Human Syntaxin 1A Antibody Summary
Met1-Leu165
Accession # Q16623
Applications
Please Note: Optimal dilutions should be determined by each laboratory for each application. General Protocols are available in the Technical Information section on our website.
Scientific Data
View Larger
Detection of Human and Rat Syntaxin 1A by Western Blot. Western blot shows lysates of human brain tissue and rat brain tissue. PVDF membrane was probed with 0.1 µg/mL of Mouse Anti-Human Syntaxin 1A Monoclonal Antibody (Catalog # MAB7237) followed by HRP-conjugated Anti-Mouse IgG Secondary Antibody (Catalog # HAF018). A specific band was detected for Syntaxin 1A at approximately 35 kDa (as indicated). This experiment was conducted under reducing conditions and using Immunoblot Buffer Group 1.
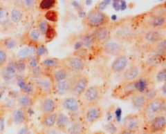
View Larger
Syntaxin 1A in Human Brain. Syntaxin 1A was detected in immersion fixed paraffin-embedded sections of human brain using Mouse Anti-Human Syntaxin 1A Monoclonal Antibody (Catalog # MAB7237) at 15 µg/mL overnight at 4 °C. Before incubation with the primary antibody, tissue was subjected to heat-induced epitope retrieval using Antigen Retrieval Reagent-Basic (Catalog # CTS013). Tissue was stained using the Anti-Mouse HRP-DAB Cell & Tissue Staining Kit (brown; Catalog # CTS002) and counterstained with hematoxylin (blue). Specific staining was localized to synaptic puncta. View our protocol for Chromogenic IHC Staining of Paraffin-embedded Tissue Sections.
Reconstitution Calculator
Preparation and Storage
- 12 months from date of receipt, -20 to -70 °C as supplied.
- 1 month, 2 to 8 °C under sterile conditions after reconstitution.
- 6 months, -20 to -70 °C under sterile conditions after reconstitution.
Background: Syntaxin 1A
STX1A (Syntaxin [Greek for 'organizing']1A; also HPC-1) is a 34-36 kDa member of the syntaxin family of proteins. It is a t-SNARE that is widely expressed in neurons, and is involved in the exocytosis of neurotransmitters at the presynaptic membrane. STX1A is transported intracellularly by microtubule-associated syntabulin, and its availability appears to be regulated through binding to LGI3. When released from LGI3, STX1A interacts with SNAP25 and VAMP2 to form the SNARE complex involved in exocytotic vesicle release. Human STX1A is a type IV single-pass transmembrane protein (very long cytoplasmic N-terminus) that is 288 amino acids (aa) in length. It contains a 265 aa N-terminal cytoplasmic domain that contains one coiled‑coil region (aa 68-109), a t-SNARE domain with a coiled‑coil region (aa 192-254), and a C-terminal transmembrane sequence (aa 266-286). There are three potential isoform variants. One shows a 34 aa substitution for aa 227‑288, while another termed STX1C is likely soluble, and contains a 25 aa substitution for the same aa sequence above encompassing aa 227‑288. A third variant shows a five aa substitution for aa 1-10. Over aa 1-165, human STX1A shares 99% aa sequence identity with mouse STX1A.
Product Datasheets
FAQs
No product specific FAQs exist for this product, however you may
View all Antibody FAQsReviews for Human Syntaxin 1A Antibody
Average Rating: 5 (Based on 1 Review)
Have you used Human Syntaxin 1A Antibody?
Submit a review and receive an Amazon gift card.
$25/€18/£15/$25CAN/¥75 Yuan/¥2500 Yen for a review with an image
$10/€7/£6/$10 CAD/¥70 Yuan/¥1110 Yen for a review without an image
Filter by:
