Human IRF4 Antibody Summary
Glu130-Glu451
Accession # Q15306
Applications
Please Note: Optimal dilutions should be determined by each laboratory for each application. General Protocols are available in the Technical Information section on our website.
Scientific Data
View Larger
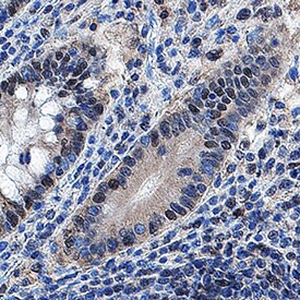
IRF4 in Human Intestine. IRF4 was detected in immersion fixed paraffin-embedded sections of human intestine using Mouse Anti-Human IRF4 Monoclonal Antibody (Catalog # MAB55252) at 5 µg/mL for 1 hour at room temperature followed by incubation with the Anti-Mouse IgG VisUCyte™ HRP Polymer Antibody (VC001). Before incubation with the primary antibody, tissue was subjected to heat-induced epitope retrieval using Antigen Retrieval Reagent-Basic (CTS013). Tissue was stained using DAB (brown) and counterstained with hematoxylin (blue). Specific staining was localized to cell nuclei in intestinal glands. Staining was performed using our protocol for IHC Staining with VisUCyte HRP Polymer Detection Reagents.
Reconstitution Calculator
Preparation and Storage
- 12 months from date of receipt, -20 to -70 °C as supplied.
- 1 month, 2 to 8 °C under sterile conditions after reconstitution.
- 6 months, -20 to -70 °C under sterile conditions after reconstitution.
Background: IRF4
Interferon Regulatory Factor 4 (IRF4), also known as MUM1 and LSIRF, is a 51 kDa lymphocyte-restricted transcription factor. It is required for immunoglobulin class switching and terminal differentiation of B cells. IRF4 is overexpressed in multiple myeloma and cooperates with Myc in an autoregulatory loop. In T cells, IRF4 is required for the production of IL-4. IRF4 contains an N-terminal DNA binding domain that is homologous to that in other IRF proteins. Within the C-terminal domain (aa 130‑451), human IRF4 shares 90% aa sequence identity with mouse and rat IRF4. Alternate splicing may generate isoforms with N-terminal, C-terminal, or internal deletions.
Product Datasheets
FAQs
No product specific FAQs exist for this product, however you may
View all Antibody FAQsReviews for Human IRF4 Antibody
There are currently no reviews for this product. Be the first to review Human IRF4 Antibody and earn rewards!
Have you used Human IRF4 Antibody?
Submit a review and receive an Amazon gift card.
$25/€18/£15/$25CAN/¥75 Yuan/¥2500 Yen for a review with an image
$10/€7/£6/$10 CAD/¥70 Yuan/¥1110 Yen for a review without an image
