Human Versican Isoform V0 Antibody Summary
Gly1344-Asp1554
Accession # P13611
Applications
Please Note: Optimal dilutions should be determined by each laboratory for each application. General Protocols are available in the Technical Information section on our website.
Scientific Data
View Larger
Versican in HeLa Human Cell Line. Versican was detected in immersion fixed HeLa human cervical epithelial carcinoma cell line using 10 µg/mL Goat Anti-Human Versican Isoform V0 Antigen Affinity-purified Polyclonal Antibody (Catalog # AF3054) for 3 hours at room temperature. Cells were stained with the NorthernLights™ 557-conjugated Anti-Goat IgG Secondary Antibody (red; Catalog # NL001) and counterstained with DAPI (blue). View our protocol for Fluorescent ICC Staining of Cells on Coverslips.
View Larger
Versican in U‑251 MG Human Cell Line. Versican was detected in immersion fixed U‑251 MG human glioblastoma cell line (positive staining) and Daudi human Burkitt's lymphoma cell line (negative staining) using Goat Anti-Human Versican Isoform V0 Antigen Affinity-purified Polyclonal Antibody (Catalog # AF3054) at 5 µg/mL for 3 hours at room temperature. Cells were stained using the NorthernLights™ 557-conjugated Anti-Goat IgG Secondary Antibody (red; NL001) and counterstained with DAPI (blue). Specific staining was localized to cytoplasm. Staining was performed using our protocol for Fluorescent ICC Staining of Non-adherent Cells.
View Larger
Detection of Human Human Versican Isoform V0 Antibody by Immunocytochemistry/ Immunofluorescence Analysis of the expression of specialized markers in the dermal spheroids: CD44 (green), alpha SMA (red); VERSICAN (green), Ki67 (red); VIMENTIN (green), FIBRONECTIN (red). Fluorescence microscopy, the scale length in all pictures is 100 µm. Image collected and cropped by CiteAb from the following publication (https://pubmed.ncbi.nlm.nih.gov/36078136), licensed under a CC-BY license. Not internally tested by R&D Systems.
Reconstitution Calculator
Preparation and Storage
- 12 months from date of receipt, -20 to -70 °C as supplied.
- 1 month, 2 to 8 °C under sterile conditions after reconstitution.
- 6 months, -20 to -70 °C under sterile conditions after reconstitution.
Background: Versican
Versican (versatile proteoglycan; also known as PG-M) is a 500-600 kDa, secreted member of the Aggrecan/Versican proteoglycan family. It is a variably glycanated, hyaluronan-binding, chondroitin sulfate-containing molecule that likely serves an anti-adhesion function and regulates the hydration properties of pericellular matrices. Human Versican is 3396 amino acids (aa) in length. It contains an N-terminal hyaluronan-binding region (G1; aa 21-346), two large, alternately spliced GAG attachment domains (GAG alpha ; aa 348-1335; GAG beta aa 1336-3088) and a C-terminal selectin-like region (G3; aa 3089-3396). Over aa 1344-1554, human Versican shares 80% and 60% aa sequence identity with canine and mouse Versican, respectively.
Product Datasheets
Citations for Human Versican Isoform V0 Antibody
R&D Systems personnel manually curate a database that contains references using R&D Systems products. The data collected includes not only links to publications in PubMed, but also provides information about sample types, species, and experimental conditions.
8
Citations: Showing 1 - 8
Filter your results:
Filter by:
-
Trajectory of hiPSCs derived neural progenitor cells differentiation into dermal papilla-like cells and their characteristics
Authors: Riabinin, A;Kalabusheva, E;Khrustaleva, A;Akulinin, M;Tyakht, A;Osidak, E;Chermnykh, E;Vasiliev, A;Vorotelyak, E;
Scientific reports
Species: Human
Sample Types: Whole Cell
Applications: ICC -
FLIM for Evaluation of Difference in Metabolic Status between Native and Differentiated from iPSCs Dermal Papilla Cells
Authors: Alena Kashirina, Alena Gavrina, Artem Mozherov, Dmitriy Kozlov, Daria Kuznetsova, Ekaterina Vorotelyak et al.
Cells
-
Reorganization of the Brain Extracellular Matrix in Hippocampal Sclerosis
Authors: B Sitaš, M Bobi?-Raso, G Mrak, S Trnski, M Krbot Skor, D Oreškovi?, V Knezovi?, Ž Petelin Ga, Z Petanjek, G Šimi?, D Kolenc, N Jovanov Mi
International Journal of Molecular Sciences, 2022-07-25;23(15):.
Species: Human
Sample Types: Whole Tissue
Applications: IHC -
Extracellular Matrix Deposition and Remodeling after Corneal Alkali Burn in Mice
Authors: Kazadi N. Mutoji, Mingxia Sun, Garrett Elliott, Isabel Y. Moreno, Clare Hughes, Tarsis F. Gesteira et al.
International Journal of Molecular Sciences
-
The Metalloproteinase ADAMTS5 Is Expressed by Interstitial Inflammatory Cells in IgA Nephropathy and Is Proteolytically Active on the Kidney Matrix
Authors: S Taylor, M Whitfield, J Barratt, A Didangelos
J. Immunol., 2020-09-11;0(0):.
Species: Human
Sample Types: Whole Tissue
Applications: IHC -
Versican V1 in human endometrial epithelial cells promotes BeWo spheroid adhesion in vitro
Authors: Yumiko Miyazaki, Akihito Horie, Hirohiko Tani, Masashi Ueda, Asuka Okunomiya, Koh Suginami et al.
Reproduction
Species: Human
Sample Types: Cell Lysates, Whole Cells, Whole Tissue
Applications: Immunohistochemistry, Western Blot, Immunocytochemistry -
Versican is differentially regulated in the adventitial and medial layers of human vein grafts
Authors: RD Kenagy, S Kikuchi, SP Evanko, MS Ruiter, M Piola, A Longchamp, M Pesce, M Soncini, S Deglise, GB Fiore, JA Haefliger, TA Schmidt, MW Majesky, M Sobel, TN Wight
PLoS ONE, 2018-09-28;13(9):e0204045.
Species: Human
Sample Types: Tissue Homogenates
Applications: Western Blot -
Versican overexpression in human breast cancer lesions: known and new isoforms for stromal tumor targeting.
Authors: Kischel P, Waltregny D, Dumont B, Turtoi A, Greffe Y, Kirsch S, De Pauw E, Castronovo V
Int. J. Cancer, 2010-02-01;126(3):640-50.
Species: Human
Sample Types: Cell Lysates
Applications: Western Blot
FAQs
No product specific FAQs exist for this product, however you may
View all Antibody FAQsReviews for Human Versican Isoform V0 Antibody
Average Rating: 4 (Based on 1 Review)
Have you used Human Versican Isoform V0 Antibody?
Submit a review and receive an Amazon gift card.
$25/€18/£15/$25CAN/¥75 Yuan/¥2500 Yen for a review with an image
$10/€7/£6/$10 CAD/¥70 Yuan/¥1110 Yen for a review without an image
Filter by:
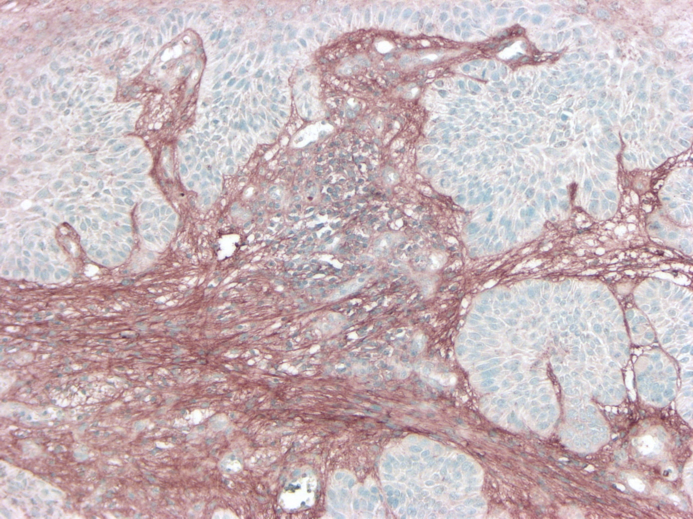
FFPE section of cSCC tumour tissue stained with VCAN (AF3054) in brown. HIER of pH 6 was used. Primary antibody dilution of 1:200 was used and secondary anti-Goat HRP was used for detection. Blue staining represt nuclei.
