
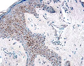
HGF Receptor/c-MET in Human Skin.
Hepatocyte Growth Factor Receptor (HGF R)/c-MET) was detected in immersion fixed paraffin-embedded sections of human skin using Human HGF R Antigen Affinity-purified Polyclonal Antibody (Catalog # AF276) at 15 µg/mL overnight at 4 °C. Tissue was stained using the Anti-Goat HRP-DAB Cell & Tissue Staining Kit (brown; Catalog # CTS008) and counterstained with hematoxylin (blue). View our protocol for Chromogenic IHC Staining of Paraffin-embedded Tissue Sections.
This antibody specifically recognizes human HGF R. In ELISA and Western blot experiments, this antibody shows approximately 30% cross-reactivity with recombinant mouse HGF R.

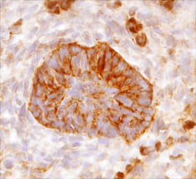
HGF Receptor/c-MET in Human Colon.
Hepatocyte Growth Factor Receptor (HGF R)/c-MET) was detected in immersion fixed paraffin-embedded sections of human colon using Human HGF R Monoclonal Antibody (Catalog # MAB3583) at 15 µg/mL overnight at 4 °C. Tissue was stained using the Anti-Mouse HRP-DAB Cell & Tissue Staining Kit (brown; Catalog # CTS002) and counterstained with hematoxylin (blue). View our protocol for Chromogenic IHC Staining of Paraffin-embedded Tissue Sections.
This antibody specifically recognizes human HGF R. Reactivity with HGF R from other species has not been determined.

Phospho-HGF R/c-Met (Y1324/Y1235) in Mouse Embryo.
Hepatocyte growth factor receptor (HGF R)/c-Met phosphorylated at Y1324 and Y1235 was detected in immersion fixed frozen sections of mouse embryo (13 d.p.c.) using Human/Mouse Phospho-HGF R/c-Met Antigen Affinity-purified Polyclonal Antibody (Catalog # AF2480) at 15 µg/mL overnight at 4 °C. Tissue was stained using the Anti-Rabbit HRP-DAB Cell & Tissue Staining Kit (brown; Catalog # CTS005) and counterstained with hematoxylin (blue). View our protocol for Chromogenic IHC Staining of Frozen Tissue Sections.
This antibody detects human and mouse HGF R/c-MET phosphorylated at Y1234/Y1235.

HGF Receptor/c-Met in Human Liver.
Hepatocyte growth factor receptor (HGF R)/c-Met was detected in immersion fixed paraffin-embedded sections of human liver using Human HGF R/c-Met Antigen Affinity-purified Polyclonal Antibody (Catalog # AF276) at 10 µg/mL overnight at 4 °C. Before incubation with the primary antibody tissue was subjected to heat-induced epitope retrieval using Antigen Retrieval Reagent-Basic (Catalog # CTS013). Tissue was stained using the Anti-Goat HRP-DAB Cell & Tissue Staining Kit (brown; Catalog # CTS008) and counterstained with hematoxylin (blue). View our protocol for Chromogenic IHC Staining of Paraffin-embedded Tissue Sections.

HGF R/c-MET in Human Colon.
Hepatocyte Growth Factor Receptor (HGF R/c-MET) was detected in immersion fixed paraffin-embedded sections of human colon array using Human HGF R/c-MET Monoclonal Antibody (Catalog # MAB3583) at 25 µg/mL overnight at 4 °C. Tissue was stained using the Anti-Mouse HRP-DAB Cell & Tissue Staining Kit (brown; Catalog # CTS002) and counterstained with hematoxylin (blue). View our protocol for Chromogenic IHC Staining of Paraffin-embedded Tissue Sections.

Phospho-HGF R/c-MET (Y1003) in A431 Human Cell Line.
Hepatocyte Growth Factor Receptor (Phospho-HGF R/c-MET (Y1003)) was detected in immersion fixed A431 human epithelial carcinoma cell line untreated (lower panel) or treated (upper panel) with pervanadate using Rabbit Anti-Human Phospho-HGF R/c-MET (Y1003) Antigen Affinity-purified Polyclonal Antibody (Catalog # AF4059) at 10 µg/mL for 3 hours at room temperature. Cells were stained using the NorthernLights™ 557-conjugated Anti-Rabbit IgG Secondary Antibody (red; Catalog # NL004) and counterstained with DAPI (blue). View our protocol for Fluorescent ICC Staining of Cells on Coverslips.