pleiotropic activity of systemically delivered angiogenin in the SOD1G93Amouse model
Authors: M Crivello, SL O'Riordan, I Woods, S Cannon, L Halang, KS Coughlan, MC Hogg, SA Lewandowsk, JHM Prehn
Neuropharmacology, 2018-02-25;133(0):503-511.
Species: Human
Sample Types: Whole Tissue
Applications: IHC-Fr -
Dihydrotestosterone induces pro-angiogenic factors and assists homing of MSC into the cardiac tissue
Authors: Mirel-Adrian Popa, Maria-Cristina Mihai, Alina Constantin, Viorel Şuică, Cătălin Ţucureanu, Raluca Costache et al.
Journal of Molecular Endocrinology
Species: Human
Sample Types: Cell Lysates
Applications: Western Blot -
Small tRNA-derived RNAs are increased and more abundant than microRNAs in chronic hepatitis B and C.
Authors: Selitsky S, Baran-Gale J, Honda M, Yamane D, Masaki T, Fannin E, Guerra B, Shirasaki T, Shimakami T, Kaneko S, Lanford R, Lemon S, Sethupathy P
Sci Rep, 2015-01-08;5(0):7675.
Species: Human
Sample Types: Whole Tissue
Applications: IHC -
Mucin Muc2 deficiency and weaning influences the expression of the innate defense genes Reg3β, Reg3γ and angiogenin-4.
Authors: Burger-van Paassen N, Loonen LM, Witte-Bouma J, Korteland-van Male AM, de Bruijn AC, van der Sluis M, Lu P, Van Goudoever JB, Wells JM, Dekker J, Van Seuningen I, Renes IB
PLoS ONE, 2012-06-19;7(6):e38798.
Species: Mouse
Sample Types: Whole Tissue
Applications: IHC-P -
A neuroprotective role for angiogenin in models of Parkinson's disease.
Authors: Steidinger TU, Standaert DG, Yacoubian TA
J. Neurochem., 2010-12-22;116(3):334-41.
Species: Human, Mouse
Sample Types: Cell Lysates, Tissue Homogenates, Whole Cells
Applications: ICC, Western Blot
FAQs
No product specific FAQs exist for this product, however you may
View all Antibody FAQsReviews for Human/Rat Angiogenin Antibody
Average Rating: 4.5 (Based on 2 Reviews)
Have you used Human/Rat Angiogenin Antibody?
Submit a review and receive an Amazon gift card.
$25/€18/£15/$25CAN/¥75 Yuan/¥2500 Yen for a review with an image
$10/€7/£6/$10 CAD/¥70 Yuan/¥1110 Yen for a review without an image
Filter by:
