Human IL-5 Antibody Summary
Ile20-Ser134
Accession # P05113
Applications
Please Note: Optimal dilutions should be determined by each laboratory for each application. General Protocols are available in the Technical Information section on our website.
Scientific Data
View Larger
IL‑5 in Human Peripheral Blood Lymphocytes. IL‑5 was detected in immersion fixed human peripheral blood lymphocytes using Mouse Anti-Human IL‑5 Monoclonal Antibody (Catalog # MAB605) at 5 µg/mL for 3 hours at room temperature. Cells were stained (red) and counterstained (green). Specific labeling was localized to the cytoplasm of PBMCs. View our protocol for Fluorescent ICC Staining of Non-adherent Cells.
View Larger
Detection of IL‑5 in PMA and Ca2+ionomycin-treated Human PBMCs by Flow Cytometry. Human PBMCs, untreated (light orange filled histogram) or activated with 50 ng/mL PMA and 500 ng/mL Ca2+ionomycin for 5 hours (dark orange filled histogram), were stained with Human IL-5 Monoclonal Antibody (Catalog # MAB605) or isotype control antibody (Catalog # MAB002, open histogram), followed by Fluorescein-conjugated Anti-Mouse IgG F(ab')2Secondary Antibody (Catalog # F0103B). To facilitate intracellular staining, cells were fixed with paraformaldehyde and permeabilized with saponin.
View Larger
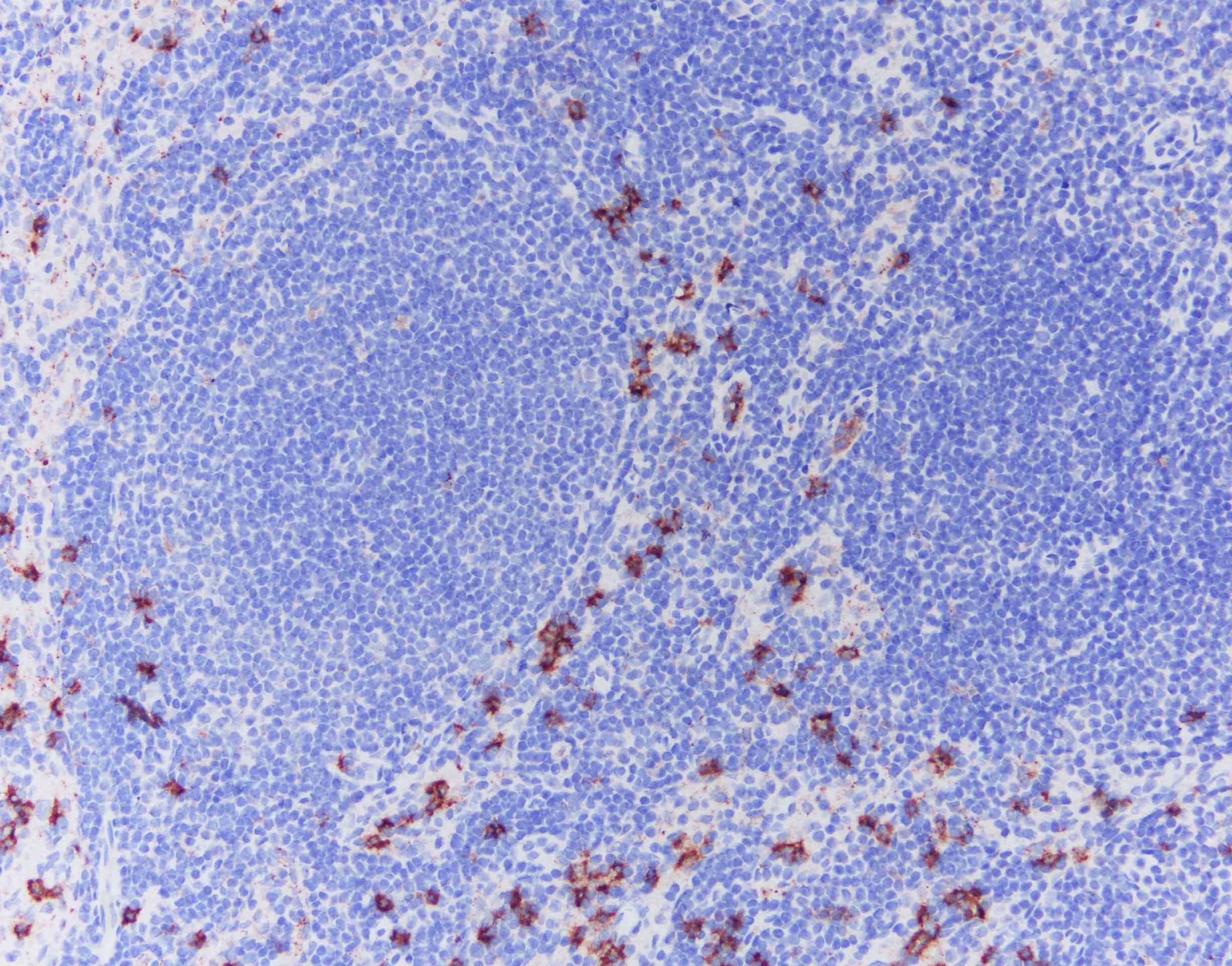
IL‑5 in Human Lymph Node Tissue. pretreatment: basic buffer, heating Primary Ab: MAB605 x100 Detection: DAB Refine kit, standard protocol. Image from a verified customer review.
Reconstitution Calculator
Preparation and Storage
- 12 months from date of receipt, -20 to -70 °C as supplied.
- 1 month, 2 to 8 °C under sterile conditions after reconstitution.
- 6 months, -20 to -70 °C under sterile conditions after reconstitution.
Background: IL-5
Interleukin-5 (IL-5) is a secreted glycoprotein that belongs to the alpha -helical group of cytokines (1 ‑ 3). Unlike other family members, it is present as a covalently linked antiparallel dimer (4, 5). The cDNA for human IL-5 encodes a signal peptide and a 115 amino acid (aa) mature protein. Mature human IL-5 shares 70%, 70%, 62%, 71%, 70% and 66%, aa sequence identity with mouse, rat, canine, equine, feline and porcine IL-5, respectively and shows cross‑reactivity with mouse IL-5. IL-5 is primarily produced by CD4+ Th2 cells, but also by activated eosinophils, mast cells, EBV-transformed B cells, Reed-Sternberg cells in Hodgkin’s disease, and IL‑2‑stimulated invariant natural killer T cells (iNKT) (1 ‑ 3, 6 ‑ 8). IL-5 increases production and mobilization of eosinophils and CD34+ progenitors from the bone marrow and causes maturation of eosinophil precursors outside the bone marrow (1, 6, 9, 10). The receptor for human IL-5, mainly expressed by eosinophils, but also found on basophils and mast cells, consists of a unique ligand-binding subunit (IL-5 R alpha ) and a shared signal‑transducing subunit, beta c (3, 6, 11). IL-5 R alpha first binds IL-5 at low affinity, then associates with preformed beta c dimers, forming a high-affinity receptor (12). IL-5 also binds proteoglycans, potentially enhancing its activity (13). Soluble forms of IL-5 R alpha antagonize IL-5 and can be found in vivo (10, 14). In humans, IL-5 primarily affects cells of the eosinophilic lineage, and promotes their differentiation, maturation, activation, migration and survival, while in mice IL-5 also enhances Ig class switching and release from B1 cells (1 ‑ 3, 9, 10, 15, 16). IL-5 also promotes differentiation of basophils and primes them for histamine and leukotriene release (17).
- Rosenberg, H. F. et al. (2007) J. Allergy Clin. Immunol. 119:1303.
- Elsas, P.X. and M. I. G. Elsas (2007) Curr. Med. Chem. 14:1925.
- Martinez-Moczygemba, M. and D. P. Huston (2003) J. Allergy Clin. Immunol. 112:653.
- Minamitake, Y. et al. (1990) J. Biochem. 107:292.
- McKenzie, A. N. et al. (1991) Mol. Immunol. 28:155.
- Shakoory, B. et al. (2004) J. Interferon Cytokine Res. 24:271.
- Lalani, T. et al. (1999) Ann. Allergy Asthma Immunol. 82:317.
- Sakuishi, K. et al. (2007) J. Immunol. 179:3452.
- Clutterbuck, E. J. et al. (1989) Blood 73:1504.
- Cameron, L. et al. (2000) J. Immunol. 164:1538.
- Tavernier, J. et al. (1991) Cell 66:1175.
- Zaks-Zilberman, M. et al. (2008) J. Biol. Chem. 283:13398.
- Lipscombe, R. et al. (1998) J. Leukocyte Biol. 63:342.
- Tavernier, J. et al. (2000) Blood 95:1600.
- Kopf, M. et al. (1996) Immunity 4:15.
- Horikawa, K. and K. Takatsu (2006) Immunology 118:497.
- Denburg, J. A. et al. (1991) Blood 77:1462.
Product Datasheets
Citations for Human IL-5 Antibody
R&D Systems personnel manually curate a database that contains references using R&D Systems products. The data collected includes not only links to publications in PubMed, but also provides information about sample types, species, and experimental conditions.
5
Citations: Showing 1 - 5
Filter your results:
Filter by:
-
Pilot Study of Anti-Th2 Immunotherapy for the Treatment of Breast Cancer-Related Upper Extremity Lymphedema
Authors: BJ Mehrara, HJ Park, RP Kataru, J Bromberg, M Coriddi, JE Baik, J Shin, C Li, MR Cavalli, EM Encarnacio, M Lee, KJ Van Zee, E Riedel, JH Dayan
Biology, 2021-09-18;10(9):.
Species: Human
Sample Types: Whole Tissue
Applications: IHC -
Impaired activation of lesional CD8+ T-cells is associated with enhanced expression of Programmed Death-1 in Indian Post Kala-azar Dermal Leishmaniasis
Authors: S Mukherjee, R Sengupta, D Mukhopadhy, C Braun, S Mitra, S Roy, N Kanti Das, U Chatterjee, E von Stebut, M Chatterjee
Sci Rep, 2019-01-24;9(1):762.
Species: Human
Sample Types: Whole Tissue
Applications: IHC -
Inhibition of interleukin-5 induced false positive anti-drug antibody responses against mepolizumab through the use of a competitive blocking antibody
Authors: Daniel Sikkema
J. Immunol. Methods, 2016-11-24;0(0):.
Applications: Competitive Binding Assay -
Computed tomographic scan-diagnosed chronic obstructive pulmonary disease-emphysema: eotaxin-1 is associated with bronchodilator response and extent of emphysema.
Authors: Miller M, Ramsdell J, Friedman PJ, Cho JY, Renvall M, Broide DH
J. Allergy Clin. Immunol., 2007-11-01;120(5):1118-25.
Species: Human
Sample Types: Whole Tissue
Applications: IHC-P -
Aberration of CCR7 CD8 memory T cells from patients with systemic lupus erythematosus: an inducer of T helper type 2 bias of CD4 T cells.
Authors: Sen Y, Chunsong H, Baojun H, Linjie Z, Qun L, San J, Qiuping Z, Junyan L, Zhang X, Jinquan T
Immunology, 2004-06-01;112(2):274-89.
Species: Human
Sample Types: Whole Cells
Applications: Flow Cytometry
FAQs
No product specific FAQs exist for this product, however you may
View all Antibody FAQsReviews for Human IL-5 Antibody
Average Rating: 4.7 (Based on 3 Reviews)
Have you used Human IL-5 Antibody?
Submit a review and receive an Amazon gift card.
$25/€18/£15/$25CAN/¥75 Yuan/¥2500 Yen for a review with an image
$10/€7/£6/$10 CAD/¥70 Yuan/¥1110 Yen for a review without an image
Filter by:
pretreatment: basic buffer, heating (BOND ER2)
primary Ab: MAB605 x100
detection: BOND DAB Refine kit, standard protocol
